在生活中,人们对发育障碍的理解更多地集中在自闭症、多动症、唐氏综合症和智力障碍等精神或智力发育类疾病上,前几期我们也为大家分享了癫痫、KRS、ID等神经系统疾病及相关小鼠研究模型。
但其实,我们一直忽略了一些与机体发育有关的重要疾病——机体发育障碍。机体发育障碍是指个体在胚胎、婴儿或儿童时期发育过程中,由于遗传因素、环境因素或两者的相互作用,导致机体结构或功能异常。这种障碍可以涉及各个器官系统,包括神经系统、心血管系统、呼吸系统、消化系统、泌尿系统和生殖系统等。
其中,对于罕见的机体发育障碍疾病受到的关注和相关的研究就更少了。2014年一项名为“解读发育障碍(Deciphering Developmental Disorders, DDD)”的研究调查显示,在英国有大量未被诊断的严重发育障碍的儿童在亟需临床上的诊断和进一步的治疗。

经临床确认的患有各种严重未诊断发育障碍的儿童[1]
本期【每周一鼠】栏目就为大家讲解几种罕见的骨骼发育类疾病和相关的动物模型,快来学习了解一下~
骨畸形性发育不良(DTD)
骨畸形性发育不良(Diastrophic dysplasia, DTD)是一种罕见的隐性软骨发育不良疾病,由编码硫酸盐/氯化物转运蛋白的SLC26A2基因突变引起[2]。DTD的症状可见于出生前,包括四肢短小、上颚裂、耳畸形、手指脚趾异常、脊柱畸形、关节挛缩、关节活动性减少以及骨关节炎等。部分DTD患儿会在出生后的前几个月内因呼吸功能不全死亡,但很多DTD患儿仍可活到成人期,但运动和生存存在很大的限制。
SLC26A2蛋白为软骨和骨骼发育所需,如果SLC26A2蛋白的功能失常,软骨和骨骼的发育就会受损[2]。在小鼠中,SLC26A2基因的敲除或条件性敲除会导致软骨和峡部发育不良、背椎骨体积减少和年龄依赖性骨质流失等骨骼表型,部分模型还存在牙上颚后缩、上门齿小和上磨牙发育不全的齿部表型[3-5]。

Slc26a2基因缺失小鼠呈现出1B型软骨发育不全和2型骨质疏松症的表型[5]
额骨骺发育不良(FMD)
额骨骺发育不良(Frontometaphyseal dysplasia, FMD)是一种遗传性疾病,表现为骨骼和其他器官发育的异常。FMD属于耳-腭-指谱系障碍(Otopalatodigital spectrum disorder, OPDSD)的一种,OPDSD是一类与耳朵、膝盖和身材矮小之间的多个特征相关的罕见的遗传性疾病。FMD与其他OPDSD的区别在于关节畸形限制关节的运动,并存在弓形四肢、脊柱侧弯和手指异常。除了骨骼异常外,FMD患者还可能存在输尿管阻塞、心脏缺陷或支气管的收缩障碍等疾病表型。FMD有三种类型,其中1型和2型分别由FLNA基因和MAP3K7基因的突变引起[6]。
Filamin A(FLNA)是一种高分子量的细胞骨架蛋白,对细胞运动很重要。FLNA基因纯合敲除的小鼠在胚胎期死亡并伴随着严重的心脏结构缺陷,包括心室、心房和流出道,以及广泛的血管发育异常[7],并存在大脑体积减少和神经祖细胞数量的下降[8]。虽然Flna纯合敲除小鼠致死,但由于FLNA的重要作用,Flna条件性小鼠敲除被广泛用于各项研究,如血小板功能、巨噬细胞吞噬、动脉粥样硬化和心肌重塑等[8-12]。

Flna缺失小鼠(K/y)胚胎呈现心脏结构紊乱和血管缺陷表型[7]
MAP3K7基因是另一个FMD致病基因,该基因编码的转化生长因子β激活的激酶1(TAK1)调节参与免疫反应、细胞死亡和癌变等过程的多个重要下游效应因子。MAP3K7也是在人类某些疾病和癌症中常见的突变基因。
在小鼠中,Map3k7基因敲除或组织特异性缺失会促进肝脏纤维化、败血症休克、肝细胞癌和胰腺肿瘤等疾病的发生和进展[13-14]。此外,角质细胞Map3k7特异性敲除的小鼠生长期发育明显迟缓[15],破骨细胞Map3k7特异性敲除的小鼠出现由破骨细胞数量减少导致的严重的骨质疏松症表型[16],心脏Map3k7特异性敲除的小鼠出现自发的细胞凋亡和坏死、心脏不良重塑和心力衰竭[17]。

