摘要:匙叶鼠麴草在中国作为民间药物被用于抗炎、咳嗽、风湿性关节炎。本研究的目的是评估匙叶鼠麴草提取物对高尿酸血症及痛风性关节炎动物模型的潜在疗效。
方法:用氧嗪酸钾(PO)致小鼠高尿酸血症动物模型被用来评价匙叶鼠麴草提取物抗高尿酸血症的活性和黄嘌呤氧化酶(XO)的抑制作用。通过尿酸钠(MSU)晶体诱导的动物爪水肿模型研究匙叶鼠麴草提取物对急性痛风性关节炎的疗效。
结果:匙叶鼠麴草提取物通过影响肾葡萄糖转运蛋白9(glut9),有机阴离子转运蛋白1(OAT1)和尿酸盐转运蛋白1(URAT1)降低血清尿酸活性(SUR),抑制与PO诱导的高尿酸血症小鼠体内黄嘌呤氧化酶活性。匙叶鼠麴草提取物也表现出显著的抗炎活性,降低MSU晶体诱导的爪水肿模型足肿胀。同时,13咖啡酰奎宁酸衍生物和1黄酮确定为匙叶鼠麴草提取物主要活性成分。
结论:匙叶鼠麴草提取物具有对模型有显著影响,可能作为高尿酸血症、急性痛风性关节炎的治疗活性剂。
关键词:匙叶鼠麴草提取物 咖啡酰奎宁酸衍生物 高尿酸血症 急性痛风性关节炎 黄嘌呤氧化酶 促炎细胞因子
背景:高尿酸血症的特点是血液中尿酸水平较高,这可能是由于嘌呤代谢增加和尿酸排泄减少所致。高尿酸血症是痛风发病的重要原因,也是心血管、肾脏疾病、高血压、代谢综合征等多种疾病的发病机制。嘌呤核苷酸降解的终产物是UA。肝脏黄嘌呤氧化酶是催化尿酸生成的关键酶,尿酸转运蛋白是尿酸清除的主要载体。此外,尿酸结晶在关节和组织中的结晶可以驱动炎症反应,因此,痛风的临床治疗的目的是降低炎症反应的程度和炎症反应。尿酸排泄不足而不是尿酸生成过多被认为是高尿酸血症的主要原因。尿酸盐转运相关蛋白,如参与肾尿酸排泄和重吸收的有机阴离子转运蛋白,在维持尿酸盐稳态中起关键作用。尿酸肾小管处理依赖于尿酸盐转运蛋白如URAT1,glut9 OAT1。URAT1,位于肾小管上皮细胞的刷状缘膜负责尿酸转运蛋白的重吸收。这种蛋白质是由SLC22A12基因编码,这是引起高尿酸血症的遗传因素。glut9(由SLC2A9基因编码)被认为是尿酸盐作为大容量尿酸盐转运蛋白的治疗的新目标。此外,有机阴离子转运蛋白1的成员(OAT1,SLC22A6)分布在基底膜,通过肾近曲小管细胞膜间的尿酸转运来促进肾尿酸分泌。这些结果表明URAT1,OAT1和glut9可能在调节尿酸排泄和感染高尿酸血症中起重要作用。这些尿酸盐转运蛋白已被证明是低尿酸血症的药物发挥作用的重要目标。匙叶鼠麴草是一种一年生草本植物,广泛分布在中国的许多地区。它被用来作为减轻炎症,咳嗽和风湿病关节炎的民间医药。匙叶鼠麴草(GPE)具有许多咖啡酰奎宁酸衍生物,对体外的XO活性表现出强有力的抑制作用。已经报告说咖啡酰奎宁酸衍生物,发现其有潜在的抗痛风性关节炎的作用。不同品种的鼠曲草属及其成分具有抑制XO的活性作用,表现出明显的抗高尿酸血症和抗痛风性关节炎功效。需要进一步的GPE研究来阐明其改善高尿酸血症和痛风的确切机制。
方法:超高效液相色谱-电喷雾串联质谱分析匙叶鼠麴草:样品的制备:用1克的粉末的干燥匙叶鼠麴草在20毫升甲醇为1.5小时,在室温下超声提取法制备匙叶鼠麴草提取物。萃取液在旋转蒸发器中过滤和蒸发。最后的提取物分别溶于2毫升并在注入UPLC-ESI-MS/MS系统之前经0.25毫米膜过滤。
体内药物的制备及测试方法:所以溶液和氧嗪酸钾液的制备都依赖于各组动物的平均体重。别嘌呤醇(4毫克/毫升)、秋水仙碱(100 mg/L),低剂量的匙叶鼠麴草提取物(LGP)(20毫克/毫升),中剂量的匙叶鼠麴草提取物(MGP)(40毫克/毫升)和高剂量的匙叶鼠麴草提取物(HGP)(80毫克/毫升)被溶解在0.5%的DMSO和生理盐水。氧嗪酸钾在0.9%氯化钠溶液中(30毫克/毫升)制备悬浮液。尿酸钠结晶悬浮在0.9%无菌生理盐水(25毫克毫升)和吐温80中。
