肝癌是全球范围内一项重大的健康挑战,其发病率正在不断上升。肝细胞癌(HCC)是原发性肝癌中最常见的类型,约占所有肝癌病例的90%。HCC的治疗面临着复发率高、生存期短等难题,而现有的治疗手段效果并不理想。因此,迫切需要深入研究驱动HCC进展的分子机制,以便发现新的诊断标志物和药物靶点。
之前的研究发现,HCC中的胆固醇稳态受到严重破坏。NPC1(尼曼匹克病C型蛋白1)是一种与胆固醇转运相关的蛋白质,在HCC中具有较高的预后风险评分。作为一种大的跨膜蛋白,NPC1主要定位在晚期内体/溶酶体膜上,被认为与胆固醇代谢和病毒感染(如埃博拉病毒)相关。不过,它在HCC中的确切作用仍不清楚。
近日,国家蛋白质科学中心(北京)姜颖课题组与贺福初院士团队利用基因敲除(KO)小鼠模型阐明了NPC1在HCC发生和发展中的作用。他们发现,NPC1通过控制TGFBR1蛋白的稳定性来调控TGF-β通路,进而促进HCC进展,而这种机制与胆固醇转运无关。这项成果发表在《Nature Communications》杂志上,提出了以NPC1为靶点的HCC治疗策略。

研究材料与方法
在这项研究中,研究人员使用了多个小鼠模型来研究NPC1的作用,包括小鼠皮下肿瘤模型和尾静脉转移模型以及DEN/CCl4诱导的HCC模型(CreAlbNpc1F/F和Npc1F/F小鼠由赛业生物提供)。他们还构建了他莫昔芬诱导的肝特异性Npc1基因敲除小鼠模型和MYC驱动的自发HCC小鼠模型。他们使用了过表达NPC1和稳定敲降NPC1的多个HCC细胞系,并开展了细胞增殖、迁移和侵袭分析。此外,他们还通过环己酰亚胺追踪实验和泛素化分析来检测TGFBR1蛋白的稳定性。
技术路线
通过体外和体内实验评估NPC1在HCC中的功能
↓
通过蛋白质组学等分析探索NPC1促进HCC进展的机制,
以及是否与胆固醇转运功能相关
↓
探索NPC1对TGFBR1蛋白稳定性的影响,
以及NPC1通过何种机制影响TGFBR1蛋白的稳定性
↓
通过多个小鼠模型来验证NPC1在调控TGF-β通路和HCC进展中的作用
研究结果
NPC1促进了HCC进展
研究人员首先分析了癌症基因组图谱(TCGA)数据集,发现在52%的癌症类型(包括HCC)中,NPC1在肿瘤组织中显著上调。与癌旁组织相比,NPC1在HCC组织中的蛋白和mRNA水平均显著升高。NPC1高表达患者的总生存期(OS)和无病生存期(DFS)明显低于NPC1低表达患者。这些结果显示,NPC1在HCC中发挥关键作用。
接下来,研究人员通过体外和体内实验对NPC1在HCC中的功能进行了评估。他们使用了过表达NPC1的PLC/PRF/5细胞以及敲降NPC1的HepG2和MHCC-97H细胞。他们发现,NPC1过表达显著增强了细胞的增殖、迁移和侵袭能力,而NPC1的沉默则显著降低了这些能力。在回补NPC1后,这两种细胞系的增殖、迁移和侵袭能力几乎完全恢复。
为了进一步探讨NPC1在肿瘤生长和转移中的作用,他们采用了小鼠皮下肿瘤模型和尾静脉转移模型。在皮下瘤模型中,NPC1基因敲降导致肿瘤大小和重量显著减少;在尾静脉转移模型中,NPC1基因敲降导致肺部肿瘤转移显著减少,进一步证明了它在肿瘤转移中的关键作用。这些结果显示,NPC1是促进HCC进展的关键因子。
NPC1以不依赖胆固醇转运的方式调控TGF-β通路
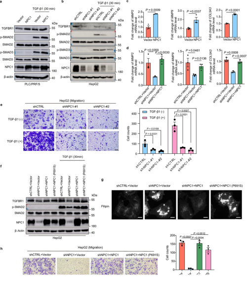
为了探究NPC1促进HCC进展的机制,研究人员对敲降NPC1的PLC/PRF/5和HepG2细胞进行了蛋白质组学分析。通路富集分析表明,NPC1敲降显著抑制了HCC细胞中的TGF-β通路激活,并导致TGFBR1、p-SMAD2和p-SMAD3蛋白水平下降(图1)。从功能上讲,敲降NPC1降低了HCC细胞的迁移能力(图1)。这些结果表明,NPC1在促进HCC转移的过程中主要调控了SMAD2/3的激活。
值得注意的是,在敲降NPC1后,回补NPC1的P691S突变体(胆固醇转运活性缺失)仍能恢复TGFBR1和p-SMAD2的水平以及细胞迁移能力(图1),表明NPC1调控TGF-β通路的方式与其胆固醇转运功能无关。

