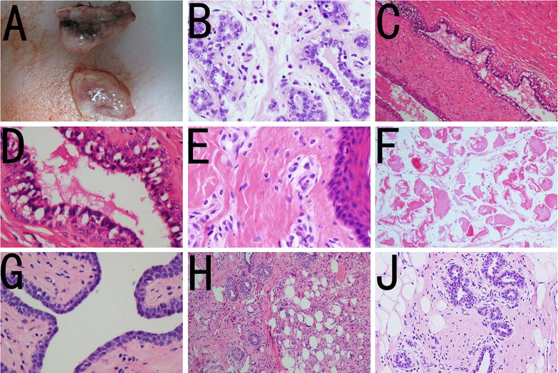
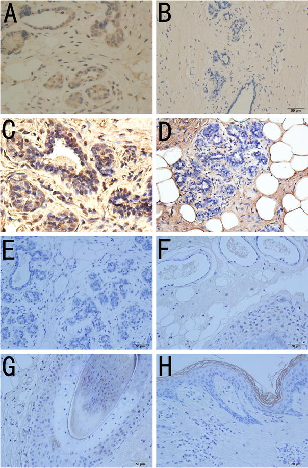
摘要:目的探讨不可逆电穿孔(IRE)对乳腺组织和乳腺癌动物模型的安全性、可行性和皮肤效应。方法:在这项研究中使用了八头猪。用不同皮肤-电极距离的猪的左乳房进行不可逆电穿孔,右乳房作对照。电极被放置在离皮肤1 - 8毫米的地方,电极间距为1.5 - 2厘米。在特定时间点进行影像学和病理学检查评估。密切观察动物生命体征、皮肤损伤、乳腺组织变化和消融疗效。8只有VX2乳腺癌植入或没有的模型兔用以进一步评估乳腺癌治疗后薄皮的损伤和修复。超声造影与超声弹性成像观察消融的疗效和安全性。结果:在不可逆电穿孔过程中,猪乳房皮肤的颜色发生了可逆的变化。皮肤-电极距离为3毫米时,乳房皮肤颜色明显改变,在中心区域变成白色,周围区域为紫色。不可逆电穿孔几天后,检测出小的化脓性皮肤损伤。当皮肤-电极距离为5 - 8毫米时,乳房皮肤在不可逆电穿孔过程时变红。然而,用大体病理学和苏木精-伊红染色评估发现皮肤结构是正常的。当皮肤-电极间距为1 mm,兔乳房皮肤出现萎缩。当皮肤-电极间距为≥5 mm,无论有无乳腺癌细胞植入的家兔模型均无皮肤损伤。不可逆电穿孔后,已确定靶乳腺组织或癌完全消融,靶组织和最外层表皮细胞均有凋亡。在幸存的动物乳房中,发现正常皮肤和完整毛发的乳房再生。此外,超声或HE染色均未发现大面积纤维化或肿块形成。结论:在不可逆电穿孔过程中,当皮肤-电极距离≥5毫米时皮肤结构保存完好。乳腺再生无肿块形成或明显纤维化。关键词:不可逆电穿孔 乳腺 成像 病理 细胞凋亡 皮肤背景:近年来,乳腺癌保乳治疗的使用已得到临床证据的支持,影像引导下的消融技术,如射频消融、高强度聚焦超声,已成为乳腺肿瘤的治疗有用的方式。在乳腺癌切除术中,如果病灶太大或表面较浅,乳房皮肤可能受损,不完全消融可能发生以防止损伤。此外,许多亚洲妇女乳房体积相对较小,因此在这一人群中,热消融时皮肤损伤的风险增加。放疗后保乳纤维化(即乳腺和皮肤纤维化)是放疗后常见的晚期毒性。约45%的患者经历了辐射引起的纤维化相关疼痛,在切除有放射性纤维化的组织后可能发生更严重的纤维化。这是影响乳腺癌放疗后生存质量和美容效果的主要因素。乳腺癌切除后,如果皮肤没有受损,正常乳腺组织再生,无肿块形成或残留肿瘤,则上述问题将得到解决。不可逆电穿孔技术的应用使这一目标成为可能,因为在烧伤后皮肤细胞凋亡可能是有选择性的。但是还没有在大的动物模型中研究使用乳腺癌根治术的报告。以前的研究主要报道了IRE的疗效,但我们集中在皮肤损伤,纤维斑块的形成和消融后乳房的重吸收。在这项研究中,我们对两种动物乳腺癌模型用接近皮肤表面的电极(1 - 8毫米)进行了治疗。评估了它的安全性和可行性,特别是它对皮肤的潜在损伤及导致乳房纤维化的形成。方法:用五指山猪进行正常乳房的射频消融实验研究。