cGAS-STING通路是人类先天免疫系统中的关键组成部分,在感染、癌症、自身免疫性疾病和神经退行性疾病中发挥着重要作用。通常认为cGAS-STING通路的激活是一种“触发-释放”机制,也就是说在检测到微生物DNA或环状二核苷酸时激活,引发I型干扰素(IFN)反应。若没有致病配体存在,这一通路是否会被激活,目前还不大清楚。
近日,德克萨斯大学西南医学中心团队深入分析了稳态下的cGAS-STING信号传导。研究者发现,STING在稳态下不断从内质网转运到高尔基体,之后继续转运到溶酶体。若从高尔基体到溶酶体(即后高尔基体)的转运被中断,则会延长STING在高尔基体的停留时间并激活IFN信号。
这项研究成果发表在《Nature Communications》杂志上,提出了一种不依赖配体的cGAS-STING信号的“本底流动”机制,可在后高尔基体转运水平上进行调控,并有望应用于癌症免疫治疗。

图片来源:Nature Communications
(https://doi.org/10.1038/s41467-022-33765-0)
研究材料与方法
在这项研究中,研究人员使用了小鼠胚胎成纤维细胞(MEF),通过siRNA敲低了多个基因的表达,并利用CRISPR/Cas9技术生成了基因敲除细胞系。研究者还使用了多种基因敲除小鼠,其中Gcc2+/−和Rab14+/-小鼠由赛业生物提供。除了敲除后的基因表达分析,研究者还采用荧光共聚焦显微镜观察了STING的转运过程。
技术路线
01 中断STING的后高尔基体转运会选择性激活IFN信号
02 转运中断导致STING在高尔基体内长时间停留,导致IFN信号增强
03 基因敲除分析证实,STING的后高尔基体转运由GCC2和Rab14等辅因子调控
04 Gcc2和Rab14的敲除可诱导抗肿瘤免疫力,并抑制小鼠的肿瘤生长
研究结果
1.GCC2调控了STING的高尔基体排出
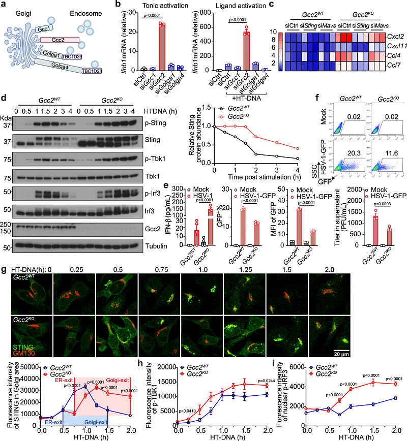
为了全面分析STING转运过程中的所有主要细胞器上的辅因子,研究人员建立了一张候选辅因子的空间图,并通过siRNA敲除对其进行功能验证。在不依赖配体(tonic)的激活分析中,研究者发现,选择性中断高尔基体排出(Golgi-exit)或后高尔基体(post-Golgi)的囊泡转运会意外地激活先天免疫信号。
研究者之后比较了有代表性的内质网辅因子SEC24C和后高尔基体辅因子GCC2。GCC2是一种参与后高尔基体囊泡分拣的卷曲螺旋蛋白,以往没有与STING信号通路相关联。
与对照组相比,野生型MEF中Gcc2的敲低明显增加了干扰素基因Ifnb1和干扰素刺激基因Ccl4的本底表达,而Sec24c的敲低则没有影响。共聚焦显微镜分析显示,Gcc2敲低破坏了高尔基体排出,导致DNA刺激后STING在内质网和高尔基体中积累。这些结果表明,STING的高尔基体排出是由GCC2及其他后高尔基体辅因子调控的。
为了进一步分析GCC2的功能,研究人员利用CRISPR/Cas9技术生成了Gcc2KO MEF。与Gcc2WT MEF相比,Gcc2KO MEF中的IFN基因和干扰素刺激基因(ISG)的本底表达增加。在HSV-1-GFP感染后,Gcc2KO细胞产生了更高水平的IFNβ,且病毒复制和病毒滴度下降(图1)。这些数据证实,GCC2是STING信号传导中一个重要的负调控因子,在静息状态和配体刺激后,它都能介导STING从高尔基体转运到溶酶体进行降解。
利用定量延时共聚焦显微镜来分析STING转运后,研究者发现在Gcc2KO细胞中,STING在高尔基体的停留时间与Gcc2WT细胞相比明显增加,而且STING激活的关键标志物(p-TBK1和p-IRF3)活性更高,这表明STING在高尔基体的长时间停留招募了更多TBK1和IRF3并磷酸化,从而增强IFN信号(图1)。由此可见,GCC2调控了STING高尔基体排出,而Gcc2KO同时增强了不依赖配体和依赖配体的STING信号传导。

