上期给大家分享了KRS、ID、CSS等几种常常被误认为普通神经疾病的神经罕见病,以及它们的小鼠研究模型。
癫痫(epilepsy)即俗称的“羊角风”或“羊癫风”,是大脑神经元突发性异常放电,导致短暂的大脑功能障碍的一种慢性疾病。据中国最新流行病学资料显示,国内癫痫的总体患病率为7.0%,年发病率为28.8/10万,1年内有发作的活动性癫痫患病率为4.6%。据此估计中国约有900万左右的癫痫患者,其中500~600万是活动性癫痫患者,同时每年新增加癫痫患者约40万。在中国癫痫已经成为神经科仅次于头痛的第二大常见病。
尽管癫痫症在中国是常见病,但随着癫痫病学研究的深入,有不少癫痫症因其独特的致病基因和病征被纳入了罕见病行列。
进行性肌阵挛性癫痫(PME)
进行性肌阵挛性癫痫(Progressive myoclonic epilepsies, PME)是一组罕见的遗传代谢异常相关的癫痫综合征。该病可以在任何年龄发病,但通常发生在儿童晚期或青春期。疾病的主要症状是不断恶化的动作性肌阵挛癫痫发作,同时还会出现全身强直-阵挛发作、认知功能进行性衰退、小脑症状以及锥体束症状等。PME在小儿癫痫中仅占1%,其中较为常见的类型有Unverricht-Lundborg病、Ⅲ型高雪病、神经节苷脂病、齿状核红核苍白球路易体萎缩以及温-伦病等[1]。
PME的疾病类型因致病基因而异,因此其诊断需要综合多种脑组织病理学和分子诊断技术,由于该病症状多样且易被误诊为其他类型的癫痫,诊断和治疗极具挑战性,需要更深入的研究。

进行性肌阵挛性癫痫疾病分类及致病基因和诊断的研究[1]
Unverricht-Lundborg病(ULD)
Unverricht-Lundborg病也被称为进行性肌阵挛癫痫1型(EPM1),其主要特征是刺激敏感型肌阵挛和强直-阵挛发作。该病患者可能表现出小脑特征,如共济失调、协调性障碍、意向性震颤和构音障碍。患者精神敏锐,但随着时间推移,可能表现出情绪不稳定、抑郁和智力轻微下降。ULD是由于CSTB基因突变导致半胱氨酸蛋白酶抑制剂B(Cystatin B)的功能缺陷造成的。在动物实验中,Cstb基因敲除的小鼠表现出与人类ULD患者相似的癫痫发作,包括肌阵挛性抽搐和强直-阵挛性发作,并存在ULD中常见的协调和平衡能力受损症状[2-3]。

Cstb-KO小鼠病理表型出现的时间顺序[2]
此外,该小鼠还表现出焦虑程度增加、探索和运动能力下降等行为学特征,并且伴有大脑活动异常,小脑萎缩,神经元丧失和胶质细胞增生等脑部病理学变化。因此,Cstb-KO小鼠被广泛应用于研究ULD的病理生理机制以及开发新的治疗方法,是一种可靠的动物模型[4]。

Cstb-KO小鼠呈现进行性小脑萎缩的表型[4]
动作性肌阵挛-肾衰竭综合征(AMRF)
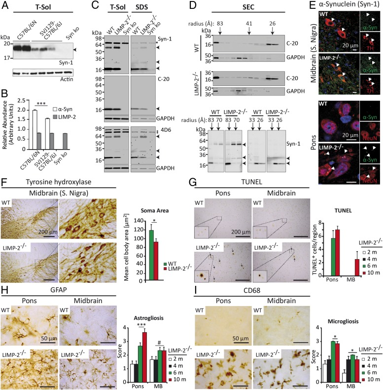
动作性肌阵挛-肾衰竭综合征(Action myoclonus renal failure syndrome, AMRF),又称进行性肌阵挛癫痫4型(EPM4),是一种独特的进行性肌阵挛癫痫合并肾功能障碍的综合征。AMRF常常伴有脱髓鞘的周围神经病变、听力损失和痴呆等神经系统症状。AMRF由编码溶酶体整体膜蛋白2型(LIMP-2)的SCARB2基因的功能丧失性突变引起,LIMP-2是溶酶体膜的一个主要组成部分,其在溶酶体内部酸化、封存活跃的溶酶体酶以及将降解产物从溶酶体腔内运送到细胞质中起着关键作用[5]。Scarb2-KO小鼠是AMRF的动物模型,表现出单侧或双侧肾积水、肾功能障碍、肾小球滤过损伤和蛋白尿等肾脏疾病表型以及多动、共济失调、神经元凋亡、胶质增生和周围脱髓鞘神经病变等神经行为学表型[5-7]。