实验动物:60只雄性昆明小鼠(18~22 g)和60只ICR小鼠(18~22 g)。动物饲养在塑料笼子里,并保持12/12小时的光/暗循环,并可自由采食饲料和饮水。
高尿酸血症模型及药物治疗:采用尿酸酶抑制剂PO法诱导小鼠高尿酸血症模型。六十只雄性昆明小鼠随机分为六组:空白、模型、别嘌呤醇(40毫克/公斤/天),和GPE(100, 200和400毫克/公斤/天)组。高尿酸血症前诱发前6天,每24小时均连续给予GPE和别嘌呤醇。空白组给予生理盐水。GPE的剂量是基于临床有效剂量。在第七天最后一次灌胃GPE和别嘌呤醇1h后,小鼠腹腔注射PO(300毫克/千克)诱导高尿酸血症。
急性痛风性关节炎模型及药物治疗:在右足垫皮下注射0.1毫升(10毫克)MSU晶体悬浮液诱导急性痛风性关节炎模型。雄性ICR小鼠分为6组,每组10只。他们是空白,模型,秋水仙素(1毫克/公斤/天),GPE(100、200和400毫克/公斤/天)组。药物灌胃7天每天喂一次在第七天分别给予药物1小时后注射MSU晶体。MSU晶体注射后药物持续了1天。爪肿胀表现为厚度变化。爪厚度用卡尺在注射MSU后0、1、4、12和24h时测量。所有药物剂量均以mg每千克体重表示。
血液和组织处理:
高尿酸血模型:第七天,最后给药后1小时采集血样,室温下凝结1小时,于3000 rpm离心10 min,取血清。血清标本用于估计尿酸水平,存储在?20°C直到测试。同时在冰冻平板上快速解剖肝组织进行XO分析。取肾管作组织学和免疫印迹分析。所有的样品被冻结?80°C直到用于检测。
急性痛风性关节炎模型:MSU注射后24 h采集血液标本 ,允许在室温下凝结约1小时,然后离心取血清。血清样品存放在?20°C直到试验测定细胞因子水平。处死小鼠收集爪周围组织进行组织学分析,并冻结在-80°C.
小鼠促尿酸排泄作用:抑制肝脏XO活性的实验研究:肝脏在冰冷的生理盐水匀浆(9倍体积),然后于在4°C,8000 rpm离心10 min。离心分离后,脂质层被仔细地去除,最后的上清液部分用于XO活性测定。用标准诊断试剂盒测定肝组织中XO活性。肝脏XO酶活性以mol/min每g蛋白表示
Western印迹分析肾脏组织的mGLUT9, mOAT1 和mURAT1:用组织蛋白提取试剂盒从肾中提取总蛋白。简而言之,收集肾组织和溶解含有1毫米苯甲基磺酰氟(PMSF)的低温裂解缓冲液中。离心后(15000 g在4°C 15分钟),上清液中得到总蛋白。蛋白质水平通过BCA蛋白浓度测定试剂盒进行量化。蛋白质样品(7毫克/毫升)与同等体积的2个样品缓冲液混合,在100°C煮沸5分钟后变性。样品经10% SDS-PAGE电泳处理后转移到PVDF膜上。5%脱脂奶粉溶解在PBST(0.05%吐温20)同PVDF膜封闭3h,膜分别同抗URAT(1:500稀释),抗glut9(1:500稀释),抗oat1(1:500稀释)以及抗β肌动蛋白(1:500稀释)抗体孵育过夜。DAB显色,在预期的带出现后,倒出底物,停止反应,然后用蒸馏水反复冲洗。把薄膜阴干,然后储存在黑暗的地方。数据通过分子分析软件定量分析。
足肿胀评定:在注射MSU晶体后0, 1, 4,12和24 h,通过测量爪子的厚度来测定炎症程度。
细胞因子的检测:根据生产厂家的说明,用elisa试剂盒(测定血清中IL-1β和TNF-α水平。
