
上一期我们解析了无菌小鼠的生理特点,比较了SPF级小鼠与无菌小鼠在肠道等方面的区别。这期我们重点阐述小鼠与人肠道结构组成上的差异,以及为什么存在差异,但应用无菌小鼠构建肠道微生物人源化小鼠模型仍然是进行人类疾病研究的有效方法?
一、小鼠和人胃肠道解剖结构上的异同
小鼠和人在生理解剖结构上有较大的相似性,这也是为什么小鼠模型被广泛应用于生物医药等研究领域的原因之一。虽然小鼠和人的胃肠道在解剖结构上也更加相似,但还是存在一定的差异,这可能是由消化的食物、饮食方式、体型大小以及代谢等造成的。
小鼠和人小肠的整体表面积的平均比相似,但在肠道不同部位的比例两者却相差较大。比如,小鼠小肠与大肠的平均长度比是2.5,而人则是7。小鼠小肠与大肠平均表面比是18,而人是400。相对于整个胃肠腔而言,小鼠盲肠明显较大。小鼠盲肠是植物类食品发酵、食粪重新吸收产生维生素K和维生素B的重要的地方。相反,人盲肠相对较小,其解剖结构与结肠相似,也无明确功能。这种形态上的差异性反映了小鼠为适应扩充的结肠和盲肠能力形成的功能区域,使该特殊的结构部位能从大量相对不容易消化的食物中,获取更多营养物质。人有阑尾,小鼠却没有。阑尾被认为是食物选择压力下的盲肠残余部分。阑尾也有被认为是肠道微生物紊乱后,可作为有益细菌在此处储存复苏的地方。

图1. 小鼠和人胃肠道解剖结构上的异同
小鼠的小肠绒毛较人的要长,这种形态特征增加了小鼠小肠的表面积,被认为是对小鼠小肠缺乏粘膜皱襞的补偿机制。小鼠结肠无分节而比较光滑,而人大肠则有小鼠结肠没有的区域小袋结构。在人体,食物碳水化物的发酵是在大肠进行的,而非在盲肠或者阑尾。

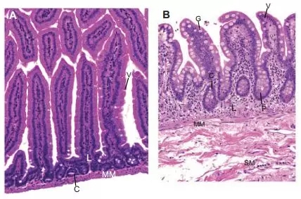
图2. 小鼠和人类肠壁的解剖结构
小鼠和人在肠道组成结构方面的不同,特别是小鼠盲肠表现出的更大发酵能力的特征,有可能影响到肠道微生物在结肠的多样性与构成。肠道微生物不仅参与难以消化的食物成分的发酵过程,还有助于宿主产生必需营养物(如维生素K和B)及短链脂肪酸(SCFAs)。
另外,除了肉眼可见的形态上不同,在显微镜下小鼠和人小肠也能看到结构上的不同。 小鼠结肠由薄薄的粘膜肌组成,没有明显的粘膜下层,而人结肠则覆盖有较厚的粘膜层。而且,人结肠粘膜存在横向褶皱结构(这种结构只存在于小鼠盲肠与近端结肠处)。这些在结肠部位的微小组成与结构上的不同也可能间接反映了不同宿主之间出现的不同肠道微生物群组成和多样性的生态特征。
在细胞水平上,小鼠和人也存在许多不同之处。首先,表现为生产黏蛋白的goblet细胞。小鼠的goblet细胞主要存在于小肠底层和结肠近端的表面,相反,人的该类细胞在盲肠到直肠都非常多。其次,小鼠的Paneth细胞主要集中在盲肠,而人的Paneth细胞却多见于盲肠和结肠。另外,小鼠和人的Paneth细胞在分泌防御肽(defensin) 的数量与储存方面也有差异,提示小鼠和人在局部免疫反应上可能存在的差异,有可能影响到其肠道微生物组成与多样性。

表1. 小鼠与人胃肠道的异同
总之,哺乳动物的消化道是非常保守的,不同种系间的主要差异可能与饮食结构等生活方式有关。如果按杂食动物特性分析,小鼠和人还是有许多共性。但是,相对于小鼠,人在进化过程中形成了较小的盲肠与相对较长的小肠。这些组成结构上的不同并不是说明小鼠模型在研究宿主与微生物间相互作用方面没有价值,只是我们在对小鼠和人的肠道微生物组成方面研究结果进行直接对比的时候,需要慎重小心,因为宿主和微生物间的共生与进化状态,可能会受到这些解剖结构上差异的影响。
综上所述,小鼠与人肠道结构组成上存在不少差异,但为什么说应用无菌小鼠构建肠道微生物人源化小鼠模型仍然是进行人类疾病研究的有效方法?小鼠与人健康肠道微生物群组成上有哪些特征?
二、小鼠和人肠道微生物的异同
一般而言,小鼠和人肠道微生物主要可分为两大菌门,即拟杆菌门(革兰氏阴性,非芽孢厌氧菌)和厚壁菌门(革兰氏阳性,芽孢厌氧菌)。如果进一步分类,小鼠肠道微生物与人肠道微生物在细菌菌属的相似性只有约15%。当然,研究技术与分析方面等的差异也影响了小鼠和人肠道微生物组成的比较。通常小鼠肠道微生物研究是分析盲肠内容物,而多数人相关的微生物研究则是分析粪便样本,且多数分析人肠道微生物构成是来自16S rDNA和宏基因组两种测序技术的研究结果, 而应用16S rDNA测序技术分析小鼠样品则通常被认为是标准选择方法。
如果排除以上可能的影响因素,应用16S rDNA测序技术研究方法对五个小鼠粪便样本与四个公开的成年健康人数据库进行比较。结果发现,有79个菌属可以在小鼠和人肠道微生物中找到,但在主要菌属的数量丰度上却存在较大不同。

