摘要:严重急性呼吸系统综合症冠状病毒 2 (SARS-CoV-2) Omicron (B.1.1.529) 变体已被证明具有高度传播性,并且在世界许多地区都超过了 Delta 变体。早期的报告还表明Omicron 可能会导致人类出现不太严重的临床疾病。 在这里,我们表明 Omicron 在叙利亚金仓鼠中的致病性低于之前的 SARS-CoV-2 变体。仓鼠感染SARS-CoV-2 Omicron或其他SARS-CoV-2变种。观察动物的体重减轻情况,评估上下呼吸道组织的病毒载量和组织病理学。用 SARS-CoV-2 WA1/2020、Alpha、Beta 或 Delta 毒株感染仓鼠后,观察到第 4 天体重下降 4%–10%,第 6 天体重下降 10%–17%。相比之下,感染两种不同 Omicron 原液的仓鼠不会导致任何可检测到的体重减轻,即使在高剂量下也是如此。Omicron感染导致上呼吸道和下呼吸道大量病毒复制,但与WA1/2020感染相比,肺实质中的病毒载量较低,肺部病理学也较轻。这些数据表明,与之前的 SARS-CoV-2 变体相比,SARS-CoV-2 Omicron 变体可能导致严重的上呼吸道感染,但下呼吸道临床疾病的严重程度较低。
关键词:SARS-CoV-2 COVID-19 Omicron 仓鼠 致病性
简介:高度变异的严重急性呼吸综合征冠状病毒2(SARS-CoV-2)Omicron变种已导致全球迅速传播,包括在已完全接种疫苗的个人中。然而,来自南非和英国的早期报告表明,Omicron 的临床疾病严重程度可能低于之前的变体。 目前尚不清楚这种较低的临床严重程度是由于 Omicron 病毒本身还是由于先前的疫苗接种和/或感染导致得人群免疫力。叙利亚金仓鼠为研究 SARS-CoV-2 疾病提供了一个强大的模型,在 SARS-CoV-2 感染后体重减轻和肺炎可重现。我们开展了两种 SARS-CoV-2 Omicron原液并评估了临床疾病、病毒载量和 仓鼠的组织病理学。

Omicron感染导致不太严重的临床疾病:叙利亚金仓鼠(n = 6/组)通过鼻内途径感染 100 μL 病毒,其中含有 5 × 104 PFU WA1/2020、Alpha (B.1.1.7)、Beta (B.1.351) 和 Delta (B. 1.617.2) 毒株。 受感染的仓鼠在第 4 天体重平均减少 4%–10%,在第 6 天体重平均减少 10%–17%,而未受感染的仓鼠体重平均增加 1%。一只感染 WA1/2020 的动物由于体重减轻 20%被开展人道安乐死,但其余的仓鼠在大约第 10 天恢复了体重。

