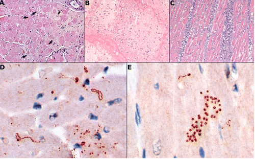
摘要:心肌炎是由多种病因引起的以非特异性病程为特征的疾病。精确确认炎症变化特征的唯一方法是心脏标本的组织病理学检查。研究基于11犬心脏病的生前诊断。对应用治疗反应不佳的动物或怀疑存在心源性猝死可能。动物死后取其心脏标本,固定保存并用苏木精-伊红染色。随后观察变化及其强度。估计炎性浸润,结缔组织数量与心肌细胞变性的特点。怀疑细菌性心肌炎的犬的标本进行额外的细菌学和免疫组化检查。结果:检查发现炎性浸润的强度变化与犬的退行性变化相结合。6条犬有莱姆病螺旋体的营养生长和异常囊肿形成。证实一条犬感染金黄色葡萄球菌和另一条犬发现急性冠脉综合征和中性粒细胞浸润。结论:虽然心肌炎患犬的临床模式是多种多样的,明确的形态学诊断以病理组织学检查为基础。这种检查可以更好地了解疾病的发病机制。据我们所知,这是第一次在心肌炎并发症犬的心脏标本中发现伯氏疏螺旋体孢子存在。关键词:心肌炎 心脏 伯氏疏螺旋体 犬背景:心肌炎是一种罕见的犬心脏病。它可能是由细菌、病毒和寄生虫等传染性病原体引起的。根据病因,心肌炎可以有各种病理组织学模式。它通常是非特异性的,基于病理组织学检查,其直接原因很少可以确定。犬心肌炎的病因包括病毒(如细小病毒,西尼罗河病毒),原虫的药物(即锥虫引起的锥虫病、弓形虫、肝簇虫; 巴贝虫)、细菌(如葡萄球菌、链球菌属、枸橼酸杆菌、伯)、真菌(如霉菌、隐球菌、曲霉),寄生虫(蛔虫)和非感染性因素如自身免疫反应、毒素、外伤、中暑和血液动力学冲击。感染剂可引起急性或慢性变化:(1)炎症细胞直接浸润,(2)释放毒素的作用,(3)迟发型免疫应答。最后一个导致一个次要的炎症过程导致心肌结构的损害。心肌炎的临床表现是多种多样的,可以包括节律紊乱,有时改变类似扩张型心肌病。虽然血清学诊断不断发展,识别心肌炎症类型的目前唯一可靠方法是一个生前心肌活检或尸检病理检查。本研究的目的是对11例表现出非特异性的心脏临床症状,对治疗的反应不佳,或遭受心源性猝死的犬进行心肌炎的病理组织学分析。方法:这项研究对11条犬(7雄和4雌,年龄2.5岁至13岁,体重7到29公斤)进行了尸体取样。病史、临床检查和治疗:所有犬活着时都出现心脏病的临床症状,包括运动不耐受、咳嗽或心律不齐。因此,对他们进行了临床,心电图和超声心动图检查。对显示节律紊乱的犬进行24小时动态心电图分析。采用BTL sd08装置对右侧侧卧的犬进行心电图检查。超声心动图检查,使用Aloka SSD 4000机进行标准视图。包括:左心房直径主动脉比,收缩末期和舒张末期左室测量的左室短轴缩短率和左室射血分数评估、通过主动脉瓣和肺动脉瓣血流速度、房室瓣的功能估计。24小时心电图(Holter)检查使用阿斯贝尔aspekt 702装置与holcard计算机系统兼容。此外,所有的犬进行血液分析包括血常规、血生化(ALT、AST、尿素、肌酐、Na+、K+、Mg2+、Cl和心肌肌钙蛋白I)和针对伯氏疏螺旋体抗体的滴度。肌钙蛋白I水平低于0.07毫微克/毫升,被认为是正常的。确定心脏病后,根据诊断,犬接受适当的药物治疗或电复律程序。六只对伯氏疏螺旋体抗体滴度阳性犬接受强力霉素(10毫克/公斤,28天口服)。从确诊后时间1周到5个月内,犬的存活率各不相同。由心律失常引起的心脏性猝死是(n = 3)或主动脉栓塞引起的死亡(n=?)。五条犬出现心脏衰竭时进行了安乐死。由于并发非心脏病两条犬被安乐死。剖检检查:对出现左心室游离壁,右心室游离壁、室间隔、左心房和右心房壁的样本(包括显示宏观变化的样本)进行进一步的组织病理学检查。标本用7%福尔马林固定,石蜡包埋,切片为6 微米。使用标准的H & E染色方法,并随后在400倍光学显微镜下观察。每个样品获取20张图片进行计算机图像分析,使用一台连接到光学显微镜奥林巴斯bx53,配有奥林巴斯模型的色彩观IIIA数码相机的计算机。采用半定量分析方法,分析心肌细胞浸润、结缔组织数量、心肌细胞变性等变化的存在和强度(? 没有变化,+ 轻度变化,+ + 中度变化 + + +重度变化)。