GCC2是STING的高尔基体排出所必需的[1]
以往的研究发现,将细胞培养温度从37°C降低到20°C可以减缓高尔基体的囊泡转运,那么这是否会增强STING信号?研究人员发现,与37°C培养的细胞相比,在20°C下培养的细胞表现出显著增强且更持久的STING信号传导活动,且STING在高尔基体中停留的时间明显延长。这些数据进一步支持了高尔基体排出是减弱STING信号传导的一个关键检查点。
2.cGAS驱动不依赖配体的STING转运
之后,研究人员探索了Gcc2KO细胞中的STING转运和信号传导是由什么驱动的?研究者发现,Gcc2KO细胞的先天免疫激活离不开cGAS和STING。通过突变分析发现在Gcc2KO细胞中,cGAS的DNA结合和酶活是细胞固有的先天免疫激活所必需的,而cGAMP结合和STING磷酸化也是必不可少的。进一步分析显示,Gcc2KO通过中断转运来增强STING信号,而没有进一步激活cGAS。利用cGas-/-小鼠组织开展的分析显示,cGAS在稳态下正常运作,它促进STING信号传导,以维持免疫防御的本底状态。
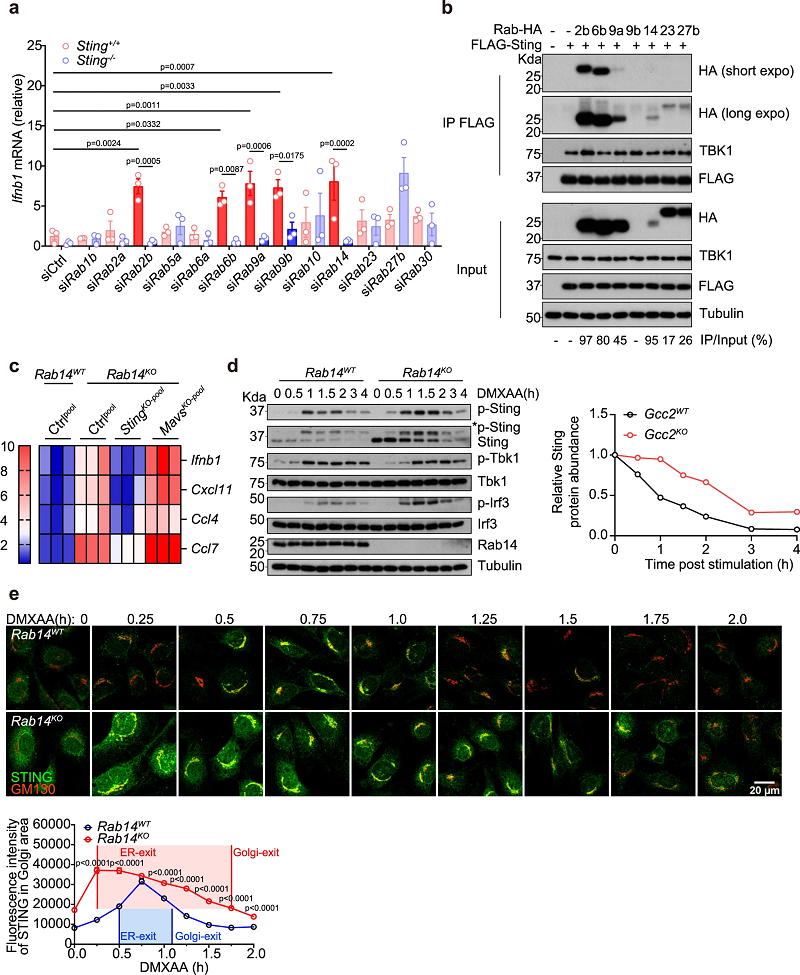
3.RAB14等蛋白介导STING的后高尔基体转运
以往发现,在“货物”运出高尔基体后,不同的Rab GTP酶会“盖上邮戳”,分拣到不同的目的地。那么,在STING的转运过程中,哪些Rab负责“盖邮戳”?研究者发现,STING与多个Rab有着强的相互作用,包括Rab2b、Rab6b、Rab9a和Rab14。
其中,在敲低Rab14后,几种ISG的本底表达明显升高(图2)。与Rab14WT MEF相比,Rab14KO MEF中的STING蛋白水平更高,且STING在高尔基体中的停留时间增加。Rab14KO与Gcc2KO的表型相似,这表明由Gcc2-Rab14调控的STING高尔基体排出对免疫信号传导至关重要。

