
科学家们常建立自发性小鼠模型用以对肿瘤的病理研究,自发肿瘤模型是在自然突变或人为基因编辑条件下,免疫功能健全小鼠体内携带癌基因的过表达或激活突变、抑癌基因的缺失或抑制突变而自发形成肿瘤。
选择这一类肿瘤模型的优点在于,其分子调控机制和病理学机制与自然条件下发生的肿瘤更相似,包括了肿瘤发展的随机性、早期进展和自发的肿瘤转移,更好地概括了人类肿瘤的发展进程,适用于肿瘤生长的生物学过程的研究、免疫治疗模式的评估和抗肿瘤治疗药物的研发筛选等,研究人员也可以利用它们建立起体外培养的肿瘤细胞系,并移植给遗传背景相同的小鼠以构建肿瘤移植模型。
自发性肿瘤小鼠模型推荐
致力于加速肿瘤疾病药物研发,赛业生物在动物模型领域深耕多年,所搭建的药物筛选评价小鼠模型平台可为研究人员提供KPC、KP、KC model、Apc-Min等多类型的自发性肿瘤小鼠模型,并开展相应的药物药效评价。

模型验证数据——以KPC小鼠为例
Kras和Trp53是胰腺癌发生的关键因子,Kras基因失活结合Trp53抑癌基因失活使得模型更快地发展为胰腺癌及促进其向其它部位的转移。KPC小鼠携带LSL-KrasG12D、LSL-Trp53R172H和Pdx1-Cre三种基因型,是最完美的自发胰腺癌小鼠模型之一,它与人类胰腺癌的关键特征非常相似。KPC模型可用作胰腺导管腺癌(PDAC)的模型,并且由于该模型体内的肿瘤有转移倾向,因此KPC小鼠可用于研究原发性和转移性病变的免疫生物学。
瘤体形态
取18周龄KPC小鼠模型的胰腺,可观察到瘤体积较大且表面不平整、多个结节状突起。

图1 KPC小鼠模型胰腺瘤体
图片来源:赛业生物
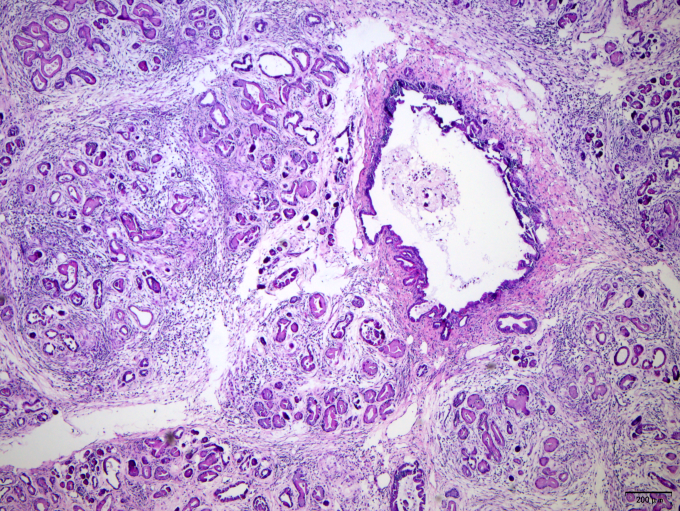
病理组织学观察
胰腺病理的结果显示,胰腺结构紊乱、导管增生并伴随炎症细胞浸润。

4X

10X
图2 KPC小鼠胰腺癌体的HE染色结果
图片来源:赛业生物
大部分KPC小鼠肺部病理观察到肺转移的现象,病理结果显示KPC小鼠的肺部出现大量淋巴细胞浸润,符合模型特点。

图3 KPC小鼠的肺部HE染色结果
图片来源:赛业生物



