背景:新型的严重急性呼吸系统综合症冠状病毒2(SARS-CoV-2)在数周内大流行,人类感染和严重病例的数量正在增加。我们的目的是调查潜在动物宿主的易感性和人畜共患传染病的风险。
方法:每只动物用105 TCID50的SARS-CoV-2分离物进行鼻内接种,分别接种了9只果蝠、雪貂、猪和17只鸡。接种后24小时检测同其直接接触的动物(n = 3)以测试病毒传播。在感染后第2、4、8、12、16和21天,通过定量RT-PCR(RT-qPCR)监测动物的临床症状和病毒释放情况,方法是:从鼻腔冲洗液和直肠拭子(雪貂)、口腔拭子和混合粪便样本(果蝠)、鼻和直肠拭子(猪)或口咽拭子和泄殖腔拭子(鸡)中提取核酸,以监测动物的临床症状和病毒释放。在第4、8和12天,对每个物种的两只接种动物(或三只鸡)实施安乐死,并在第21天对所有其余动物(包括接触者)实施安乐死。所有动物均进行尸检,并收集各种组织用于通过RT-qPCR,组织病理学免疫组织化学和原位杂交进行病毒检测。用间接免疫荧光法和病毒中和试验检测了产生的SARS-CoV-2反应性抗体。
发现:猪和鸡对SARS-CoV-2不敏感。 所有拭子,器官样本和接触动物的病毒RNA均为阴性,并且没有产生抗体。9只果蝠中有7只(78%)有短暂感染,并伴有鼻炎,可通过RT-qPCR、免疫组织化学和鼻腔原位杂交检测到病毒。在第4天安乐死的两只动物的气管,肺和与肺相关的淋巴组织中也鉴定出病毒RNA。三只果蝠接触者有一只受到感染。在雪貂中观察到更有效的病毒复制,但没有临床症状,并传播给所有三只直接接触的动物。观察到的轻度鼻炎与在呼吸道和嗅上皮检测到的病毒抗原有关。在果蝠和雪貂的上呼吸道中检测到每毫升0–104个病毒基因组拷贝的显着病毒RNA载量,这两个物种都产生了SARS-CoV-2反应性抗体,在21天后中和滴度高达1/1024。
猪和鸡不能被SARS-CoV-2鼻内感染,而果蝠则显示出宿主的特征。 病毒在雪貂体内的复制类似于一种亚临床的人类感染,具有有效的传播。雪貂可以作为进一步研究的有用模型,例如测试疫苗或抗病毒药物。
简介:由于SARS-CoV-2的人畜共患病起源于可能的蝙蝠宿主,因此出现了一些关于动物易感性的问题。 首先,诸如蝙蝠这样的假定宿主有多敏感?第二,人类传染给养殖动物的风险有多大?最后,哪种动物可以作为人类感染的合适动物模型来研究抗病毒药和疫苗原型?病毒受体的结构可能被用作易感性的重要预测因素。已知SARS-CoV和SARS-CoV-2使用相同的受体分子血管紧张素转换酶2(ACE2)与刺突蛋白的受体结合域接触。根据分子研究的结果,非人灵长类动物,猪,猫和雪貂的ACE2蛋白与人ACE2受体极为相似。因此,这些物种可能对SARS-CoV-2感染敏感,正如SARS-CoV所显示的那样。蝙蝠作为β-冠状病毒,特别是SARS-CoV相关病毒的主要宿主,需要进一步研究,以更好地了解病毒在一个假定的宿主物种中的复制、脱落、传播或持续性。
本研究之前的证据:我们使用搜索词“ SARS-CoV-2”或“ COVID-19”,“动物模型”或“雪貂”或“蝙蝠”或“猪”或“鸡”在PubMed和bioRxiv中搜索了文章 ”,以了解从病毒出现到2020年4月10日之间以英文发表的文章。关于严重急性呼吸系统综合症冠状病毒2(SARS-CoV-2)是否可以感染动物以及某些物种是否有可能成为流行病学研究的动物或可以用于测试疫苗和抗病毒药物的合适动物模型的信息很少。严重急性呼吸综合征冠状病毒(SARS-CoV)感染雪貂和猫。还报告了猪的感染,而家禽似乎没有受到影响。SARS-CoV模型采用非人灵长类和雪貂模型。两项对雪貂的研究,一项对鸡和猪的研究,两项对非人灵长类动物的研究表明,SARS-CoV-2的结果相似。