图3. 基于已发表的16S rDNA测序数据的小鼠和人类粪便微生物群的荟萃分析
在肠道微生物组成比较研究中,对于出现的主要种属间差异变化的研究报道,人们需要非常清醒地意识到,许多因素都可能影响到研究结果的可靠性,比如研究分析技术上的差异性、人群构成不同、小鼠饲养环境、小鼠品系、样品处理操作、处理技术和分析方法等。
关于小鼠肠道核心微生物的定义, 即每个小鼠个体肠道微生物都可能包含的分类群。通过对来自六个小鼠肠道微生物数据的比较分析发现,小鼠的肠道的核心微生物为4个菌属。而来自124个欧洲人群的研究表明,有90%的研究人群中都包含9个菌属。这些研究结果提示,小鼠肠道核心微生物菌属可能较人的要少,但如此结论还需要更多的研究证实,以排除可能因为测序不够完全造成的误差因素。
肠道菌集群(即肠型)的存在,是人肠道微生物个体多样性研究中的一个重要发现。虽然关于人群中这些所谓肠型的识别程度仍有争议,但将肠道微生物的肠型作为有用的区分工具逐渐达成了共识。对实验室小鼠的肠道微生物群进行研究,也发现有所谓的肠型存在。目前还不清楚是什么原因造成了小鼠和人群个体具有这种肠型特征,但如果平行比较小鼠和人群间肠型,可以较容易地找到相对应的肠型。比如,一个小鼠的肠型是由 Lachnospiraceae/Ruminococcaceae 菌种主导,与人的 Ruminococcaceae肠型(也被称之为肠型3)相似。另外一个小鼠的肠型是由Bacteroidaceae/Enterobacteriaceae主导,这与人的 Bacteroides enterotype肠型(或肠型1)相似。研究已发现,菌种丰度和炎症与实验室小鼠的肠型相关,比如,Bacteroidaceae/ Enterobacteriaceae菌低丰度肠型的小鼠,多表现为炎症标记物钙结合蛋白的升高。这与近来的人群肥胖研究中的结果也是一致的, 即Bacteroidetes and Proteobacteria主导菌种(与小鼠个体中所谓“炎症”肠型相似)的低丰度的个体更容易发生炎症。
目前的研究结果表明,小鼠和人的肠道微生物中,特殊菌属/菌种丰富性组成和程度是有一定差异的。这些本质上的明显不同,可能是由两种哺乳动物系统造成的,也许与其他的包括从饮食到致病菌的暴露等各种复杂影响因素有关。
总体而言,小鼠和人肠道微生物群组成及相关影响因素可能是相似的(比如肠型)。因此,虽然在他们之间进行绝对比较是较为困难的,但小鼠模型还是可以作为研究微生物变化以及破坏改变过程的相关影响因素的可行选择。另外,这也间接提示了应用人肠道微生物移植无菌小鼠,建立肠道微生物人源化小鼠模型在开展人相关疾病研究的必要性与现实意义。
赛业生物无菌鼠一站式服务平台
赛业生物从美国引进全套的无菌动物饲养繁育技术,自引进以来,优质的质控体系,让赛业无菌小鼠4年未发生一次污染,创造了国内无菌鼠饲养繁育体系的新记录。好品质造就好口碑,赛业无菌小鼠目前已服务超20家知名CRO和科研院所,获得一致好评。作为CBC公司中国区独家代理,赛业生物还能为您提供全套无菌鼠饲养设备。2021年正值赛业生物15周年之季,赛业许你一站式无菌鼠服务,无菌小鼠、技术服务、无菌设备、垫料及试剂一站式供应,助您科研牛气冲天,欢迎联系我们咨询订购。
无菌小鼠福利第一弹:SPF级小鼠→GF级小鼠,仅需9.9万!
由于多数实验室难以具备无菌鼠饲养的空间和设备,为满足这类用户的需求,赛业生物可为您提供SPF级小鼠无菌化服务,无论您的小鼠是何种品系(野生型或基因编辑小鼠),赛业生物可针对您的需求制备特定的无菌小鼠(GF级)模型,更有效地支持您的研究。无菌小鼠回馈季,原价12.9万的无菌化服务直降3万,仅需9.9万!
无菌小鼠福利第二弹:让更多人用得起无菌鼠,无菌小鼠免费申请通道开启!
无菌鼠饲养繁育体系要求极其严苛,多数实验室难以具备无菌鼠饲养的空间和设备。为了加快国内研究人员在肠道微生物领域的研究进展,赛业生物特别发起无菌鼠赠送活动,邀您踏上这场以品质和专业守护的“肠道微生物研究之旅”,助力肠道微生物研究!
凡是在赛业生物定制包括肠道微生物移植、基因与菌群互作机制研究或其它个性化无菌技术服务的客户均可获得免费赠送无菌鼠的资格,所赠送的无菌小鼠需用于无菌鼠技术服务,名额有限,赠完为止。快联系我们选择你感兴趣的品系免费申请吧~
参考资料:
1. 【专访】俞晓峰博士:无菌小鼠及肠道微生物移植小鼠模型在人相关疾病研究中的应用
2. Nguyen, T. L., Vieira-Silva, S., Liston, A. & Raes, J. How informative is the mouse for human gut microbiota research? Dis. Model. Mech. 8, 1–16 (2015).





