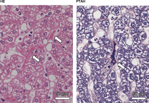
简介:通过给食蟹猴注射脂多糖(LPS)制备DIC模型,探讨其在评价DIC治疗新药方面的潜力。取食蟹猴外周血单核细胞(PBMC)与LPS(8种)共孵育,测定培养液中TNF-α水平。就TNF-α水平的较大增加和较小变化而言,来自大肠杆菌(K-235)的LPS是最合适的。将大鼠,食蟹猴或人的PBMC与LPS(K-235)孵育,并研究TNF-α对LPS的反应。 食蟹猴与人类的反应相当,但大鼠则较小。在体内实验中,向有或没有重组人血栓调节蛋白(rhTM)的食蟹猴静脉内注射LPS(K-235),,以研究对凝血和纤维蛋白溶解生物标志物的影响以及rhTM的抑制作用。对肝,肾和肺进行了组织病理学检查。几乎所有的改变都与人类DIC的病理生理状态相似,并被rhTM联合给药所抑制。通过LPS(K-235)处理食蟹猴建立了类似于人DIC的DIC模型,并注意到rhTM的治疗效果,这表明该模型可用于评估用于DIC治疗的新药的疗效。关键词:血栓调节蛋白 LPS DIC简介:弥散性血管内凝血(DIC)是一种由潜在疾病引起的严重临床疾病,涉及循环血液中凝血的明显,连续和广泛活化,并形成许多微血管血栓。 当临床状况发展时,会发生消耗性凝血病。DIC中典型的基础疾病是败血症,实体癌,主动脉瘤和急性早幼粒细胞白血病,凝血和纤维蛋白溶解的激活因基础疾病而异。败血症是DIC的最常见潜在疾病,并且许多研究都是通过败血症诱导的DIC模型进行的。这些报道大多是针对脂多糖(LPS)诱导的大鼠DIC模型,在NHPs中未见LPS诱导的DIC模型报道。许多治疗血栓形成的药物都是蛋白质制剂,如果动物和人类之间的反应位点同源性很低,那么人类的治疗药物对动物没有反应。在本研究中,我们通过体外实验研究了适当类型的脂多糖和动物物种,并通过在食蟹猴中单次静脉注射脂多糖建立了DIC模型,该模型已被人类DIC诊断标准中提到的几种生物标记物所证实。此外,在食蟹猴DIC模型上,用LPS与rhTM共给药的方法研究了rhTM的作用。结果:实验一(选择合适的脂多糖)食蟹猴:为了选择合适类型的LPS,将食蟹猴的PBMC与从大肠杆菌,铜绿假单胞菌或肠炎链球菌纯化的LPS在37°C下孵育24小时,并测定和比较体外产生的TNF-α。来自大肠杆菌(055:B5,026:B6,0127:B8,K-235)和肠道链球菌(S.enterica)的5种LPS均显著提高了肿瘤坏死因子-α水平。尤其是,来自大肠杆菌(0127:B8和K-235)和肠道链球菌的3种LPS中的TNF-α水平比对照组高7-9倍。此外,大肠杆菌(055:B5和K-235)和肠炎链球菌(S.enterica)3种LPS中TNF-α水平的变异系数(CV)均较小,大肠杆菌(K-235)的变异系数最小。在另外的实验中,大肠杆菌(K-235)的LPS在产生TNF-α方面的批间变异比肠道沙门菌小。从这些结果中,我们选择LPS(K-235)在接下来的实验II、III和IV中制备了LPS诱导的食蟹猴DIC模型。实验二(选择合适的动物):通过在37°C下孵育24小时,研究了通过LPS(大肠杆菌,K-235)对来自6种动物的PBMC产生TNF-α的能力的种属差异。 在大鼠,食蟹猴和人中,LPS高达107 pg / mL时,TNF-α水平分别增加至100、2000和5000 pg / mL,与对照组比较有统计学意义,而大鼠的TNF-α水平很低,107pg/mL。在LPS浓度为102-104pg/mL时,食蟹猴体内的TNF-α水平与人类相当。实验III(LPS治疗后生物标志物和组织病理学的变化):在体内实验中,对食蟹猴静脉内施用了0.6或2.4 mg / kg的LPS(大肠杆菌,K-235)。 LPS剂量为0.6和2.4 mg / kg时,心率增加。此外,在给药2.4mg/kg后的4-8h,自发活动略有下降。在LPS给药开始后的2h至8 h间隔测量生物标记物。TNF-α水平呈剂量依赖性增加,在2 h达到峰值(增加80倍),然后迅速下降。IL-1β水平也显示出剂量依赖性的急剧增加,在2或4 h达到峰值,在以2.4 mg / kg的剂量给药后2至8 h有统计学意义。与时间匹配对照组相比,中性粒细胞计数在2小时下降,然后在4-6小时增加,具有统计学意义。单核细胞计数在8小时内下降,血小板计数在8小时内持续低于对照组。Fng水平在2.4mg/kg剂量下呈剂量依赖性下降,持续8h。PT和APTT在2.4mg/kg时延长8h。TAT水平呈剂量依赖性增加,4h达峰,8h达峰。SF水平呈剂量依赖性增加,8h达峰。DD和PIC水平在2小时及以后增加。PAI-1水平升高,并在8h内维持很高水平。与时间匹配的对照值相比,上述几乎所有这些变化都显示出统计学意义。在肝,肾和肺的组织病理学中,在肝窦中观察到轻微的棕色色素沉积(HE染色)和淡红色物质(PTAH染色)。在肾脏和肺部没有明显的发现。实验四(rhTM对LPS诱导DIC的抑制作用):在研究DIC治疗药物的功效时,将rhTM(640 U / kg)与2.4 mg / kg LPS(E. coli,K-235)并用,以与实验III相同的方式测量生物标志物。rhTM的联合用药显示出对TNF-α,TAT,SF,DD和PIC水平升高,PT和APTT延长以及Fng水平降低的抑制作用。 在中性粒细胞,单核细胞,血小板,PAI-1或肝组织病理学中未观察到rhTM的抑制作用。结论:单次静脉注射2.4mg/kg大肠杆菌LPS(K-235)可建立食蟹猴败血症相关DIC模型。目前猴模型的生物标志物变化与人类DIC的病理生理状态相似。此外,这种食蟹猴模型可用于评估新的候选药物的治疗效果,因为可以通过测量血液、血浆或血清中的生物标记水平来定量评价RHTM的疗效。此外,与大鼠相比,食蟹猴可以更频繁地采集更多的外周血,这表明可以在个体动物中依次测量多种DIC生物标志物。使用这种食蟹猴模型对生物标记物的进一步分析将有助于人类败血症相关DIC的病理生理学认识。