组织学分析:
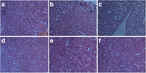
高尿酸血症模型:摘取小鼠的肾脏在室温4%多聚甲醛溶液中固定24 h。每个肾制备石蜡切片(4μm厚),HE染色和200×光显微镜下检查。
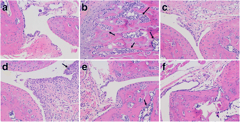
急性痛风性关节炎模型:分离MSU诱发痛风性关节炎小鼠的爪, 10%甲醛溶液脱钙,石蜡包埋,制备5μm切片,HE染色,并在200×光显微镜下检查。
结果:匙叶鼠麴草提取物对血清尿酸水平的影响:与空白组(5606.7 ± 1564.9μmol/L)相比,模型组小鼠血清尿酸水平(10675.5 ± 3423.7μmol/L)显著升高。别嘌呤醇作为阳性对照药物,可显著降低模型组小鼠血清尿酸水平(p<0.01)。与模型组小鼠相比,所有剂量的匙叶鼠麴草提取物组显著降低尿酸水平,呈剂量依赖性。与空白组小鼠比较,所有用于本研究的匙叶鼠麴草提取物组剂量并未显著影响体重。但别嘌呤醇显著抑制体重增长。
匙叶鼠麴草提取物对肝脏XO活性的影响:与空白组相比,PO给药可显著提高模型组小鼠肝组织中XO活性。别嘌呤醇显著降低高尿酸血症小鼠肝脏的XO活性。高尿酸血症小鼠肝脏模型,GPE也明显表现出剂量依赖性的XO活性。
匙叶鼠麴草提取物对肾脏mGLUT9, mURAT1 和 mOAT1表达的影响:与空白组相比,PO诱导小鼠肾的mOAT1蛋白的表达明显下调,mGLUT9和 mURAT1蛋白表达上调。所有剂量的匙叶鼠麴草提取物对mURAT1和mGLUT9蛋白表达有明显的抑制作用。与模型组比较,400毫克/公斤匙叶鼠麴草提取物显著提高mOAT1蛋白表达。别嘌呤醇还可以调节肾mGLUT9, mURAT1 和 mOAT1蛋白表达。
匙叶鼠麴草提取物改善肾功能不全:组织学数据支持了治疗后尿酸水平变化的观察,并与高尿酸血症小鼠模型的观察结果相一致。组织学分析显示模型小鼠肾小管收缩。别嘌呤醇治疗引起的肾脏表面显示白色与其他组不同。这些结果提示别嘌呤醇可能具有肾脏毒性。这些结果提示别嘌呤醇可能具有肾脏毒性。
匙叶鼠麴草提取物对MSU晶体诱导小鼠的影响:与模型组比较,MSU晶体注射引起的足肿胀度显著增加。MSU诱导的小鼠足跖体积显示踝关节直径的增加,而匙叶鼠麴草提取物(100, 200,400毫克/千克)和秋水仙碱(1 mg/kg)治疗显著降低MSU晶体诱导的小鼠足跖直径。MSU注射后2天获得膝关节关节滑膜及周围组织。空白对照组未见正常炎细胞浸润。模型组关节炎症明显,炎细胞浸润,滑膜增生。结果表明,匙叶鼠麴草提取物和秋水仙素能改善MSU晶体诱导的小鼠的症状,并能减少炎性细胞浸润。
匙叶鼠麴草提取物对MSU晶体诱导的小鼠IL-1β和TNF-α的影响:探讨匙叶鼠麴草提取物改善MSU晶体诱导的小鼠足跖肿胀,测定血清中促炎性细胞因子水平。MSU晶体诱导血清的TNF-α和IL-1β水平显著增高。匙叶鼠麴草提取物降低TNF-α和IL-1β水平。阳性药物秋水仙素(1mg /公斤)也减少了血清TNF-α和IL-1β的水平。
结论:研究结果清楚地表明,匙叶鼠麴草提取物显示显著抗高尿酸血症及抗痛风性关节炎活性。通过影响肾mglut9,moat1和mURAT1与抑制黄嘌呤氧化酶活性,测试的提取物具有促进尿酸排泄的作用。通过抑制IL-1β和TNF-α,产生有益的抗痛风性关节炎的作用。咖啡酰奎宁酸衍生物通过UPLC-ESI-MS/MS法被认定为匙叶鼠麴草提取物的主要活性成分。因此,匙叶鼠麴草提取物可以考虑作为高尿酸血症和痛风病治疗药物。