用新西兰大白兔进行乳腺癌和乳腺癌的射频消融研究。猪的胸部比较大,皮肤厚,便于在进行皮肤手术时准确测定电极与皮肤的距离。局部乳腺癌的皮肤可能不同于典型的健康皮肤,皮肤变薄可能是由于营养不良、皮肤侵犯和局部肿瘤张力引起的。因此,不可逆电穿孔热损伤皮肤的风险会增加。由于兔皮肤薄,我们用新西兰大白兔研究皮肤损伤。建立了兔VX2肿瘤模型,以检验乳腺癌根治术的安全性。在不可逆电穿孔治疗前和治疗后,通过大体病理和组织病理学对所有乳腺动物的乳房、乳头、肌肉、乳腺导管和乳腺、乳房肿块形成、消融区纤维化和乳房再生进行了评估。不可逆电穿孔:所有的动物在手术前禁食12小时。备皮,消毒和覆盖洞巾。手术开始前肌注舒泰(4.4 mg/kg),静脉注射3%戊巴比妥钠(1ml/ kg)维持全身麻醉。所有的动物在术前皮下注射0.01毫克/公斤丁丙诺啡镇痛,然后每12小时一次连续72小时。在IRE过程中,每只动物接受琥珀酰胆碱(2 mg/kg)。在IRE前10min,静脉注射泮库溴铵(0.15 mg/kg)减少肌肉收缩。计算机断层扫描(CT)和超声引导下,确定皮肤和电极之间的精确间距。一位经验丰富的技术专家进行CT和磁共振成像(MRI)扫描。采用实时超声监测技术将乳腺电极植入乳房的正常位置。研究组有超过5年的介入放射学经验。乳头位于两个电极之间,在研究中大部分乳房位于消融区。平行电极和合适的位置也被CT扫描所证实。肌肉完全放松后,我们开始使用心电图(ECG)同步模式进行射频消融。IRE后,回顾了电压和电流图以及超声造影和CT图像来评估消融效果。如果没有完成靶区的完全消融,则重复治疗。猪乳房的IRE消融:健康成年五指山猪8头,体重16~18公斤,分为IRE组(6头猪)和假处理组(2头猪)。三只猪的左乳房被消融或加工。右乳房被用作对照,任何猪的都不接受治疗。假手术组在不做消融的情况下,将电极插入左乳房。在IRE组,进行左侧乳房的IRE消融。在IRE组,一头猪有三个乳房,电极和皮肤之间的距离为3毫米,剩下的五只猪电极和皮肤之间的距离为5到8毫米。电极和皮肤之间的距离被定义为电极与皮肤表面暴露部分之间的最短距离。假手术组在不做消融的同时,将电极插入乳房的预定位置。围手术期进行CT和MRI,做活检或切除乳房作病理检查。家兔乳房的IRE消融:为了确定是否会破坏薄皮肤,在新西兰大白兔身上放置了接近乳房皮肤(1或3毫米)的电极。电极保持平行于皮肤平面,四个消融区的距离为1毫米,另外四个消融区为3毫米。总共对四只兔子进行了八次IRE试验。IRE之后的1, 3, 7天和14天,检查肿块形成、纤维化和皮肤变化。乳腺癌模型的IRE: 将新鲜的VX2肿瘤分成1 - 2毫米直径的组织块,没有坏死或液化碎片。我们在四只兔子的乳房皮下植入一个新的肿瘤。每只兔子产生两个乳腺癌模型。皮肤-电极距离小于8毫米。1周后,所有8个乳腺肿瘤直径增加到1到1.5厘米,用超声评估肿瘤大小。