2016年12月2日,国际学术权威刊物自然出版集团旗下子刊《Cell Research》杂志在线发表了中国科学院动物所王皓毅研究组、北京宣武医院张永平研究组等合作的题为“CRISPR-Cas9 mediated multiplex gene editing in CAR-T cells”的研究论文。刘晓娟、张永平和程晨为论文共同第一作者,王皓毅研究研究员为论文通讯作者。
CART(Chimeric Antigen Receptor T cell)细胞治疗是非常有前景的肿瘤治疗方法,中文翻译为“嵌合抗原受体T细胞”。嵌合抗原受体(Chimeric Antigen Receptor,CAR)是由人工设计合成的跨膜蛋白,包括细胞外、跨细胞膜以及细胞内三个部分。CAR的细胞外部分主要是识别特定抗原的单克隆抗体可变区(scFV),负责识别特异性抗原。跨膜区确保CAR可以在细胞膜上定位,而细胞内区域则负责激活T细胞,产生T细胞介导的免疫反应。临床数据表明,CART在B细胞恶性肿瘤治疗中取得了很好的疗效。但是,目前采用的方法都是自体过继细胞治疗(autologous adoptive cell transfer,ACT),这种方法昂贵并且耗时。对于新生儿及老年患者,很难获得足量且状态良好的淋巴细胞用于CART细胞治疗。因此目前CART细胞治疗的一个重要研究方向是怎样使用一个健康献血者的T细胞制备大量的CART细胞,满足数百名患者的临床使用。这一技术的建立将极大降低CART疗法的成本,可以更好地保证统一制备的细胞质量,而且患者在需要时可以马上得到CART细胞进行治疗。
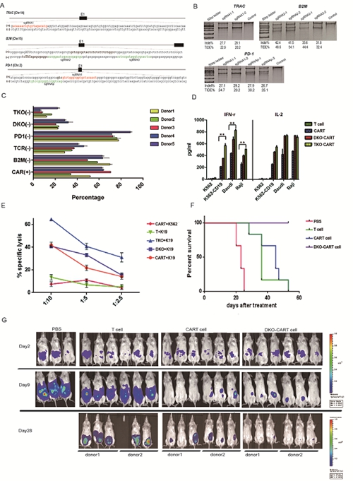
使用异体供者T细胞制备通用型CART用以治疗多个患者,必须保证其安全性,确保过继细胞不能攻击患者自身细胞,同时需要降低其自身的免疫原性避免宿主细胞的攻击。中国科学院动物研究所王皓毅研究组利用CRISPR-Cas9技术将αβT-cell receptor (TCR)从异体的CART细胞中敲除,避免移植物抗宿主病(graft-versus-host-disease,GVHD)的发生,将人类白细胞抗原(HLA)敲除降低自身的免疫原性。另外,PD-1是同肿瘤免疫逃逸相关的T细胞表面抑制因子,考虑到阻断PD-1信号通路在许多肿瘤类型中都取得了较好的疗效,研究人员同时在CART细胞中敲除了PD-1基因,来阻断PD-1信号通路。制备异体CART细胞需要进行多基因同时编辑,CRISPR-Cas9这一RNA介导的DNA核酸酶系统是非常适合的技术平台。在此项研究中,利用CRISPR-Cas9系统对CART细胞进行双基因(TRAC和B2M)或者三基因(TRAC,B2M及PD-1)敲除。结果表明,这些经过基因编辑的CART细胞同普通CART细胞相比,在体外及体内具有相当或更强的肿瘤细胞杀伤功能,有望成为临床应用的效应细胞。基因编辑技术联合过继免疫在肿瘤及HIV/AIDS治疗中具有广泛的应用前景,这一方法的建立为这些疾病治疗的研究奠定了坚实的技术基础。

CRISPR-Cas9系统实现CART细胞中的多基因编辑
原文摘要:Chimeric antigen receptor (CAR) T cell therapy is a promising approach to treat cancer, such as B-cell malignancy1. However, the current standard treatment requires autologous adoptive cell transfer, which is expensive and time-consuming. For newborn and elder patients, it is often difficult to obtain enough T cells with good quality to generate patient-specific CAR-T cells. To make CAR-T therapy more accessible, it is highly desirable to develop an allogeneic adoptive transfer strategy, in which universal CAR-T cells derived from T cells from healthy donors can be applied to treat multiple patients. For this strategy to work, the αβ T-cell receptor (TCR) on allogeneic CAR-T cells needs to be eliminated to avoid graft-versus-host-disease (GVHD), and human leukocyte antigens class I (HLA-Is) on CAR-T cells need to be removed to minimize their immunogenicity. Previous studies have shown that mutation in TCRα subunit constant (TRAC) leads to loss of αβ TCR on T-cell surface2, and beta-2 microglobulin (B2M) is essential for cell-surface expression of HLA-I heterodimers3.



