

据国外媒体报道,美国科学家成功在老鼠体内培育出功能完备的人类肠道组织,这一研究突破由洛杉矶儿童医院的儿科外科医生取得,能够在未来的某一天让成千上万的肠道疾病患者摆脱痛苦。研究中,他们过将人体细胞植入老鼠体内,最后成功在老鼠体内“种出”小肠,这个小肠的功能与真正的小肠类似。研究发现刊登 在《美国生理学杂志:胃肠道和肝脏》上。
洛杉矶儿童医院的医生希望他们的研究成果能够帮助治疗一系列消化系统疾病,提高短肠综合症等疾病的存活率。短肠综合症是一种可怕的疾病,三分之一的年幼患者在5年内死亡。此项研究由洛杉矶儿童医院的特雷西-格利克斯切特博士领导。
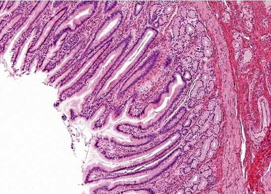
洛杉矶儿童医院此前进行的研究发现可以通过将捐献的人体组织植入老鼠体内的方式培育所谓的“组织工程小肠”。在最初进行的研究中,他们培育的小肠功能有限。研究发现刊登在2011年的生物医学杂志《组织工程学A》上。作为新研究的一部分,研究人员培育拥有与人类小肠相同的关键功能的组织工程小肠,例如能够在完全发育的小肠内看到的黏膜内层。测试结果表明组织工程小肠能够将糖分解成葡萄糖,同时还能分泌肠道激素。
之所以选择老鼠是因为在老鼠体内培育的组织工程小肠与利用人体细胞培育的组织工程小肠拥 有高度的相似性,例如都拥有干细胞和祖细胞等重要“构件”。干细胞和祖细胞能够再生肠道,充当一个活组织替代品。研究过程中,科学家从人体小肠组织提取细 胞,而后浸泡在消化酶溶液中。这种溶液装入所谓的聚合物支架——用于帮助细胞和组织发育——而后植入老鼠体内。4周之后,他们培育出组织工程小肠并对其进行测试。
科学家在测试中发现组织工程小肠能够将糖分解成葡萄糖,内部细胞也与其他特定细胞拥有很高的相似性。这些特定细胞能够帮助形成一个功能完备的器官,让人体拥 有健康的肠道。格利克斯切特博士表示:“我们用事实证明我们能够培育出比当前用于研究肠道再生和疾病的其他干细胞或者祖细胞模型更为复杂的组织功能小肠。 由于利用人体细胞培育,它们拥有完备的功能。证明这种组织工程小肠拥有完备的功能是一个重要里程碑,意味着我们在帮助治疗肠道疾病患者的道路上向前迈出了重要一步。”
功能性组织工程小肠的成功培育标志着外科医生进一步接近“利用再生医学技术治疗患者”的梦想。组织工程小肠可用于治疗短肠综合症。这种疾病可导致肠道衰竭,尤其是存在先天性肠道问题的早产儿和新生儿。在将来的某一天,组织工程小肠还可用于进行肠道移植,解决捐献器官短缺的问题。如果没有足够的肠道长度,婴儿只能依靠静脉输送营养,这种做法可导致肝损伤。据统计,每10万活产新生儿中就有大约24人出现肠道衰竭,近三分之一患者在5年内死亡。



