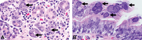
摘要:在具有空Prkdc和白细胞介素2受体γ基因的严重联合免疫缺陷F344大鼠对一种新型多瘤病毒的鉴定及发病机制、传播途径的研究。感染的大鼠经历了体重下降、繁殖力下降和死亡。在呼吸道、唾液腺、泪腺、子宫和前列腺上皮中观察到大的嗜碱性核内包涵体。受损组织的无偏病毒宏基因组测序鉴定了一种新的多瘤病毒,暂命名为褐家鼠多瘤病毒2(RatPyV2)。原位杂交分析和定量聚合酶链反应(PCR)结果显示病毒核酸存在于呼吸道、腺体和生殖组织的上皮中。foxn1rnu裸大鼠同感染大鼠共饲养或实验用病毒接种能复制多瘤病毒病。RATPYV2特异性诊断试验的建立后,免疫正常大鼠的调查,1000份粪便样品中PCR检测7份RATPYV2,1500份血清样品中检出480个抗RATPYV2抗体。这些发现表明在实验室鼠群中广泛存在感染,这可能对已建立的呼吸损伤模型具有深远的意义。此外,RatPyV2感染研究可为探讨人类WU多瘤病毒病的发病机制提供重要系统。关键词:大鼠病理学 免疫缺陷 生殖系统 呼吸系统 外分泌腺 新一代测序技术 大鼠多瘤病毒2病理:免疫缺陷的FSG大鼠在功能上缺乏B细胞、T细胞和自然杀伤(NK)细胞,具有成年开始消瘦、低繁殖力以及母鼠和幼崽相关死亡率的历史。临床症状包括消瘦、俯卧姿势和/或呼吸困难。FSG大鼠(n=12)的尸检显示颌下腺、舌下腺和腮腺、眶外泪腺和哈德氏腺严重萎缩。苏木精、伊红染色的组织病理学检查发现多发性乳腺导管和腺泡变性伴腺泡上皮发育异常和增生以及间质混合炎性细胞浸润。. 唾液腺、眶外泪腺、哈德氏腺、甲状腺腺和前列腺的腺泡上皮和导管上皮以及子宫内膜和子宫内膜腺内均可见嗜碱性的大型核内包涵体。核内包涵体常见于支气管上皮和肺细胞,较少见于肾盂尿路上皮、鼻泪管上皮和鼻压性呼吸上皮和上皮下腺上皮。在其它腹部器官、脑、垂体、心肌或骨骼肌或性腺中未观察到上皮核包涵体。细胞分布和包合特性与亲上皮DNA病毒一致。在大鼠群免疫功能正常的F344大鼠(饲养于FSG雄性大鼠及其杂合子代的雌性大鼠,n=16)的血清样品中未检测到大鼠的病毒和细菌病原体抗体。同样,用PCR方法检测免疫缺陷型FSG大鼠(n=1)的组织,以检测已知大鼠的病毒和细菌病原体,结果为阴性。样品也用RNYPYV1 MFI和PCR检测阴性。卡氏肺囊虫通过PCR从FSG大鼠的肺样本中检测,并用MFI检测F344饲养大鼠的血清样品。这些发现被认为是偶然的临床疾病谱。与真菌感染有关的FSG大鼠肺组织病理学损害最小至轻微,肺泡巨噬细胞聚集体与泡沫状嗜酸性物质有关,泡沫状嗜酸性物质中不同程度地含有嗜银性囊肿和肺泡间隔轻度增厚。累积的组织病理学结果和诊断试验结果提示FSG大鼠的病毒感染。病毒宏基因组学:从4只受感染的FSG大鼠的汇集组织中提取核酸,随机扩增,并进行深测序分析。利用针对所有已知真核病毒蛋白(VPs)的蛋白序列相似性搜索,在所有4个集合组织样本中检测多瘤病毒序列,并用于组装整个5108bp基因组。没有检测到其他病毒序列。开放阅读框(ORF)分析显示一个与多瘤病毒科相一致的基因组组织,其早期区域编码假定的小T抗原和LTAg,晚期区域编码结构性病毒蛋白VP1、VP2和VP3。据推测,在4462-4112位有一个ORF编码大T开放阅读框(ALTO)基因的一个交替框架。拟名为褐家鼠多瘤病毒2(RATPYV2,GenBank ID NC0335.1),以供参考。LTAg和VP1氨基酸序列的系统发育分析表明,RatPyV2与α多瘤病毒属的RnorPyV1存在差异,并具有类群。 重要的是,RatPyV2与另一种大鼠多瘤病毒相同,这种病毒是独立存在的,最近被描述为在具有X连锁严重联合免疫缺陷的基因改变的大鼠中引起疾病。RatPyV2与LTAg编码序列有61.87%的核苷酸同源性,根据国际病毒分类委员会的标准,与最密切相关的病毒物种鉴定为新物种。