简介:对肺部疾病和损伤的调查和研究需要临床前动物模型。 兔肺模型被广泛使用,其中,组织学和免疫组织化学具有不可估量的优势,因为可以轻松获得有关组织形态和组成的定性和定量信息。在本技术说明中,对兔健康的原始肺组织进行了一些组织学和免疫组织化学染色。过夜福尔马林固定样品,随后石蜡包埋与染色前10分钟用福尔马林固定冷冻保存的样品进行比较。事实证明,石蜡包埋切片的抗原修复(AR)可以增强相应的信号。讨论了显色染色和免疫荧光染色的优缺点。此外,对同一部位的肺内支气管及其粘膜皱褶、肺动脉、肺泡和淋巴结等几种形态结构进行不同染色,以全面了解其组成。除苏木精和曙红和Elastica van Gieson染色外,还进行了胶原蛋白I,胶原蛋白III,纤维连接蛋白,α-SMA,ki-67和蛋白酶激活受体2(PAR-2)免疫组化染色。肺动脉外缘Ⅰ、胶原蛋白III和纤维连接蛋白表达呈阳性,肺动脉内缘胶原蛋白III表达呈阳性。与胶原蛋白III染色相比,肺内支气管纤连蛋白染色呈相反趋势。肺泡中PAR-2表达,而健康兔肺淋巴结中PAR-2未表达。
关键词:兔肺 冷冻切片 免疫荧光 肺泡 支气管 淋巴结
简介:肺部疾病,如支气管肺发育不良,需要临床前的动物模型加以阐明和详细研究。病理结构需要对肺组织进行适当的组织学和免疫组织化学染色。其中,兔肺模型是研究肺部疾病和肺损伤的一种有价值的动物模型。最重要的是,需要可靠的基线值和参考图像,以比较兔肺中未处理组织的病理状况和正常健康状况。研究需要对兔肺组织进行详细成像,包括细支气管,肺泡,肺血管等,并需要对细胞外基质(ECM)成分进行独特的染色。 除胶原蛋白I和III外,纤连蛋白是ECM的重要组成部分。此外,肺部疾病和损伤情况下,评估血管形态和表达平滑肌肌动蛋白的细胞,增殖细胞以及结缔组织组成是很重要的。此外,炎症相关标志物及其蛋白在肺部的表达是研究COVID-19等破坏性肺部疾病的重要工具。在本技术说明中,与冷冻保存相比,涵盖了甲醛固定石蜡组织切片的基本方面; 在石蜡切片的情况下,与不使用AR的免疫组织化学染色相比,需要额外的抗原修复(AR)步骤,并且分别进行显色和荧光染色。相同形态结构的不同染色切片的图像彼此相邻并来自同一组织部位。评估了健康兔肺组织,胶原蛋白I,胶原蛋白III,纤连蛋白,α平滑肌肌动蛋白(α-SMA)和蛋白酶激活受体2(PAR-2)中的HE和Elastica van Gieson(EvG)染色,后者是细胞表面的一种炎症相关蛋白,在肺损伤、肺疾病、纤维化和COVID-1的研究中具有潜在的意义。此外,选择了特定的形态学结构,例如肺内支气管的粘膜褶皱,肺泡内隔和淋巴结,并比较了它们的不同染色,以定性,半定量和定量的方式阐明了这些结构的局部组成。
福尔马林固定与冷冻保存的比较:在对组织切片进行染色之前,一个至关重要的决定是选择最佳的组织保存和包埋技术,以获得最佳的组织形态和结构保存。换言之,选择如何固定和包埋某一组织是非常重要的,以便能够显示所需的靶结构和适当的抗体-抗原染色。组织的固定导致酶的失活和稳定,但应避免其变性。固定还导致组织结构和细胞的稳定,从而在组织切片和进一步处理过程中保护它们免受机械应力。然而,这种保护必须以改变组织和细胞结构以及交联蛋白的化学组成为代价。其中,细胞具有渗透性——细胞膜被部分破坏,原始细胞质转变为蛋白质网络,从而实现了天然屏障。根据所用固定剂的不同,这种通透性会发生不同程度的变化。因此,如果抗原不仅位于细胞表面上,而且位于细胞内,那么膜的通透性可能是免疫组织化学中到达所需抗原表位的一个目标。在我们的技术研究中,我们比较了两种广泛使用的固定和包埋方法。在健康兔肺模型上,制备福尔马林固定石蜡包埋切片,并与冷冻保存肺组织切片进行比较。虽然冷冻切片比福尔马林固定石蜡切片能更好地保留抗原,但通过对兔肺中所选形态结构的仔细比较,石蜡包埋切片比冷冻切片更具优势。在低倍镜下,冷冻切片中支气管、动脉和静脉的形态与周围组织(如肺泡、肺泡间隔、肺泡囊和导管)的染色强度高于石蜡切片。来自DAB的棕色在石蜡切片中显示出较高的背景,而在冷冻切片中则更具特异性。然而,在高倍镜下,冷冻切片中的形态学细节通常比石蜡切片中的更不明显,因为棕色在细胞间的扩散程度比石蜡切片中观察到的更高,只有在高倍镜下才能识别。在高倍镜下,虽然在石蜡包埋过程中相同的结构得到了更好的保存,但由于视野的深度更好,在冷冻切片中更容易辨认肺泡间隔的细节。

