
赛业生物《每周一鼠》,每周五更新,为大家讲解一个小鼠模型的故事,希望对大家了解不同的小鼠模型有所帮助。今天和大家见面的是Adamts5基因敲除小鼠。
Adamts5基因
Adamts5基因编码的蛋白属于ADAMTS蛋白家族成员,该蛋白家族是一种具有血小板反应蛋白基序以及去整合素和金属蛋白酶活性的蛋白家族。
该家族的蛋白都具有几个保守结构域,如前肽区域、金属蛋白酶结构域、整合素样结构域和血小板反应蛋白1型(TS)基序。该家族中的有些蛋白在C端上的TS基序的数量有所不同,有些成员具有独特的C端结构域。
该基因编码的前蛋白经过蛋白水解加工形成成熟的酶,这种酶包含两个TS基序。除此之外,该酶还可以作为一种蛋白聚糖酶,可切割蛋白聚糖(aggrecan),这种蛋白聚糖是软骨中的主要蛋白聚糖,因此,该酶可以介导骨关节炎中的软骨的损伤[1]。

图1. Adamts5蛋白结构预测模型[2]。
Adamts5编码的蛋白是一种在结缔组织的形成、发育、炎症和细胞迁移中起重要作用的金属蛋白酶。该蛋白还具有细胞外基质(ECM)降解酶活性,对硫酸软骨素蛋白聚糖(CSPG)的透明质酸部分显示出蛋白水解活性。
该酶对透明质酸的裂解发生在Glu-Xaa基序处,还通过对硫酸软骨素蛋白聚糖的重塑特性在胚胎发育(包括肢体和心脏形态发生)和骨骼肌发育中发挥作用。该蛋白可以在成肌细胞周围的细胞基质中进行切割,促进骨骼肌发育和再生所需的成肌细胞融合[3]。
骨关节炎
骨关节炎(OA)是一个世界范围内流行的疾病。膝关节骨性关节炎(KOA)是最常见的骨关节炎类型,可降低老年人的生活质量并增加社会经济负担。之前,OA被认为仅仅是一种磨损性疾病,慢性负荷和关节生物力学受损导致关节软骨破坏以及炎症,随后导致关节僵硬、肿胀和活动能力下降。
现在研究认为OA是由炎症和代谢因子调控的更复杂的过程。OA发病过程中最显著病理变化是关节软骨的降解。关节软骨是长于长骨末端和椎间盘内的光滑软骨,它提供了一个低摩擦表面,同时能够传递重物。尽管软骨内胶原蛋白的半衰期很长,但即使是轻微损伤也会使软骨的愈合非常缓慢。除软骨外,OA患者中整个关节均会受到影响,包括滑膜、关节韧带和软骨下骨[4]。
根据流行病学调查结果显示,在2005-2015年,世界范围内骨关节炎患者的数量增加了30%。50岁以上的人中,骨关节炎的发病率大约是50%。在中国约有1.75亿人患有骨关节炎,总发病率为12.5%,其中75岁以上的人,80%都会出现骨性关节炎的临床症状,而除了会对患者造成临床上的病痛之外,骨关节炎还会对患者造成睡眠障碍等影响。
Adamts5基因敲除小鼠
Adamts5基因敲除小鼠在诱导骨关节炎后表现出软骨退化显著减少的表型[6]。
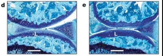
05年的一篇文献中,研究人员使用mBSA注射到膝关节的方式诱导关节炎模型,为了确认敲除ADAMTS5是否可以防止小鼠的蛋白聚糖损失和软骨损伤。研究人员通过观察胫骨关节切片中甲苯胺蓝染色情况判断软骨中蛋白聚糖的损失。结果显示,Adamts5敲除小鼠的聚集蛋白聚糖的损失显着低于对照组小鼠(图2a、d、e)[7]。


图2. 使用药物在对照组小鼠和Adamts5敲除小鼠中诱导关节炎。
a. 通过对照组(n=14)和Adamts5敲除组(n= 13)小鼠的胫股关节切片对蛋白聚糖缺失进行评分,并使用曼-惠特尼U检验进行数据分析。
d,e. 对注射了mBSA的胫股关节进行分析,(d)图是对照组小鼠的胫骨关节切片,(e)是Adamts5敲除小鼠的胫骨关节切片,蛋白聚糖丢失区域用L指示[7]。
09年的一篇文献中,研究人员在研究Adamts5敲除引起的白斑缺陷小鼠(bt)时,发现Adamts5和bt/bt双基因缺失的小鼠会发展出并指的表型(图3A)。相比之下,单纯的Adamts5敲除小鼠或bt/bt小鼠发生并指的概率相对低很多(分别为44%和18%)。
虽然每只Adamts5和bt/bt双基因缺失的小鼠中至少涉及三个并指,但融合的严重程度各不相同(图3B)。使用mCT对成熟的Adamts5和bt/bt双基因缺失小鼠的四肢进行三维重建,结果显示合并的手指并不存在骨性并指(图 3C)[8]。

