2012年,美国军队放射生物学研究所(AFRRI)在开展恒河猴抗辐射计量研究时,被辐照的动物中有3只(3/57)先后出现了全身性皮疹(见图1)、食欲减退、呼吸困难、嗜睡和共济失调等症状。
图1:多灶性、全身性皮疹对其中一只进行尸检后发现,动物的肝脏上存在多灶性的微小白色病灶(图2)。病理检查结果显示病猴皮肤有水泡样病变、大量上皮细胞以合胞体形式存在且其核内可见嗜酸性病毒包涵体(图3)。此外,病猴的肺、肝、胃等多个脏器的上皮细胞中也存在大量合胞体和嗜酸性包涵体。这些病变并不是辐射暴露的临床症状,反而与疱疹病毒感染的特征一致。
图2:肝脏多灶性、微小的白色病灶
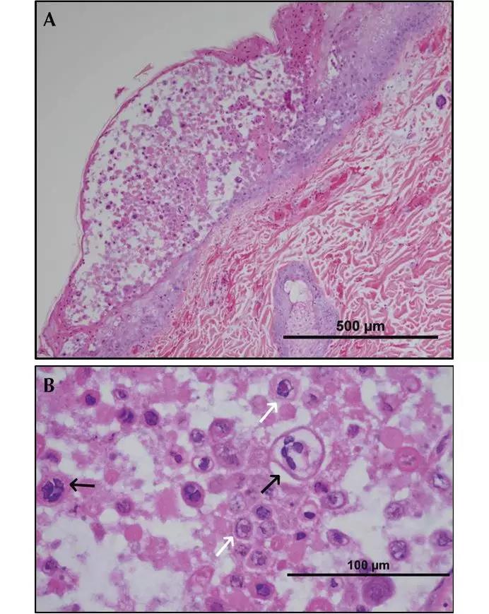
图3:A:皮肤表面出现水泡 B:出现上皮细胞合胞体和嗜酸性核内包涵体全血和皮肤拭子样本中PCR检测到了猴水痘病毒(Simian Varicella virus, SVV)核酸,免疫组化和组织病理学结果也进一步证实了SVV感染的存在。随后对所内的74只动物进行了血清学筛查,发现SVV的抗体阳性率高达35%。但在上述案例中发病动物的IgG抗体结果为阴性,说明其没有既往感染史,提示传染源可能是同房间的带毒动物。这些动物体内潜伏的病毒因应激而“复燃”后,排毒传播导致阴性动物原发感染。该案例说明在动物实验开始之前筛选阴性动物是十分必要,也是预防水痘爆发的重要手段,不仅能排除有潜伏感染的动物,也能防止实验过程中阴性动物感染。由于我国非人灵长类实验动物微生物国标中未对SVV做出检测和排除要求,导致多数生产和使用单位对该病毒及其危害了解不多。事实上SVV在猴群中的感染呈全球性分布,是旧世界猴的潜在危险病原之一。在过去的半个世纪,美国、欧洲、日本等地区已有十多起SVV爆发的报道,近千只动物感染发病,导致近百只动物死亡。我国也有少量猴水痘爆发的公开报道,如2010年李比海等人发现其所在动物中心繁殖种群中15只猴发生SVV,并导致两只死亡。尽管公开报道不多,但猴群SVV感染和发病在我国实验动物生产和使用单位中并非罕见。有学者对三个猴场动物进行SVV血清学进行抗体筛查的结果显示,阳性率分别为14.6%,30.9%,27.7%。据第三方检测机构统计, 在人工养殖的成年食蟹猴和猕猴中,少数机构的SVV抗体阳性率低于10%,多数机构在20-50%之间,个别机构则达到了90%。笔者还了解到,有CRO公司在做抗辐射动物实验中,发生了12只实验猴死亡事件,并被诊断为SVV感染;亦有机构开展器官移植实验过程中,8只实验猴出现SVV感染症状等诸多案例。马来西亚科学家对野捕的食蟹猴进行SVV抗体筛查后发现阳性率仅有0.8%,提示该病在野外生活条件下的猴群中感染率并不高。但野捕动物经人工饲养三个月后抗体阳性率迅速攀升到40%, 说明在人工饲养条件下容易诱发SVV“复燃”和爆发式扩散。
配图:猴儿的呼声:快帮我看看长皮疹没!SVV感染病程通常三周左右,发病严重程度差异较大,感染的严重程度还会随动物种属而不同,如赤猴感染往往伴有严重的肝炎和肺炎,死亡率最高(达74%),食蟹猴也容易发生重度感染。一些轻度感染动物初次感染后甚至不表现出任何临床症状,仅SVV抗体转阳;也有部分动物仅出现局部皮疹,而无明显全身症状,并在免疫系统清除组织和皮肤内的病毒后康复。SVV感染后的重症个体主要表现为全身出血性疱疹,并伴随肝炎、肺炎,该类感染预后差,死亡率高。免疫功能抑制的动物原发感染常表现为重症。与其他嗜神经型疱疹病毒一样,SVV原发感染自愈后, 病毒并不能被机体彻底清除,而是长期潜伏在神经节内,转为潜伏感染。