在IRE开始前、开始后1天和7天用彩色多普勒超声、超声弹性成像及超声造影。我们于第3天切除了4只兔子的四个乳腺肿瘤,进行病理检查;在实验后期的时间点,没有超声波检查。剩下的4个乳腺肿瘤定期评估至少1个月。用超声造影评估是否完全消融,并应用超声弹性成像技术检测IRE后组织刚度的变化,作为评估完全消融的一个潜在的方法。弹性成像探头频率为4-15 MHz。选择合适的切片后,切换到实时剪切波弹性成像模型,并在消融区放置一个弹性成像取样框架。在3~5 s图像稳定后,将90%的图像采样帧填充为彩色,选择直径为3厘米的周期作为测量区域,得到平均弹性值。测量重复三次。尽量避免在表面皮肤留下超声波探头的痕迹。超声造影成像,静脉注射1.2毫升的sulfohexafluoride微泡后,我们开始约2分钟的影像。所使用的超声波频率为3 - 9兆赫。IRE之前和之后进行超声弹性成像及超声造影。HE染色与免疫组织化学:取乳房标本进行HE染色和细胞凋亡试验。IRE后立即及1、3和1周后用TUNEL和caspase-3对凋亡细胞进行检测。TUNEL阳性结果为棕黄色核染色。caspase-3蛋白阳性染色为胞浆棕黄色染色。评估了皮肤、乳腺血管、肌肉、乳腺、导管和基质中的凋亡细胞分布。结果:猪乳房的IRE消融:在皮肤-电极距离为3毫米IRE之后,猪胸部皮肤的颜色开始变为红色,然后变成白色,然后变成紫色,最后恢复到正常的颜色。术后2周,皮肤局部有少量化脓灶。痂形成,4周后,皮肤就恢复正常。其余两个乳房正常。当皮肤-电极距离约为5 - 8毫米时,乳房皮肤变红,消融区的中心区域变成白色,乳头周围有红色。皮肤-电极距离越近,术中皮肤颜色变化越明显和迅速。2小时后皮肤颜色恢复正常,穿刺点变红时可见少量液体。IRE之后,消融的乳房充血,肿胀,坚硬。在3个月内,大多数动物的乳房皮肤都是正常的,有完整的毛发和皮肤。在消融后3个月,消融区无纤维质形成。兔乳腺及乳腺癌的IRE消融: IRE之前,兔的乳房皮肤看起来正常。当皮肤-电极距离为1毫米时,皮肤在IRE后变红。术后第三天出现一个小的化脓性病变。一周后,皮肤表现出黄化、脱落。2周后,皮肤再生,无瘢痕形成。三周后,皮肤上只出现一个小痂,新毛发生长明显,消融区大部分皮肤恢复正常。IRE两个月后,皮肤和肌肉周围的乳腺组织正常。其他三个乳房,皮肤变得干燥和黄色,脱毛发生1周后。术后2周无化脓灶,但新皮肤生长,3周后毛发和皮肤均正常。当皮肤-电极距离为3毫米时,四个消融区的皮肤颜色瞬间变为红色,没有皮肤结构损伤或脱发,家兔乳房内无瘢痕或纤维化形成。建立兔乳腺VX2肿瘤模型后,通过病理评估和超声证实肿瘤的形成。植入后10天肿瘤直径逐渐增加1~2厘米,无液化或坏死。IRE后第一天,乳腺肿瘤变硬变大,第二天肿瘤开始变软萎缩,呈时间依赖性。当皮肤-电极距离为1毫米时,一个乳房的皮肤有脓毒症的迹象,并有疤痕愈合。当皮肤-电极距离约为3毫米时,覆盖肿瘤的乳房皮肤出现化脓,并且在消融区域没有发现血液供应。