破骨细胞Map3k7条件性敲除小鼠(Map3k7flox/kdCtskCre/+)显示出严重的骨质疏松症表型[16]
骺端发育不良(ED)
骺端发育不良(Epiphyseal dysplasia, ED)是一种影响长骨末端(即骺端)的疾病,这种疾病源自软骨寡聚基质蛋白异常,它在软骨中积聚并导致过早破坏,可能导致早期关节炎。骺端发育不良病有两种类型,可以通过遗传模式来区分,其共同的症状包括关节疼痛、早发性关节炎和摇摆步态,大多数患者可在儿童时期被诊断。
MMP13基因编码的基质金属蛋白酶13(Matrix metalloproteinase 13, MMP13)在骨骼发育和再生过程中发挥重要作用。MMP13参与调节骨基质的降解和重建,从而维持正常的骨骼生长。突变或异常表达的MMP13基因会导致骨骼发育不良,如骨骺发育异常。Mmp13基因敲除的小鼠在生长板软骨中表现出严重的缺陷,包括内源性骨化、主骨化中心形成和血管化的延迟以及显著的间质胶原积累。软骨生长的表型在成年小鼠中仍然存在,完美模仿了人类遗传性软骨发育不全中观察到的缺陷[18]。

Mmp13-KO小鼠肢体生长板异常和骨化的延迟的表型[18]
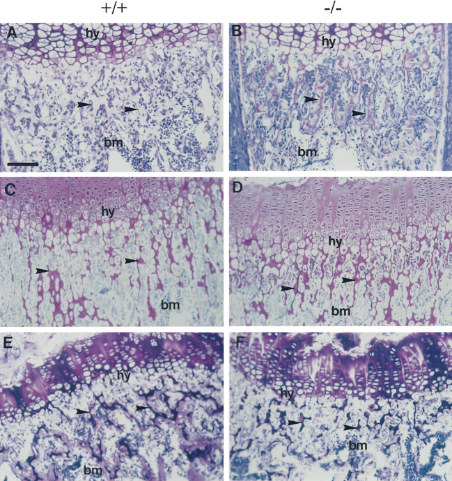
Schmid型干骺端软骨发育不良(SMCD)是最常见和最不严重的干骺端软骨发育不良类型,由COL10A1基因突变引起。该基因编码的Ⅹ型胶原蛋白是一种在骨骼发育过程中特异性表达的胶原蛋白,主要存在于骨骼的骺板区域,参与调节骨骼的纵向生长。
COL10A1基因突变或异常表达会导致Ⅹ型胶原蛋白的结构或功能异常,进而影响骨骼发育,导致骨骺端发育不良病。缺乏胶原蛋白X的小鼠表现出异常的骨小梁骨结构并发展成内翻髋,这是人类Schmid骨骺发育不全中常见的表型变化。此外,突变还导致生长板静止区和关节软骨厚度减少、骨含量改变和生长板软骨中基质成分异常以及软骨内层骨化受损和肥厚区紊乱等表型[19]。

COL10A1-KO小鼠(-/-)的小梁形态和组织发生病变[19]
赛业生物罕见病研究资源
基因编辑小鼠
小鼠基因编辑模型在罕见病机制研究和药物研发评价中起着重要作用,赛业生物拥有数千种自主研发的基因编辑小鼠品系,可提供包括Flna、Map3k7、Slc26a2和Mmp13等在内的多种基因敲除或条件性敲除罕见病研究小鼠模型。同时也可根据您的科研需求进行专业化的定制服务,加速您的课题研究。

