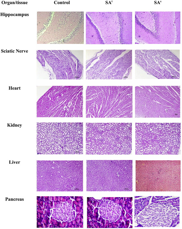
摘要:丁香酸(SA)是一种酚酸,已经进行了多种药理活性的研究,但仍缺乏安全性和/或毒性机制研究。亚急性毒性研究将为其药理作用增加价值。根据OECD TG 40 7 (OECD,2008),大鼠分为3组(n=12)。通过限量试验确定SA的剂量。治疗组和卫星组接受SA(1000 mg/kg/天,p.o持续14天),而对照组给予等量的赋形剂。为了获得可逆性,卫星组在接受SA治疗后再保留14天。记录中毒症状、死亡率和体重变化。第15天和第29天,麻醉大鼠采集血液,以评估血液学和生化参数,然后安乐死收集内脏器官,进行称重和组织病理学研究。通过评估各种生化和血液学参数、相对体重和组织病理学研究证实SA对体重、摄食量、红细胞生成、白细胞减少及内脏器官无明显不良影响。SA在有限的时间内可以被认为是安全的,这项研究可以帮助研究人员确定长期亚慢性研究的剂量。此外,此外,需要进行亚慢性和慢性毒性研究,以评估长期使用的安全性。关键词: 毒理 生理学 亚急性 毒性 丁香酸 多酚 安全性简介:多酚类物质是最大的一类植物化学物质,是植物生产保护自己免受昆虫、蘑菇和疾病侵害的次生代谢产物。分类为黄酮、黄酮醇、酚酸、挥发酚、花青素、儿茶素和单宁。近年来的研究有力地支持了它们在预防疾病,特别是癌症、心血管疾病、糖尿病和神经退行性疾病方面的作用。丁香酸(SA)是酚酸的一种,存在于各种干果(橄榄、枣子)、香料、南瓜、葡萄、阿拉伯棕榈树、蜂蜜、红酒和其他植物中。SA具有多种药理作用,如抗糖尿病、抗菌等。它能抑制醛糖还原酶,表现出抗氧化和抗高血压、肝保护和神经保护活性。具有抗糖化、抗脂肪和抗炎作用,改善糖尿病性白内障。此外,它已被证明具有抗癌特性,保护心脏和大脑/CNS,用于制备牙胶,减少小鼠血栓形成和急性血栓栓塞。SA应该长期用于治疗慢性疾病,因此对其安全性进行评估变得至关重要。然而,据我们所知,在文献中没有SA亚急性毒性的报告是可用的。因此,决定进行亚急性毒性研究。目的探讨SA对大鼠肝、脑、心、肾、坐骨神经等重要内脏器官的安全性。这项研究将增加其药理学价值;为研究人员进行长期毒性研究(亚慢性和慢性研究)提供初步数据。进一步为降低其毒副作用寻找一个平台。方法和材料:在无菌条件下,SA每天溶解在无菌的非致热氯化钠溶液(0.9%w/v)中。世界卫生组织已将氯化钠溶液(0.9%w/v)列入基本药物清单,并认为它是一种对卫生系统有效和安全的药物。健康成年雄性和雌性Wistar白化大鼠在符合标准的环境下饲养。所有动物均适应一周后开展试验。限量试验/剂量选择试验:根据OECDtg 425(OECD,2008),最初给1只大鼠单次口服SA剂量(2000 mg/kg b.w),然后根据死亡率和发病率观察,给另外4只大鼠口服SA(2000 mg/kg b.w)。连续14天观察所有大鼠的死亡率和中毒症状。采用限量试验确定LD50值和亚急性毒性研究剂量。亚急性毒性:根据OECD TG407(OECD,2008),36只大鼠(18只雄性和18只雌性)被随机分为3组,每组12只(n=12)。对大鼠进行标记,以便进行个体识别。雄性和雌性大鼠分别关在不同的笼子里,并对笼子进行编号。大鼠分组如下。对照组(1A(雄性)和1B(雌性))接受氯化钠溶液(0.9%w/v)14天。治疗组〔2A(雄性)和2B(雌性)〕接受SA(1000 mg/kg/天,p.o)治疗14天。卫星组〔3A(雄性)和3B(雌性)〕接受SA(1000 mg/kg/天,P.O)持续14天,并在治疗后观察14天。每天观察所有动物的死亡率,每周记录生活中的临床症状、体重、食物和饮水摄入量。对照组和治疗组动物于第15天处死,按照实验设计进行必要的评估。为了获得可逆性或恢复;卫星组在治疗后继续治疗14天。每天观察大鼠死亡率。第21天和28天测量额外的体重,食物和水的摄入量。在第29天,处死大鼠。临床观察:每天观察两次动物的死亡率。对照组和治疗组动物第0、7、14天在处理期间和在旷场观察临床症状。在第21天和第28天观察卫星组动物。临床症状包括感觉器官(如皮肤、眼睛、鼻子)、身体分泌、自主活动(呼吸频率、瞳孔大小、毛竖立)、抓握时反应、行走方式、叫声、肌肉震颤和行为等的变化。动物在分组前称两次体重。记录治疗组和对照组在第1天(给药前)、第7天、第14天和第15天(处死前空腹体重以计算相对体重)的体重。在第21天、28天和29天(处死前),继续每周测量卫星组动物的体重。在试验期结束时,计算各组的平均体重增加。在整个研究过程中,动物可以随意饮食和饮水。在第1天(给药前)、第7天和第14天测量治疗组和对照组动物的食物和水消耗量。在第21天和第28天继续对卫星组动物进行测量。实验结束前,动物禁食一晚。