当皮肤-电极间的距离≥5毫米,没有皮肤溃烂化脓或脱毛的迹象。一个月后,所有的动物都有正常的乳房皮肤。HE染色:IRE之后,消融的乳房变得充血、肿胀和坚硬。围绕着电极束,乳房颜色变成棕黑色。IRE后立即观察在乳房的腺体和导管细胞中发现空泡。IRE后2h到3天,乳腺导管浆液分泌,某些导管细胞脱落,中性粒细胞,嗜酸性粒细胞和浆细胞浸润。未观察到乳腺上皮分层上皮结构的明显损伤。IRE后三天,电极路径附近可见成纤维细胞和胶原形成,也可见横纹肌断裂和溶解。IRE后一周,消融区皮肤皮脂腺和毛发正常。IRE十四天后,在乳房中观察到乳腺再生和恢复正常乳腺组织结构,无导管狭窄、扩张或闭塞。在任何消融区均无大面积纤维化或肿块形成。假手术组和对照组在电极路径上有少量出血,3周后形成胶原纤维,无细胞凋亡或炎性浸润。IRE后两个月,实验猪的消融区出现正常的乳腺组织。皮肤胶原、发根、汗腺或皮脂腺中没有观察到结构异常。3个月内无肿块形成或乳管阻塞。对于正常家兔,当皮肤-电极距离在1~3 mm时,HE染色显示胶原纤维完整,皮肤结构正常。电极周围的通道均匀红染,IRE 2周后乳房内无纤维化或肿块形成。乳腺肿瘤切除后,皮肤内可见炎细胞浸润和少量红细胞浸润。消融后的乳房肿瘤在3周后逐渐消失,没有肿块形成,以前的消融区被正常的乳房组织所取代。细胞凋亡检测:在IRE的3天内,在消融区检测到Caspase-3阳性细胞质染色。猪IRE组,乳腺腺泡细胞、导管上皮细胞、脂肪细胞、间质细胞、血管内皮细胞和血管平滑肌细胞均呈阳性的TUNEL染色。染色阳性细胞数量呈时间依赖性增加,在第三天100%的细胞发生凋亡。假手术组和对照组均未检测到细胞凋亡。在乳腺组织中也检测到乳腺血管内皮细胞和血管平滑肌细胞的凋亡。IRE消融后2小时,表皮鳞状上皮细胞最外层可见少量凋亡细胞,第三天凋亡细胞增多。IRE十四天后,任何乳房都没有发现细胞凋亡。成像:IRE之后,消融的乳房充血、肿胀、增大,通过CT和磁共振成像证实。IRE一周后,CT显示猪胸部轻度充血和水肿。2个月后,切除的乳腺区域的超声表现正常。使用CT对乳腺皮肤和乳腺组织进行完整的分层结构观察,乳腺结构性完整正常,无瘢痕、囊肿或肿块形成。3个月后,每只猪表现出正常的乳房、皮肤和乳头外观。IRE消融后即刻超声评价表明,兔乳腺肿瘤消融区呈低回声无增强。超声弹性成像显示肿瘤弹性值有所提高。IRE七天后,肿瘤仍低回声无增强,采用超声弹性成像弹性值明显下降。结论:研究表明乳腺癌的根治术是可行和安全的。在皮肤-电极距离≥5毫米,乳腺组织和乳腺癌被IRE完全消融后,皮肤的结构保存完好。此外,实验动物的凋亡组织和乳腺再生迅速消失,无大量纤维化或肿块形成。对于乳腺癌的切除,特别是对易感皮肤的浅表肿瘤,IRE是一种潜在的选择。由于人类和动物之间的解剖差异,有必要进一步通过临床试验评估乳腺癌切除后皮肤的变化。














