急性胰腺炎(Acute pancreatitis, AP)作为临床常见急腹症,病死率高达20-40%。近年来,随着饮食组成的改变,我国高甘油三酯血症性胰腺炎(Hypertriglyceridemic pancreatitis, HTGP)发病率呈逐年升高趋势,以“年轻化、重症化、易复发、并发症多”为主要临床特点,己超过酒精性胰腺炎成为AP的第二大类型,给临床救治工作带来极大困难。多项研究均已证实,HTGP伴有较高的病死率,易并发多脏器衰竭、感染性胰腺坏死等并发症,住院时间更长,再入院率更高。探究HTGP的发病机制将有利于延缓该病进展,以期为HTGP患者提供精准化、个体化的治疗策略。目前,有关HTGP发病机制研究多聚焦于脂质代谢、局部微循环、炎症反应及遗传性因素等方向。虽然相关研究逐年增加,但确切机制仍未完全阐明。
肠道菌群作为机体的重要组分,参与调控代谢产物合成、宿主防御及免疫调节等多种重要的生物学过程,对维持机体稳态与平衡有重要价值,有望成为胰腺疾病治疗的新靶点。然而,肠道菌群是否调节HTGP进展缺乏充足的实验证据,及其具体分子机制尚不清晰。
2023年10月4日,哈尔滨医科大学孙备团队在《Nature Communications》发表题为“Gut microbiota aggravates neutrophil extracellular traps-induced pancreatic injury in hypertriglyceridemic pancreatitis”的研究论文。该研究发现高甘油三酯血症性胰腺炎(HTGP)患者肠道单形拟杆菌(B.uniformis)丰度下调,导致其代谢产物牛磺酸迁移至胰腺内减少,进而激活中性粒细胞内NF-κB、IL-17信号通路及促进结肠IL-17释放加速胰腺中性粒细胞胞外捕获网形成(NETs),最终加剧HTGP胰腺损伤。本研究为肠道菌群恢复免疫动态平衡,缓解HTGP胰腺损伤提供有力证据。

图片来源:《Nature Communications》
(https://doi.org/10.1038/s41467-023-41950-y)
研究材料
在这项研究中,研究人员使用了Gpihbp1敲除小鼠(由赛业生物提供,产品编号:S-KO-12718)构建了HTGP模型,以及使用了Pad4敲除小鼠(由赛业生物提供,产品编号:S-KO-03607)构建了NETs缺陷模型。
研究方法
采用了多种实验技术,包括各种组织学染色、WB、qPCR、转录组学测序(RNA-seq)、非靶向代谢组学、氨基酸靶向代谢组学、单细胞转录组测序、流式细胞术、免疫荧光、ELISA等。
技术路线
01 检测高甘油三酯血症性胰腺炎患者的肠道菌群变化情况
02 移植HTGP患者粪便显著加重疾病严重程度,并发现特异性菌群改变(Bacteroides uniformis)与HTGP进展密切相关
03 肠道菌群衍生的牛磺酸可迁移至胰腺直接抑制NF-κB、IL-17信号通路激活减少胰腺NETs形成
04 肠道菌群可抑制结肠Th17激活并减少IL-17通过“肠-胰轴”向胰腺释放,缓解胰腺NETs形成
研究结果

HTGP患者中肠道菌群变化[1]
为研究HTGP患者特异性菌群差异,研究人员比较三组人群样本肠道菌群间的菌群丰度差异。相较于健康人群(HC)组,HTGP患者肠道菌群的α多样性显著降低(图1a),β多样性显示 HTGP、HTG及HC人群的肠道菌群组成与结构具有显著差异(图1b)。基于属、种水平分析,研究团队发现HTGP患者的肠球菌及大肠埃希菌等条件性致病菌丰度显著上调,而 Faecalibacterium prausnitzii,Faecalibacterium,Bacteroides uniformis 等有益菌丰度丰度显著下调(LDA>4, P<0.05)(图1d-f)。其中肠道菌群与HTGP病情严重程度具有相关性,如:Bacteroides uniformis及Bacteroides vulgatus与系统性并发症发生呈负相关(图1g),上述结果揭示了肠道菌群标志物在HTGP诊治中的临床价值。