但是,没有关于蝙蝠物种的敏感性的数据,以及包括雪貂及其接触动物中SARS-CoV-2的病毒载量和组织病理学在内的详细分析。我们发现,猪和鸡都没有感染迹象,接触动物也没有被感染。 该发现对于这些饲养动物的风险分析特别重要,这些动物被大量饲养并与人类接触。此外,该病毒在果蝠的上呼吸道中复制,并传播给接触动物。这一发现表明,圈养的果蝠可以作为宿主模型,但也强调了自由生存的蝙蝠的风险。最后,通过免疫组织化学和原位杂交证实,雪貂感染导致了SARS-CoV-2在鼻腔的高复制率。我们的研究结果表明,雪貂是一种非常适合于测试疫苗和抗病毒治疗的模型。我们的结果支持以前的发现,表明人为动物传播到猪和鸡的风险可忽略不计,但蝙蝠和雪貂的风险却很大。果蝠与雪貂的感染方式不同,但它们都可以作为模型动物。由于人类和蝙蝠在免疫系统等方面的明显差异,蝙蝠不被认为是测试预防或治疗措施的合适模型,但可能是潜在宿主的适当模型。但是,雪貂的感染与非人类灵长类动物的感染最为相似,因此雪貂可以用作测试疫苗和抗病毒药物的动物模型。
方法:动物和试验设计:使用了12只埃及果蝠(七雌,五雄),12只雌性雪貂( 9-12月龄),12头雄性猪(9周龄) ,以及20只鸡(5周龄,12 雄8雌性,不含特定病原体的卵孵化)。果蝠四只一组,猪六只一组。雪貂被关在同一个笼子里,鸡被关在自由活动的环境中,有巢和栖木。实验前用间接免疫荧光法(IIFA)和病毒中和试验(VNT)检测SARS-CoV-2基因组和抗体阴性。猪和雪貂的ACE2受体类似于人的受体。 但是,由于鸡在亚洲的重要性,因此我们将鸡纳入了实验。 由于我们拥有自己的繁殖地,因此埃及果蝠被选为模型蝙蝠物种,是因为它们具有可用性。果蝠1–9,雪貂1–9和猪1–9,鸡1–17每只动物通过滴鼻感染105 TCID50 SARS-CoV-2 2019-nCoV Muc-IMB-1。根据我们病毒滴度和对相应动物的适用量来选择此剂量,并认为在人畜共传播的背景下可能具有相关性。使用吸管(果蝠、雪貂和鸡)或鼻内喷雾装置(猪)将接种物滴入两个鼻孔。为了测试直接接触的病毒传播,在接种24小时后加入三只未接触的动物(蝙蝠、雪貂和第10-12号猪和第18-20号鸡)。在整个实验过程中,监测动物的体温(猪,果蝠和雪貂)和体重(果蝠和雪貂)。在感染后第2、4、8、12、16和21天,使用鼻冲洗液和直肠拭子(雪貂)、口腔拭子和混合粪便样本(果蝠)、鼻和直肠拭子(猪)或口咽拭子和泄殖腔拭子(鸡肉)测试病毒的脱落。在第4天、第8天和第12天,每种动物中的两只接种过疫苗的动物(如果是鸡,则是三只)被安乐死。所有剩下的动物,包括接触者,在第21天被安乐死。所有动物都进行了尸检。为了进行病毒检测和组织病理学检查,收集了鼻甲、气管、肺、气管、支气管淋巴结(不适用于鸡)、心脏、肝脏、脾脏、十二指肠、结肠或盲肠、胰腺、肾脏、肾上腺、骨骼肌、腹股沟皮肤和脑组织。

图1、体内实验概述
在第4、8和12天,对两只果蝠,雪貂和家猪,三只鸡实施安乐死。第21天将所有剩余的动物(包括接触者)安乐死。用105 TCID50鼻内接种黑色动物(蝙蝠,雪貂和猪为n = 9;鸡为n = 17)。 灰色动物(每个物种n = 3)表示接种后1天的直接接触动物。在右侧,黑色和灰色动物不易受感染;红色动物受到感染,并显示出较强的病毒脱落;紫色动物受到感染,但仅显示很少的病毒脱落。