血液学分析:在研究结束时,所有存活的动物都被异氟烷麻醉,血液样本通过下腔静脉收集到预先校准的涂有乙二胺四乙酸(EDTA)的试管中,进行血液学评估。参数如下:红细胞计数(RBC)、血红蛋白浓度(HBG)、血小板计数(PLT)、填充细胞体积(PCV)、平均红细胞体积(MCV)、平均红细胞血红蛋白(MCH)、总白细胞数(TWBC)、平均红细胞血红蛋白浓度(MCHC)和差异白细胞计数,包括嗜中性粒细胞(N%)、嗜酸性粒细胞(E%)、淋巴细胞(L%)和单核细胞(M%)。血生化:采集未肝素化的血样进行生化检测。将凝固后的血样在2000 g下离心获得血清。将血清放入新的试管中,在-20℃下保存,直到分析。采用分析级试剂盒分光光度法测定血清生化指标。参数包括血糖(BG)、尿素氮(BUN)、肌酐(CR)、总蛋白(TP)、白蛋白(ALB)、总胆红素(TB)、直接胆红素(DB)、天冬氨酸转氨酶(AST)、丙氨酸转氨酶(ALT)、碱性磷酸酶(ALP)、钙(Ca)、钠(Na)、钾(k)和氯(CI)、磷酸盐(P)。乳酸脱氢酶(LDH)、高密度脂蛋白(HDL)、甘油三酯(TG)和总胆固醇(TC)。尸检和相对器官重量:所有存活的动物都被麻醉并解剖。进行大体尸检以确定是否存在病变,包括检查身体外表面、所有骨骼系统和体腔(如颅、胸、腹和骨盆)。立即摘除肺、肝、心、脾、肾、肾上腺、睾丸/卵巢,除去脂肪,用冷盐水冲洗,用干净的组织纸吸干,观察大体病理变化。然后使用校准天平以克为单位记录器官重量,并通过这些器官重量与体重的比值计算相对体重。组织病理学检查:取肝、心、肾、胰腺、海马、坐骨神经标本进行组织学研究。组织立即固定在10%福尔马林中,通过一系列乙醇溶液脱水,并嵌入石蜡中。切取4-5μm厚的薄片,苏木精和伊红染色,进行显微观察。所有组织病理学改变都由病理学家检查。比较两组器官的显微特征。结果:限量试验:SA单剂量2000 mg/kg/Po所有5只大鼠中均未显示任何死亡和毒性作用的迹象。因此,可以得出ID50值可能大于2000mg/kg的结论。因此,1000毫克/公斤的剂量被认为是安全的,并通过参考已发表的文献和OECD TG 407(OECD,2008),选择该剂量进行亚急性毒性研究。每天观察所有动物的死亡率。在处理期间和在笼外观察任何临床症状每周记录一次,直到研究结束。在研究期间和研究结束时,没有观察到任何动物组出现死亡。与正常对照组相比,治疗组和卫星组动物的体重有适当增加。将雄性和雌性动物治疗组和卫星组的食物消耗量与赋形剂对照组进行比较。在研究期间,观察到治疗组和卫星组雄性动物的食物消耗适当增加。然而,观察到雌性治疗组在第7天的食物消耗减少,然后在第14天适当增加。卫星组的雌性动物的食物消耗有规律地增加。这种初始食物消耗减少并没有导致雌性大鼠体重的下降,因此不被解释为与毒理学相关。此外,与对照组相比,口服SA对治疗组和卫星组的耗水量没有重大影响。血液学检查:除MCV和MCHC升高外,雄性治疗组大鼠HGB、RBC、PCV、PLT、MCH均无明显升高。雌性治疗组除MCH升高外,血液学指标无明显变化。雌雄卫星组各项血液学指标均升高,但均在正常范围内。雄性治疗组的白细胞计数与正常对照组相似,但卫星组的中性粒细胞计数增加,淋巴细胞计数下降,无逆转。治疗组和卫星组雌性动物白细胞计数无明显变化,卫星组嗜酸性粒细胞计数明显下降。血液生化:除雌性治疗组ALP水平显著降低外,其余生化指标均未改变,与正常对照组比较,雌性治疗组和卫星组均明显降低。尸检和相对器官重量:与对照组动物相比,雄性和雌性治疗组的大体解剖特征没有异常。卫星组也没有显示器官结构的重大改变。雄性治疗组的相对体重没有显著下降,但相应的卫星组的心脏和脾脏的相对重量有显著增加。雌性治疗组肝重量明显减轻,卫星组肝重量未恢复。雌性大鼠体内其他重要脏器重量无明显变化。组织病理学表现:与正常对照动物相比,治疗组和卫星组未观察到病理变化。下丘脑:切片显示正常神经元的组织形态学特征,支持基质完整。心脏:心肌组织切片显示心肌纤维正常,心肌纤维排列致密,长度完整,细胞条纹和细胞核正常。肾:肾组织切片显示皮质和髓质中肾小球和肾小管正常。肝脏:组织切片显示完整的肝实质,由肝细胞、门静脉和中央静脉组成。肝细胞呈索状排列,细胞核完整,细胞边界完整。坐骨神经:组织切片显示神经组织的正常组织形态学特征,神经纤维长度完整,细胞结构正常。胰腺:切片显示胰岛形态正常。在活体器官的所有组织切片中均未观察到炎症或代谢变化。结论:亚急性毒性研究结束时和结束时的生理、血液和生化指标的结果显示SA处理的大鼠没有显著变化。不干扰红细胞生成、白细胞减少和体内器官生理过程。组织病理学检查未见结构异常。因此,SA在有限的时间内可以被认为是安全的,这项研究可能有助于研究人员确定长期亚慢性研究的剂量。此外,需要进行亚慢性和慢性毒性研究,以评估长期使用的安全性。



