研究人员报告称发现,在小鼠体内大量存在、过去被认为不能有力地帮助抵抗感染的一种抗体,实际有可能在维持检查以及防止更严重的自残性肾病的免疫反应中发挥了关键的作用。
来自辛辛那提大学和辛辛那提儿童医院医学中心的研究人员将这项研究发布在11月2日的《自然》(Nature)杂志上。研究发现,在小鼠中大量生成、与人类IgG4抗体相似的一种叫做IgG1的抗体实际上有可能具有保护性。
辛辛那提大学医学和儿科学教授、GeorgeMcDonald医学基金会主席FredFinkelman说:“一些抗体很大程度上是通过将病原体聚集到一起,激活其他的防御,包括称作为补体的一组血清蛋白,以及表面具有抗体结合分子Fc受体的细胞来抵抗它们的。”
Finkelman还是辛辛那提儿童医院医学中心的免疫生物学研究人员。辛辛那提大学儿科学助理教授、辛辛那提儿童医院主治医生RichardStrait博士是这篇论文的第一作者。
Finkelman说:“令人惊讶的是,小鼠所生成的大多数抗体是IgG1,其相对缺乏聚集病原体、激活补体以及与Fc抗体结合激活细胞的能力。人类具有一种相似的抗体IgG4,其也相对缺乏这样的能力。”
Finkelman说:“为什么你会有这样一种无能的抗体?且以最大的数量来生成这种抗体。我们相信,在生物学中你不会平白得到任何的东西。如果一种抗体可以极好地杀死细菌和病毒,它也有可能会引起炎症,损害生成它的动物体。因此,或许你需要其中一些无能的抗体来防御这类自己造成的伤害。”
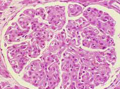
通过给遗传培育无法生成IgG1的小鼠注入一种可以促进正常小鼠免疫系统生成IgG1的外源蛋白来观察所发生的事件,研究人员测试了他们的假设。这些遗传培育小鼠转而生成了另一种叫做IgG3的抗体,IgG3可影响肾脏中的毛细血管,并最终导致肾衰竭。
Finkelman说:“由于在数天内肾脏基本上关闭了血流,肾脏的肾小球全部遭到破坏,小鼠肾脏转变成了黄色。”
而将IgG1注入到无法生成这种抗体的小鼠体内,则阻止了它们形成肾病。
Finkelman说:“这些研究结果支持了我们对于生成小鼠IgG1和人类IgG4一类抗体其原因的假设。它们还证实了甚至在没有补体或Fc受体的情况下,诸如小鼠IgG3一类的抗体可以引起一种新的肾病。此外,我们的研究结果表明了,诸如人类IgG4一类的抗体或可用于治疗由其他类型的抗体引起疾病,这些疾病包括重症肌无力和水泡皮肤病。”
重症肌无力是一种慢性自身免疫性神经肌肉病,其特点为机体不同程度的骨骼肌无力。由于身体生成了一种抗体破坏肌肉中的乙酰胆碱受体,罹患这种疾病的个体会丧失肌肉收缩能力。
“他们肌肉中的神经持续发电,释放出化学物质乙酰胆碱,但却没有太多受体供乙酰胆碱结合。由于不能很好地吞咽及呼吸,这些人们会变得非常虚弱,并有可能死亡。”
Finkelman说,而罹患水泡皮肤病的个体会生成一些抗体对抗让皮肤细胞聚集在一起的分子。由此,皮肤细胞彼此分离,形成水泡。
“人们会失去大量的液体,且很容易被感染。这些疾病非常的严重,且疗效不是很好,”Finkelman说。
原文检索:
RichardT.Strait,MonicaT.Posgai,AshleyMahler,NathanielBarasa,ChaimO.Jacob,JörgKöhl,MarcEhlers,KeithStringer,ShivaKumarShanmukappa,DavidWitte,MdMonirHossain,MaratKhodoun,AndrewB.Herr&FredD.Finkelman.IgG1protectsagainstrenaldiseaseinamousemodelofcryoglobulinaemia.Nature,02November2014,doi:10.1038/nature13868




