
赛业生物《每周一鼠》,每周五更新,为大家讲解一个小鼠模型的故事,希望对大家了解不同的小鼠模型有所帮助。今天和大家见面的是Ybx2基因敲除小鼠。
Ybx2基因
Y盒结合蛋白2 (YBX2),也称为Contrin或Msy2是非洲爪蟾DNA/RNA结合蛋白和小鼠MSY2蛋白的人类同源物。由Ybx2基因编码,是一种在生殖细胞中高度表达的核酸结合蛋白。该蛋白质能与一些基因启动子的Y-box元件区域结合,也能与这些基因转录出来的mRNA结合[1]。
YBX2蛋白是信使核糖核蛋白颗粒 (mRNP) 的主要成分,能参与调节生殖细胞中mRNA的稳定性及翻译。YBX2蛋白能通过不依赖序列的方式以很高的亲和力与全长mRNA结合,或者低亲和力地与特异性序列5'-UCCAUCA-3'相结合。该蛋白与母源mRNA的结合能保证该蛋白停留在细胞质中,还可以在细胞核中标记由Y-box启动子转录出来的特定的mRNA,并使这些RNA累积在细胞质中,从而进一步调控这些RNA的转录稳定性和翻译速率[2]。

图1. YBX2蛋白质结构预测[3]。
与Ybx2相关的疾病包括混合性生殖细胞肿瘤和卵巢无性细胞瘤。与该基因相关的GO注释分析包括核酸结合通路以及脂质结合通路。该基因的一个重要同源基因是Ybx3[4]。
Ybx2基因敲除小鼠
Ybx2(别名Msy2)基因的纯合敲除会导致雌性和雄性小鼠的不育。在精子形成过程中,生殖细胞会在减数分裂后期终止,同时分裂期间细胞的凋亡显著增加,并且,在附睾中观察不到精子。成年雌性小鼠的卵巢中能观察到一些生长中的卵泡但观察不到黄体[5]。
1●Msy2-/-雄性小鼠精子形成的晚期
会出现停滞现象
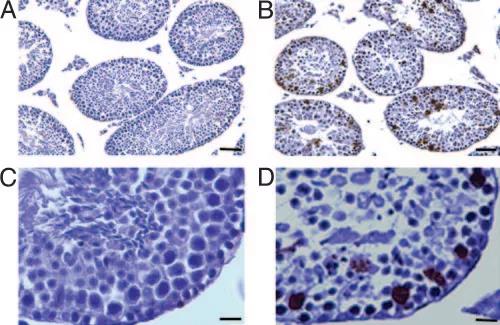
Yang J、Medvedev S、Yu J等人为了确定Msy2-/-雄性不育的原因,首先选择在6周龄时对睾丸进行分析比较,实验结果显示,Msy2-/-雄性小鼠的睾丸重量(63.95±3.52mg;n=6)在统计学上显著轻于野生型雄性小鼠的睾丸(88.68±3.77mg;n=6)。在低倍镜下,与成年野生型小鼠相比,成年的Msy2-/-雄性小鼠的曲细精管中未检测到成熟精子(图2A)。在高倍镜下,与野生型小鼠相比(图2C)相比,研究人员在Msy2-/-雄性小鼠睾丸中的许多生精小管(图2B和2D)中看到精子细胞伸长导致精子形成受阻。
除此之外,研究人员观察到许多二倍体的空泡精细胞以及多核精细胞。虽然研究人员也发现了少量外观正常的精细胞,但大多数精细胞形态畸形,表现出不同程度的浓缩,并且通常具有多个细胞核。不仅如此,成年Msy2-/- 雄性小鼠的附睾中缺乏成熟的精子(图2F),而野生型小鼠的附睾中充满了精子(图2E)。因此,Msy2的缺失导致精子形成后期发育阻滞,这种结果可能是由于减数分裂后期生精基因的调控异常导致的。

图2. 来自6周龄和7周龄野生型和Msy2敲除小鼠的睾丸和附睾的组织学切片[6]。
A-B. Msy2敲除小鼠的睾丸。
C. 野生型小鼠的睾丸。
D. Msy2敲除小鼠的睾丸。
E. 野生型小鼠的附睾。
F. Msy2敲除小鼠的附睾。(比例尺:A、E 和 F,20μm;B-D,80μm)
2●Msy2敲除小鼠睾丸中TUNEL阳性细胞
的水平显著增加
研究人员猜测Msy2敲除小鼠表现出的不育症和睾丸重量降低可能是生殖细胞缺失导致的,为了确定这个假设,研究人员进行了TUNEL实验分析,实验结果显示,与野生型小鼠相比,在7周龄Msy2敲除小鼠的睾丸中可以检测到TUNEL阳性细胞的数量显著增加(图 3)。
在更高的放大倍数下,可以看到大多数TUNEL阳性细胞处于减数分裂前期,处于减数分裂后期的生殖细胞的数量较少。

