骨骼肌减少症(Sarcopenia)是一种增龄性肌肉退行性疾病,表现为骨骼肌萎缩、肌力和机体运动功能下降。提高骨骼肌再生能力是对抗骨骼肌减少的主要策略。近期,来自暨南大学的王晓刚副研究员课题组在《Nature Communications》(IF= 12.124)上发表了题为Lnc-mg is a long non-coding RNA that promotes myogenesis的研究论文。该研究以骨骼肌再生为切入点,率先筛选了在骨骼肌干细胞分化过程中差异表达的长链非编码RNA分子(lncRNA),并发现了可促进骨骼肌干细胞分化和骨骼肌再生的lncRNA分子,命名为lnc-mg,该分子的发现及机制研究有望为骨骼肌减少症的治疗提供新的药物靶点,本研究中使用的转基因小鼠来自赛业生物。
为筛选和肌细胞生成相关的lncRNA,研究人员运用lncRNA芯片对原始MuSCs和分化后的细胞进行了检测。在进行芯片筛选以及lnc-mg相关的mRNA功能富集实验后,研究人员找到了与肌细胞生成相关的lncRNA,命名为lnc-mg。

为探究lnc-mg在肌细胞生成过程中的角色,研究人员对lnc-mg进行功能分析,首先进行了lnc-mg的敲降和过表达。结果显示,敲降后,MuSCs的分化受到抑制,其分子标志MyHC表达降低,肌小管数量减少;过表达后,MuSCs分化加强,肌小管数目增加。

此外,研究人员构建了lnc-mg敲除小鼠模型和转基因TG模型(模型来自赛业生物),分别检测腓肠肌(GAS),比目鱼肌(SOL),伸缩肌(EDL)和胫骨前肌的形状变化,检测发现lnc-mg敲除小鼠的肌肉重量变轻,体积变小,而TG小鼠的肌肉组织变重变大;此外,两种肌肉的僵直机能和运动能力也完全相反。这些体外和体内实验验证了lnc-mg是影响肌生成的重要lncRNA。

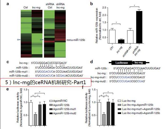
那么lnc-mg是通过什么调控机制影响肌细胞生成呢?研究人员首先对lnc-mg进行细胞定位,FISH实验结果发现lnc-mg在胞质和核内都有,但是在分化的成肌细胞中主要定位在细胞质中。因此,研究人员想到了ceRNA调控机制,为验证这个假设,研究人员通过芯片检测了过表达和敲降细胞的miRNA表达变化,发现miR-125b在过表达细胞中下调,在敲降细胞中上调。结合生物信息学结果分析得出:miR-125b是lnc-mg实现ceRNA机制的潜在靶点。此外,荧光素酶检测也证实了lnc-mg能结合miR-125b并影响其表达。 
目前已有研究显示,miR-125b通过调控靶基因Igf2影响成肌细胞分化。因此,研究人员检测了过表达和敲降lnc-mg细胞中Igf2的表达,western blotting和ELISA结果表明Igf2蛋白表达分别增大和减少。进一步的荧光素酶和小鼠转基因模型实验也都清晰地表明,lnc-mg是通过竞争性地结合miR-125b影响Igf2的表达,从而影响肌细胞生成。因此,lnc-mg是通过典型的ceRNA机制影响肌生成。lnc-mg分子的发现及机制研究有望为骨骼肌减少症提供新的治疗药物靶点。


本文由赛业生物科技发布
联系电话:400-680-8038
电子邮箱:info@cyagen.com
公司网址:www.cyagen.com



