摘要:嗅觉缺失是COVID-19大流行期间SARS-CoV-2感染最常见的症状之一。然而,嗅觉突然丧失背后的细胞机制尚未被研究。首先在假复层嗅上皮(OE)中发生气味检测,该上皮主要由嗅感觉神经元组成,被称为支撑细胞的支持细胞所包围。嗅觉神经元将它们的轴突投射到中枢神经系统的嗅球中,从而为病原体绕过血脑屏障而进入中枢神经系统提供了潜在的途径。在本研究中,我们探讨了SARS-COV-2感染对金黄地鼠嗅觉系统的影响。在鼻腔滴注SARS-CoV-2后的第二天就观察到金黄地鼠大量的OE损伤,导致气味检测所必需的纤毛大量损失。这些损害与大部分的支持细胞感染有关,但与嗅觉神经元的感染无关,而且我们在嗅球中没有发现病毒的存在。我们观察到被感染动物的OE和固有层中大量免疫细胞浸润,这可能是OE损伤的原因。在感染后14天OE损伤部分恢复。
关键词:嗅觉 鼻腔 中枢神经系统 呼吸道病毒 SARS
简介:呼吸道病毒在世界范围内非常普遍,会影响人类和动物健康,并带来重大的经济后果。虽然呼吸道病毒感染的大多数症状与气道炎症有关,且集中在呼吸道,但呼吸道以外的器官也受到这些病毒的攻击,包括中枢神经系统。在2019年12月出现的冠状病毒病(COVID-19)大流行伴随着嗅觉改变。事实上,大约60%的感染严重急性呼吸综合征冠状病毒2(SARS-CoV-2)的患者患有轻度(嗅觉减退)或完全丧失嗅觉能力(嗅觉缺失)。这些变化的机制尚待确定。
嗅觉开始于嗅觉感觉神经元(OSN),位于鼻腔最背侧的嗅上皮(OE)中。OE与固有的固有层一起构成嗅觉粘膜。 OSN的纤毛与环境直接接触,以检测气味。因此,它们容易被呼吸道病毒感染,并且其中一些病毒能够通过跟随投射到嗅球的嗅神经来感染OSN并到达中枢神经系统。有趣的是,SARS-CoV-1被描述为一种能够利用这种嗅觉通路的病毒。与SARS-CoV-1类似,ACE2(血管紧张素转换酶2)是SARS-CoV-2的进入细胞主要受体。 SARS-CoV-1能够感染人类ACE2转基因小鼠并进入中枢神经系统。在此模型中,脑部感染始于嗅球,而作者并未寻找嗅粘膜的潜在感染,但SARS-CoV-1可能会感染嗅觉感觉神经元,并通过嗅球到达大脑。如果SARS-COV-2感染遵循相同的途径,SARS-COV-2感染后的嗅觉缺失可能与某些COVID-19患者的脑病相关。金黄地鼠已被成功地用作SARS-CoV-1感染的模型,最近也被证明是SARS-CoV-2的良好模型。实际上,SARS-CoV-2的进入受体ACE2的表达谱在仓鼠和人类中非常相似。COVID-19患者的嗅觉缺失为研究ACE2在鼻腔中的表达谱提供了动力。几项研究表明,ACE2存在于嗅神经元周围的支持细胞,而不是在嗅神经元本身。但是,最近的一项研究表明,SARS-CoV-2可以感染地鼠的嗅觉感觉神经元。在本研究中,着重研究了两种不同的SARS-CoV-2毒株对金黄地鼠鼻腔和中枢神经系统的病理影响。
SARS-CoV-2的分离株:
从疑似COVID-19的呼吸道感染患者的鼻咽拭子中分离出病毒株,并进行分子诊断。将鼻咽拭子悬浮在UTM培养基中,并在4°C下保持少于48小时。在BSL3病毒学实验室中,将体积为400 µl的溶液匀浆并微过滤(0.5 µm),然后接种在融合80%的Vero细胞CCL-81上。在接种后第3天收集上清液,并立即按照相同方案用于病毒的后续传代1(P1)。用P1进行传代,在滴定和基因组定量之前,将每种PI等分并保存在-80°C下。在模型中使用了两个菌株:UCN1和UCN19。
动物:
在生物安全三级(A-BSL3)动物设施中进行动物实验。12只雌性金黄地鼠(8周龄)。对麻醉动物通过鼻内滴注(每只鼻孔20μl)进行感染。五只动物感染了5.4 ╳103(pfu)SARS-CoV-2的UCN1株,五只动物感染了1.8╳103 pfu SARS-CoV2的 UCN19株,两只动物模拟感染只接受了DMEM。感染SARS-CoV-2的金黄地鼠在感染后2、4、7、10或14天进行全身麻醉安乐死。安乐死后,取肺,称重,并在1ml DMEM中用不锈钢珠匀化30秒,频率为30赫兹。对肺匀浆进行离心(2000×g,4°C,10分钟),并等分储存在−80°C下,直到提取RNA。按照制造商的说明,使用RNA minikit(Qiagen)进行RNA提取。对E基因进行实时定量PCR。
免疫组织化学、组织学染色和定量分析:
对小鼠嗅粘膜组织切片进行免疫组化分析。简而言之,将整个动物头部在室温下用4%多聚甲醛PBS固定3天,然后脱钙1周(在4°C下使用10%EDTA – pH 7.3)。将鼻中隔和内鼻甲板作为一个整体取出,并在4%的4%多聚甲醛PBS中固定过夜,然后脱钙3天。大脑皮质和脑干也采用同样的方法,但没有脱钙。组织块和组织用蔗糖(30%)冷冻保护。对垂直于硬腭的鼻腔正中横切面(14μm)进行冷冻切片,以突出犁鼻器、嗅粘膜、Steno腺和嗅球。在冠状面上对大脑进行冷冻切片(14µm)。切片在使用前保存在-80°C。用2%牛血清白蛋白和0.3%Triton X-100来封闭孵育。然后将切片与针对SARS核衣壳蛋白的一抗(1:200;兔多克隆,NB100-56576,NOVUS,法国)、嗅觉标记蛋白-OMP(1:500;山羊多克隆; 544-10001,WAKO,美国),细胞角蛋白18-CK18(1:50;小鼠多克隆; MAB3234 – RGE53,Sigma-Aldrich,法国),离子钙结合 衔接子分子1-Iba1(1:1000;山羊多克隆; ab178846,Abcam,France); G alpha s / olf-Golf(1:500;兔多克隆)一起孵育过夜。使用山羊抗兔Alexa-Fluor-488(1:1000),驴抗山羊Alexa-Fluor-555(1:1000;)和驴抗小鼠Alexa-Fluor 555(1:500)二抗进行荧光染色。在x100倍下拍摄。使用ImageJ对图像进行定量,以达到阈值特异性染色。
在组织学方面,一些切片被再水化,然后在苏木精中染色30秒并用水冲洗。然后将载玻片转移到酸性酒精溶液(0.5%HCl与70%乙醇中)中10s,用水冲洗,然后在曙红中浸泡15s并再次用水冲洗。最后,将载玻片逐渐脱水并装入Eukitt。在常规组织学程序下进行Nissl染色,包括在0.1%甲酚紫溶液中浸泡10分钟。