肠道菌群紊加重HTGP进展[1]
为明确是否肠道菌群变化直接导致HTGP进展,研究人员利用FMT构建菌群人源化小鼠模型,并对FMT后各组小鼠进行病理学相关检测。结果显示:相较于移植健康人群组,移植HTGP患者粪便(FMT-HTGP)组小鼠的胰腺损伤程度、炎症指标(淀粉酶、脂肪酶、TNF-α、IL-1β)水平均显著升高(图2a-c)。16S检测发现FMT-HTGP组肠道菌群的α多样性显著降低(图2d),β多样性显示三组肠道菌群组成与结构具有显著差异(图2e)。基于种水平分析, Bacteroides uniformis同样在FMT-HTGP组中显著下调(P<0.05)(图2f-g)。

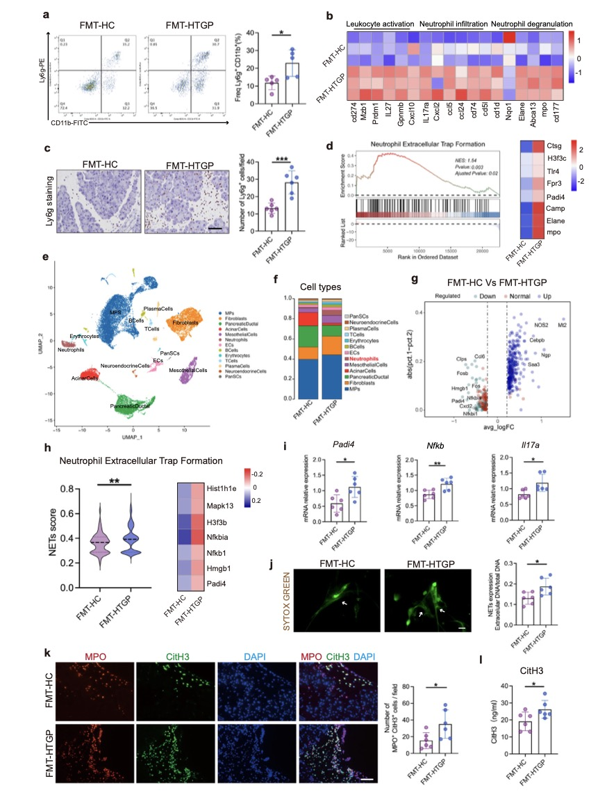
肠道菌群通过调控胰腺NETs形成缓解HTGP进展[1]
为证明肠道菌群对HTGP胰腺组织免疫细胞的调控,流式细胞术发现FMT-HTGP组小鼠胰腺中性粒细胞的募集与活化显著增强,CD45+Ly6g+细胞比例升高(图3a)。进一步利用免疫组化比较胰腺组织中性粒细胞的表达与分布,结果提示:Ly6g在FMT-HTGP组中表达显著上调(图3b)。转录组测序显示差异mRNA表达数据进行功能预测分析,提示FMT-HTGP组胰腺中的白细胞活化、中性粒细胞浸润及中性粒细胞脱颗粒等功能富集显著上调(图3b, d)。单细胞数据经过t-SNE降维聚类、差异表达基因分析,研究人员通过细胞注释获得13类细胞(图3e),同样印证了中性粒细胞在FMT-HTGP组中占比明显升高(图3f)。Cxcl2、Il23a、Ccl6、Ccl21等介导中性粒细胞趋化的基因在FMT-HTGP组上调,并发现介导NETs形成的关键基因Padi4、Cd177、MPO等在FMT-HTGP组中同样显著上调(图3g)。GSEA分析提示,相较于FMT-HC组,FMT-HTGP组中性粒细胞的NETs通路富集评分及其激活的关键基因更高(图3h, i)。提取两组小鼠外周血中性粒细胞,细胞染色SYTOX观察NETs形成差异,显示FMT-HTGP组NETs形成明显增强(图3j),胰腺组织内同样证实FMT-HTGP中NETs激活明显增强(图3k-l)。

Bacteroidesuniformis通过抑制NETs形成来缓解HTGP[1]
B.uniformis在HTGP患者和FMT-HTGP组明显降低(图4a-b)。为探究B.uniformis是否通过中性粒细胞发挥作用,研究者进行B.uniformis灌胃而后构建HTGP模型。结果发现:B.uniformis缓解HTGP胰腺损伤(图4c),减轻HTGP炎症反应。B.uniformis干预可缓解HTGP病程中胰腺中性粒细胞的过度募集及胰腺NETs形成(图4d, e)。
此外,研究人员对抗生素处理后的Gpihbp1-/-敲除鼠(赛业生物提供)构建HTGP模型进行B.uniformis干预(图4b),结果提示:相较于对照组小鼠,单菌干预组(B.U+HTGP)组小鼠的胰腺损伤程度、炎症指标等均显著降低(图42f, g)。进一步分析发现,在Gpihbp1-/-敲除鼠中,B.uniformis同样有效抑制了中性粒细胞的募集与NETs的形成。CD45与Ly6g、CitH3与MPO免疫荧光双染证实,B.U+HTGP组胰腺组织中性粒细胞的募集与NETs形成显著减少(图4h-k)。综上,研究者发现B.uniformis可通过抑制中性粒细胞浸润及NETs形成,进而缓解HTGP。

