发布日期:2019-02-20 来源:中国实验动物学会 2019 年是己亥猪年。但一场蔓延至中国的非洲猪瘟却让整个社会变得异常紧张。
根据新京报的报道,近日,由河南三全食品有限公司制作的三全灌汤水饺 3 份样品,被相关部门检测出非洲猪瘟病毒核酸阳性。除此以外,包括科迪、康利思、齐汇、惠万家在内的 11 个厂家 40 个批次的产品均检测出病毒核酸阳性。

截止目前,发生异常的产品都已经得到了相关部门的回应,并做出下架与核实处理。但这场于去年 8 月从辽宁开始的猪瘟疫情,至今仍在发生。
而本次的冷冻食品事件给我们敲响了警钟,疫情肉制品已无法通过避免购买疫区生肉等传统方式阻止扩散。
所以,非洲猪瘟到底是什么?是否会感染到人类?如果我吃下病猪肉,是不是就意味着患上瘟疫了?
简单的回答就是:不用担心,非洲猪瘟只会影响你的钱包,不会影响你的健康。
而更详细的回答,请容我们慢慢道来。

非洲猪瘟(African Swine Fever,简称 ASF),是由一种叫非洲猪瘟病毒(African Swine Fever Virus,简称 ASFV)的病毒所引起、对家猪来说是致命的出血性疾病。通常在感染 1-2 周后就会导致死亡, 其死亡率接近 100%。
ASFV 是 Asfarviridae 科, Asfivirus 属中目前唯一一种已知病毒,是一种大型双螺旋 DNA 病毒。它天然存在于非洲的疣猪、假面野猪和非洲野猪等野生猪科动物群体中。是被早期的欧洲殖民者带入家猪群体的。
该病毒只会在猪与猪之间进行直接传播,或通过食物或蜱虫等方式间接传播。并且只会感染猪科动物,引发猪瘟。ASFV 和非洲猪瘟并不会传染给任何其他动物,包括人类。
美国微生物学会(ASM)的《病毒学杂志》(Journal of Virology)在 2009 年曾发表一篇研究论文显示,研究人员发现这种病毒正在发生基因突变,新病毒序列将有感染人类的可能性。
研究人员表示:“我们报告了人类血清和污水中新型病毒序列(病毒)的发现,这些序列与 Asfarvirus 科明显相关,但与 ASFV 高度不同。这些序列的检测表明,Asfarviruses 可能存在比以前认为的更大的遗传多样性,并提出了人类感染 Asfarviruses 的可能性。”
但大家不用担心,这篇研究报告已经过去10年了,至今从未出现人类感染非洲猪瘟的案例。

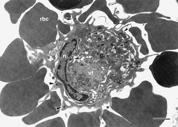
图:对非洲猪瘟病毒马拉维分离株感染的肺泡巨噬细胞的血液吸收。红细胞(rbc)粘附在感染细胞的表面,产生经典的莲座丛。病毒结构包括在组装的各个阶段含有病毒颗粒的核周病毒工厂(vf)和在通过出芽离开细胞之前的细胞质病毒(箭头)。细胞核(n)。条形代表5μm。(图源:SM Brookes)
关于最早发现非洲猪瘟病症,记载于 1921 年的肯尼亚,当时被描述为一种高致死性传染病的病原体。1957 年,在葡萄牙里斯本传出首个病例,直到 1990 年代中期才扑灭非洲猪瘟。
联合国粮农组织于 2013 年的一份报告指出,非洲猪瘟最有可能是通过野猪患病方式,从格鲁吉亚传入。
截止目前,非洲猪瘟病毒仍在欧洲肆虐,影响牲畜,造成严重的经济损失。

目前,这种病症还没有可用于预防和治疗的疫苗,所以病猪的死亡率接近 100%。疫情自 2014 年以来一直在持续,但观察病例的数量最近急剧上升。
另外,关于人吃到病猪肉是否会患病情况,根据目前农业农村部的疫情控制措施,吃到瘟猪肉的概率是极低的。首先,非洲猪瘟病毒菌一旦受到高温刺激,将会被立刻杀死。
所以,当你通过煎、炒、烹、炸等手段将病猪肉弄熟之后,病毒就会被消灭。实验表明,在55℃ 下 30 分钟、 60℃ 下 10 分钟的处理,就可以将病毒灭活。按照日常炒菜的温度,病毒最多只能存活几秒钟的时间。
整体而言,病毒只会在猪与猪之间传播,并不会影响人类。但是,这种瘟猪肉对于大众的影响,在于每个人心中的恐慌情绪,以及猪肉价格高涨的问题。

