在人们开始表现出阿尔茨海默氏病的特征性症状的几年之前,粘性斑块开始在大脑中形成,破坏附近的细胞。几十年来,医生一直在寻找清除这些斑块的方法,以预防或治疗这种疾病。
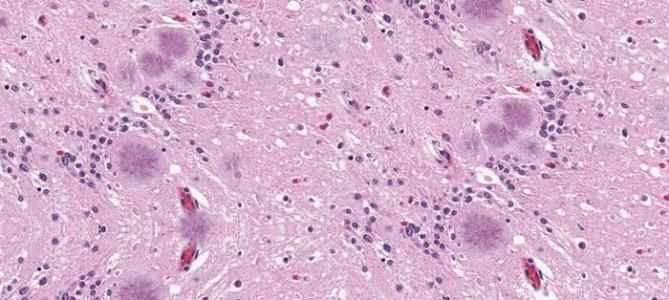
粘性团块称为淀粉样蛋白斑,主要由称为淀粉样蛋白β的脑蛋白组成。但是,在斑块中仍存有少量的另一种阿尔茨海默氏症蛋白:APOE。现在,华盛顿大学医学院的研究人员表明,一种抗体不仅能靶向去除APOE,而且还能清除斑块。该发现于3月26日在《临床研究杂志》上发表,可能会导致一种阻止淀粉样蛋白斑块引发的脑损伤的方法,而该疾病仍处于早期阶段,可能在症状出现之前。高级作者戴维·霍尔茨曼(David Holtzman),医学博士,安德鲁·B·安德鲁(Andrew B.)和格蕾琴·P·琼斯(Gretchen P. Jones)教授,神经病学系主任说:“许多人多年来积累了淀粉样蛋白,而大脑却无法摆脱。“通过清除斑块,如果我们足够早地开始活动,我们也许能够阻止导致健忘,困惑和认知能力下降的大脑变化。”APOE基因的变异是阿尔茨海默氏病的最大单一危险因素。在更早的工作中,霍尔茨曼和他的同事们已经表明,靶向APOE的基于DNA的化合物可以减轻淀粉样蛋白斑引起的伤害。但是,摆脱斑块可能比减轻斑块的破坏性更好地保护大脑。为了发现是否可以清除斑块,霍尔兹曼(共同博士后研究员)范辽博士和高级科学家李爱民博士及其同事共同致力于识别和结合APOE的抗体。一旦抗体将其自身附着到其APOE靶标上,它们就会吸引流动性免疫细胞的注意力,该免疫细胞携带抗体和靶标被破坏。研究人员认为,附近的淀粉样蛋白可能会与APOE一起清除。研究人员测试了几种可以识别人类APOE的抗体,这种抗体在基因上倾向于产生淀粉样斑块。小鼠的APOE基因已被人类APOE基因取代。这些抗体是与Denali Therapeutics合作开发的。六周后,每周给小鼠注射安慰剂或抗APOE抗体。然后,研究人员测量了他们大脑中的斑块数量。一种抗体称为HAE-4,可将噬菌斑水平降低一半。此外,HAE-4对血液中的APOE水平没有影响。APOE在体内脂肪和胆固醇的运输中起着重要作用,因此将其从血液中清除可能会产生不良的副作用。因此,抗体无法降低血液中较低的APOE水平是一个好兆头。但这也是一个谜。为什么抗体从大脑中清除了APOE但从血液中清除了?霍尔兹曼说:“事实证明,斑块中的APOE与血液中发现的APOE的结构不同。”“ HAE-4抗体只能识别发现附着在大脑斑块上的形式。”没有治疗可以预防或延迟阿尔茨海默氏病的发作或延缓其轨迹。但是,正在通过临床试验评估一些通过靶向淀粉样蛋白β清除斑块的抗体。尽管这类抗体很有希望,但有时会伴随发炎和大脑肿胀的副作用。Holtzman说,但是,针对APOE的抗体可能会成功去除人的斑块,并且不太可能触发破坏性的免疫反应。
粘性团块称为淀粉样蛋白斑,主要由称为淀粉样蛋白β的脑蛋白组成。但是,在斑块中仍存有少量的另一种阿尔茨海默氏症蛋白:APOE。现在,华盛顿大学医学院的研究人员表明,一种抗体不仅能靶向去除APOE,而且还能清除斑块。该发现于3月26日在《临床研究杂志》上发表,可能会导致一种阻止淀粉样蛋白斑块引发的脑损伤的方法,而该疾病仍处于早期阶段,可能在症状出现之前。高级作者戴维·霍尔茨曼(David Holtzman),医学博士,安德鲁·B·安德鲁(Andrew B.)和格蕾琴·P·琼斯(Gretchen P. Jones)教授,神经病学系主任说:“许多人多年来积累了淀粉样蛋白,而大脑却无法摆脱。“通过清除斑块,如果我们足够早地开始活动,我们也许能够阻止导致健忘,困惑和认知能力下降的大脑变化。”APOE基因的变异是阿尔茨海默氏病的最大单一危险因素。在更早的工作中,霍尔茨曼和他的同事们已经表明,靶向APOE的基于DNA的化合物可以减轻淀粉样蛋白斑引起的伤害。但是,摆脱斑块可能比减轻斑块的破坏性更好地保护大脑。为了发现是否可以清除斑块,霍尔兹曼(共同博士后研究员)范辽博士和高级科学家李爱民博士及其同事共同致力于识别和结合APOE的抗体。一旦抗体将其自身附着到其APOE靶标上,它们就会吸引流动性免疫细胞的注意力,该免疫细胞携带抗体和靶标被破坏。研究人员认为,附近的淀粉样蛋白可能会与APOE一起清除。研究人员测试了几种可以识别人类APOE的抗体,这种抗体在基因上倾向于产生淀粉样斑块。小鼠的APOE基因已被人类APOE基因取代。这些抗体是与Denali Therapeutics合作开发的。六周后,每周给小鼠注射安慰剂或抗APOE抗体。然后,研究人员测量了他们大脑中的斑块数量。一种抗体称为HAE-4,可将噬菌斑水平降低一半。此外,HAE-4对血液中的APOE水平没有影响。APOE在体内脂肪和胆固醇的运输中起着重要作用,因此将其从血液中清除可能会产生不良的副作用。因此,抗体无法降低血液中较低的APOE水平是一个好兆头。但这也是一个谜。为什么抗体从大脑中清除了APOE但从血液中清除了?霍尔兹曼说:“事实证明,斑块中的APOE与血液中发现的APOE的结构不同。”“ HAE-4抗体只能识别发现附着在大脑斑块上的形式。”没有治疗可以预防或延迟阿尔茨海默氏病的发作或延缓其轨迹。但是,正在通过临床试验评估一些通过靶向淀粉样蛋白β清除斑块的抗体。尽管这类抗体很有希望,但有时会伴随发炎和大脑肿胀的副作用。Holtzman说,但是,针对APOE的抗体可能会成功去除人的斑块,并且不太可能触发破坏性的免疫反应。 