图1、用DAB(棕色)对用于AR的石蜡切片(左)和冷冻切片(右)的胶原蛋白I进行免疫组织化学染色。
ki67的免疫组化染色分别显示石蜡包埋切片和冰冻切片中的增殖细胞。
无论放大倍数如何在两种类型的切片中深棕色细胞都清晰可见, ki67阳性,说明细胞增殖;在这里,两种固定技术都没有优势。

图2、DAB作为染色原(深棕色)对含AR的石蜡切片(左侧)和冷冻切片(右侧)进行Ki67免疫组织化学染色。
对于免疫荧光检测和纤维粘连蛋白染色,冰冻切片的颜色强度高于石蜡切片。尽管染色强度较低,但在高倍镜下,纤维连接蛋白阳性染色的石蜡切片的形态学细节更为明显,半定量评分的清晰度更高,定量评估的颜色模糊程度更低。

图3、免疫组化纤维连接蛋白染色及免疫荧光检测。
α-SMA免疫荧光染色也发现了同样的情况。
用短时的福尔马林固定冷冻保存样品比长时间的福尔马林固定方法能更大程度地保存抗原,因此冷冻切片的强度要高得多。特别是在高倍镜下,深绿色的浆液将蓝色DAPI核染色叠加,以至于无法再区分特定的细胞核。染色的强度取决于各种因素,包括图像采集和抗体稀释以及福尔马林固定的持续时间。尽管染色强度要小得多,细胞间的α-SMA在石蜡切片中更清晰可见,结构边界更清晰,如半定量评估。

图4、免疫组织化学α-SMA染色与免疫荧光检测。
石蜡包埋切片中的抗原修复:尽管福尔马林固定和石蜡包埋切片能很好地保存形态结构,但福尔马林固定可能导致某些抗原的免疫反应性丧失。这项技术最初是基于加热石蜡包埋切片,从而修复抗原的免疫反应性。与不使用AR的切片相比,使用AR可以显著增强信号强度。

图5、石蜡切片中使用抗原修复(AR)或不使用AR和同型阴性对照的纤维连接蛋白免疫荧光染色的比较。
使用小鼠同种型荧光免疫组织化学作为阴性对照,经抗原修复处理的样品与无AR样品之间的差异也很明显。如果对兔子肺部进行观察,在免疫组化染色过程中加入AR步骤可能是值得的,以便通过揭开所观察抗原的表位来增强相应的信号。
免疫荧光和明场成像的比较:为了研究明亮视野成像或免疫荧光成像是否能更好地描述兔肺的形态,我们比较了I型胶原和纤维连接蛋白染色切片