RAB14及其他Rab介导了STING的后高尔基体转运[1]
4.Gcc2KO和Rab14KO诱导抗肿瘤免疫力
接下来,研究人员开展体内分析,以评估中断STING后高尔基体转运的生理后果。Rab14−/−小鼠是胚胎致死的,因此实验在Gcc2−/−小鼠身上开展。6个月大的Gcc2−/−小鼠对各种自身免疫性疾病的常见抗原的IgM自身抗体水平明显升高。重要的是,Gcc2−/−Sting−/−小鼠的这些自身抗体则完全恢复到野生型水平。由此可见,Gcc2缺乏会在小鼠中诱导STING依赖性的自身免疫。
STING信号的激活会诱导抗肿瘤免疫力,于是,研究人员敲除B16黑色素瘤细胞中的多个STING转运辅因子,并将其植入野生型小鼠体内。三个后高尔基体辅因子的敲除(Gcc2、Rab14和Npc1)都抑制了肿瘤生长。Gcc2KO和Rab14KO B16肿瘤的生长速度明显慢于野生型B16肿瘤。这些数据显示,在后高尔基体步骤中中断cGAS-STING的本底流动可以实现抗肿瘤免疫,在功能上与STING激动剂相似。
研究结论

整体模型的示意图[1]
总的来说,这项研究揭示了STING在稳态下不断从内质网转运到溶酶体,而不是静止在内质网上。若后高尔基体的转运被中断,无论是通过敲除转运辅因子还是通过降低温度,都会延长STING在高尔基体的停留时间,并增强IFN信号(图3)。作者认为,与“快速而猛烈的”STING激动剂相比,这种转运中断也许是激活STING的另一种“缓慢而稳定的”模式,在癌症免疫治疗中可能会带来更有利的结果。
原文检索:
[1] Tu, X., Chu, TT., Jeltema, D. et al. Interruption of post-Golgi STING trafficking activates tonic interferon signaling. Nat Commun 13, 6977 (2022). https://doi.org/10.1038/s41467-022-33765-0
赛业小鼠模型构建
赛业生物分别构建了Gcc2基因敲除小鼠与条件性基因敲除小鼠、Rab14基因敲除小鼠与条件性基因敲除小鼠,更有活体小鼠已加入『红鼠资源库』,快至2周交付!确保您在短时间内获得更具性价比的实验用鼠,为您的研究加点速~
Gcc2 KO小鼠

品系名称:
C57BL/6J-Gcc2em1C/Cya
产品编号:
S-KO-13297
应用方向:
生殖系统,内/外分泌腺,细胞组成,细胞定位,生理系统,细胞生物学
Gcc2 flox小鼠

品系名称:
C57BL/6J-Gcc2em1Cflox/Cya
产品编号:
S-CKO-14774
应用方向:
生殖系统,内/外分泌腺,细胞组成,细胞定位,生理系统,细胞生物学
Rab14 KO小鼠

品系名称:
C57BL/6J-Rab14em1C/Cya
产品编号:
S-KO-12700
应用方向:
神经系统,信号转导,骨骼系统,肾和泌尿系统,内稳态/代谢
Rab14 flox小鼠

品系名称:
C57BL/6J-Rab14em1Cflox/Cya
产品编号:
S-CKO-14156
应用方向:
神经系统,信号转导,骨骼系统,肾和泌尿系统,内稳态/代谢