当动物因运输、环境改变、放射线照射或使用免疫抑制剂而处于应激状态时,常发生病毒“复燃”,加之SVV具有高度传染性,一旦有动物发病,在人工饲养环境下,同笼或同房间的动物可通过呼吸道、接触患病动物的皮损或疱疹液而发生传染扩散。SVV传播速度快,一旦有动物发病,快速确诊十分重要,以便采取应对措施控制病毒传播。在防控上,除了对发病动物进行抗病毒治疗外,隔离和安乐死发病动物也是常用手段,可有效控制感染范围进一步扩大。使用单位在开展辐射和免疫抑制剂相关动物实验时,应特别注意提前筛查动物是否SVV阴性;而要根除SVV,则需要生产单位建立SVV阴性种群。由于SVV和人的水痘带状疱疹病毒(VZV)高度同源,且SVV感染猴与VZV感染人的致病机制和发病特征都很相似,所以实验猴SVV感染也是一种研究人VZV感染和药物研发的优质模型工具。参考文献:1. JatinderGulaniet al. Cercopithecine Herpesvirus 9(Simian Varicella Virus)Infection afterTotal-Body Irradiation in a Rhesus Macaque(Macacamulatta),Comp Med. 2016,66:22. WayneL Gray, Simian Varicella Virus in Old World Monkeys, 2008,Comp Med. 58:13. 田克恭,贺争鸣等主编,实验动物疫病学第四章第6节猴水痘病毒感染4. 李比海,多海刚,饶军华猴水痘带状疱疹病毒病的诊治中国兽医杂志 2010年46(7)5. 桑传兰,多海刚等,食蟹猴水痘带状疱疹病毒相关抗体研究初探实验动物与比较医学 2012年5(446-448)6. Wayne L. Gray Simian varicella: a model for human varicella-zoster virusinfections Rev. Med. Virol; 2004;14:363-381
图1:多灶性、全身性皮疹对其中一只进行尸检后发现,动物的肝脏上存在多灶性的微小白色病灶(图2)。病理检查结果显示病猴皮肤有水泡样病变、大量上皮细胞以合胞体形式存在且其核内可见嗜酸性病毒包涵体(图3)。此外,病猴的肺、肝、胃等多个脏器的上皮细胞中也存在大量合胞体和嗜酸性包涵体。这些病变并不是辐射暴露的临床症状,反而与疱疹病毒感染的特征一致。
图2:肝脏多灶性、微小的白色病灶
图3:A:皮肤表面出现水泡 B:出现上皮细胞合胞体和嗜酸性核内包涵体全血和皮肤拭子样本中PCR检测到了猴水痘病毒(Simian Varicella virus, SVV)核酸,免疫组化和组织病理学结果也进一步证实了SVV感染的存在。随后对所内的74只动物进行了血清学筛查,发现SVV的抗体阳性率高达35%。但在上述案例中发病动物的IgG抗体结果为阴性,说明其没有既往感染史,提示传染源可能是同房间的带毒动物。这些动物体内潜伏的病毒因应激而“复燃”后,排毒传播导致阴性动物原发感染。该案例说明在动物实验开始之前筛选阴性动物是十分必要,也是预防水痘爆发的重要手段,不仅能排除有潜伏感染的动物,也能防止实验过程中阴性动物感染。由于我国非人灵长类实验动物微生物国标中未对SVV做出检测和排除要求,导致多数生产和使用单位对该病毒及其危害了解不多。事实上SVV在猴群中的感染呈全球性分布,是旧世界猴的潜在危险病原之一。在过去的半个世纪,美国、欧洲、日本等地区已有十多起SVV爆发的报道,近千只动物感染发病,导致近百只动物死亡。我国也有少量猴水痘爆发的公开报道,如2010年李比海等人发现其所在动物中心繁殖种群中15只猴发生SVV,并导致两只死亡。