摘要:感光细胞是人体中最耗能的细胞类型之一。 为了满足其高能量需求,感光细胞在细胞内部具有线粒体簇。有趣的是,在一些物种中,锥体光感受器的节含有直径超过2μm的超大线粒体,称为巨线粒体。以前报道过猪视网膜也含有巨线粒体,但哺乳动物感光细胞中是否存在巨线粒体的报道很少。在本实验中,我们用扫描电子显微镜(SEM)分析了猪、兔和小鼠的感光细胞,并比较了线粒体的形态。数据表明,三个物种都在感光细胞的椭圆体带,靠近外节,呈现出大量的线粒体簇。在猪视网膜中,视锥和视杆光感受器内节位于不同的层,因此能够很容易地区分它们。仅在视锥光感受器的节发现了巨线粒体。与视杆光感受器相比,视锥光感受器的线粒体(包括巨线粒体)具有致密的嵴和较高的电子密度。在兔视网膜中,视杆光感受器外层可见视锥光感受器,视杆光感受器具有特征性的长外节。与视杆光感受器相比,视锥光感受器的外节较短,节也较厚。视杆光感受器节的线粒体多为狭长型,而视锥光感受器的线粒体多为碎裂短型。在兔视网膜中未发现巨线粒体。在小鼠视网膜中,大部分感光细胞为视杆感光细胞。由于内节的形状非常相似,我们根据外节的形状来区分视锥和棒状光感受器。视杆和视锥光感受器部分线粒体长而窄,线粒体形态无明显差异。数据显示,不同哺乳动物感光细胞节的线粒体形态各不相同。虽然猪光感受器中存在巨线粒体,但在兔和小鼠视网膜中均未观察到它们的存在。据我们所知,这是首次用电子显微镜对兔和小鼠视网膜进行宽视野观察,并比较猪、兔和小鼠感光细胞的线粒体形态。
关键词:视网膜 光感受器 视锥 视杆 节 线粒体 扫描电镜成像
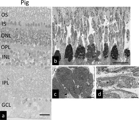
以前报道过猪视网膜含有巨线粒体。由于哺乳动物光感受器细胞中存在巨线粒体的报道很少,我们用扫描电子显微镜(SEM)评估了猪、兔和小鼠的视网膜形态。为了获得宽视场的高分辨率图像,我们采用了独特的扫描电镜方法。在传统的SEM中,不需要嵌入和切片步骤,而仅查看标本的表面。相反,我们的SEM技术包括将单个或连续的超薄切片安装在载玻片上,被重金属染色以及扫描反向散射的电子。通过数字化“缝合”连续的SEM图像,可以以高分辨率获得宽视场图像。图1a显示了猪视网膜的电镜图像。图1b为猪光感受器细胞层的电镜图像。图1c为图1a中视锥节的放大图,图1d为图1a中视杆节的放大图,图2a为兔视网膜的电镜图像。图2b为兔光感受器细胞层的电镜图像。图2c显示了图2a中视锥节的放大视图。图2d显示了图2a中的视杆节的放大视图。图3a显示了小鼠视网膜的电子显微镜图像。图3b所示为小鼠感光细胞层的电镜图像。图3c示出了图3a中的视锥节的放大图。 图3d示出了图3a中视杆节的放大图。OS:外节,IS:内节,ONL:外核层,OPL:外丛状层,INL:内核层,IPL:内丛状层,GCL:神经节细胞层。 CIS:视锥光感受器节。 RIS:视杆感光器节。

图1.猪视网膜的超微结构。

图2.兔子视网膜的超微结构。

图3.小鼠视网膜的超微结构。
实验设计、材料和方法
视网膜在实现视觉方面起着关键作用,因为它参与光刺激的接收和信号传递到视觉皮层。脊椎动物视网膜由几个细胞层组成,包括神经节细胞、双极细胞、无长突细胞、水平细胞和感光细胞。而且,感光体表现出功能专一性。 杆状感光细胞介导暗视,而视锥细胞介导明视视。光的捕获和转换成电信号(光转导),以及信号从光感受器传递到视网膜神经元都需要大量的能量。为了满足这种高能量需求,在感光体的内部区域内分布着许多线粒体。在一些物种中,如虎头鱼和斑马鱼,视锥光感受器的内节含有直径超过2μm的异质性线粒体,称为巨线粒体。人们普遍认为视锥光感受器比视杆光感受器细胞消耗更多的能量,巨线粒体被认为是这些细胞产生高能量的原因。然而,这些特征性线粒体的生理学意义仍未完全理解。在我们之前的研究中,发现猪视网膜也含有巨线粒体,与斑马鱼中观察到的线粒体相似,只局限于视锥感光细胞的内节,彼此密集存在。 需要进一步研究其他哺乳动物物种,以阐明光感受器中巨线粒体存在的生物学意义。我们观察了猪,兔和小鼠的视网膜。 为了获得宽视野的高分辨率图像,我们使用了独特的SEM方法。在本实验中,我们使用电子显微镜技术研究了兔和小鼠视网膜感光细胞内节是否存在巨线粒体。 我们还比较了来自猪,兔和小鼠视网膜感光器内节的线粒体形态。
动物:从一家屠宰场获得猪眼。用异氟醚对8周龄的新西兰兔实施安乐死,并摘除眼球进行视网膜剥离。用异氟醚对8周龄的C57BL/6小鼠实施安乐死,灌注固定液,摘除眼球并剥离视网膜。
我们用扫描电镜观察视网膜形态。在传统的扫描电镜中,不需要包埋和切片步骤,只观察表面。本实验中使用的SEM技术包括将单个或连续的超薄切片安装在载玻片上,用重金属对其进行染色并扫描反向散射的电子。通过数字化“缝合”连续的SEM图像,可以以高分辨率获得宽视场图像。 去除角膜、晶状体和虹膜等前段结构,并在4°C下在固定液(2.5%戊二醛,2%多聚甲醛溶液,0.1 M磷酸钠缓冲液,pH 7.4)。中过夜。将固定的眼睛在0.1M磷酸盐缓冲液中冲洗两次(每次漂洗10分钟),然后将视网膜切成小块。修剪后的视网膜用1%四氧化锇固定2小时,然后用不同浓度的乙醇(50%、70%、80%、90%和100%)分别脱水15分钟。脱水后,样品用QY-1(每次漂洗15分钟)漂洗两次,用QY-1和Epon 812(1:1比例)的混合物漂洗一次,然后包埋在Epon 812中。用超薄切片机切成超薄切片(100 nm),并用1%醋酸铀酰和柠檬酸铅染色。然后在扫描电子显微镜下观察样品。以1.5 kV的加速电压,使用反向散射电子对超薄切片的区域进行成像,从而实现高分辨率成像。采集后,使用Fiji / Image J软件中的图像拼接插件将连续的SEM图像拼接在一起,生成一个高分辨率视网膜,足以确认线粒体形态的存在。
原文出自:https://www.sciencedirect.com/science/article/pii/S2352340920304388