图 1. 感染 SARS-CoV-2 变体的仓鼠体重减轻。
(A 和 B)仓鼠感染 SARS-CoV-2 WA1/2020、Alpha、Beta 和 Delta 变体后的平均体重变化,以及未感染对照仓鼠的体重变化。(C 和 D)仓鼠感染 SARS-CoV-2 Omicron 原液 1 和 2 后的平均体重变化。
其他组仓鼠(n = 4/组)通过鼻内途径感染 100 μL 2.5 × 106、2.5 × 105 或 2.5 × 104 PFU 的 Omicron原液1 或 2.5 × 105、2.5 × 104 或 2.5 × 103 PFU的Omicron 原液 2 。用 Omicron 原液 2 感染的仓鼠在第 4 天分别显示平均体重减少 0%、0% 和 1%。这些数据表明,即使在高剂量感染时,两种 SARS-CoV-2 Omicron 原液也不会导致仓鼠的临床体重减轻。
Omicron感染后肺部病毒减少:用5×104 PFU WA1/2020(n=13)、Beta(n=11)和Omicron原液 1(n=12)感染其他组仓鼠后的第4天评估了组织病毒载量。选择Omicron 原液1进行本实验,因为它的滴度更高。通过RT-PCR评估肺和鼻甲中的E亚基因组RNA(sgRNA)和N基因组RNA(gRNA)水平。在肺组织中,感染 WA1/2020、Beta 和 Omicron 的仓鼠的中位数分别为 9.07、9.55 和 8.33 log sgRNA 拷贝/g 组织。与 WA1/2020 感染的仓鼠相比,感染 Omicron 的仓鼠的肺 sgRNA 中位数水平低 0.74 log,并且 sgRNA 水平与平均组织培养感染剂量 (TCID50) 滴度相关。在鼻甲中,感染WA1/2020、Beta和Omicron的仓鼠的中位数分别为6.35、7.34和8.25 log sgRNA拷贝/g组织。与 WA1/2020 感染的仓鼠相比,感染 Omicron 的仓鼠的鼻甲 sgRNA 的中位数水平高出 1.90 log。同样,与WA1/2020感染的仓鼠相比,Omicron感染的仓鼠的肺gRNA中值水平低0.84 log,但Omicron感染的仓鼠的鼻甲sgRNA中值水平高1.49 log。正如预期的那样,WA1/2020 和 Beta 感染动物的体重减轻了,但第 4 天 Omicron 感染的动物体重没有减轻。这些数据表明,与 WA1/2020 感染相比,仓鼠中的 Omicron 感染导致下呼吸道病毒水平较低。

图 2. SARS-CoV-2 感染后第 4 天仓鼠的组织病毒载量
(A) 仓鼠感染 SARS-CoV-2 WA1/2020、Beta 和 Omicron 变体后肺和鼻甲中的 E 亚基因组 RNA (sgRNA) 水平;(B) 仓鼠感染 SARS-CoV-2 WA1/2020、Beta 和 Omicron 变体后肺和鼻甲中的 N 基因组 RNA (gRNA) 水平;(C) (A)和(B)中仓鼠解剖时的体重减轻。
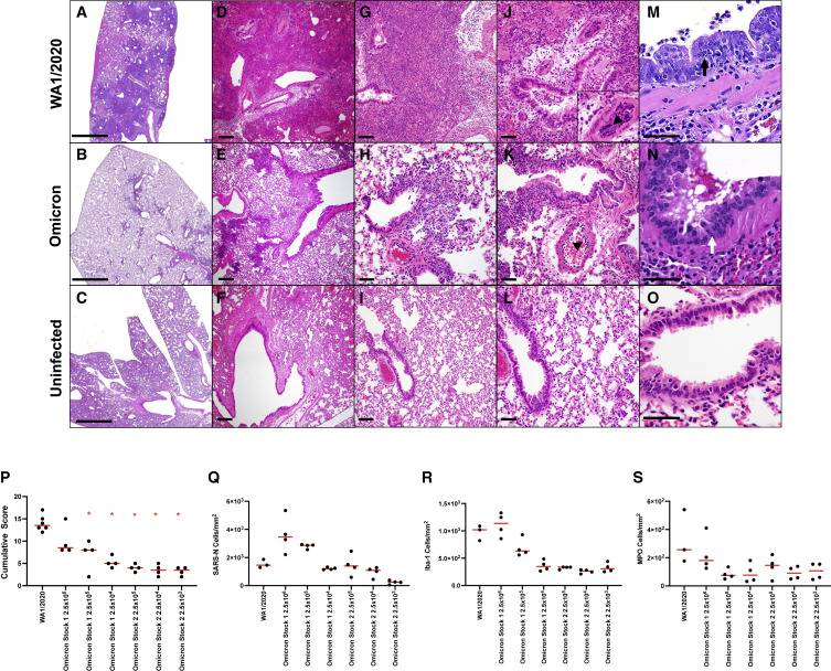
Omicron 感染后肺部病理减少:在感染后第4天,与WA1/2020感染的仓鼠相比,Omicron感染的仓鼠表现出细支气管上皮变化、间质炎症和实变以及内皮炎的减少,与剂量为5×104 PFU的WA1/2020感染的动物相比,剂量为2.5×105 PFU的Omicron感染的动物的肺部病理学评分较低。尽管整体病理学显著降低,但与WA1/2020感染的仓鼠相比,Omicron感染的仓鼠肺中SARS核衣壳(SARS-N)阳性细胞的数量与WA1/2020感染的仓鼠相似,但显示出每单位肺面积Iba-1阳性细胞(巨噬细胞)和髓过氧化物酶阳性细胞(中性粒细胞)减少的趋势。WA1/2020和Omicron感染的动物都有SARS-N阳性的细支气管上皮和肺细胞。Omicron感染的动物的鼻甲病变明显,但与WA1/2020感染的仓鼠相比,其分布、严重程度或病毒阳性率没有差异。