尽管公开报道不多,但猴群SVV感染和发病在我国实验动物生产和使用单位中并非罕见。有学者对三个猴场动物进行SVV血清学进行抗体筛查的结果显示,阳性率分别为14.6%,30.9%,27.7%。据第三方检测机构统计, 在人工养殖的成年食蟹猴和猕猴中,少数机构的SVV抗体阳性率低于10%,多数机构在20-50%之间,个别机构则达到了90%。笔者还了解到,有CRO公司在做抗辐射动物实验中,发生了12只实验猴死亡事件,并被诊断为SVV感染;亦有机构开展器官移植实验过程中,8只实验猴出现SVV感染症状等诸多案例。马来西亚科学家对野捕的食蟹猴进行SVV抗体筛查后发现阳性率仅有0.8%,提示该病在野外生活条件下的猴群中感染率并不高。但野捕动物经人工饲养三个月后抗体阳性率迅速攀升到40%, 说明在人工饲养条件下容易诱发SVV“复燃”和爆发式扩散。
配图:猴儿的呼声:快帮我看看长皮疹没!SVV感染病程通常三周左右,发病严重程度差异较大,感染的严重程度还会随动物种属而不同,如赤猴感染往往伴有严重的肝炎和肺炎,死亡率最高(达74%),食蟹猴也容易发生重度感染。一些轻度感染动物初次感染后甚至不表现出任何临床症状,仅SVV抗体转阳;也有部分动物仅出现局部皮疹,而无明显全身症状,并在免疫系统清除组织和皮肤内的病毒后康复。SVV感染后的重症个体主要表现为全身出血性疱疹,并伴随肝炎、肺炎,该类感染预后差,死亡率高。免疫功能抑制的动物原发感染常表现为重症。与其他嗜神经型疱疹病毒一样,SVV原发感染自愈后, 病毒并不能被机体彻底清除,而是长期潜伏在神经节内,转为潜伏感染。当动物因运输、环境改变、放射线照射或使用免疫抑制剂而处于应激状态时,常发生病毒“复燃”,加之SVV具有高度传染性,一旦有动物发病,在人工饲养环境下,同笼或同房间的动物可通过呼吸道、接触患病动物的皮损或疱疹液而发生传染扩散。SVV传播速度快,一旦有动物发病,快速确诊十分重要,以便采取应对措施控制病毒传播。在防控上,除了对发病动物进行抗病毒治疗外,隔离和安乐死发病动物也是常用手段,可有效控制感染范围进一步扩大。使用单位在开展辐射和免疫抑制剂相关动物实验时,应特别注意提前筛查动物是否SVV阴性;而要根除SVV,则需要生产单位建立SVV阴性种群。由于SVV和人的水痘带状疱疹病毒(VZV)高度同源,且SVV感染猴与VZV感染人的致病机制和发病特征都很相似,所以实验猴SVV感染也是一种研究人VZV感染和药物研发的优质模型工具。参考文献:1. JatinderGulaniet al. Cercopithecine Herpesvirus 9(Simian Varicella Virus)Infection afterTotal-Body Irradiation in a Rhesus Macaque(Macacamulatta),Comp Med. 2016,66:22. WayneL Gray, Simian Varicella Virus in Old World Monkeys, 2008,Comp Med. 58:13. 田克恭,贺争鸣等主编,实验动物疫病学第四章第6节猴水痘病毒感染4. 李比海,多海刚,饶军华猴水痘带状疱疹病毒病的诊治中国兽医杂志 2010年46(7)5. 桑传兰,多海刚等,食蟹猴水痘带状疱疹病毒相关抗体研究初探实验动物与比较医学 2012年5(446-448)6. Wayne L. Gray Simian varicella: a model for human varicella-zoster virusinfections Rev. Med. Virol; 2004;14:363-381 


