
想调整研究方向,获得学术研究突破口?想获得论文选题思路,提高发文命中率?你需要了解学科发展态势和未来走向!赛业生物专栏《Gene of the Week》每周会根据热点研究领域介绍一个基因,详细为您介绍基因基本信息、研究概况和应用背景等,助您保持学术研究敏锐度,提高科学研究效率,期待您的持续关注哦。今天我们要讲的主角是在非酒精性脂肪肝的发病过程中发挥重要作用的Sirt3基因。
Sirt3基因简介
SIRT3基因,中文名为去乙酰化酶3,属于Sirtuins家族,Sirtuins是进化上保守的NAD+依赖性脱乙酰酶家族,具有调控细胞增殖、DNA修复、线粒体能量稳态和抗氧化活性等多种生理功能。哺乳动物Sirtuins家族共有7个成员(包括SIRT1-7),近期研究发现SIRT3在心血管和代谢疾病中发挥着重要作用。在分子机制层面上,SIRT3作为一种脱乙酰酶,主要定位在线粒体上,因此能够调节大部分线粒体蛋白的赖氨酸乙酰化,它的激活是细胞调整能量代谢的一个重要传感器,可调节线粒体ATP生成和对压力的适应性反应。SIRT3基因位于人类11号染色体上,基因全长约21.9kb,共有10个外显子,氨基酸数量为187个,由核编码后形成一个包含N端线粒体靶向序列的无酶活蛋白,该序列导入线粒体后被切断,留下一个酶活性的28kda的蛋白。近期研究表明,该基因调控线粒体的功能,与非酒精性脂肪性肝病(NAFLD)密切相关。

表1. SIRT3的基本信息
备注:标有√的意为赛业红鼠资源库有该种保存状态的小鼠
非酒精性脂肪性肝病(NAFLD)
非酒精性脂肪性肝病(nonalcoholic fatty liver disease,NAFLD)是指除外源酒精和其他明确的损肝因素所致的肝细胞内脂肪过度沉积为主要特征的临床病理综合征,与胰岛素抵抗和遗传易感性密切相关的获得性代谢应激性肝损伤。NAFLD是一个总称,包括一系列肝脏疾病,包括肝脂肪变性(NAFL)、单纯性脂肪肝(SFL)、非酒精性脂肪性肝炎(NASH)及其相关肝硬化,是肥胖和代谢综合征的一种肝脏表现。

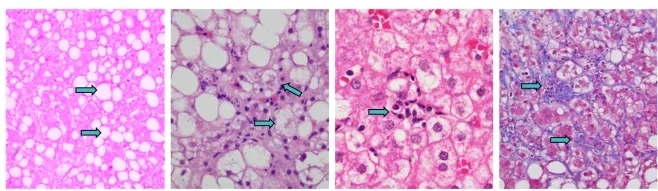
图1. 来自NAFLD患者肝脏活检的图像展示了肝脏脂肪变性(空泡结构)、肝细胞气球样变性、小叶炎症和细胞周围纤维化的典型表现[1]
NAFLD的致病机理
多年来,人们提出了一种“二次打击”(two-hit)理论来解释非酒精性脂肪性肝的发病机制。该理论表明,仅在肝脂肪变性(NAFL)的情况下,非酒精性脂肪性肝炎(NASH)的进一步发展需要来自其他诱因(例如氧化应激)的二次“打击”;然而,这种观点正逐渐被更新。促成非酒精性脂肪性肝炎发展的分子途径有很多,并且并非所有患者的致病驱动因素都相同。因此,导致疾病的机制及其临床表现都是高度异质的。
在定义NAFL和NASH的致病机制时,一个新兴的研究理论认为是肝脏处理的主要代谢能量底物(碳水化合物和脂肪酸)的能力超负荷运转了,导致肝脏内有毒脂质物质的过量积累。这些代谢产物会诱导肝细胞应激、损伤和死亡,导致肝脏纤维化和基因组损伤,易患肝硬化和肝细胞癌。因此,阐明肝细胞中脂肪酸的来源和去向对于理解NASH的代谢基础至关重要。当脂肪酸供应过量或处理受损时,它们可能作为产生脂毒性物质的底物,引起内质网应激和肝细胞损伤。阐明导致脂毒性、内质网应激和细胞损伤的途径可作为合理的治疗靶点[1]。