图3、SARS-CoV-2感染后第4天仓鼠的组织病理学
将感染5×104 PFU SARS-CoV-2 WA1/2020(上图)和2.5×105 PFU Omicron(中)的仓鼠肺组织与未感染仓鼠(下图)进行H&E染色。
(A–C)在WA1/2020感染的动物中,存在与细支气管相关的多灶性至局部广泛的间质炎症和实变区域,而在Omicron感染的动物中,这些区域减少。
(D–L)显示WA1/2020和Omicron感染动物(J–L)中均存在管腔内坏死上皮,中等大小小动脉内皮的血管周围水肿和边缘炎症细胞。
(M–O)细支气管上皮的高倍图像,显示退化细支气管上皮细胞异型性、肥大和基底核极性丧失,与Omicron感染的仓鼠相比,WA1/2020感染的仓鼠更明显。
(P)(1)气道(支气管、细支气管),(2)间质,(3)肺泡,(4)血管,(5)水肿和(6)再生的累积病理评分。每个特征的得分为0-3分,每只动物的最高得分为18分。
(Q–S)免疫组织化学定量图像分析

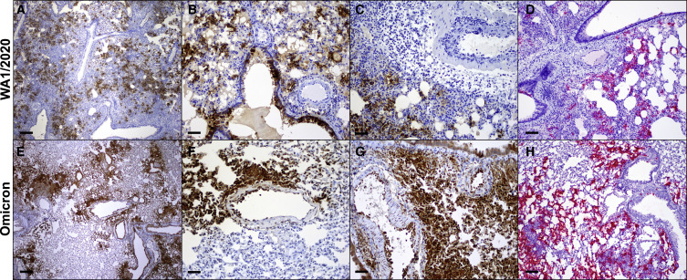
图 4. SARS-CoV-2 Omicron 变异体在肺中的分布
(A–H)感染SARS-CoV2 WA1/2020(A–D)和Omicron(E–H)的仓鼠中核衣壳蛋白(棕色)的免疫组织化学和病毒RNA(红色)的RNAscope原位杂交。
讨论:我们的数据表明,SARS-CoV-2 Omicron变种感染了叙利亚金黄仓鼠,但没有导致可检测到的体重减轻,即使剂量比导致体重显著减轻的WA1/2020、α、β和δ剂量高50倍。与两个Omicron原液感染的一致性表明了这些结论的普遍性。与 WA1/2020 相比,Omicron 感染导致上呼吸道和下呼吸道病毒大量复制,鼻甲中的病毒载量更高,肺部的病毒载量更低。此外,与 WA1/2020 相比,Omicron 导致肺组织病理学减少,这表明 Omicron 感染导致仓鼠下呼吸道疾病减少。 未来的研究可以将 Omicron 的组织病毒载量与 Delta 和其他变体进行比较。我们在仓鼠中的发现与新出现的报告一致,这些报告表明 Omicron 具有高度传播性,但与之前的 SARS-CoV-2 变体相比,在人类中诱发的临床肺炎不太严重。 未来的研究可以进一步确定 SARS-CoV-2 Omicron 变体感染的发病机制以及与其致病性降低相关的机制。
原文出自:Reduced pathogenicity of the SARS-CoV-2 omicron variant in hamsters - ScienceDirect