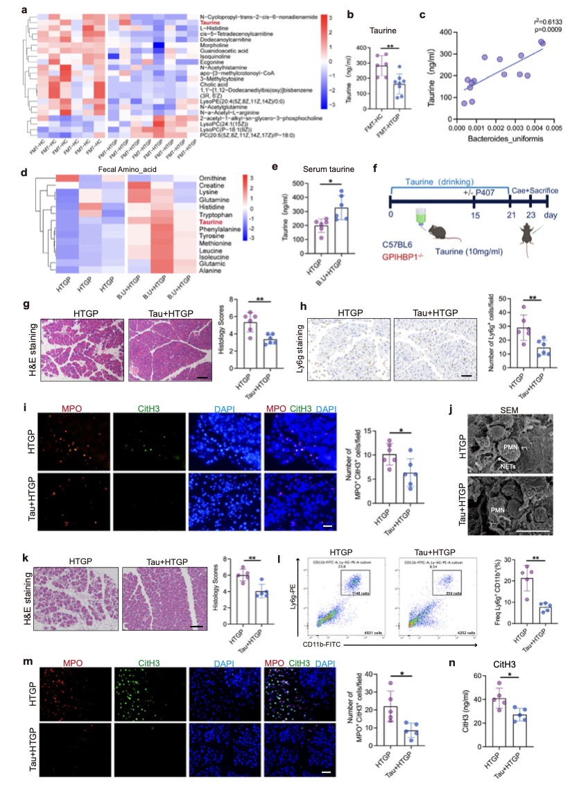
Bacteroidesuniformis衍生牛磺酸可缓解HTGP[1]
在FMT试验中,研究人员分别对FMT-HC组与FMT-HTGP组血浆样本进行非靶向代谢组学测定,结果提示:粪便牛磺酸在FMT-HC组中表达水平升高(图5a),ELISA证实代谢组学结果(图5b),菌群-代谢相关性分析提示:B.uniformis可能通过促牛磺酸合成延缓HTGP进展(图5c)。在单菌试验中氨基酸靶向代谢组学测定,结果提示:粪便牛磺酸在B.U+HTGP组中表达水平升高(图5d),ELISA检测B.U+HTGP小鼠血浆牛磺酸水平同样高于对照组(图5e)。基于多组学研究结果,研究人员发现牛磺酸是肠道菌群缓解HTGP进展的关键代谢产物,随即验证牛磺酸在HTGP中的缓解作用(图5f)。相较于对照组(HTGP),给予HTGP小鼠牛磺酸饮用水干预周后,牛磺酸干预组(Tau+HTGP)小鼠胰腺损伤明显缓解(图5g),中性粒细胞比例表达下调(图5h),NETs形成显著减少(图5i, j)。
此外,研究人员对Gpihbp1-/-敲除鼠同样进行验证,证实牛磺酸干预组(B.U+HTGP)组小鼠的胰腺损伤程度显著降低(图5k),中性粒细胞比例表达下调(图5l),NETs形成显著减少(图5m, n)。综上,研究者发现牛磺酸是B.uniformis干预后的关键菌群代谢产物,其可能通过肠屏障进入至血循环及胰腺组织中,依赖于中性粒细胞及NETs发挥抗炎作用。

牛磺酸通过抑制NETs形成缓解HTGP[1]
PAD4是NETs形成的关键基因,Pad4基因敲除小鼠(Pad4-/-)是公认的NETs缺陷模型。为验证牛磺酸与HTGP病程中NETs形成的直接相关性,研究者利用Pad4敲除小鼠(赛业生物提供)构建HTGP模型,并分别予以牛磺酸或无菌水分别干预,共分为HTGP、Pad4-/-+HTGP、Tau+Pad4-/-+HTGP三组(图6a)。首先,研究人员发现抑制NETs形成可明显缓解HTGP进展,而对于Pad4-/-小鼠构建的HTGP模型,牛磺酸干预并未起到明显的缓解作用(图6b-e)。此外,免疫荧光分析提示,Pad4-/-+HTGP组小鼠胰腺组织及外周血中性粒细胞的活化和NETs形成显著减轻,而对牛磺酸干预对此小鼠无明显缓解作用(图6f)。同样,研究人员提取各组小鼠外周血中性粒细胞并观察体外NETs形成印证上述结论(图6j-i)。综上,研究人员进一步利用了Pad4敲除鼠构建HTGP-NETs缺陷模型,从动物水平证实牛磺酸对于HTGP病程中NETs形成的直接抑制作用。