RATPYV2组织分布的回顾性研究:选取3只自然感染FSG大鼠的原代集落组织及1只与FSG大鼠共饲养的裸大鼠组织进行RatPyV2 ISH检测。在所有动物中测试的组织包括颌下腺和腮腺、眶外腺和哈德氏泪腺、肺和肾。在一组动物中检查有子宫(n=3)、前列腺/精囊/凝固腺(n=1)、前后鼻腔(n=1)、脑(n=3)、肝脏(n=2)、气管(n=2)、食管(n=2)、胃(n=2)、肠(n=3)和皮肤(n=1)。V-RATPYV2ID-LT和VP探针都给出了相似的结果。多器官系统中的上皮细胞是靶向的。在腺体、呼吸道、生殖道、泌尿道、胃肠道组织中,病毒核酸含量依次降低。. 在上呼吸道内,散在呼吸上皮和移行上皮、犁鼻上皮和上皮下腺的细胞核中存在探针杂交。受感染的细胞在气管、支气管和小支气管中大量存在,其中RatPyV2感染的细胞,通常具有核内包涵体,鼓胀和脱落进入气道。. 在肺泡的片状区域,病毒载细胞存在于肺泡壁和空隙内。在正常大鼠肺中,细支气管上皮的周转率(由Ki67表达评估)相当低(在1%到2%之间)。在本研究的RatPyV2感染动物中,复制细胞占15%到30%,并且RatPyV2感染细胞是分裂细胞群的一部分。CD68抗体标记的肺泡巨噬细胞对病毒包涵体呈阴性,提示肺泡空腔和壁中的病毒感染细胞是肺泡细胞。在FSG大鼠中,所有腺体都被严重靶向,并且腮腺、眶外侧和哈德良的杂交模式在裸大鼠中是相似的,尽管减弱。雄性生殖组织分析仅限于1只FSG大鼠,病毒在前列腺的上皮内大量存在且较少,但也存在于精囊、凝固腺和尿道里。尿道插管内有许多脱落细胞含有可检测的病毒。在FSG雌性大鼠的子宫内,散射的表面和腺上皮细胞含有病毒核酸。在大脑中没有观察到探针杂交;尽管有普遍的上皮趋化性,但在肠、肝或皮肤中没有观察到探针杂交。RATPYV2的传播、组织分布与流行:通过将3只裸大鼠与感染FSG的大鼠共饲养10~15周,或者通过腹膜内加鼻腔内给予RatPyV2自然感染FSG大鼠透明组织匀浆,评价RatPyV2在裸大鼠中的传播。15周后处死1只裸大鼠和实验接种的大鼠,收集成对的组织标本进行组织病理学检查和PCR病毒载量评价。另2只裸大鼠(共10周至14周)的组织仅通过组织病理学检查。通过病理组织学评价确定病毒诱导的病变分布。实验接种裸大鼠后眼眶内泪腺变性,支气管上皮和肺细胞无病毒包涵体和包涵体形成。此外,在子宫内膜腺上皮的子宫内观察到细胞核内包涵体。对与FSG大鼠共存15周的裸大鼠组织进行组织病理学评价,发现腮腺和眶外泪腺多灶性腺泡和导管上皮变性,并伴有核内包涵体形成。从其他2个共同居住的裸大鼠观察唾液和泪腺出现类似的病毒诱导的组织变化。病毒包涵体仅见于3只大鼠中的1只,肺和子宫中均未见,这与实验接种大鼠中观察到的结果相反。接种和合笼饲养的大鼠在鼻腔呼吸上皮都有核内包涵体。为了确定组织中病毒载量,用定量实时PCR方法评估了来自实验感染裸大鼠的2个配对组织样本。实验接种的裸大鼠子宫内病毒载量最高,其次是肺、气管、食道和舌头。在眶外泪腺和腮腺,裸大鼠的病毒载量最高,其次是舌、肾和颌下/舌下腺。组织病毒载量和分布数据与自然感染FSG大鼠的包涵体形成和组织退行性变的组织学发现相关。为了确定RatPyV2在生物医学研究大鼠中的流行情况,选择用于常规健康监测的血清(n=1500)和粪便样品(n=1000)进行RatPyV2监测试验。随机选择临床样本。RATPYV2血清抗体存在于用RATPYV2 VP1抗原MFI法评估的32%的样品中。RATPYV2-LTAG PCR检测粪便标本出现0.70%的RATPYV2基因组。结论:免疫缺陷大鼠的感染与临床疾病有关,病毒靶向包括呼吸道、泪腺和唾液腺的多组织上皮细胞,以及雌性和雄性生殖道,这暗示了水平和垂直和性传播的潜力。通过裸大鼠直接接触感染大鼠和肠道外病毒接种复制RatPyV2感染。在免疫正常大鼠的样本中抗RatPyV2抗体的32%的患病率表明在实验大鼠中病毒感染的广泛流行,这可能对已建立的大鼠模型具有重大意义。最后,大鼠RATPYV2感染可为人类多瘤病毒发病机制的研究提供独特的系统。



