
研究背景
随着人民生活水平的提高和饮食习惯的改变,动脉粥样硬化引发的脑中风和冠状动脉疾病已成为世界范围内的主要死亡原因。脂质代谢失调是动脉粥样硬化的重要成因,而E型载脂蛋白质(ApoE)在胆固醇代谢中起关键作用。虽然ApoE突变小鼠模型在揭示动脉粥样硬化的分子机制方面起着重要作用,但由于小鼠和人类在解剖结构、动脉大小、脂质分布、代谢和免疫系统等方面的差异,小鼠研究的临床转化具有很大局限性,因此具有动脉粥样硬化表型的大动物模型,是进一步阐明动脉粥样硬化机制、筛选药物靶点甚至开发血管内手术的全新、有效工具。犬在解剖学、生理学和新陈代谢等多方面比小鼠更接近人类,与人类长期共同生活,具有相似的饮食结构,因此有可能是研究心脑血管疾病的理想大动物模型。

内容概述
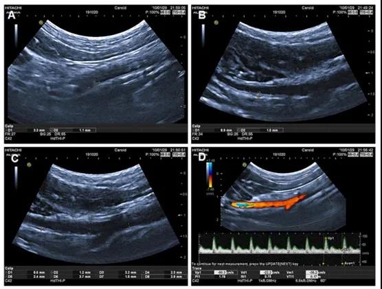
近日,首都医科大学宣武医院血管超声诊断科主任华扬研究组与北京希诺谷生物科技公司,通力合作于Atherosclerosis Plus发表了题为“Identification of the atherosclerosis phenotype in vivo by vascular duplex ultrasonography in ApoE deficient dogs”的研究论文,通过ApoE 基因编辑犬这一大动物模型,展示了血管双功超声(VDU)是一种用于评估大动物模型动脉粥样硬化表型的最佳体内非侵入性方法。合作团队利用血脂分析揭示ApoE基因编辑纯合犬的甘油三酯、总胆固醇和低密度脂蛋白水平均显著高于野生对照和ApoE基因编辑杂合犬。通过VDU诊断,揭示ApoE纯合犬的颈总动脉和主动脉的内中膜厚度显著增加、动脉粥样硬化的发生率显著高于ApoE杂合犬,且发生时间更早。组织病理学证实,ApoE纯合犬的主动脉、颈动脉和髂总动脉均存在显著的动脉粥样硬化病变。本研究通过血脂分析、VDU诊断、组织病理学分析等多学科交叉的方法揭示了Apoe基因编辑犬动脉粥样硬化分布模式的特征以及随着年龄增长的内、中膜厚度变化,为在大型动物模型中评价动脉粥样硬化表型提供了一种体内无创方法,同时为进一步应用该模型提供了相关基础数据。该研究的发表,证实ApoE基因编辑犬为开发可靠的危险分层分子标志物的影像学检测以及临床用药有效性检测提供动物模型保障,可极大的提高相关研究的临床转化效率。

ApoE 纯合突变犬颈动脉动脉粥样硬化斑块及血流动力学VDU超声影像图
首都医科大学宣武医院血管超声诊断科副主任贾凌云,北京希诺谷生物科技有限公司李媛博士为该论文共同第一作者,首都医科大学宣武医院血管超声诊断科主任华扬为通讯作者。本研究所使用的ApoE基因编辑犬均由北京希诺谷生物科技有限公司提供。
原文查看点击左下角“阅读原文”
编者按:
ApoE基因编辑犬,由北京希诺谷生物科技有限公司自主研发,与中国科学院遗传与发育生物学研究所张永清研究组,北京宣武医院吉训明教授团队,西安交大医学院刘恩岐教授团队等通力合作,利用磁共振成像,超声波诊断,多组学和免疫化学分析等多学科交叉方法揭示ApoE基因敲除家犬表现广泛而严重的动脉粥样硬化斑块,动脉狭窄和闭塞,血栓形成,最后导致脑中风和坏疽,很好地重现了动脉粥样硬化病人的病理和临床表现。更多ApoE基因编辑犬表型研究发表于Science China Life Sciences,题为“Dogs lacking Apolipoprotein E show advanced atherosclerosis leading to apparent clinical complications”。
[点我了解更多]《希诺谷合作建立 ApoE基因突变犬动脉粥样硬化及临床并发症模型》
点击左下角“阅读原文”查看文章




