科学家利用基因编辑技术阻止禽流感病毒在实验室培养的鸡细胞中传播。这些发现提高了产生对该疾病具有抗性的基因编辑鸡的可能性。
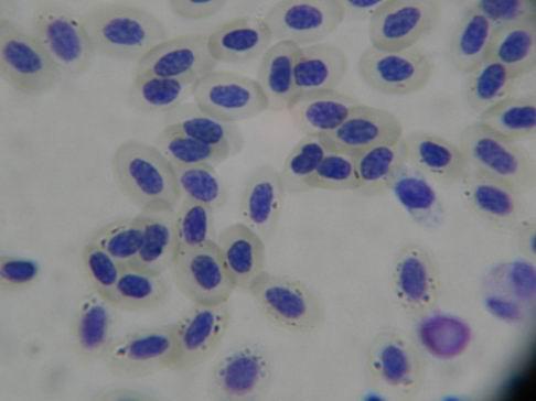
研究人员通过删除实验室培养细胞内的一段鸡DNA来防止病毒被捕获。下一步将尝试生产具有遗传变化的鸡。该团队表示,尚未生产任何鸟类。科学家针对鸡细胞内的一种特定分子,称为ANP32A。伦敦帝国理工学院的研究人员发现,在感染过程中,流感病毒劫持了这种分子以帮助自我复制。研究人员与爱丁堡大学罗斯林研究所的专家合作,利用基因编辑技术去除负责产生ANP32A的DNA部分。他们发现病毒不再能够在具有遗传变化的细胞内生长。禽流感是全世界养殖鸡的主要威胁,严重的毒株可以杀死100%的鸡群。在极少数情况下,病毒的某些变异可能会感染人并导致严重疾病。迫切需要努力控制疾病的传播。罗斯林研究所的研究人员之前曾与剑桥大学的专家合作,使用基因改造技术生产未感染禽流感的鸡。新方法不同,因为它不涉及将新的遗传物质引入鸟类的DNA中。该研究由生物技术和生物科学研究委员会资助,该委员会还为罗斯林研究所提供战略资金。博士生资助由全球家禽研究公司Cobb-Vantress提供。该研究发表在eLife期刊上。爱丁堡大学罗斯林研究所的麦克格鲁博士说:“这是一个重要的进步,表明我们可以利用基因编辑技术生产抗禽流感的鸡。我们还没有生产任何鸟类在我们采取下一步措施之前,我们需要检查DNA变化是否对鸟类细胞产生任何其他影响。“伦敦帝国理工学院流感病毒学教授Wendy Barclay教授说:“我们早就知道,鸡是流感病毒的储存库,可能引发下一次大流行。在这项研究中,我们发现了我们可以做出的最小的遗传变化鸡可以帮助阻止病毒的发生。这有可能阻止下一次流感大流行。“Cobb-Vantress基因组学和数量遗传学高级主任Rachel Hawken说:“肉鸡生产中的禽流感抗性具有全球意义,这项研究是朝着这一目标迈出的重要一步。让Cobb成为探索的一部分令人兴奋可用于推动未来家禽育种的新技术。“
研究人员通过删除实验室培养细胞内的一段鸡DNA来防止病毒被捕获。下一步将尝试生产具有遗传变化的鸡。该团队表示,尚未生产任何鸟类。科学家针对鸡细胞内的一种特定分子,称为ANP32A。伦敦帝国理工学院的研究人员发现,在感染过程中,流感病毒劫持了这种分子以帮助自我复制。研究人员与爱丁堡大学罗斯林研究所的专家合作,利用基因编辑技术去除负责产生ANP32A的DNA部分。他们发现病毒不再能够在具有遗传变化的细胞内生长。禽流感是全世界养殖鸡的主要威胁,严重的毒株可以杀死100%的鸡群。在极少数情况下,病毒的某些变异可能会感染人并导致严重疾病。迫切需要努力控制疾病的传播。罗斯林研究所的研究人员之前曾与剑桥大学的专家合作,使用基因改造技术生产未感染禽流感的鸡。新方法不同,因为它不涉及将新的遗传物质引入鸟类的DNA中。该研究由生物技术和生物科学研究委员会资助,该委员会还为罗斯林研究所提供战略资金。博士生资助由全球家禽研究公司Cobb-Vantress提供。该研究发表在eLife期刊上。爱丁堡大学罗斯林研究所的麦克格鲁博士说:“这是一个重要的进步,表明我们可以利用基因编辑技术生产抗禽流感的鸡。我们还没有生产任何鸟类在我们采取下一步措施之前,我们需要检查DNA变化是否对鸟类细胞产生任何其他影响。“伦敦帝国理工学院流感病毒学教授Wendy Barclay教授说:“我们早就知道,鸡是流感病毒的储存库,可能引发下一次大流行。在这项研究中,我们发现了我们可以做出的最小的遗传变化鸡可以帮助阻止病毒的发生。这有可能阻止下一次流感大流行。“Cobb-Vantress基因组学和数量遗传学高级主任Rachel Hawken说:“肉鸡生产中的禽流感抗性具有全球意义,这项研究是朝着这一目标迈出的重要一步。让Cobb成为探索的一部分令人兴奋可用于推动未来家禽育种的新技术。“ 