Scarb2-KO(LIMP-2-/-)小鼠表现为脑部α-syn积累、细胞凋亡和胶质细胞增生表型[6]
神经元蜡样脂褐质沉积症(NCL/CLN)
神经元蜡样脂褐质沉积症(Neuronal ceroid lipofuscinoses, NCL或CLN)是一组包含了遗传性、神经退行性或溶酶体储存障碍的疾病。这些疾病是由于神经元中脂褐质的脂肪色素积聚所致,这种物质的积聚会导致进行性神经功能恶化并最终死亡。患者主要表现为进行性认知和运动退化、进行性强直阵挛和肌阵挛发作,以及早期死亡,同时还存在视力障碍。
根据不同的致病基因和发病年龄,CLN可分为14类,每种类别对应一种致病基因。这些致病基因会导致不同的神经退化症状和发病时间。这些疾病对患者的生活质量造成了很大的影响[1]。

神经元蜡样脂褐质沉积症(CLN)的分类和对应的发病时间、基因和表型[1]
在研究CLN的疾病机制和药物开发方面,科学家已经针对不同的致病基因开发了不同类型的小鼠模型进行研究。
其中,ATP13A2基因与CLN12亚型相关,这种CLN疾病多发生在青少年身上。为了研究这种疾病,研究人员使用敲除Atp13a2基因的小鼠模型,这些小鼠的内溶酶体蛋白Atp13a2缺失,导致它们出现了一系列神经系统疾病表型,包括胶质增生、泛素化蛋白聚集、运动障碍和神经元的功能异常等。这些表现与人类CLN疾病有一定的相似性[8]。此外,ATP13A2基因也与早发性帕金森病和青少年发病的肌萎缩侧索硬化症(ALS)等其它神经系统疾病相关[9]。因此,这种小鼠模型不仅可以用于研究CLN疾病,还可以用于研究这些相关神经系统疾病的疾病机制和药物开发。

Atp13a2-KO小鼠出现运动障碍表型[9]
在CLN中,脂质色素的积累是由于溶酶体功能受损所致,而这种功能障碍则是由自噬和溶酶体生物生成途径失调引起的。GRN额颞叶痴呆是一种前额颞叶痴呆症的亚型,其主要原因是由于GRN基因突变导致丙种球蛋白单倍体不足。一些罕见的GRN同源突变也会导致溶酶体储存障碍(LSD),从而引起CLN的发生[10]。在小鼠模型中的研究表明,GRN缺失的小鼠表现出氧化压力、溶酶体功能障碍和内膜损伤,以及大脑和其他组织中自体荧光脂质的积累、脂肪变性和进行性神经退化[10-12]。

Grn-KO小鼠大脑中的溶酶体脂质失调[10]
此外,CLN5、CLN6、CTSB和CTSD等基因敲除的小鼠模型也被用于CLN的研究,为疾病的诊治提供了极大的帮助。
赛业生物罕见病研究资源
基因编辑小鼠
小鼠基因编辑模型在罕见病机制研究和药物研发评价中起着重要作用,赛业生物拥有数千种自主研发的基因编辑小鼠品系,可提供包括Cstb、Cln6、Grn、Scarb2和Atp13a2等在内的多种基因敲除或条件性敲除罕见病研究小鼠模型。同时也可根据您的科研需求进行专业化的定制服务,加速您的课题研究。