图:非洲猪瘟(ASF)的主要特征
关于非洲猪瘟的来源和传播路径,中国农业农村部曾在去年 11 月 23 日举行了一场新闻发布会。在会上,中国动物卫生与流行病学中心副主任黄保续在接受经济日报记者提问时表示,“这个病是从国外传入的。因为 2018 年之前,我国一直没有非洲猪瘟。分子流行病学研究表明:传入我国的非洲猪瘟病毒属基因 Ⅱ 型,与格鲁吉亚、俄罗斯、波兰公布的毒株全基因组序列同源性为 99.95% 左右。”
通常非洲猪瘟跨国境传入的途径主要有四类:一是生猪及其产品国际贸易和走私,二是国际旅客携带的猪肉及其产品,三是国际运输工具上的餐厨剩余物,四是野猪迁徙。
中国首例非洲猪瘟疫情发现后,立即开展了流行病学调查,从目前流行病学调查情况看,非洲猪瘟传入我国的可能途径也主要是上述几类。
中国与发生非洲猪瘟国家人员交流、货物贸易往来频繁;猪肉价格高于周边国家,走私活动屡打不绝;边境地区野猪数量和种群密度持续增加,疫情传入的风险比其他国家更高。
目前,农业农村部正在会同有关部门加强联合溯源调查,并采用分子流行病学方法分析,以进一步查明来源途径。
根据农业农村部畜牧兽医局副局长冯忠武表示,截至 11 月 22 日,共有 20 个省份的 47 个市(区、盟)发生了 73 起家猪疫情、1 起野猪疫情,累计扑杀生猪 60 万头。

自去年 8 月初我国首起非洲猪瘟疫情发生后,至今已有半年时间。随着扑杀生猪数量的激增,剩余生猪变得少了很多。而猪肉的价格走高,和对非洲猪瘟的恐慌,以及非洲猪瘟病毒是否会被及时遏制、控制和根除成为很多老百姓关心的议题。
根据之前俄罗斯、葡萄牙地区的扼杀非洲猪瘟的情况,中国全面杀死非洲猪瘟疫情任重而道远。

“国际上根除这个疫情的国家,短的用了 5 年,长的甚至用了 30 多年。”冯忠武表示,农业农村部将严格查处生猪违规交易和违规跨省外调,推动变“调猪”为“调肉”。督促地方进一步明确餐厨剩余物管理部门和责任,实施全链条管理,不折不扣落实禁止使用餐厨剩余物饲喂生猪的要求。
至于非洲猪瘟的影响,除了养殖户的经济损失和猪肉价格上涨之外,大家可以安心地吃掉眼前的那锅排骨。
参考消息:
https://www.sciencedirect.com/topics/immunology-and-microbiology/asfivirus
https://jvi.asm.org/content/83/24/13019
http://www.moa.gov.cn/hd/zbft_news/fzzwfkgz/来源:麻省理工科技评论APP
根据新京报的报道,近日,由河南三全食品有限公司制作的三全灌汤水饺 3 份样品,被相关部门检测出非洲猪瘟病毒核酸阳性。除此以外,包括科迪、康利思、齐汇、惠万家在内的 11 个厂家 40 个批次的产品均检测出病毒核酸阳性。

截止目前,发生异常的产品都已经得到了相关部门的回应,并做出下架与核实处理。但这场于去年 8 月从辽宁开始的猪瘟疫情,至今仍在发生。
而本次的冷冻食品事件给我们敲响了警钟,疫情肉制品已无法通过避免购买疫区生肉等传统方式阻止扩散。
所以,非洲猪瘟到底是什么?是否会感染到人类?如果我吃下病猪肉,是不是就意味着患上瘟疫了?
简单的回答就是:不用担心,非洲猪瘟只会影响你的钱包,不会影响你的健康。
而更详细的回答,请容我们慢慢道来。

非洲猪瘟(African Swine Fever,简称 ASF),是由一种叫非洲猪瘟病毒(African Swine Fever Virus,简称 ASFV)的病毒所引起、对家猪来说是致命的出血性疾病。通常在感染 1-2 周后就会导致死亡, 其死亡率接近 100%。
ASFV 是 Asfarviridae 科, Asfivirus 属中目前唯一一种已知病毒,是一种大型双螺旋 DNA 病毒。它天然存在于非洲的疣猪、假面野猪和非洲野猪等野生猪科动物群体中。是被早期的欧洲殖民者带入家猪群体的。
该病毒只会在猪与猪之间进行直接传播,或通过食物或蜱虫等方式间接传播。并且只会感染猪科动物,引发猪瘟。ASFV 和非洲猪瘟并不会传染给任何其他动物,包括人类。
美国微生物学会(ASM)的《病毒学杂志》(Journal of Virology)在 2009 年曾发表一篇研究论文显示,研究人员发现这种病毒正在发生基因突变,新病毒序列将有感染人类的可能性。
研究人员表示:“我们报告了人类血清和污水中新型病毒序列(病毒)的发现,这些序列与 Asfarvirus 科明显相关,但与 ASFV 高度不同。这些序列的检测表明,Asfarviruses 可能存在比以前认为的更大的遗传多样性,并提出了人类感染 Asfarviruses 的可能性。”但大家不用担心,这篇研究报告已经过去10年了,至今从未出现人类感染非洲猪瘟的案例。

