
Rptor基因是雷帕霉素蛋白激酶靶标(protein kinase target of rapamycin, TOR)的主要参与编码基因之一,编码雷帕霉素靶点复合体1(mTORC1)的其中一个亚基,是mTOR信号通路的组成部分,参与细胞生长与能量代谢的过程。mTOR信号通路在机体发育和衰老中发挥关键作用,并与癌症、心血管疾病、肥胖和糖尿病等疾病有关。与该基因相关的疾病主要有结节性硬化症、血管平滑肌脂肪瘤、神经性疾病和脂肪代谢疾病等。
赛业生物《每周一鼠》,每周五更新,为大家讲解一个小鼠模型的故事,希望对大家了解不同的小鼠模型有所帮助。今天和大家见面的是Rptor基因敲除小鼠。
Rptor基因简介
Rptor基因又称Rap、Raptor,位于小鼠的11号染色体上,该基因编码小鼠mTORC1的一个亚基,该亚基是mTOR信号通路的一个组成部分,调节细胞生长对营养和能量水平的响应。TOR是一个高度保守的细胞生长和代谢的中央控制器,在机体发育和衰老中发挥关键作用,并与癌症、心血管疾病、肥胖和糖尿病等疾病有关[1]。Rptor基因编码的蛋白可能调控mTORC1复合物的组装、定位和底物结合。mTORC1控制着很多决定细胞生长的细胞过程,包括蛋白质合成、核糖体生物发生、营养物质运输和自噬。Rptor基因的纯合敲除小鼠表现出胚胎毒性。在成年小鼠的肾上腺(RPKM 14.6)、胸腺(RPKM 13.0)等28个组织中普遍表达。该基因的突变与结节性硬化症,结节性硬化症1,Bardet-Biedl综合征,Cowden综合征等疾病有关。其相关通路有长寿调节途径和MAPK-Erk通路。

来源:RDDC罕见病数据中心
(https://rddc.tsinghua-gd.org/details/gene?gene=md1EQ2)
Rptor基因敲除小鼠模型的应用
1.脂肪
Rptor基因编码的雷帕霉素靶点复合体1(mTORC1)的亚基,参与调控mTORC1复合物的组装、定位和底物结合。mTORC1在脂肪代谢组织中起着关键作用,参与调节脂肪细胞脂质储存[2]。脂肪组织过多或缺乏会导致严重的代谢性疾病,如2型糖尿病、心血管疾病和癌症。为了研究mTORC1在体内脂肪组织代谢的作用,研究人员建立了Rptor基因敲除小鼠模型。由于小鼠中Rptor的全身敲除是胚胎致死的[3],因此使用Cre/loxP系统,通过ES打靶技术条件性敲除第6外显子,建立基因敲除小鼠模型,经与Cre工具鼠交配后使Rptor基因只在脂肪组织中被敲除。

图2 Rptor基因的条件性敲除方案策略[4]
后续实验中使用未与Cre鼠交配的经基因打靶修饰的同窝小鼠(Rptorfl/fl)作为对照,验证Rptor基因在小鼠脂肪组织代谢中的作用。经普通饲料和高脂饲料分别喂养13周后,对照组小鼠与实验组小鼠的体重出现明显差异,如图3所示。

图3 喂养不同饲料的小鼠体重变化与喂养HFD的13周后小鼠对比图[4]
取出小鼠的附睾、腹股沟与肩胛间白色脂肪进行称重与拍照,并对附睾脂肪进行H&E染色,可以看到Rptor基因敲除鼠(Rptorad-/-)的脂肪组织量明显减少,并且喂食高脂饲料(High fat diet,HFD)的实验组附睾组织脂肪细胞大小与对照组相比明显变小,说明脂肪组织的减少不仅是脂肪细胞减少造成的,也有脂肪细胞的体积缩小(如图4)。

