
都说谈瘤色变,但是肿瘤在实验动物工作者眼中却十分常见——
好久不见,你瘤子长的咋样了
就凑合着长呗,你的呢?
科研人员谈起肿瘤来如同唠家常,原因当然就是
得瘤的是我,不是你们.....
肿瘤是严重危害人类健康的重大疾病之一,而“小鼠的肿瘤,无论在组织发生上、临床过程上以及组织形态学上都与人类的肿瘤有相似之处。”因此,为了更好的了解肿瘤的发病机制、侵袭与转移过程以及治疗方式,各种高癌和低癌品系小鼠广泛应用于实验肿瘤学研究。
今天,赛博士将为大家讲解小鼠的肿瘤性疾病相关知识,研究肿瘤的发生发展机制,本期主要为大家介绍淋巴组织和造血组织肿瘤。
一、淋巴系统和造血系统
❖【发病率】
淋巴组织和造血组织肿瘤的自发发病率估计为1%~2%。但是,有一些品系小鼠经过特定的近交繁育,对自发性肿瘤更加易感。
❖【发病原因】
小鼠白血病的发生可能与病毒和化学或物理因素有关。
❖【病毒因素】
①与淋巴和造血肿瘤相关的病毒属于逆转录病毒科(C型肿瘤病毒),含有RNA依赖的DNA聚合酶(逆转录酶)。这些病毒通常对受感染的细胞无细胞致病性,而小鼠似乎将其作为基因组的正常组成部分。虽然它们可能与自发性白血病有关,但在本病中的表达并不一致。
②最近发现重组病毒可以感染小鼠细胞和异源细胞,并与高发白血病品系如AKR小鼠的自发白血病发生有关。这些病毒的表型表达受小鼠基因型控制。
③内源性逆转录病毒通过生殖细胞垂直传播。
④水平传播效率低,但可通过宫内感染或通过唾液、痰、尿液、粪便或乳汁传播。
⑤由特定内源性病毒引起的白血病通常具有单一的组织病理学类型。
⑥丧失核酸识别功能,TLR3、TLR7和TLR9可导致自发性逆转录病毒血症和急性T淋巴细胞白血病(Yu等人,2012年)。
❖【物理化学因素】
化学致癌物,如多环烃、亚硝基脲和亚硝胺,以及物理因素,如X射线照射,也可诱发小鼠血液系统恶性肿瘤。
二、淋巴母细胞淋巴瘤(胸腺淋巴瘤,B细胞淋巴瘤)
❖【常见肿瘤】
小鼠最常见的造血系统恶性肿瘤是起源于胸腺的淋巴细胞白血病。
❖【疾病症状】
①疾病开始于单侧萎缩,然后随着肿瘤细胞的增殖,胸腺的一侧叶增大。
②细胞可以扩散到另一侧叶,然后扩散到其他造血器官,如脾脏、骨髓、肝脏和外周淋巴结。
③临床症状包括呼吸困难和眼球突出。眼球突出症状是由于头部回流的静脉血受到压迫。
④肿瘤细胞在疾病晚期进入血液循环。
❖【起源】
这些肿瘤大多起源于T淋巴细胞或淋巴母细胞,但也有B淋巴细胞白血病或无细胞系白血病。在后两种情况,淋巴结和脾脏常受累,但胸腺一般正常。

图1 小鼠诱导产生胸腺淋巴瘤[2]
三、网状细胞肉瘤---组织细胞淋巴瘤、滤泡中心细胞淋巴瘤(滤泡性淋巴瘤)
❖【发病率】
网状细胞肉瘤在老年小鼠中很常见,尤其是在近交系如C57BL/6和SJL中。
❖【分类】
根据形态学和免疫组化特征,原发性肿瘤细胞分为若干类型。
①A型肉瘤:组织细胞性肉瘤对应旧版Dunn分类法中的A型肉瘤,主要由网状细胞组成。这种肿瘤通常会引起脾肿大和其他器官的结节性病变,包括肝、肺、肾和雌性生殖道。
②B型肉瘤:滤泡性淋巴瘤相当于Dunn B型肉瘤。它们起源于外周淋巴组织的B细胞区(生发中心),包括脾脏、淋巴结和派氏结。典型的肿瘤细胞有大的囊泡状、折叠或分裂的细胞核和界限不清的胞质边界。肿瘤也常含有小淋巴细胞。