图2. 游离脂肪酸是NASH发病机制的核心。源自脂肪组织中甘油三酯脂解作用的游离脂肪酸通过血液输送到肝脏。脂肪酸在肝细胞中的两个主要途径是线粒体β-氧化和再酯化以形成甘油三酯。甘油三酯可以作为低密度脂蛋白进入血液或储存在脂滴中。脂滴甘油三酯经过调节的脂解作用,将脂肪酸释放回肝细胞游离脂肪酸池。当通过β-氧化或甘油三酯的形成对脂肪酸的处理不堪重负时,脂肪酸会导致脂毒性物质的形成,从而导致内质网应激、氧化应激和炎症小体激活。这些过程是NASH表型的原因,包括肝细胞损伤、炎症、星状细胞活化和过量细胞外基质的逐渐积累[1]。
SIRT3基因与NAFLD
越来越多的研究表明,伴随代谢异常产生的线粒体功能障碍是Ⅱ型糖尿病、肥胖、NAFLD等代谢疾病的共同内在特征。因此,探究线粒体功能障碍对NAFLD的致病机理和潜在分子靶标成为目前研究人员探索的一个新的治疗方向。
SIRT3在具有高氧化能力的大脑、心脏、肾脏、棕色脂肪组织和肝脏中高度表达,并且主要定位于线粒体基质中,通过可逆的蛋白乙酰化,在线粒体代谢中发挥重要作用,从而广泛参与机体代谢、氧化应激和细胞存活等生物学过程。Sirt3小鼠的敲除模型已被广泛用于阐明SIRT3在代谢中的生理作用。长期喂食高脂肪饮食的小鼠的Sirt3活性较低,线粒体功能受损,肝脏中蛋白质过度乙酰化[2]。来自Sirt3缺陷小鼠的研究数据表明,在基础正常条件下,处于高乙酰化形式的靶线粒体蛋白具有足够的活性来实现代谢稳态,然而,在氧化应激条件下,例如高脂肪饮食,机体代谢所需的SIRT3酶活无法充分增加以满足因肥胖和脂肪性肝炎引起的代谢紊乱的需求,这些小鼠会表现出加速肥胖、胰岛素抵抗和脂肪性肝炎等。在另一项对肌肉特异性Sirt3敲除小鼠的研究中,观察到耗氧量增加、脂质利用增加[3]。此外,高脂肪诱导全身性SIRT3敲除小鼠会加剧肠道微生物菌群失调,从而导致肠道通透性受损,这会促进NAFLD的发展[4]。因此,需要进一步的研究来阐明Sirt3在不同组织中发挥的作用。
总的来说,这些研究表明SIRT3作为一种能感应机体代谢状态的能量开关,通过调节线粒体蛋白的乙酰化水平,防止异常代谢情况下的线粒体应激和功能障碍,从而调控机体的代谢稳态。以上这些结果表明,SIRT3可能是临床治疗NAFLD的潜在治疗靶标。
Sirt3敲除小鼠模型
在C57BL/6小鼠中敲除Sirt3基因后得到的Sirt3敲除小鼠在高脂饮食(HFD)诱导下表现出肝脏沉积更多的脂质,肝脏变性程度更高,总体的NAFLD进程更严重[5]。

图3. SIRT3敲除小鼠表型数据[5]
小结
SIRT3通过调控线粒体功能参与全身性代谢稳态,目前研究初步揭示SIRT3在肝脏脂代谢和NAFLD疾病发展过程中的作用,这可能是一个临床治疗NAFLD的潜在分子靶标。然而,目前还不清楚哪些特定组织在介导SIRT3的全身效应中起主导作用。在这方面,肝脏和肌肉特异性Sirt3基因敲除动物在高脂肪饮食后的代谢表型中存在较大差异。此外,与热量限制相比,对于SIRT3在NAFLD等能量过剩条件(如高脂饮食、高碳水饮食)发挥调控作用的深入分子机制还知之甚少,这需要我们结合细胞分子水平和活体模型来进一步验证。
赛业生物一站式服务平台助力非酒精性脂肪肝研究
NAFLD是世界范围内肝脏疾病最重要的原因之一,并且很可能在未来几十年成为终末期肝病的主要原因,这种疾病会影响成人和儿童。体内体外模型在阐明非酒精性脂肪肝的病理生理机制以及新药的开发中起着重要的作用。
赛业生物一站式服务平台可为您提供研究NAFLD机制的基因编辑细胞株、小鼠(比如Sirt3敲除小鼠、饮食诱导的NAFLD小鼠)、无菌鼠,以及相关的表型检测、功能验证、病理分析等一系列的服务,为广大科研工作者提供便捷的服务,更有专业高效的科学家团队可为您提供深度的技术支持, 如有需要,欢迎联系我们咨询~
参考文献:
[1] S.L. Friedman, et al., Mechanisms of NAFLD development and therapeutic strategies, Nat Med, 24 (2018) 908-922.
[2] M. Choudhury, et al., Reduced mitochondrial function in obesity-associated fatty liver: SIRT3 takes on the fat, Aging (Albany NY), 3 (2011) 175-178.
[3] L. Lin, et al., Regulation of skeletal muscle oxidative capacity and muscle mass by SIRT3, PLoS One, 9 (2014) e85636.
[4] M.T. Chen, et al., SIRT3 Deficiency Promotes High-Fat Diet-Induced Nonalcoholic Fatty Liver Disease in Correlation with Impaired Intestinal Permeability through Gut Microbial Dysbiosis, Molecular Nutrition & Food Research, 63 (2019).
[5] S.T. Li, et al., Sirtuin 3 Acts As a Negative Regulator of Autophagy Dictating Hepatocyte Susceptibility to Lipotoxicity, Hepatology, 66 (2017) 936-952.