RNA提取,SARS-CoV-2基因组检测以及反应性抗体和病理学:根据制造商的说明,使用NucleoMagVet试剂盒从口腔,鼻腔,直肠,粪便和组织样品中以及鼻腔清洗液中提取总RNA,洗脱体积为100μL。如Corman等人所述,通过E基因Sarbeco 6-羧基荧光素定量RT-PCR(RT-qPCR)检测SARS-CoV-2 RNA,每μLRNA洗脱液检测限为1个基因组拷贝。用IIFA和VNT检测血清样本是否存在SARS-CoV-2反应性抗体,其临界值小于1/16。尸检时,将组织固定在10%福尔马林中,包埋在石蜡中,切成3μm切片,并用HE染色。 根据标准的抗生物素蛋白-生物素-过氧化物酶复合物方法,使用抗SARS核衣壳抗体进行免疫组织化学,产生红色标记和苏木精复染。为了确认免疫组化,使用SARS-CoV-2棘突蛋白探针在选定的组织上进行了RNA原位杂交。
结果:12只蝙蝠均未观察到任何临床体征,发烧,体重减轻或死亡率。 从第2天到第12天,在所有9只受感染的蝙蝠中均观察到口腔病毒脱落,而在第12天时,其余三只受感染的蝙蝠之一仍呈病毒阳性。在接触第11号果蝠 的第2天和接触果蝠10的第8天也检测到一次口腔病毒脱落。在第2天从一只拭子中分离出病毒(果蝠8,101·75 TCID50 / mL)。在第2天和第4天,在所有三个蝙蝠笼中都观察到粪便病毒脱落,定量值(Cq)为29.54至36.43。 在第4、8和21天被安乐死的9只受感染蝙蝠中,有7只(78%)的鼻上皮中检测到SARS-CoV-2基因组(Cq 23.16-38.97;1.96×104~1.32×101个基因组拷贝数/μL),其中2只在第8天和第12天结果呈阴性(果蝠4和6)。一只接触动物的鼻上皮在第21天检测到病毒RNA(Cq值32.89;每微升3.12基因组拷贝;果蝠10)。在第4天,在呼吸组织(气管[2/2]、肺[1/2]和肺相关淋巴组织[2/2])也检测到基因组和心脏、皮肤、十二指肠和肾上腺组织(第4天的果蝠2)和第8天的十二指肠、皮肤和肾上腺组织中也检测到低水平的基因组。在第4天,只能从果蝠2的气管和鼻上皮中培养病毒。

图2、研究期间SARS-CoV-2病毒基因组载量
实验感染SARS-CoV-2的果蝠口腔拭子(A)、雪貂鼻腔冲洗液(B)、果蝠组织(C)和雪貂组织(D)和接触动物。根据定量的标准RNA计算每μL RNA洗脱液的基因组拷贝数。每个提取的样品在100μL中洗脱,检测限为每μL RNA 1个基因组拷贝。接触的果蝠被感染,但病毒的脱落可忽略不计,而接触的雪貂被感染并表现出强烈的病毒脱落。在果蝠6(第12天),11和12(第21天)以及雪貂5(第12天)和8(第21天)中无法检测到病毒基因组。 SARS-CoV-2 为严重急性呼吸系统综合症冠状病毒2。从第8天开始观察到SARS-CoV-2-反应性抗体,在第21天从一个接触蝙蝠(蝙蝠10)中观察到SARS-CoV-2-反应抗体,滴度为1/16。在第8天到第21天之间,抗体水平只有轻微增加(滴度在1/16和1/64之间变化)。 可以在同一果蝠中检测到中和抗体,滴度高达1/64。


尸检未发现明显的病理损伤。病理组织学显示在第4天(果蝠1和2)轻度鼻炎,伴有上皮坏死、水肿、淋巴细胞和中性粒细胞浸润以及管腔内细胞碎片。病毒抗原检测仅限于鼻腔呼吸上皮和非呼吸道上皮(果蝠1和2)的单个细胞,经原位杂交证实。但在第8天(果蝠3和4)、第12天(果蝠6)检测到中度鼻炎,在第21天(果蝠7和11)检测到轻度鼻炎。尽管通过RT-qPCR检测到病毒RNA,但在肺组织中未检测到病毒抗原。 但是,接种的三只(蝙蝠1、4和5)以及一只接触动物(蝙蝠10)在肺部均显示出炎症浸润。肺泡巨噬细胞的数量在所有时间点都略有增加。 其他器官均未发现病毒抗原阳性,也未检测到进一步的相关形态变化。

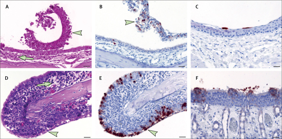
图3、第4天与SARS-CoV-2相关的鼻炎和抗原检测
