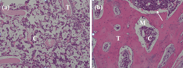
摘要:传统上认为肋骨缺损修复是不必要的,但对于术后恢复良好、生活质量较高的患者来说,肋骨重建术是至关重要的。本文报告了兔肋骨骨移植与无骨再生的比较研究。节段性缺损是在4月龄雄性新西兰兔第八肋进行。矿化胶原骨移植(MC)植入缺损,并评估长达12周。术后4, 8周、术后12周进行X线检查、术后12周进行组织学检查,观察骨重建的效果,与空白对照组比较,MC重建组骨重建活性较高,尤其是重建早期。简介:肋骨缺损在临床上较为常见,可因外伤、开胸、自体骨收获而发生。例如,口腔颌面外科医生通常使用自体肋骨修复下颌骨的缺损,神经外科医生也使用自体肋骨修复大型复杂颅骨缺损。在过去,肋骨缺损重建很少受到重视,因为它一直被认为对病人的呼吸功能没有什么影响。传统上,肋骨缺损在收获后不进行治疗,这会造成许多不良影响,如胸壁畸形、心肺功能不全等。随着外科技术的不断发展和患者美学水平的提高,肋骨缺损修复逐渐受到重视。因此,应用组织工程骨移植修复肋骨缺损的修复研究具有重要意义。迄今为止,很少有人试图重建肋骨缺损,存在完全的节段性缺损,需要生物活性骨材料。近年来,矿化胶原(MC)已成功应用于许多类型的骨修复,这是由体外仿生矿化过程制造的,具有非常相似的化学成分和微观结构的天然骨组织。MC中的胶原纤维有序排列,作为HA晶体成核和生长的模板。在许多动物模型和临床实践中,如骨融合和骨不连的治疗,在骨缺损修复和促进新骨再生方面取得了一定的效果。本研究旨在探讨MC骨材料对兔肋骨缺损再生的促进作用。在兔肋骨缺损中植入MC骨,观察到12周,为MC骨材料在兔肋骨缺损修复中的应用提供实验依据。实验部分:伦理与材料:所有手术均在全身麻醉下进行,尽一切努力减轻兔子的痛苦。8只新西兰兔(5月龄,体重3.0-3.5kg)肋骨缺损模型:兔每笼一只,温度(15-21°C),12-12明暗循环,兔自由采食和饮水。将兔随机分为空白对照组和MC组。所有手术均用10%(V/V)氧水合氯醛进行全身麻醉。对麻醉深度的评估是通过脚趾捏反射消失判定。麻醉后,家兔横向位置固定。右侧腹上的手术部位被剃光,用无菌单分离,用外科手术消毒,用酒精、碘伏消毒,覆盖无菌巾。右腹部做皮肤切开,然后切开皮下筋膜和肌肉。肋骨暴露后,切口在右侧,平行于肋骨方向。骨科肋骨剪用于去除肋骨的一部分,骨膜在外侧缘和底部被保留。肋骨骨折的边缘磨平滑使用锉刀满足设计尺寸。MC植入缺陷区,并检查其位置。对照组不植入任何材料。肋骨头碎片,凝血痂,和肋骨骨髓组织进行50ml生理盐水冲洗。止血和伤口生理盐水冲洗后,皮下筋膜、肌肉和皮肤切口缝合用可吸收手术缝合线4/0缝合由两层后,酒精和碘酒消毒。手术后,实验兔每天注射青霉素肌注,连续3天。兔子单独饲养。兔可以自由获取食物和水,并在术后的任何时间对任何并发症或异常行为进行监测。X线平片分析:分别在4, 8周和12周后侧普通X线投影操作检查兔子的肋骨。氯胺酮(40mg/kg)肌肉注射麻醉家兔。将摄影胶片放在右腹部。组织学检查:术后12周处死动物手术。骨缺损部位的标本固定于10%中性福尔马林48h. 然后10%多聚甲醛固定和5%乙二胺四乙酸(EDTA)脱钙。脱钙后,样品通过切片机沿纵向平面切割,然后嵌入石蜡。切片并进行HE染色。然后用光镜观察。结果:死亡率和临床体征:所有动物术后快速恢复,并恢复日常活动如饮食、饮水。未发现明显的感染迹象,如红、热切口或渗出物。未观察到与其他临床对象相关的临床体征。X线平片分析:MC组X线片显示3cm的缺损处覆盖有均匀不透明物质。可以清楚地看到,在术后4周,大量新骨形成,缺损几乎完全修复。此外,术后8周和12周发生骨重建。在手术后12周,肋骨缺损新形成的愈伤组织,断端被骨桥连接。术后4周,一些新骨形成明显的透亮,提示对照组新骨形成率较MC组慢。术后4周仍能观察到间隙。组织学检查:目前的组织学结果显示,相对成熟的骨小梁骨排列整齐,MC组术后12周,骨小梁周围可见血管生长细胞。骨单位已经形成,新形成的骨腔和骨髓腔发育良好。对照组骨小梁较少。这些结果表明MC具有促进新骨形成的能力。MC能为植入新骨侵袭和刺激新骨沉积提供一个良好的生物环境。它不仅可以作为促进组织再生的空洞填充物,而且可以作为愈合过程的加速器。随着新的骨侵袭,MC骨材料逐渐降解,被新生骨组织分离成若干个小岛屿。蓝色染色显示新骨形成的胶原,红段显示成熟骨胶原。植入后,周围的骨组织沿着多孔的MC支架生长。可以归因于MC是矿化的胶原纤维,在细胞水平上表现出令人满意的生物相容性,通常在植入周围的纤维囊的形成中占主导地位。讨论:首先,肋骨具有可变弧度,因此单一的移植物可能不适合肋骨重建,因为移植物必须容易成型。本研究采用MC重建肋骨缺损。本研究首次报道了这一方法。我们成功地用MC重建了一个长肋骨缺损。本研究发现,MC修复组的骨改建活性高于无MC组,尤其在重建早期,这表明肋骨缺损重建是重要且必要的。肋骨不是承重骨,但可以通过呼吸移动。肋骨重建虽然取得了良好的效果,但仍需进一步研究。然而,仍然存在一些问题,如移植物的机械完整性。因胸部肌肉的作用,移植物仍然受到变形力,特别是当动物发出声音。我们认为这种技术可能是肋骨修复的一种可行的方法。结论:结果表明,与正常对照组相比,MC骨缺损修复后骨再生迅速,骨组织更为成熟。本研究为人工骨移植修复肋骨缺损的可行性提供了实验依据。