图:对非洲猪瘟病毒马拉维分离株感染的肺泡巨噬细胞的血液吸收。红细胞(rbc)粘附在感染细胞的表面,产生经典的莲座丛。病毒结构包括在组装的各个阶段含有病毒颗粒的核周病毒工厂(vf)和在通过出芽离开细胞之前的细胞质病毒(箭头)。细胞核(n)。条形代表5μm。(图源:SM Brookes)
关于最早发现非洲猪瘟病症,记载于 1921 年的肯尼亚,当时被描述为一种高致死性传染病的病原体。1957 年,在葡萄牙里斯本传出首个病例,直到 1990 年代中期才扑灭非洲猪瘟。
联合国粮农组织于 2013 年的一份报告指出,非洲猪瘟最有可能是通过野猪患病方式,从格鲁吉亚传入。
截止目前,非洲猪瘟病毒仍在欧洲肆虐,影响牲畜,造成严重的经济损失。

目前,这种病症还没有可用于预防和治疗的疫苗,所以病猪的死亡率接近 100%。疫情自 2014 年以来一直在持续,但观察病例的数量最近急剧上升。
另外,关于人吃到病猪肉是否会患病情况,根据目前农业农村部的疫情控制措施,吃到瘟猪肉的概率是极低的。首先,非洲猪瘟病毒菌一旦受到高温刺激,将会被立刻杀死。
所以,当你通过煎、炒、烹、炸等手段将病猪肉弄熟之后,病毒就会被消灭。实验表明,在55℃ 下 30 分钟、 60℃ 下 10 分钟的处理,就可以将病毒灭活。按照日常炒菜的温度,病毒最多只能存活几秒钟的时间。
整体而言,病毒只会在猪与猪之间传播,并不会影响人类。但是,这种瘟猪肉对于大众的影响,在于每个人心中的恐慌情绪,以及猪肉价格高涨的问题。

图:非洲猪瘟(ASF)的主要特征
关于非洲猪瘟的来源和传播路径,中国农业农村部曾在去年 11 月 23 日举行了一场新闻发布会。在会上,中国动物卫生与流行病学中心副主任黄保续在接受经济日报记者提问时表示,“这个病是从国外传入的。因为 2018 年之前,我国一直没有非洲猪瘟。分子流行病学研究表明:传入我国的非洲猪瘟病毒属基因 Ⅱ 型,与格鲁吉亚、俄罗斯、波兰公布的毒株全基因组序列同源性为 99.95% 左右。”
通常非洲猪瘟跨国境传入的途径主要有四类:一是生猪及其产品国际贸易和走私,二是国际旅客携带的猪肉及其产品,三是国际运输工具上的餐厨剩余物,四是野猪迁徙。
中国首例非洲猪瘟疫情发现后,立即开展了流行病学调查,从目前流行病学调查情况看,非洲猪瘟传入我国的可能途径也主要是上述几类。
中国与发生非洲猪瘟国家人员交流、货物贸易往来频繁;猪肉价格高于周边国家,走私活动屡打不绝;边境地区野猪数量和种群密度持续增加,疫情传入的风险比其他国家更高。
目前,农业农村部正在会同有关部门加强联合溯源调查,并采用分子流行病学方法分析,以进一步查明来源途径。
根据农业农村部畜牧兽医局副局长冯忠武表示,截至 11 月 22 日,共有 20 个省份的 47 个市(区、盟)发生了 73 起家猪疫情、1 起野猪疫情,累计扑杀生猪 60 万头。

自去年 8 月初我国首起非洲猪瘟疫情发生后,至今已有半年时间。随着扑杀生猪数量的激增,剩余生猪变得少了很多。而猪肉的价格走高,和对非洲猪瘟的恐慌,以及非洲猪瘟病毒是否会被及时遏制、控制和根除成为很多老百姓关心的议题。
根据之前俄罗斯、葡萄牙地区的扼杀非洲猪瘟的情况,中国全面杀死非洲猪瘟疫情任重而道远。

“国际上根除这个疫情的国家,短的用了 5 年,长的甚至用了 30 多年。”冯忠武表示,农业农村部将严格查处生猪违规交易和违规跨省外调,推动变“调猪”为“调肉”。督促地方进一步明确餐厨剩余物管理部门和责任,实施全链条管理,不折不扣落实禁止使用餐厨剩余物饲喂生猪的要求。
至于非洲猪瘟的影响,除了养殖户的经济损失和猪肉价格上涨之外,大家可以安心地吃掉眼前的那锅排骨。
参考消息:
https://www.sciencedirect.com/topics/immunology-and-microbiology/asfivirus
https://jvi.asm.org/content/83/24/13019
http://www.moa.gov.cn/hd/zbft_news/fzzwfkgz/来源:麻省理工科技评论APP