图 3. 对野生型和Msy2敲除小鼠睾丸的TUNEL实验。通过在野生型小鼠和Msy2敲除小鼠的睾丸切片中进行原位TUNEL染色检测凋亡细胞(棕色)(比例尺:A和B,20μm;C和D,100μm)[6]。
3●Msy2敲除雌性小鼠具有
早期卵母细胞缺失的表型
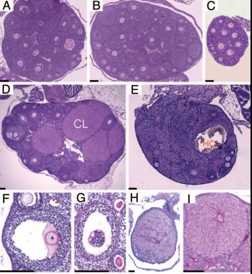
研究人员为了探究Msy2敲除雌性小鼠的不孕症,在不同的时间点对卵巢进行了分析。在2日龄和8日龄时,野生型雌性小鼠和Msy2敲除雌性小鼠的卵巢无明显差异。到21日龄时,Msy2敲除雌性小鼠卵巢中的卵泡较少(图4C),而在对照组同年龄阶段的雌性小鼠中,其卵巢具有多个次级和早期卵泡(图4A和B)。
到8周龄时,野生型小鼠的卵巢具有完整的卵泡和黄体(图4D),而Msy2敲除小鼠的卵巢只能观察到较少的卵泡和出血性囊肿(图4E)。到20周时,Msy2敲除小鼠卵巢中出现了一系列表型,诸如囊肿、卵母细胞缺乏卵丘细胞(图4F)、死亡的卵母细胞以及间质和颗粒细胞“侵入”透明带(图 4G)。
在8月龄时,Msy2敲除小鼠的卵巢大小和卵泡数量出现变化,9只Msy2敲除小鼠中有3只小鼠的卵巢很小,而且一般没有卵母细胞和卵泡(图4H和I)。研究人员发现全部Msy2敲除小鼠的卵巢都有丰富的间质组织,推测可能是退化的卵泡残余物和透明带残余物。
有趣的是,9只Msy2敲除小鼠中有5只小鼠的卵巢具有黄体,并且其中央包含有卵母细胞,这种表型类似于具有排卵缺陷的小鼠模型,比如孕酮受体敲除小鼠和pentraxin-3基因敲除小鼠。最后,研究人员对4只Msy2敲除雌性小鼠进行促性腺激素诱导排卵,但4只小鼠都没有响应激素刺激而排卵。因此,卵母细胞中Msy2的缺失会导致卵母细胞早期发育缺陷、排卵缺陷和不孕症。

图4. Msy2敲除雌性小鼠和正常雌性小鼠卵巢的组织学[6]。
A–C. 三周龄野生型小鼠(A)、Msy2+/-杂合子小鼠(B)和Msy2-/-小鼠(C)的卵巢在相同的放大倍数下进行拍照。D. 野生型小鼠8周龄的卵巢。E–I. Msy2敲除小鼠8周(E)、20 周(F-G)和8个月(H-I)时的卵巢照片。值得注意的是,与C图相比,A图和B图中的卵泡数量更多,D图中能观察到大量黄体和处于不同发育阶段的卵泡,但在E图中,可以发现黄体缺失、卵泡数量减少,还有出血性囊肿(HC)以及间质组织的增加的表型(比例尺:100μm。)
小结
Ybx2(Msy2)基因是一个生殖细胞特异性的基因,敲除小鼠的表型主要集中在生殖细胞上,这些结果表明要研究此基因对生殖细胞的形成,只需要做敲除小鼠就可以。此外,Ybx2基因与mRNA的稳定性有很大关系,老师们也可参考此基因在细胞实验中的结果,看该基因在小鼠上是否会产生类似的现象,以及是否存在代偿的途径。
赛业“红鼠资源库”涵盖基因敲除小鼠、条件性敲除小鼠及海量突变位点小鼠品系,强大的数据库给您更便捷的体验,研究人员能够在线查询、设计和优化基因编辑方案并比较研究数据和成果,并咨询订购。
“红鼠资源库”可以为您提供Ybx2敲除小鼠,而且Ybx2条件性敲除活体小鼠现在正在参与秒杀,48小时内即可发货,最后两天,如有需要,欢迎后台留言或联系我们咨询~