图1. NPC1以不依赖胆固醇转运的方式调控TGF-β通路
NPC1增加TGFBR1蛋白的稳定性并抑制其泛素化
后续的环己酰亚胺追踪实验表明,NPC1在HCC细胞中的过表达延长了TGFBR1的半衰期,而NPC1的敲降则加速了TGFBR1的降解,强调NPC1在稳定TGFBR1蛋白水平中发挥作用。利用蛋白酶体抑制剂MG132处理后,他们发现TGFBR1蛋白水平显著增加,表明NPC1对TGFBR1降解的调控是由蛋白酶体介导的。此外,NPC1降低了Lys 48连接的多泛素化水平,而这种泛素化与蛋白酶体降解相关。这些数据表明,NPC1通过抑制Lys 48连接的泛素化,减少了TGFBR1的蛋白酶体降解,进而稳定了TGFBR1。
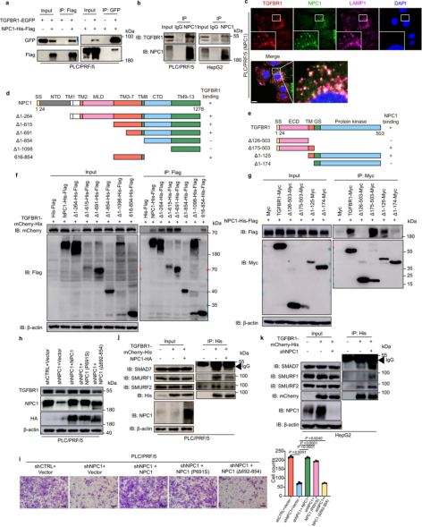
通过免疫共沉淀实验和细胞共定位分析,研究人员证实了NPC1与TGFBR1存在相互作用,且TGFBR1-NPC1复合物主要存在于溶酶体中(图2)。进一步分析表明,NPC1上的氨基酸692-854区域负责与TGFBR1结合。在稳定敲降NPC1的HCC细胞中,回补NPC1(P691S)可恢复TGFBR1表达和细胞迁移,但回补NPC1(Δ692-854)则无法挽救这些表型(图2)。
他们推测NPC1可能通过调节TGFBR1与SMAD7或E3连接酶的相互作用来抑制其泛素化。后续实验证实了这一点,NPC1过表达减少了TGFBR1与SMAD7及E3泛素酶SMURF1/2的相互作用(图2)。这些结果表明,NPC1通过与TGFBR1相互作用并抑制其与SMAD7和SMURF1/2的结合,保护TGFBR1免受蛋白酶体降解。

图2. NPC1与TGFBR1相互作用并抑制其与SMAD7/SMURF的结合
通过对286对人类HCC组织样本的检测,研究人员发现NPC1与TGFBR1的表达之间存在明显的正相关。为了探索NPC1是否通过TGFBR1激活来促进HCC进展,他们利用TGFBR1抑制剂(LY2157299)来处理过表达NPC1的PLC/PRF/5细胞。这种处理可明显减弱NPC1诱导的细胞迁移增强。此外,在小鼠尾静脉转移模型中,过表达TGFBR1挽救了NPC1敲降细胞的转移潜力。这些结果表明,TGFBR1对NPC1介导的促进HCC进展至关重要。
肝脏NPC1缺失抑制TGF-β信号传导并限制HCC进展
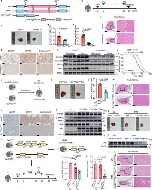
最后,研究人员还委托赛业生物构建了肝特异性的Npc1条件性基因敲除小鼠(CreAlbNpc1F/F)和对照小鼠(Npc1F/F),并通过DEN-CCl4诱导了HCC模型。他们发现,在注射DEN 24周后,对照组小鼠出现了巨大的肝脏肿瘤,而CreAlbNpc1F/F小鼠的肿瘤大小和数量均明显下降(图3)。在MYC驱动的自发HCC小鼠模型以及他莫昔芬诱导的Npc1基因敲除小鼠模型中,他们获得了类似的结果。
染色结果显示,CreAlbNpc1F/F小鼠肿瘤中的侵袭性标志物减少。更重要的是,Npc1基因敲除导致TGFBR1及其下游效应物p-SMAD2的表达减少,这也印证了NPC1在调控TGF-β信号通路中的作用。同时,CreAlbNpc1F/F小鼠的生存时间延长。这些结果有力地证明了NPC1在调控TGF-β通路和促进HCC进展中的作用,突出了NPC1的治疗潜力。

图3. 肝脏NPC1缺失抑制HCC肿瘤发生和进展
结论

图4. NPC1调控TGF-β信号通路的示意图
这项研究利用肝细胞中缺失Npc1的转基因小鼠模型,确定了NPC1在肝细胞癌中的促肿瘤作用。NPC1与TGFBR1相互作用,阻碍其与SMAD7/SMURF复合物的结合,进而减少TGFBR1的泛素化。通过稳定TGFBR1蛋白,NPC1调控了TGF-β信号通路,并促进了癌症的进展和转移(图3),而这与其在胆固醇转运中的作用无关。这些结果不仅揭示了HCC进展背后的分子机制,也表明NPC1有望成为HCC的预后标志物和治疗靶点。
原文检索
Li, S., Yan, L., Li, C. et al. NPC1 controls TGFBR1 stability in a cholesterol transport-independent manner and promotes hepatocellular carcinoma progression. Nat Commun 16, 439 (2025). https://doi.org/10.1038/s41467-024-55788-5