高脂饮食13周后的小鼠主要白色脂肪组织与附睾的H&E染色结果[4]
以上结果表明,Rptor基因在控制脂肪代谢和全身能量稳态方面发挥着重要作用,在脂肪组织中特异性敲除Rptor基因可使小鼠变得瘦弱,并对饮食诱导的肥胖具有抗性。这显示Rptor编码的mTORC1是抗肥胖和抗糖尿病药物的潜在靶点。(赛业可提供同类型Rptor条件性敲除模型,产品编号:S-CKO-15978)
2.骨骼肌
骨骼肌质量和力量的丧失在许多病理中都是重要的参考指标,如与年龄相关的骨骼肌减少症或癌症。有研究表明,Akt-mTORC1通路对刺激成人肌肉质量和功能至关重要,Rptor的缺失可以减少Akt激活后的肌肉肥厚,并完全阻止肌肉力量的增加。为探索mTORC1在肌肉肥厚中的作用,研究人员构建了Rptor基因条件性敲除小鼠模型,通过Cre/loxP系统在相应组织细胞中敲除Rptor基因,在mTORC1的蛋白功能缺失模型中诱导肌肉肥厚。
将Akt诱导模型(LSL-myr-AKT-ER,条件性诱导表达)与Raptor floxed小鼠交配,从而获得了Akt/Raptor floxed模型。单次注射腺相关病毒(AAV)会导致成年小鼠腓肠肌和胫骨前肌中的Cre蛋白以非常高的效率感染。Cre介导lox位点重组后,Rptor基因被有效删除,且myr-AKT-ER在细胞质中实现表达;一个月后,当Raptor被有效删除时,再次注射他莫昔芬诱导myr-AKT-ER进入细胞核从而激活Akt。

Rptor基因的条件性敲除流程图[5]
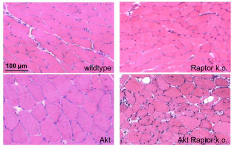
研究人员选取野生型作为对照,实验组分别为Akt信号因子诱导的野生型、Rptor敲除小鼠与Akt诱导的Rptor敲除小鼠。通过对小鼠肌肉组织进行H&E染色,发现经Akt激活后肌肉细胞均有肥大现象,但与野生型小鼠的肥大不同,Akt Rptor k.o.小鼠的肌肉组织明显受损,这可以从细胞核、炎症细胞的浸润和坏死纤维上得到证明(如图6)。

各组小鼠的肌肉组织H&E染色[5]
后续通过线粒体组织学染色探索Rptor对肌肉组织中线粒体活性的影响,可以看到Akt Rptor k.o.小鼠的线粒体与野生型相比有明显的差异,出现了集中局部集群,提示线粒体功能障碍。

经Akt信号因子诱导的野生型与Rptor敲除小鼠的线粒体SDH染色[5]
综上所述,这些结果表明Rptor是akt依赖性肌肉生长的关键基因,该基因对线粒体蛋白组的调节不可或缺,线粒体生物发生是诱导或维持功能性肌肉生长的关键。由此可以看出Rptor对肌肉力量的增加至关重要,Rptor基因的缺失会导致肌肉合成代谢的失调,从而造成各种肌肉相关疾病。
总结
与Rptor基因相关的疾病有多种,包括结节性硬化症、血管平滑肌脂肪瘤、肌肉肥大相关疾病、脂肪代谢疾病和神经性疾病等等,这些疾病大多数是多种基因共同参与调控的。Rptor基因主要编码mTORC1的一个亚基,参与mTOR信号通路的调控。TOR与细胞生长、能量代谢密不可分,并且mTOR信号通路在机体发育和衰老中发挥着关键作用。Rptor基因敲除小鼠模型的构建可以用于mTOR信号传导的机理研究,肌肉组织中蛋白质解偶联产生的热量相关研究和肌肉及脂肪组织代谢相关研究等等,具有广泛的科研意义。
赛业小鼠模型构建
赛业生物构建了同类型的基因敲除小鼠与条件性基因敲除小鼠,更有活体小鼠已加入『红鼠资源库』,快至两周发货,助力科学研究。
Rptor基因敲除小鼠

小鼠福利,限定发放中~
品系名称:C57BL/6J-Rptorem1(flox)Cya
品系编号:CKOCMP-74370-Rptor-B6J-VA
产品编号:S-CKO-15978
应用方向:
❖ mTOR信号传导
❖ 肌肉组织中蛋白质解偶联产生的热量相关研究
❖ 胃食管交界处腺癌等肿瘤研究
打靶方案:

