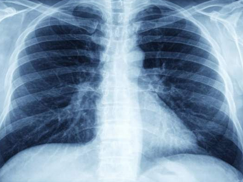
世界卫生组织在28日公布的一份报告中首次表示,结核病与艾滋病一样成为导致人类死亡的首要传染病。 据《路透社》报导,2014年有110万人死于结核病, 同一时期,全球有120万人死于艾滋病,其中有40万人同时染有艾滋病和结核病。 这个报告收集了自从2005年各国和地区在治疗结核病方面所有的数据,其中包括耐药数据,研究和开发以及融资数据。 报告发现,2014年世界卫生组织收到了600万起新结核病病例,比2013年少2/3,2013年全球有960万人患结核病。2014年大约有48万耐多种药物的结核病患,但其中只有1/4被确诊。 该报告还表示,全球对抵抗艾滋病干预的投资是对结核病投资的10倍,其中艾滋病是800万美元,结核病80万美元。 无国界组织临时医疗主任布雷杰登(Dr. Grania Brigden)认为,造成这种投资差异的部分原因在于艾滋病主要在非洲的贫穷国家流行,因此国际投资比较多,而结核病主要在类似于印度和中国这样的国家流行,这些国家往往可以自己资助本国对结核病的治疗,因此国际投资较少。 尽管如此,2015年结核病的治疗方面仍然缺少140万美元费用。 世界卫生组织结核病防治项目主任马里奥(Dr. Mario Raviglione)表示,此报告反应了在过去几十年中对艾滋病的治疗取得了巨大進展,因此救活了很多人,但也反映了国际社会在这两种病的治疗方面的资金投入方面的差别。 他说:“好消息是结核病防治从2000年以来拯救了4300万人的生命,但是考虑到大多数结核病症都是可以被成功救治的,因此这个死亡率仍然是高的令人无法接受。” 他认为为了在遏制类似与艾滋病和结核病这种全球杀手方面取得更多的成功,国际社会应该增加对结核病的投资。 世卫:结核感染与艾滋病一样成为健康主要杀手
世界卫生组织在28日公布的一份报告中首次表示,结核病与艾滋病一样成为导致人类死亡的首要传染病。 据《路透社》报导,2014年有110万人死于结核病, 同一时期,全球有120万人死于艾滋病,其中有40万人同时染有艾滋病和结核病。 这个报告收集了自从2005年各国和地区在治疗结核病方面所有的数据,其中包括耐药数据,研究和开发以及融资数据。 报告发现,2014年世界卫生组织收到了600万起新结核病病例,比2013年少2/3,2013年全球有960万人患结核病。2014年大约有48万耐多种药物的结核病患,但其中只有1/4被确诊。 该报告还表示,全球对抵抗艾滋病干预的投资是对结核病投资的10倍,其中艾滋病是800万美元,结核病80万美元。 无国界组织临时医疗主任布雷杰登(Dr. Grania Brigden)认为,造成这种投资差异的部分原因在于艾滋病主要在非洲的贫穷国家流行,因此国际投资比较多,而结核病主要在类似于印度和中国这样的国家流行,这些国家往往可以自己资助本国对结核病的治疗,因此国际投资较少。 尽管如此,2015年结核病的治疗方面仍然缺少140万美元费用。 世界卫生组织结核病防治项目主任马里奥(Dr. Mario Raviglione)表示,此报告反应了在过去几十年中对艾滋病的治疗取得了巨大進展,因此救活了很多人,但也反映了国际社会在这两种病的治疗方面的资金投入方面的差别。 他说:“好消息是结核病防治从2000年以来拯救了4300万人的生命,但是考虑到大多数结核病症都是可以被成功救治的,因此这个死亡率仍然是高的令人无法接受。” 他认为为了在遏制类似与艾滋病和结核病这种全球杀手方面取得更多的成功,国际社会应该增加对结核病的投资。 - THE END -



