有这样一种罕见病,患者的面部会出现红褐色或与皮肤同色的小突起,以鼻子为中心,向鼻翼两边以蝴蝶形状长出,并对称散布在面部,就像是在脸上画出了一个蝴蝶结的图案。这种病有一个美丽的名字——蝴蝶结症,在医学上又称结节性硬化症。今年5月15日,是第11个“全球结节性硬化症关爱日”。该纪念日于2012年由美国结节性硬化症联盟(Tuberous Sclerosis Alliance)和世界各地的结节性硬化症患者组织、基金会、医生和研究人员等发起,以此呼吁全世界的人们携手共同关注结节性硬化症患者群体。

蝴蝶结形状
那么什么是结节性硬化症呢?
结节性硬化症(Tuberous Sclerosis Complex, TSC)是由TSC1基因和TSC2基因突变引起的常染色体显性遗传性神经皮肤综合征。结节性硬化症可以导致细胞增殖和分化失控,几乎累及所有器官和系统,导致皮肤、脑、眼睛、口腔、心脏、肺脏、肾脏、肝脏和骨骼等多部位器官发生良性错构瘤,主要表现为癫痫、智力障碍、皮肤白斑和面部血管纤维瘤等症状[1-2]。

结节性硬化症患者部分症状表现[3]
发病机制
TSC的主要分子机制是肿瘤抑制基因TSC2失活突变,少数患者有TSC1失活突变。通常,TSC2基因突变患者的病情比TSC1基因突变患者重,基因突变的临床外显率几乎达到100%。部分患者检测不到TSC1或TSC2的突变。生理状态下,TSC肿瘤抑制基因TSC1和TSC2的蛋白质复合体抑制哺乳动物雷帕霉素靶蛋白(mammalian target of rapamycin, mTOR),mTOR是一种丝/苏氨酸蛋白激酶。当TSC1或TSC2基因失活后,过度活化的mTOR促进细胞新陈代谢、细胞异常增生,导致TSC的发生。
TSC是伴有癫痫和自闭症的最常见遗传病。可发生在所有人种和民族,男性和女性的发病率无差异,每6000-10000名新生儿中有1名患有TSC。约2/3的TSC患者没有家族史,1/3患者的父母之一也罹患TSC。如果父母之一诊断为TSC,其子女患病概率是50%[4]。

结节性硬化症发病机制[5]
结构特点TSC1基因的位点在9号染色体长臂3区4带(9q34),TSC2基因位点在16号染色体短臂1区3带(16p13)。TSC1基因包含23个外显子,其转录产物为8.6kb的mRNA。将TSC1蛋白称为错构瘤蛋白(hamartin),该蛋白由1164个氨基酸组成,相对分子量为130kD。TSC2基因包含41个外显子,总长度为44kb,TSC2基因的表达产物称为马铃薯蛋白(tuberin),该蛋白相对分子质量为198kD,含有1807个氨基酸。
Hamartin蛋白和Tuberin蛋白在高尔基体上形成异二聚体(heterodimer),即Tuberin-Hamartin复合物并共同发挥功能,该复合物具有GTP激活蛋白(GAP)作用,在PI3K/AKT信号转导通路和Ras/有丝分裂原激活蛋白激酶(MAPK)信号转导通路调控下,负向调节下游Rheb蛋白,抑制mTOR蛋白介导的信号转导,对细胞代谢、增殖和细胞骨架运动发挥重要调节作用,并有抗肿瘤作用。
TSC基因突变导致mTOR信号转导通路异常激活,mTORC1蛋白活性增强,促进下游S6K1蛋白和4E-BP蛋白磷酸化,并负反馈抑制上游AKT蛋白激活,同时,TSC蛋白功能缺失亦抑制mTORC2蛋白介导的AKT蛋白激活,二者共同作用导致蛋白合成和细胞增殖增加,从而出现错构瘤等病理改变。TSC蛋白功能障碍对神经元生长和迁移、轴突形成、突触可塑性具有显著影响,可以造成相应神经系统症状;此外,mTOR信号转导通路亦与肥胖、2型糖尿病、神经退行性变和衰老等的发生与发展有关[2]。