Rptor基因条件性敲除小鼠打靶方案示意图
红鼠资源库
赛业“红鼠资源库”可以为您提供包括Rptor在内的多系列的完全性敲除小鼠和条件性敲除小鼠模型。强大的数据库给您更便捷的体验,研究人员能够在线查询、设计和优化基因编辑方案并比较研究数据和成果,并咨询订购。如有需要,欢迎拨打400-680-8038或扫码联系我们咨询订购~

欢迎扫码进入红鼠资源库
参考文献:
[1]Guertin DA, Sabatini DM. Defining the role of mTOR in cancer. Cancer Cell. 2007 Jul;12(1):9-22. doi: 10.1016/j.ccr.2007.05.008. PMID: 17613433.
[2]Andrade ML, Gilio GR, Perandini LA, Peixoto AS, Moreno MF, Castro É, Oliveira TE, Vieira TS, Ortiz-Silva M, Thomazelli CA, Chaves-Filho AB, Belchior T, Chimin P, Magdalon J, Ivison R, Pant D, Tsai L, Yoshinaga MY, Miyamoto S, Festuccia WT. PPARγ-induced upregulation of subcutaneous fat adiponectin secretion, glyceroneogenesis and BCAA oxidation requires mTORC1 activity. Biochim Biophys Acta Mol Cell Biol Lipids. 2021 Aug;1866(8):158967. doi: 10.1016/j.bbalip.2021.158967. Epub 2021 May 15. PMID: 34004356.
[3]Guertin DA, Stevens DM, Thoreen CC, Burds AA, Kalaany NY, Moffat J, Brown M, Fitzgerald KJ, Sabatini DM. Ablation in mice of the mTORC components rptor, rictor, or mLST8 reveals that mTORC2 is required for signaling to Akt-FOXO and PKCalpha, but not S6K1. Dev Cell. 2006 Dec;11(6):859-71. doi: 10.1016/j.devcel.2006.10.007. PMID: 17141160.
[4]Polak P, Cybulski N, Feige JN, Auwerx J, Rüegg MA, Hall MN. Adipose-specific knockout of rptor results in lean mice with enhanced mitochondrial respiration. Cell Metab. 2008 Nov;8(5):399-410. doi: 10.1016/j.cmet.2008.09.003. PMID: 19046571.
[5]Baraldo M, Nogara L, Dumitras GA, Tchampda Dondjang AH, Geremia A, Scalabrin M, Türk C, Telkamp F, Zentilin L, Giacca M, Krüger M, Blaauw B. rptor is critical for increasing the mitochondrial proteome and skeletal muscle force during hypertrophy. FASEB J. 2021 Dec;35(12):e22031. doi: 10.1096/fj.202101054RR. PMID: 34767636.[2] Lovisa S, LeBleu VS, Tampe B, Sugimoto H, Vadnagara K, Carstens JL, Wu CC, Hagos Y, Burckhardt BC, Pentcheva-Hoang T, Nischal H, Allison JP, Zeisberg M, Kalluri R. Epithelial-to-mesenchymal transition induces cell cycle arrest and parenchymal damage in renal fibrosis. Nat Med. 2015 Sep;21(9):998-1009. doi: 10.1038/nm.3902. Epub 2015 Aug 3. PMID: 26236991; PMCID: PMC4587560.
[3] David CJ, Huang YH, Chen M, Su J, Zou Y, Bardeesy N, Iacobuzio-Donahue CA, Massagué J. TGF-β Tumor Suppression through a Lethal EMT. Cell. 2016 Feb 25;164(5):1015-30. doi: 10.1016/j.cell.2016.01.009. Epub 2016 Feb 18. PMID: 26898331; PMCID: PMC4801341.
[4] Loubat-Casanovas J, Peña R, Gonzàlez N, Alba-Castellón L, Rosell S, Francí C, Navarro P, García de Herreros A. Snail1 is required for the maintenance of the pancreatic acinar phenotype. Oncotarget. 2016 Jan 26;7(4):4468-82. doi: 10.18632/oncotarget.6785. PMID: 26735179; PMCID: PMC4826219.
[5] Murray SA, Carver EA, Gridley T. Generation of a Snail1 (Snai1) conditional null allele. Genesis. 2006 Jan;44(1):7-11. doi: 10.1002/gene.20178. PMID: 16397867
校审:李意祥