图6、I型胶原和纤维连接蛋白的免疫组化染色用于显色染色和明场成像(左侧;DAB作为显色原)和免疫荧光染色和成像(右侧)。所有标本均石蜡包埋,AR染色。
而在两个I型胶原染色的切片中,用显色染色和明场成像可以更好地评估不同结构的形态,而在两个纤维连接蛋白染色的切片中情况正好相反。免疫荧光图像显示纤维连接蛋白阳性组织的边缘与周围组织的对比度远高于明场中的显色染色图像,在明场成像中背景染色很多,并且不能很好地区分不同的棕色强度 。根据观察到的结构,例如整个区域或只有斑点,必须选择适当的染色方式。此外,还必须考虑一些技术问题,如荧光切片的快速光学颜色损失或数字显微镜工具扫描不充分的问题。
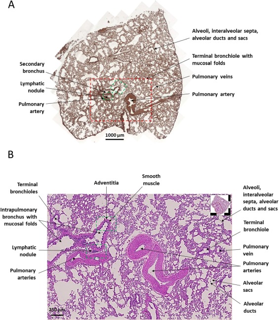
兔肺解剖:图7A显示了整个健康兔肺的纤连蛋白染色的石蜡包埋的横截面。 清晰可见多个组织结构,例如肺动脉和静脉,次级支气管,淋巴结节,肺泡,肺泡间隔,肺泡管和囊以及带有粘膜褶皱的末端细支气管。HE染色(7B)显示肺内支气管周围的外膜和平滑肌及其粘膜皱褶。必须强调的是,常用的HE染色对于快速染色非常有用,因为与更复杂的免疫组织化学方法相比,它易于操作且成本效益高,并且可以清楚地区分主要的形态结构-如健康兔肺组织所示。

图7、健康兔肺切片,用相应组织结构的AR(A)进行纤连蛋白的免疫组织化学染色。HE染色了健康兔肺的石蜡切片(B),并对亚结构进行了详细描述。
兔肺的特殊结构:我们详细介绍了肺支气管,HE和EvG染色切片,以及PAR-2,纤连蛋白,胶原蛋白I和α-SMA免疫组织化学染色切片。有趣的是,炎症相关蛋白PAR-2在肺支气管周围的肺泡中表达,但未在支气管平滑肌中的粘膜褶皱中表达。只有外膜呈棕色染色,根据我们在肺泡中发现的PAR-2表达,较早的研究表明PAR-2触发肺泡上皮细胞A549中促炎途径。至于纤维连接蛋白,免疫荧光图像很好地显示,固有层和外膜对该ECM成分呈阳性,与I型胶原蛋白共定位。支气管壁平滑肌组织缺乏纤维连接蛋白,但α-SMA信号呈强阳性。此外,固有层呈强弹性蛋白阳性,而外膜仅显示弱弹性蛋白表达。在HE染色切片中也可以很好地观察到细胞的形态和分布(紫色),特别是粘膜皱褶的高细胞密度特征表现得很好,平滑肌中也能辨认出扁平而长的细胞核。。

图8、肺支气管– PAR-2,纤连蛋白,弹性蛋白,I型胶原和α-SMA表达的超微结构定位。
此外,我们重点研究了肺泡和淋巴结。肺泡的特征是有斑点的I型胶原(可能是红细胞)和纤维连接蛋白染色。与胶原蛋白I相比,纤连蛋白阳性的斑点数量要少得多,这与胎兔肺中富含纤连蛋白的肺泡上皮形成鲜明对比。此外,肺泡具有少量的α-SMA阳性表达区域,可见非常小的血管。 它们具有相当高的细胞密度和大量ki67阳性增殖细胞。肺泡表现出PAR-2表达-DAB染色在整个肺泡壁上呈现均匀分布的棕色。PAR-2蛋白染色可能是肺损坏炎症的未来生物学标志物,通常用IL-6、TNF-α和IL-1β表示炎症的严重程度。相反,淋巴结为PAR-2阴性。其主要特征是细胞密度高,ki67阳性细胞增殖率高,HE染色证实,淋巴结区域细胞密度高。此外,HE和ki67的非连续切片显示动脉周围不同区域有细胞密集区,提示相应的淋巴结位于动脉周围。

图9、一系列不同染色的肺泡和小静脉(a);一系列不同染色的淋巴结(B)
兔肺组织免疫组化的结论性意见:除简单和传统的HE染色外,还可使用免疫组织化学方法很好地观察兔肺组织及其胞外基质成分的形态。与福尔马林固定和石蜡包埋相比,我们已经展示了冷冻保存的优缺点,抗原修复步骤后的差异,能够阐明天然兔肺组织中肺支气管,肺泡,动脉和淋巴结的主要蛋白质。肺泡为PAR-2阳性,但只有肺支气管外膜为阳性,而其余不表达PAR-2。 但淋巴结未显示任何PAR-2阳性区域。组织学和免疫组织学染色的概述可作为兔肺模型临床前研究的基线成像。未来病变肺组织的图像可与健康兔肺组织的图像进行比较。
原文出自:https://www.sciencedirect.com/science/article/pii/S0065128120301471