每个炎症细胞平均计数高于5的标本被确认为炎症浸润阳性。附加图显示正常心肌结构。如果发现中性粒细胞浸润,进一步进行细菌学检查,包括培养(血琼脂和麦康凯琼脂)、显微观察(Gram染色)和生化检查。伯氏疏螺旋体抗体阳性标本犬进行免疫组化检查。心脏切片经脱蜡、水化通过一系列降低浓度的酒精浴。在柠檬酸盐缓冲液(pH 6,10微摩尔)94-96°C 20分钟抗原表位被屏蔽。内源性过氧化氢酶在3%过氧化氢中被阻断,非特异性结合位点被抗体稀释剂阻止。检测伯氏疏螺旋体属,在室温下标本用初级抗体(1:600稀释兔多克隆抗体)孵育1小时。山羊针对兔免疫球蛋白的二级抗体与过氧化物酶结合。免疫反应是由3,3'-二氨基联苯胺四盐酸盐 (DAB)揭示。反应产物表现为强烈的棕色,位于抗原存在的部位.根据标准,免疫组织化学反应的最后阶段涉及苏木精复染和通过一系列的高浓度酒精浴。用缺乏一抗的切片作为阴性对照。结果:临床症状、治疗及预后:最初诊断的基础上进行临床和诊断检查。超声心动图检查显示:心腔扩张,提示扩张型心肌病有7条犬,扩张局限于左心室1条犬,左心室壁肥厚,二尖瓣关闭不全的一条犬,1条犬的左心室有未知病因,1条犬的心脏没有变化。心电图检查的基础上,4条犬被诊断为房颤,3条犬室性心动过速 ,一条犬有室性早搏和3条犬没有表现出节律障碍。6条犬表现出伯氏疏螺旋体抗体滴度阳性,一条犬出现肾炎一条犬经常性跛行。另外,一条犬表现出中枢神经系统疾病的神经症状。七只犬血清尿素水平升高,肌酐水平正常。5条犬的肝脏酶的活性略有升高,虽然这些值不超过正常范围的上限的两倍。电解质水平无干扰。6条伯氏疏螺旋体抗体滴度阳性犬从1:64到1:256。六条犬的心脏肌钙蛋白i水平升高。犬急性心肌炎症常与各种类型的心脏传导阻滞有关,包括第二度和第三度房室窦传导阻滞。所描述犬中没有表现出传导阻滞。室上性心动过速、扩张型心肌病的变化和心肌炎的相互存在很少关联。节律紊乱导致的心肌炎常心功能受损,表明心源性治疗的反应较差,导致患犬的死亡。剖检检查:通过剖检前超声心动图检查结果进行验尸确认。在我们的研究中,7条犬全心腔扩张(图1A),1犬显示并发二尖瓣退行性病变的左心室壁肥厚,1条犬在主动脉栓塞和1条犬在左心室壁心肌梗死(图1b-c)。此外,5条犬出现严重的腹水、胸腔积液和心包积液并发实质器官扩大和1犬出现心包增厚。心脏标本的组织病理学检查发现,从每个犬的心脏肌肉中至少有一个标本存在炎症浸润。在9条犬中发现弥漫性淋巴浆细胞浸润,心房比心室壁严重。但他们也指出心肌的炎性细胞主要位于心内膜。炎性细胞浸润,病灶位置伴有心肌细胞变性失去条纹,结构紊乱(心肌细胞肿胀,细胞结构模糊,染色改变),存在异常核。在所有样本中,心房壁心肌细胞变性比心室壁更严重。此外,所有检查的犬被发现有轻度到中度的(从+到+ +)心房纤维化。出现神经症状的犬脑部样本发现严重的淋巴细胞炎症。在犬传导阻滞的案例中,可变强度的炎症(主要是淋巴细胞浸润)位于心脏传导系统内。当炎症发生在心脏的其他部位时,心室的浸润强度比心房弱。我们研究的标本淋巴细胞浸润分轻、中度或重度。它们伴随着结缔组织的扩张和心肌细胞的丢失。炎性浸润的强度与心肌变性的发生率在各种情况下是可变的,且与临床症状的严重程度无关。9例犬出现弥漫性的淋巴浆细胞为主,心内膜下浸润说明由慢性疾病导致。1条犬在主动脉和左心室发现,重度(+++)粒细胞浸润,并扩散至左心室心肌。这种浸润并伴有轻度(+)弥漫性淋巴浆细胞浸润和重度(+++)心肌细胞变性。从这条犬的其他切片中发现,弥漫性淋巴浆细胞浸润(+)和轻度(+)心脏肌肉退化。细菌学检查发现在栓塞区和心肌内存在金黄色葡萄球菌。结论:对表现出非特异性的临床症状,治疗反应差或心脏猝死犬应该有尽可能多的进行验尸。这样的检查将有助于推进我们对内部和感染性疾病心脏肌肉影响机制的理解。根据病理组织学检查,明确的形态学可以诊断心肌炎。https://link.springer.com/article/10.1186/s13620-014-0028-8




