在人体腹腔的隐秘角落,胰腺默默执行着双重使命——既是调控血糖的“内分泌管家”,又是分泌消化酶的“外分泌工匠”。胰管作为输送胰液的通道,其上皮细胞如何感知潜在威胁?这一科学谜题长期困扰着研究者。
近日,东京农业大学联合京都大学团队在Front Cell Dev Biol发表研究Generation and functional characterization of tuft cells in non-human primate pancreatic ducts through organoid culture systems,首次利用非人类灵长类(猕猴)胰腺导管类器官模型,系统揭示了簇细胞(Tuft Cells)的分化规律与功能特性,为胰腺疾病研究开辟了新路径。

簇细胞是一类具有化学感应能力的特化上皮细胞,其顶端微绒毛结构与味觉信号分子表达提示其潜在的“化学哨兵”功能。尽管早在1998年已在大鼠胰管中发现簇细胞,但啮齿类模型存在显著局限:小鼠胰腺簇细胞数量稀少且品系差异大,其味觉受体谱与人类差异显著,难以准确模拟人体生理。因此,研究团队选择与人类亲缘关系更近的猕猴,建立灵长类胰腺导管类器官培养体系,旨在突破种属壁垒,深入探究簇细胞的真实功能。
灵长类胰腺导管类器官的构建与簇细胞分化
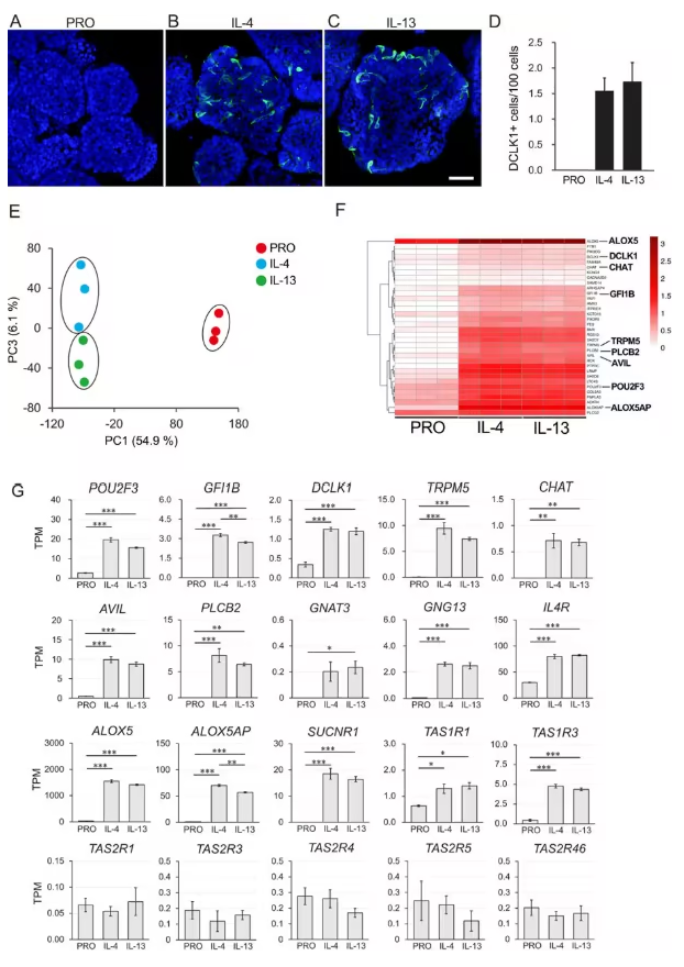
研究者从猕猴胰腺分离导管组织,通过含Wnt3a、Noggin等因子的培养基,成功建立可稳定传代的胰腺导管类器官。初始状态下,类器官表达干细胞标记LGR5与导管标记CK19,但无簇细胞标记物表达。当移除烟酰胺和EGF并添加IL-4/IL-13刺激5天后,免疫荧光显示簇细胞标记物DCLK1阳性细胞比例显著增加:IL-4组为2.1±0.3%,IL-13组为1.9±0.2%,显著高于对照组(0.1±0.03%,p<0.001),证实IL-4/IL-13可有效诱导簇细胞分化。

图 1:猕猴胰腺导管类器官的生成
转录组解析簇细胞的分子特征
RNA-seq分析显示,诱导后的簇细胞高表达34个簇细胞相关基因,涵盖三大功能模块:
化学感应信号:表达TRPM5、PLCβ2、GNAT3等味觉转导关键分子,提示其具备化学信号感知能力;
免疫防御分子:ALOX5(白三烯合成酶)、DEFB1(防御素)、LYZ(溶菌酶)等基因上调,表明其参与抗菌与炎症调控;
神经递质相关分子:胆碱乙酰转移酶(CHAT)表达增加,暗示其可能通过乙酰胆碱介导神经-免疫交互作用。
钙成像实验进一步证实,诱导后的簇细胞对苦味化合物苯甲地那铵产生特异性钙响应,且该反应可被磷脂酶C抑制剂阻断,明确其通过味觉信号通路感知有害物质。

图 2:IL-4 和 IL-13 刺激诱导的猕猴导管簇细胞转录组分析
猕猴胰腺内源性簇细胞的分布验证
免疫组化显示,猕猴胰管从Vater壶腹至胰尾部均存在DCLK1阳性簇细胞,部分细胞同时表达CHAT或GNAT3,提示其功能异质性。这是首次在灵长类体内证实胰腺簇细胞的生理性分布,为功能研究提供了直接依据。

图 3:猕猴主胰管和 Vater 壶腹的簇细胞
本研究揭示胰腺簇细胞的双重功能:
化学感应功能:作为胰管内的化学感受器,簇细胞通过苦味受体检测胆汁酸等有害物质,触发钙信号启动防御反应;
免疫调控功能:通过分泌白三烯、防御素等分子,协调局部免疫微环境,抵御病原体入侵或组织损伤。
这些发现为胰腺炎、胰腺导管癌等疾病的发生机制提供了新解释——簇细胞功能异常可能导致有害物质清除障碍,进而诱发胰管上皮损伤。未来研究可探索簇细胞与胰腺神经、内分泌系统的交互作用,及其在再生医学中的应用潜力。
想象这样的场景:当油腻饮食引发胆汁逆流时,胰管簇细胞如同精密传感器,迅速识别苦味分子并启动防御程序,避免胰腺 "自我消化"。这项研究不仅填补了灵长类胰腺细胞生物学的空白,更提示我们:胰腺并非单纯的消化器官,其上皮层隐藏着复杂的化学感应网络,默默守护着消化系统的安全。
随着类器官技术的成熟,灵长类模型将成为连接基础研究与临床应用的桥梁。或许在不久的将来,通过调控簇细胞功能,我们能为胰腺炎患者开发新型预警标志物,或为胰腺再生医学提供全新靶点。正如文章通讯作者Iwatsuki教授所言:"这些微小的簇细胞,可能正是解开胰腺奥秘的关键钥匙。"
参考文献:
Sakaguchi K, Kimura-Nakajima C, Inaba A, et al. Generation and functional characterization of tuft cells in non-human primate pancreatic ducts through organoid culture systems. Front Cell Dev Biol. 2025;13:1593226. Published 2025 May 6. doi:10.3389/fcell.2025.1593226