我们在每只动物的6张图像上测量了OE厚度,OSN纤毛质量(基于Golf染色)和嗅觉粘膜的免疫细胞浸润(基于Iba1染色)。如前所述,对于OE厚度,,对每个图像沿OE隔膜进行10次测量。用ImageJ阈值特异性染色法检测保留了Golf染色的顶端OE百分比和OE中Iba1 +细胞浸润的百分比。 所有值均取每只动物的平均值。通过将模拟感染的动物与SARS-CoV-2感染的动物进行比较,我们评估: HE染色的OE结构的完整性;
结果:SARS-CoV-2诱导大量嗅上皮细胞损伤:
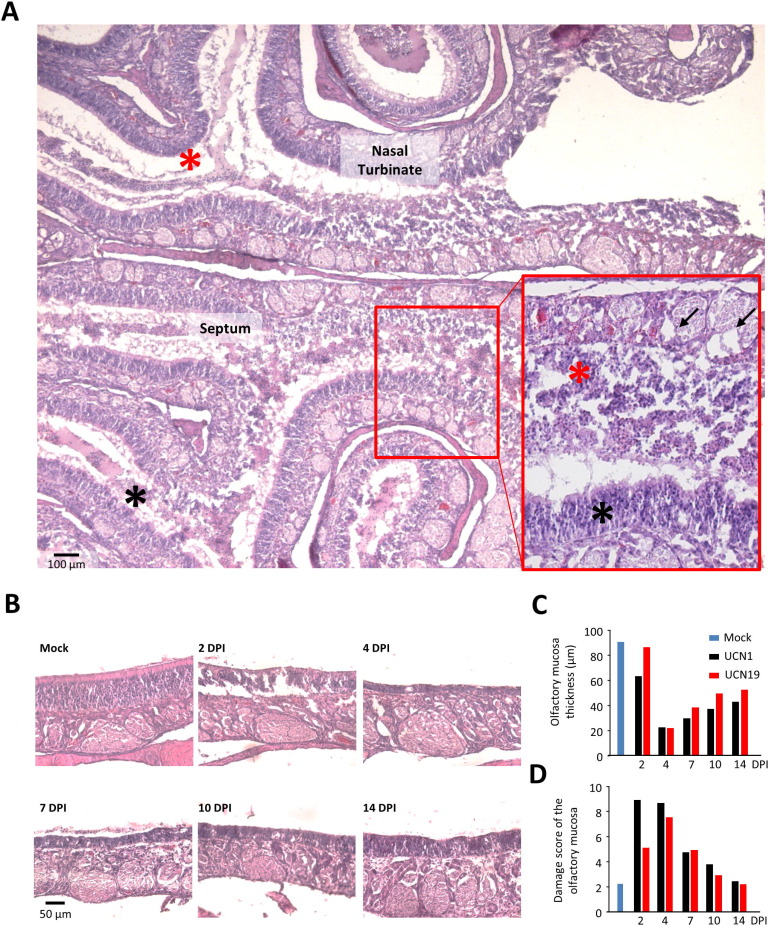
我们用12只金黄地鼠为研究对象,通过鼻腔滴注研究了感染两种不同的SARS-CoV-2(UCN1和UCN19)后2-14天对鼻腔的影响。我们观察到对照组动物嗅上皮保存良好, SARS-CoV-2感染动物的嗅上皮早在2dpi就出现了大量损伤。鼻腔内腔充满了细胞聚集物,大多数嗅觉上皮细胞高度紊乱。在受影响最严重的OE区,嗅觉上皮下嗅觉感觉神经元的轴突束几乎与环境直接接触。首先测量鼻中隔上皮厚度,然后对OE的整体病变进行评分。大部分OE在4 DPI时消失,此后它开始恢复,但在14 DPI停止测量时未达到感染前的厚度。 两种病毒的结果相似。

图1、SARS-CoV-2鼻腔滴注导致2dpi嗅上皮严重损伤,14dpi部分愈合。
SARS-CoV-2主要感染支持细胞,而不是嗅感觉神经元:
然后,我们使用针对病毒核衣壳蛋白的抗体,通过免疫组织化学检查了SARS-CoV-2在鼻腔中的细胞定位。 我们观察到大部分OE在2 DPI时被感染,在4 DPI时下降,随后消失。在2dpi和4dpi时,该病毒也存在于犁鼻器和Steno腺中。我们还检查了大脑的各个区域。 我们在嗅球,嗅皮层(梨状皮层和嗅结节),下丘脑,海马体以及呼吸控制中枢的脑干中均未发现该病毒。病毒在鼻腔中的存在遵循一种类似于其在肺部存在的动力学。

图2、SARS-CoV-2在鼻腔的定位

图3、鼻腔感染SARS-CoV-2后,OSNs纤毛严重受损
为了确定OE中哪些细胞感染了SARS-CoV-2,我们对嗅粘膜进行了OMP和CK18双重染色,分别是成熟OSNs和支持细胞的特异性标记物。虽然大多数感染SARS-CoV2的细胞也表达CK18,但我们在OMP表达细胞中没有发现任何病毒抗原。这些结果表明,SARS-CoV-2感染的是支持细胞,而不是OSNs。
在SARS-CoV-2感染后2dpi 大部分OSNs的纤毛消失:
为了了解SARS-CoV-2感染后OSN的损伤程度,我们检查了OSN纤毛层的保存情况,该层包含所有可检测气味的转导复合物。我们针对Golf进行了免疫组化分析,Golf是一种来自该复合物的特定G蛋白。在对照组动物中,Golf信号被完全保留,但在感染SARS-CoV-2的动物身上,Golf信号迅速减弱,从2dpi到10dpi没有明显改善。仅在14 dpi携带UCN19病毒的OE的中隔部分观察到了少量Golf信号的恢复。