图 3. 不同组合的Adamts等位基因突变比单一Adamts突变更容易形成软组织并指的表型。
A. 不同基因型导致软组织并指表型的外显率直方
B. 与野生型小鼠相比,在Adamts5和bt/bt双基因缺失的小鼠前肢和后肢中可以看到软组织并指的表型。箭头表示并指的位置。
C. 对3周大的Adamts5和bt/bt双基因缺失小鼠的爪子进行mCT分析[8]。
治疗方法
目前并没有治愈OA的方法,治疗方法多围绕减少可变的危险因素、关节内治疗、物理治疗、替代疗法和手术治疗以及一些新疗法展开。降低危险因素主要通过运动、减重的方法治疗OA。药物疗法中,通常使用非甾体类消炎药(NSAID)和对乙酰氨基酚来治疗OA。关节内注射类固醇是治疗OA炎症发作的一种方法,尽管疗效有限且作用时间短。对保守治疗无效或疼痛严重影响其生活质量的患者来说,全膝关节置换术(TKR)是治疗金标准。这种手术可显著缓解患者的疼痛,促进其功能改善。除此之外,还有很多的创新药也已用于治疗骨关节炎[4]。
GLPG1972/S201086是Galapagos公司发现的一种药物,该药物已经在两种动物模型中被证实可靶向软骨降解酶ADAMTS-5。在I期研究中,该药达到了安全性和药代动力学目标,并且在治疗2周内将ARGS新生抗原表位(软骨破坏的生物标志物)在血液中的水平降低了大约50%。在最近的一项研究中,该药治疗4周内发现了与动物实验类似的结果,即以剂量依赖的方式将ARGS新生抗原表位在血液中水平降低50%,同时表现出耐受性良好[9]。
干细胞治疗也是近几年研究较多的一种方法,相比于传统治疗方式,干细胞治疗膝骨关节炎有望从根本上促进软骨再生修复、抗炎能力,最终恢复骨关节功能。近几日,海思科医药集团与Lorecivivint公司签署一份长效治疗骨关节炎的候选首创新药的合作协议,作用靶点为CLK2和DYRK1A[10]。

图4. 骨关节炎的治疗方法,数据来源于《骨关节炎诊疗指南2018版》。
小结
OA的发病机制尚不清楚,一般认为与肥胖、外伤、软骨代谢异常、免疫、酶对软骨基质的降解等多种因素有关,其中聚蛋白多糖酶家族(ADAMTSs)与OA的关系日益受到医学界的重视。
本文介绍了Adamts5基因、由该基因导致的骨关节炎(OA)和相关的敲除小鼠表型以及骨关节炎目前的治疗方式,以供各位老师参考。

赛业“红鼠资源库”涵盖基因敲除小鼠、条件性敲除小鼠及海量突变位点小鼠品系,强大的数据库给您更便捷的体验,研究人员能够在线查询、设计和优化基因编辑方案并比较研究数据和成果,并咨询订购。
“红鼠资源库”可以为您提供Adamts5敲除活体小鼠以及Adamts5条件性敲除小鼠,如有需要,欢迎后台留言或联系我们咨询~
参考文献:
1. https://www.ncbi.nlm.nih.gov/gene/11096
2. https://alphafold.ebi.ac.uk/entry/Q9R001
3. https://www.uniprot.org/uniprot/Q9UNA0
4. 钱佳佳. 基于蛋白组学研究温经通络汤调控血管新生治疗膝骨关节炎的作用机制[D].南京中医药大学,2021.DOI:10.27253/d.cnki.gnjzu.2021.000071.
5. 史东, 董富强, 董金波,等. ADAMTS-4,ADAMTS-5在骨关节炎患者滑膜中的表达及意义[J]. 现代预防医学, 2015, 42(6):5.
6. https://www.lascn.net/Item/www.informatics.jax.org/marker/MGI:1346321
7. Stanton H, Rogerson FM, East CJ, Golub SB, Lawlor KE, Meeker CT, Little CB, Last K, Farmer PJ, Campbell IK, Fourie AM, Fosang AJ. ADAMTS5 is the major aggrecanase in mouse cartilage in vivo and in vitro. Nature. 2005 Mar 31;434(7033):648-52. doi: 10.1038/nature03417. PMID: 15800625.
8. McCulloch DR, Nelson CM, Dixon LJ, Silver DL, Wylie JD, Lindner V, Sasaki T, Cooley MA, Argraves WS, Apte SS. ADAMTS metalloproteases generate active versican fragments that regulate interdigital web regression. Dev Cell. 2009 Nov;17(5):687-98. doi: 10.1016/j.devcel.2009.09.008. PMID: 19922873; PMCID: PMC2780442.
9. Galapagos receives Fast Track designation from FDA for GLPG1972/S201086 in osteoarthritis
10. 2021年9月第三周创新药周报 西南证券.
关于赛业
赛业生物科技集团是一家基于模式动物药物研发的国际化创新性CRO平台。依托于品系丰富的基因编辑小鼠资源库、高效且智能化的模式动物定制平台、药物筛选评价小鼠模型平台、一站式小动物表型分析平台、一站式无菌鼠技术服务平台及先进的细胞技术服务平台,建立了多位一体的创新性CRO平台服务网络,以服务于肿瘤、免疫、代谢、内分泌、心血管、神经及传染病等方向的科学研究及药物研发筛选,并与全球100多个国家和地区的数万名科学家及企事业单位建立了广泛的合作,产品与技术已直接应用于包括CNS(Cell, Nature, Science)三大期刊在内的6200余篇学术论文。赛业生物已获得ISO9001:2015和AAALAC双认证,确保向广大专家学者提供的所有产品和技术服务符合国际标准的同时也表达了我们尊重动物福利和伦理,重视生物安全的负责任态度。如有需要,欢迎后台留言或者联系我们咨询。