[1] Wright C F, Fitzgerald T W, Jones W D, et al. Genetic diagnosis of developmental disorders in the DDD study: a scalable analysis of genome-wide research data[J]. The Lancet, 2015, 385(9975): 1305-1314.
[2] Unger S, Superti-Furga A. Diastrophic Dysplasia Synonym: Diastrophic Dwarfism, SLC26A2-Related Diastrophic Dysplasia[J].
[3] Zheng C, Lin X, Liu H, et al. Phenotypic characterization of Slc26a2 mutant mice reveals a multifactorial etiology of spondylolysis[J]. The FASEB Journal, 2020, 34(1): 720-734.
[4] Yoshida Y, Inubushi T, Yokoyama M, et al. SLC26A2-mediated sulfate metabolism is essential for the tooth development[J]. bioRxiv, 2023: 2023.03. 30.534919.
[5] Zheng C, Lin X, Xu X, et al. Suppressing UPR-dependent overactivation of FGFR3 signaling ameliorates SLC26A2-deficient chondrodysplasias[J]. EBioMedicine, 2019, 40: 695-709.
[6] Wade E M, Jenkins Z A, Daniel P B, et al. Autosomal dominant frontometaphyseal dysplasia: delineation of the clinical phenotype[J]. American Journal of Medical Genetics Part A, 2017, 173(7): 1739-1746.
[7] Feng Y, Chen M H, Moskowitz I P, et al. Filamin A (FLNA) is required for cell–cell contact in vascular development and cardiac morphogenesis[J]. Proceedings of the National Academy of Sciences, 2006, 103(52): 19836-19841.
[8] Bandaru S, Grönros J, Redfors B, et al. Deficiency of filamin A in endothelial cells impairs left ventricular remodelling after myocardial infarction[J]. Cardiovascular research, 2015, 105(2): 151-159.
[9] Lian G, Lu J, Hu J, et al. Filamin a regulates neural progenitor proliferation and cortical size through Wee1-dependent Cdk1 phosphorylation[J]. Journal of Neuroscience, 2012, 32(22): 7672-7684.
[10] Bandaru S, Ala C, Salimi R, et al. Targeting filamin A reduces macrophage activity and atherosclerosis[J]. Circulation, 2019, 140(1): 67-79.
[11] Jurak Begonja A, Hoffmeister K M, Hartwig J H, et al. FlnA-null megakaryocytes prematurely release large and fragile platelets that circulate poorly[J]. Blood, The Journal of the American Society of Hematology, 2011, 118(8): 2285-2295.
[12] Falet H, Pollitt A Y, Begonja A J, et al. A novel interaction between FlnA and Syk regulates platelet ITAM-mediated receptor signaling and function[J]. Journal of Experimental Medicine, 2010, 207(9): 1967-1979.
[13] Tan S, Zhao J, Sun Z, et al. Hepatocyte-specific TAK1 deficiency drives RIPK1 kinase-dependent inflammation to promote liver fibrosis and hepatocellular carcinoma[J]. Proceedings of the National Academy of Sciences, 2020, 117(25): 14231-14242.
[14] Huang Z, Tang B, Yang Y, et al. MAP3K7-IKK Inflammatory Signaling Modulates AR Protein Degradation and Prostate Cancer ProgressionMAP3K7-IKK Axis–Mediated AR Degradation[J]. Cancer research, 2021, 81(17): 4471-4484.
[15] Sayama K, Kajiya K, Sugawara K, et al. Inflammatory mediator TAK1 regulates hair follicle morphogenesis and anagen induction shown by using keratinocyte-specific TAK1-deficient mice[J]. PLoS One, 2010, 5(6): e11275.
[16] Sumiya E, Negishi-Koga T, Nagai Y, et al. Phosphoproteomic analysis of kinase-deficient mice reveals multiple TAK1 targets in osteoclast differentiation[J]. Biochemical and biophysical research communications, 2015, 463(4): 1284-1290.
[17] Li L, Chen Y, Doan J, et al. Transforming growth factor β–activated kinase 1 signaling pathway critically regulates myocardial survival and remodeling[J]. Circulation, 2014, 130(24): 2162-2172.
[18] Inada M, Wang Y, Byrne M H, et al. Critical roles for collagenase-3 (Mmp13) in development of growth plate cartilage and in endochondral ossification[J]. Proceedings of the National Academy of Sciences, 2004, 101(49): 17192-17197.
[19] Kwan K M, Pang M K M, Zhou S, et al. Abnormal compartmentalization of cartilage matrix components in mice lacking collagen X: implications for function[J]. The Journal of cell biology, 1997, 136(2): 459-471.



