赛业生物《每周一鼠》栏目,每周五更新,为大家讲解一个小鼠模型的故事,希望对大家了解不同的疾病小鼠模型有所帮助。今天和大家见面的是Sirt3基因敲除小鼠。
背景介绍
SIRT3是哺乳动物sirtuin蛋白家族的成员,表现出NAD+依赖性脱乙酰酶活性。人类sirtuins具有一系列分子功能,并已成为衰老,抗逆性和代谢调节中的重要蛋白质。除了蛋白质脱乙酰化之外,研究表明人类sirtuin还可以作为具有单ADP核糖基转移酶活性的细胞内调节蛋白起作用。三种sirtuins,SIRT3,SIRT4和SIRT5,位于线粒体中,并参与调节代谢过程。内源性SIRT3是位于线粒体基质中的可溶性蛋白质,有大量已发表的文献表明线粒体功能,衰老和致癌作用之间存在强大的机制联系。
SIRT3编码的蛋白质仅存在于线粒体中,在那里它可以消除活性氧,抑制细胞凋亡,并防止癌细胞的形成。SIRT3对核基因表达、癌症、心血管疾病、神经保护、衰老和代谢控制具有深远的影响。与SIRT3相关的疾病包括衰老和非酒精性脂肪肝疾病。其相关途径包括由 III类HDAC介导的细胞器的形成和维持和传导。与该基因有关的基因本体论(GO)注释包括酶结合和NAD+依赖型ADP核糖基转移酶活性。

表1. SIRT3调节对代谢紊乱和相关途径的影响。

表2. SIRT3调节对心血管疾病和相关途径的影响。

表3. SIRT3调节对神经退行性疾病和相关途径的影响。
Sirt3基因敲除小鼠表型
在来自患有乳腺癌的女性的肿瘤样品中,与正常乳腺组织相比,SIRT3表达降低。因此,Sirt3敲除模型可用于研究ER / PR阳性乳腺肿瘤发展。此外,这种小鼠还可用于研究脂肪酸氧化在糖尿病,心血管疾病,脂肪变性,禁食,冷暴露和寿命中的作用。


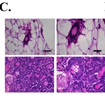
图1.SIRT3是位于线粒体的小鼠肿瘤抑制因子。
A)SIRT3敲除小鼠发展为乳腺肿瘤。显示了SIRT3野生型和基因敲除小鼠在24个月时的乳腺肿瘤总数。
C)来自SIRT3+/+和发生乳腺肿瘤的SIRT3-/-小鼠的乳腺组织的代表性H&E染色切片。
Sirt3基因在代谢、心血管、神经退行性疾病等疾病的发病过程中发挥着重要的作用,赛业生物“红鼠资源库”可以为您提供Sirt3全身性敲除小鼠和Sirt3条件性敲除小鼠研究Sirt3相关机制,如有需要,欢迎联系我们~

赛业生物基因编辑技术服务平台
赛业生物成熟稳定的基因编辑技术平台每年构建各类基因敲除载体、基因敲除细胞模型、基因敲除大小鼠模型上万例。从“敲除载体”、“敲除细胞模型”到“敲除大小鼠模型”,赛业生物经验丰富的技术团队可为您提供专业的一站式服务。
品系丰富的基因编辑小鼠资源库
基于AlphaKnockout基因打靶专家系统而建立的超16000品系“找小鼠,上红鼠”CRISPR-AI敲除小鼠资源库,涵盖肿瘤、心血管、免疫、神经、内分泌和代谢等多个热门研究方向,可快速查询所需基因敲除小鼠、条件性敲除小鼠品系。该库可划分为三个板块,强大的数据库给您更便捷的体验。“超16000品系CRISPR-AI敲除小鼠资源库”可快速查询所需基因敲除小鼠、条件性敲除小鼠品系;“点突变小鼠数据库”拥有超20万点突变位点,一键获取小鼠模型突变位点详情及建模指导;“microRNA敲除小鼠数据库”可便捷搜索microRNA敲除小鼠造模方案。只需输入基因名称,一键查询订购。
高效且智能化的模式动物定制平台
赛业生物扎根模式动物定制领域15年,拥有多项技术创新。2016年,独创的TurboKnockout技术把ES打靶金标准推向新高度;同年,特殊优化的CRISPR-Pro使大片段敲入及条件性敲除变得更加高效。赛业模式动物研究中心在江苏太仓(紧邻上海)、广州科学城核心区和河北固安(紧邻北京)等地拥有共计4万平方米动物设施,配备有IVC饲养设备超过1600套,可养殖SPF级别大小鼠超过15万笼,动物种群规模超过50万只。从健康检测、遗传控制到人员培训、个性化繁育等方面,全方位满足您对模式动物定制模型饲养繁育的要求。
细胞技术服务平台
赛业生物扎根细胞领域十几年,拥有超千例项目成功案例,超200种细胞株成功构建经验,多篇相关文献引用发表,平台成熟稳定,成功保障,安全无忧。赛业生物细胞技术服务平台可提供各类型的载体构建、病毒包装和过表达、干扰、基因敲除、点突变及基因敲入稳转细胞株服务。此外,赛业还可提供肿瘤细胞、体细胞常规检测、免疫学检测、组织学检测、细胞提取、干细胞干性分析和血管形成等常规细胞生物学技术服务。
参考文献:
1. Schwer B, North BJ, Frye RA, Ott M, Verdin E (August 2002). "The human silent information regulator (Sir)2 homologue hSIRT3 is a mitochondrial nicotinamide adenine dinucleotide-dependent deacetylase". Journal of Cell Biology. 158 (4): 647–57.
2. Onyango P, Celic I, McCaffery JM, Boeke JD, Feinberg AP (October 2002). "SIRT3, a human SIR2 homologue, is an NAD-dependent deacetylase localized to mitochondria". Proceedings of the National Academy of Sciences of the United States of America. 99 (21): 13653–58.
3. Gomes P , Viana S D , Nunes S , et al. The yin and yang faces of the mitochondrial deacetylase sirtuin 3 in age-related disorders[J]. Agng Research Reviews, 2019, 57:100983.
4. Zhang J, Xiang H, Rong-Rong He R, Liu B (2020). "Mitochondrial Sirtuin 3: New emerging biological function and therapeutic target". Theranostics (journal) 10 (18): 8315–8342.
5. Scher MB, Vaquero A, Reinberg D (April 2007). "SirT3 is a nuclear NAD+-dependent histone deacetylase that translocates to the mitochondria upon cellular stress". Genes Dev. 21 (8): 920–28.