明确B.uniformis及牛磺酸在HTGP患者中的作用[1]
基于上述研究,研究人员发现B.uniformis促牛磺酸合成抑制NETs形成在HTGP中的重要作用。为进一步明确上述菌群、代谢、免疫节点在HTGP诊治中的重要临床价值,研究者收集20名健康志愿者及30名HTGP患者临床血液样本并进行相关性分析(图7a)。血清ELISA证实健康人群的NETs水平显著低于HTGP患者,同时NETs水平与HTGP严重程度成正相关;健康人群的牛磺酸水平显著高于HTGP患者,与NETs水平呈显著负相关(图7b-c),B.uniformis丰度与血清牛磺酸水平呈正相关(图7b, d)。
进一步研究发现,健康人群外周血中性粒细胞无明显NETs表现,而HTGP患者外周血可见明显NETs形成,提取HTGP患者外周血提取的PMN进行牛磺酸干预,发现HTGP+Tau组体外NETs形成明显减少(图7e)。此外,研究者提取小鼠外周血中性粒细胞,PMA体外诱导NETs形成,同时加入HC人群与HTGP患者血浆上清进行体外共培养,结果发现:相较于PMA诱导NETs形成组,健康人血清干预组NETs缓解,而HTGP患者血清干预组NETs并未缓解(图7f)。相较于PMA体外诱导NETs组,牛磺酸处理可导致中性粒细胞内磷酸化NF-κB蛋白水平显著降低(P<0.05),同时NF-κB和IL-17A的mRNA水平降低(图7g-i)。综上,研究人员从临床样本中证实了B.uniformis、牛磺酸、NETs形成的相关性,并进一步验证了健康人血清对NETs形成的缓解作用及牛磺酸抑制NETs形成的确切机制,发掘了B.uniformis及牛磺酸在HTGP治疗中的临床价值。
研究结论
该研究发现高甘油三酯血症性胰腺炎(HTGP)患者肠道单形拟杆菌(B.uniformis)丰度下调,导致其代谢产物牛磺酸水平降低,进而通过激活NF-κB、IL-17信号通路及促进结肠IL-17释放加速胰腺中性粒细胞胞外捕获网形成(NETs),最终加剧HTGP胰腺损伤。
原文检索:
[1]Li, G., Liu, L., Lu, T. et al. Gut microbiota aggravates neutrophil extracellular traps-induced pancreatic injury in hypertriglyceridemic pancreatitis. Nat Commun 14, 6179 (2023).
赛业小鼠模型构建
赛业生物构建了Gpihbp1及Padi4(Pad4)基因敲除小鼠与条件性基因敲除小鼠,更有活体小鼠已加入『红鼠资源库』,快至2周交付!确保您在短时间内获得更具性价比的实验用鼠,为您的研究加点速~
Gpihbp1 KO小鼠

品系名称:
C57BL/6JCya-Gpihbp1em1/Cya
品系编号:
KOCMP-68453-Gpihbp1-B6J-VA
产品编号:
S-KO-12718
应用方向:
代谢,内分泌,心血管,血液,肝脏,遗传,罕见病
Gpihbp1 flox小鼠

品系名称:
C57BL/6JCya-Gpihbp1em1flox/Cya
品系编号:
CKOCMP-68453-Gpihbp1-B6J-VA
产品编号:
S-CKO-14174
应用方向:
代谢,内分泌,心血管,血液,肝脏,遗传,罕见病
Padi4 KO小鼠

品系名称:
C57BL/6NCya-Padi4em1/Cya
品系编号:
KOCMP-18602-Padi4-B6N-VA
产品编号:
S-KO-03607
应用方向:
癌症,神经元,免疫,眼科,血液,肝脏,遗传,罕见病
Padi4 flox小鼠

品系名称:
C57BL/6NCya-Padi4em1flox/Cya
品系编号:
CKOCMP-18602-Padi4-B6N-VA
产品编号:
S-CKO-04225
应用方向:
癌症,神经元,免疫,眼科,血液,肝脏,遗传,罕见病