鼻内滴注SARS-CoV-2后免疫细胞在嗅上皮中的浸润:
使用Iba1 +作为单核细胞/巨噬细胞系的特异性标记物,检测嗅觉黏膜中免疫细胞的存在。在对照组动物中,Iba1+细胞主要分布在固有层,呈分枝状,,是典型的静息表型。我们测量了Iba1+细胞的存在,并分别对OE和固有层中Iba1+细胞的存在和形态进行了评分。而对照组动物的OE中Iba1+细胞大多不存在,在固有层中适度存在,在4 DPI感染动物的OE和固有层中Iba1+细胞存在急剧增加。此外,Iba1+细胞在2~7dpi时呈典型的激活状态。在鼻腔内含有SARS-CoV-2的细胞聚集体中观察到了Iba1 +细胞。免疫细胞浸润逐渐减弱。这种减弱最初是在10dpi时的OE中观察到,但直至14dpi在固有层也没有观察到。在14dpi时,这两种病毒株在OE和固有层中均达到模拟水平。

图4、 SARS-CoV-2感染后嗅黏膜中免疫细胞的浸润
讨论:在本研究中,我们以金黄地鼠为模型,重点研究了SARS-CoV-2对鼻腔和中枢神经系统的影响。选择了两种不同的SARS-CoV-2分离株进行研究。我们探索了这两种不同菌株的动力学。 由于在COVID-19大流行期间难以设计实验,因此每个病毒株和每个时间点只检查了一只动物。 总体而言,对于两种病毒,我们的结果是一致的,并且不同测量参数的动力学始终遵循从2dpi到14dpi的一致演变。虽然这些结果需要更大动物群体的确认,但它们提供了SARS-CoV-2对鼻腔的影响的定性概述,这可以解释在COVID-19患者中观察到的嗅觉缺失。根据我们的研究结果,支持细胞很快被SARS-CoV-2感染,感染与OE和固有层中大量的免疫细胞募集有关,可能通过引起免疫病理学而导致OE结构的迅速紊乱。这一假设与在COVID-19患者OE样本中观察到的TNFα水平升高相一致,但是还需要进一步的实验来确定病毒复制直接导致了损害。紊乱之后,OE会从鼻腔脱落,并带走OSNs的大部分纤毛层。在没有这些纤毛的情况下,嗅觉传导不起作用,因此动物的嗅觉能力受到损害,直到嗅神经再生。需要补充实验来证明感染地鼠的嗅觉缺失。在14 DPI时,OE的厚度已经恢复到模拟状态的大约50%,并且一些功能性纤毛重新出现。这种动力学与观察到的COVID-19患者的嗅觉恢复一致。
我们确定支持细胞是SARS-CoV-2的主要靶细胞。最近的两篇报道表明仓鼠的嗅觉神经元和雪貂的呼吸细胞可能是SARS-CoV-2的靶标,但这些研究并没有集中在鼻腔上,也没有使用双重染色法来明确识别OE中的感染细胞。尚需进一步研究,以明确鼻腔感染SARS-CoV-2的其他非神经元细胞,这些细胞可能促进呼吸道下部其他细胞和组织的全身感染。我们未在脑中观察到该病毒的存在。
在全球范围内,我们提供了第一份关于SARS-CoV-2对鼻腔的影响的数据。我们的结果可以解释在COVID-19患者中观察到的嗅觉缺失的高患病率,这需要通过对人类OE的分析来证实。
原文出自:https://www.sciencedirect.com/science/article/pii/S0889159120313581