(A)蝙蝠鼻炎,管腔内有碎片(箭头所示),轻微的粘膜水肿和轻微的炎症(箭头所示)。(B) 蝙蝠鼻呼吸道上皮,显示病变内病毒抗原主要在管腔碎片内。(C) 蝙蝠的非呼吸上皮,有单个抗原阳性细胞,无炎症。(D)雪貂鼻炎,呼吸上皮变性坏死(箭头),轻度黏膜水肿,大量浸润(箭头)。(E)雪貂鼻呼吸道上皮,显示病灶内丰富的病毒抗原。(F) 雪貂嗅上皮,显示多灶病变内病毒抗原。
在研究期间,12只雪貂都没有出现临床症状或体重减轻,体温也保持正常。在第2天和第8天之间,在九只接种的雪貂中,有八只在鼻洗液中检测到病毒脱落,循环定量值范围为21.77至36.35(每μL8.44×103至0.34个基因组拷贝)。从第2天(雪貂2、3和4)和第4天(雪貂4)收集的鼻冲洗液中成功分离病毒。所有三只接触者都是通过与其他接种的雪貂直接接触而感染的。雪貂12在第8天(周期定量值37.03)和第12天(28.59)出现病毒脱落。雪貂11在第12、16和21天(37.39、26.15和36.93)的鼻洗液中呈阳性反应,雪貂10在第16(28.04)和21天的鼻洗液呈阳性。直肠拭子分析显示4只雪貂在单一时间点病毒RNA含量较低,其周期定量值在33.97~38.45之间。在第4天被安乐死的两只雪貂中至少有一只(雪貂1号和2号)在不同组织(鼻甲、肺、肌肉、皮肤、气管、肺淋巴结和结肠)中均呈RT-qPCR阳性,病毒基因组载量以鼻甲最高。第8天被安乐死的两只雪貂(3和4)的鼻甲呈阳性。在第12天,其中一只雪貂的鼻甲也呈阳性。最后三只接种了疫苗的雪貂在第21天被安乐死。在大脑和结肠中仅表现出非常弱的RT-qPCR阳性。在第21天安乐死的三个雪貂接触者的鼻甲均呈阳性。雪貂10的肌肉、肺、大脑、小脑和气管组织标本,RT-qPCR均为阳性,而只一只动物的肺淋巴结、皮肤和肾上腺组织呈阳性。
从第8天开始,用IIFA检测所有接种的雪貂SARS-CoV-2抗体。三只接触动物中的一只(33%)也显示出高抗体滴度(雪貂12;最高反应性血清稀释度1/8192),而其他则为阴性。在第21天被安乐死的三只(33%)接种的雪貂(雪貂7、8和9)和一只(33%)接触动物(雪貂12)中观察到中和抗体。
雪貂尸检未发现明显的病变。 在第4天,病毒抗原与鼻炎相关,表现为上皮变性和坏死,腔内细胞碎片和轻度炎症。在第8天和第12天出现更严重的鼻炎。第21天,仅可检测到轻微鼻炎(雪貂7)或无鼻炎(雪貂8和9)。 还观察到接触者(雪貂10和11)的抗原相关性鼻炎。肺组织中未发现病毒抗原。三只接种病毒的雪貂(雪貂1-3)在第4天和第8天,以及所有接触的动物都显示肺部有炎症浸润。在所有时间点发现肺泡巨噬细胞的数量略有增加。革兰氏染色未发现病灶内细菌。 没有发现其他器官对病毒抗原呈阳性,也未检测到其他相关的形态学改变。
在12头猪或20只鸡中,均未观察到包括体温升高在内的任何临床体征。所有采集样本的SARS-CoV-2基因组均为阴性。未检测到SARS-CoV-2-反应性抗体。三种猪细胞系(PK-15、SK-6和ST)接种SARS-CoV-2后未产生细胞病变,但有2株(SK-6和ST)出现病毒复制。
总之,在我们的实验条件下,鸡和猪等农场动物对鼻内SARS-CoV-2接种具有抗性。由于动物数量少,年龄小,不能完全排除在家畜之间传播的可能性,这与感染的风险评估和流行病学有关。相比之下,我们发现雪貂和果蝠可以被有效地感染。特别是雪貂感染SARS-CoV-2,类似于人类的轻微感染,可能会成为测试原型COVID-19疫苗和抗病毒药的有用动物模型。
原文出自:https://www.sciencedirect.com/science/article/pii/S2666524720300896



