新冠三年以来,多项研究显示,新冠不只是一种呼吸系统疾病,而是会影响人体多个组织和器官,包括胃肠道、心血管、大脑和神经系统等。
2022年12月14日,美国国立卫生研究院的研究人员在国际顶级期刊Nature上发表了一篇题为"SARS-CoV-2 infection and persistence in the human body and brain at autopsy"的研究论文。该研究对44名新冠死亡患者尸检发现,新冠病毒可在人体多个器官内复制,并持续存在数月,包括大脑,甚至在症状出现后230天也能检测到。

图1 研究成果(图源:[1])
在该研究中,研究人员对44名死于新冠的患者进行了完整的尸检,并对其中11名患者的中枢神经系统进行了广泛采样,以绘制和量化病毒在整个人体内的分布、复制和细胞型特异性,从感染到症状出现7个多月后。
对于所有参与者,在2020年4月26日至2021年3月2日期间进行了尸检,所有人均没有接种疫苗,30%为女性,平均年龄为62.5岁,共有27名患者(61.4%)有三种或更多的合并症,从出现症状到死亡的平均时间为18.5天。
结果正如预期,新冠病毒主要感染和损害呼吸道和肺组织,但研究人员也在84个不同的身体部位和体液中发现了病毒RNA,其中一例在患者出现症状230天后分离出病毒RNA。然而,与非呼吸道相比,呼吸道中的病毒载量下降速度更快,清除效率高。

图2 病毒在人体和大脑中的分布、量化(图源:[1])
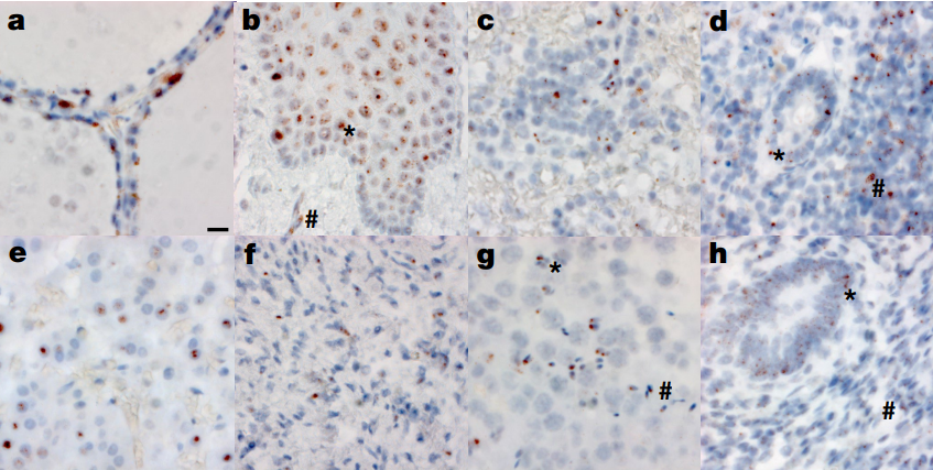
除了呼吸道,研究人员还在大脑、心脏、淋巴结、胃肠道、肾上腺和眼睛等不同组织中分离出活的新冠病毒,在55个检测样本中,25(45%)个样本分离出病毒。

图3 肺外组织中新冠RNA原位检测(图源:[1])
此外,研究人员在一名患者的下丘脑和小脑,以及另外两名患者的脊髓和基底神经节中检测到病毒RNA和蛋白质。在对11个大脑的检查中,尽管病毒载量很大,但发现大脑组织几乎没有损伤。

图4 新冠在人中枢神经组织中的表达(图源:[1])
结果表明,在症状出现后的前两周内,病毒在多个非呼吸道组织中复制。研究人员表示,我们发现新冠病毒广泛分布,主要在死于严重新冠的患者中,病毒复制存在于感染早期的多个呼吸道和非呼吸道组织中,包括大脑。结果有助于科学家探索广泛感染的身体组织与“长新冠”之间的关系。
研究人员还强调了局限性,所有参与者均未接种疫苗,他们也有合并症,都是死于严重的新冠,所以,研究结果可能不适用于更年轻、更健康或已接种疫苗的人。综上,研究表明,新冠病毒可广泛的在多个身体组织中复制,并可能持续存在长达7个月之久。
参考资料:
[1]Stein SR, Ramelli SC, Grazioli A, et al. SARS-CoV-2 infection and persistence in the human body and brain at autopsy. Nature. 2022 Dec;612(7941):758-763. doi: 10.1038/s41586-022-05542-y. Epub 2022 Dec 14. PMID: 36517603; PMCID: PMC9749650.