TSC蛋白与mTOR相关信号转导通路示意图[2]
临床表现
TSC常表现为多系统受累,其发生发展有一定的阶段性。在胎儿/新生儿期可以出现心脏横纹肌瘤,大部分可自发消退;出生后数月就可出现癫痫症状和皮肤症状;随着年龄的增大,出现肾血管平滑肌脂肪瘤和全身其他部位的肿瘤性病变;成年女性肺部容易出现肺部LAM(肺部淋巴管肌瘤病)。脑部病变主要包括脑皮质结节、室管膜下巨细胞星形细胞瘤和室管膜下结节等。皮肤病变包括出生后可见的白斑,逐渐生长的面部血管纤维瘤、鲨革斑、甲周纤维瘤及前额斑块等;高达90%的TSC患者有肾脏血管平滑肌脂肪瘤;约50%患者病变累及视网膜,但很少影响视力;约35%女性患者肺部出现LAM;其他如肝脏、胰腺、消化道、骨骼也可以受累,但一般症状较轻。
由于TSC患者的症状出现在多个学科,常在多个学科就诊,需要提高诊断意识,使患者避免误诊和漏诊;同时,多学科的合作对TSC患者的管理是非常重要的,TSC的核心受累器官包括神经系统、皮肤、肾脏和肺脏。
结节性硬化症临床表现[5]
辅助检查
1.影像学检查TSC累及全身多个器官。特征性的影像表现包括:脑室管膜下结节(subependymal nodules, SEN)和室管膜下巨细胞星形细胞瘤(subependymal giant cell astrocytoma, SEGA),脑皮层发育不良,心脏横纹肌瘤,肺淋巴管肌瘤病,肾血管平滑肌脂肪瘤等。

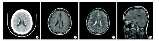
19岁女性结节性硬化症患者的头颅CT+MRI平扫影像[6]
患者临床表现为癫痫及精神发育异常,右面部色素沉积斑、四肢及躯干多发色素脱失斑、双侧峡部皮脂腺瘤,胸椎多发斑片状致密影。A-C:头颅CT+MRI平扫示双侧室管膜下及皮层下多发结节样钙化灶;D:T2FLAIR示大脑半球皮层及皮层下多发异常高信号影。

19岁男性结节性硬化症患者的CT影像[6]
患者有癫痫并发育迟缓,9年前有双侧侧脑室室管膜瘤切除史。A-D:双侧室管膜下多发结节样钙化灶,右侧侧脑室内软组织结节;E:肝内错构瘤;F:双肾巨大错构瘤;G:椎体及双侧髂骨多发骨质硬化。
2.基因检查TSC1/TSC2基因分析有助于明确诊断。

对错义突变的生物信息学分析[7]
A:TSC2,c.410A>G突变位点发生在保守区(红色箭头);
B:PolyPhen-2软件预测此突变为极可能致病,相关预测分值为0.987.
赛业生物基因治疗一站式解决方案
近年来全球多款基因治疗药物相继获批上市,还有多种针对不同适应症的基因治疗药物正处于临床研究阶段,基因治疗已然为众多亟待拯救的患者带来新的治疗希望!
赛业生物基因治疗一站式解决方案可为从事基因治疗的研究者提供更高效的基因功能解析与基因治疗一站式整体解决方案,包括靶点筛选与功能研究,动物模型构建和病毒载体如AAV、LV、ADV等设计与包装,以及表型分析等全流程服务。

RDDC助力罕见病研究

罕见病数据库(以下简称“RDDC”)由罕见病基因治疗联盟理事长单位——清华珠三角研究院人工智能创新中心主持开发,并由副理事长单位赛业生物提供生物遗传技术支持,历经1.0至2.0版本升级,可为用户提供相应罕见病的信息,并更好的服务科研人员对于数据查询和数据挖掘的需求。
用户登录后,可以在短时间内完成从靶点基因发现,到靶点基因的表型和功能查询,以及选择获得当前市场上和靶点基因表型最相关的动物模型,从而快速制定研究路线,开展针对疾病致病基因的科学研究和药物发现工作,欢迎扫码体验!
*声明:RDDC数据和工具仅为科研使用,仅供参考,不可作为医学诊断和评判的最终定论。
参考文献及引用图片来源:
[1]https://www.nrdrs.org.cn/app/rare/disease-list-article.html?index=114
[2]邓劼,王旭.结节性硬化症遗传学研究及诊断与治疗进展[J].中国现代神经疾病杂志,2018,18(06):385-390.
[3]https://www.sohu.com/a/545473406_100023056
[4]陈诗琪,肖新兰.结节性硬化症基因表型与其临床表现、影像学特征相关性研究[J].临床放射学杂志,2021,40(11):2210-2214.DOI:10.13437/j.cnki.jcr.2021.11.035.
[5]https://zhuanlan.zhihu.com/p/482638235
[6]刘朵朵,仲津漫,李晓会,杨全新.结节性硬化症的临床特征及影像学诊断[J].西安交通大学学报(医学版),2021,42(03):433-437.
[7]黄昌艳.结节性硬化症TSC1/TSC2基因突变的高通量测序快速诊断[J].细胞与分子免疫学杂志,2016,32(01):92-95.DOI:10.13423/j.cnki.cjcmi.007631.