③C型网状细胞肿瘤:C型网状细胞肿瘤常累及一个或多个淋巴结,而不是广泛分布。它们由网状细胞和分化良好的淋巴细胞组成。
四、粒细胞性白血病
❖【发病率】
骨髓白血病在小鼠中并不常见,与逆转录病毒感染有关。
❖【症状】
①疾病始于脾脏,导致明显的脾肿大,但白血病的扩散导致许多组织受累,包括肝、肺和骨髓。
②在外周血中可以发现处于不同分化阶段的白血病细胞。
③在老年动物中,由于髓过氧化物酶的活性,受累的器官可能呈绿色,这就产生了氯白血病(绿色瘤)。绿色与空气接触就会褪色。受影响的小鼠临床上通常表现为贫血和呼吸困难。
五、红白血病
❖【发病率】
红白血病在小鼠中很少见。
❖【症状】
主要病变为脾肿大,伴有贫血和红细胞增多症。随后肝脏肿大,但胸腺或淋巴结几乎没有变化。
❖【实验诱导】
①小鼠红白血病可由SFFV病毒(Friend spleen focus-forming virus)试验性诱导,SFFV最初激活红细胞中的促红细胞生成素(Epo)受体和酪氨酸激酶受体sf-Stk,导致细胞增殖、分化和存活。
②在第二阶段,SFFV激活髓系转录因子PU.1,阻断红系细胞分化,与p53肿瘤抑制活性的丧失相结合,导致恶性细胞的生长。
六、肥大细胞瘤
❖【发病率】
小鼠的肥大细胞肿瘤也非常罕见。
❖【症状】
它们几乎只在老年小鼠身上发现,而且生长缓慢。
❖【鉴别诊断】
不应将其与使用致癌物或X射线照射后在皮肤中观察到的肥大细胞增生混淆。

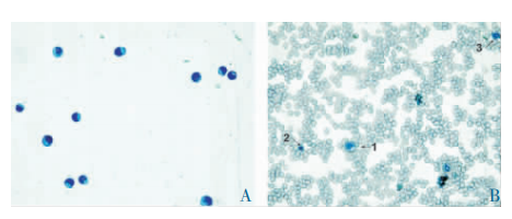
A:肥大细胞瘤细胞涂片(全为肥大细胞瘤细胞);B:死亡组小鼠血涂片(1:肥大细胞瘤细胞;2、3:小鼠正常淋巴细胞)。
七、浆细胞瘤
❖【发病率】
自发性浆细胞肿瘤在小鼠中并不常见。
❖【实验诱导】
①它们可以通过腹腔内接种肉芽肿因子(如塑料过滤器、塑料屑或各种油)来诱导,特别是在BALB/c小鼠中。
②矿物油诱导BALB/c小鼠浆细胞瘤产生大量内源性逆转录因子,如嗜生性和多向性小鼠白血病病毒和脑池内A颗粒。
③相关炎症可促进逆转录因子插入癌基因,从而促进肿瘤。
④与其他自发性癌症类似,小鼠浆细胞瘤的发展受到NK细胞固有免疫反应的抑制,当被病毒激活时,NK细胞将释放γINF。
参考文献:
[1]Fox J G, Anderson L C, Otto G, et al. Laboratory Animal Medicine:Third Edition[M]. 2015.
[2]FAN Shuang-Yi, YU Ying-Hao, WU Zai-Zeng. Improvement of Mouse Model for Thymic Lymphoma Induced by N-methyl-N-nitrosourea.Journal of Experimental Hematology[J]. 2010, 18(4):914-918
[3]SUN Mao-ben1, WANG Liang2, DENG Lan, et al. Establishment of BALB/c mice mastocytoma/mast cell leukemia model[J]. Journal of Tropical Medicine. 2011, Vol.11 No.3.



