近日,中国农业科学院哈尔滨兽医研究所揭示了一种猪肠道冠状病毒——猪传染性胃肠炎病毒(TGEV)复制的新机制。相关研究成果发表在《病毒学杂志(Journal of Virology)》。
TGEV属于α-冠状病毒,在已有的报道中,TGEV通过其纤突蛋白与受体氨基肽酶N相互结合入侵宿主细胞。目前针对冠状病毒膜蛋白(M)功能的研究主要集中在病毒粒子的组装和出芽阶段,然而M蛋白在病毒复制的其它阶段是否具有功能尚不清楚。


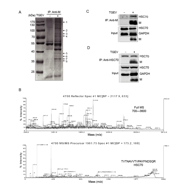
本研究利用蛋白质谱和免疫共沉淀技术发现了与病毒M互作的宿主膜蛋白——HSC70和Clathrin。HSC70是一种分子伴侣蛋白,在蛋白质聚集和分解Clathrin复合物方面可以发挥功能,参与调节多种病毒的生命周期。通过CRISPR-Cas9技术构建HSC70的基因敲除细胞系,发现该细胞系显著降低病毒的内化效率;利用M的多抗阻断M与HSC70的结合可以影响病毒的内化过程;进一步的研究证实Clathrin参与了TGEV的细胞内化过程,并与M和HSC70之间也存在相互作用,表明M-HSC70互作影响病毒的内化过程依赖于Clathrin介导的内吞作用。上述研究阐明了TGEV内化侵入细胞的一种新机制,拓宽和丰富了对冠状病毒TGEV细胞入侵方式的认识,获得了拮抗病毒入侵的新靶点,对抗病毒研究提供了新的思路。

该研究得到了国家重点研发计划(2021YFD1801105)和黑龙江省自然科学基金团队项目(TD2020C002)的资助。猪消化道传染病创新团队季朝阳博士后和董慧博士为文章的共同第一作者,冯力研究员和张鑫副研究员为文章的通讯作者。
原文及链接:
“The TGEV Membrane Protein Interacts with HSC70 To Direct Virus Internalization through Clathrin-Mediated Endocytosis”



