
非酒精性脂肪肝炎(nonalcoholic steatohepatitis, NASH)是由营养过剩引起的肝脂肪变性和慢性炎症导致的肝脏代谢性疾病,会逐步发展为肝纤维化、肝硬化甚至肝细胞癌,目前尚未有批准用于NASH治疗的药物。近来,有研究发现,通过激活AMPK通路,虫草素能抑制肝脏脂肪堆积,防止肝脏炎症损伤和纤维化的发生。该研究成果于2021年2月发表在Hepatology (IF=14.679,Q1) 杂志上。
虫草素(Cordycepin)是虫草的主要活性成分,具有广泛的生物活性,包括抗炎、抗氧化、抗纤维化、抗脂肪生成和抗肿瘤等。然而,虫草素对NASH进展的作用以及其中的潜在机制还不明确。因此,研究团队通过高脂饮食(HFD)和高脂高胆固醇饮食(HFHC)喂养建立NASH小鼠模型(这两种模型涵盖了人类NASH的代谢特征),探究虫草素对NASH发生发展的影响。
虫草素可减轻棕榈酸诱导肝细胞的脂质蓄积、炎症和脂毒性
为研究虫草素对代谢应激下肝细胞脂质堆积和炎症的影响,通过混合脂肪酸PO(棕榈酸,PA和油酸,OA)刺激LO2细胞。结果表明虫草素有效降低了细胞内的脂滴蓄积、甘油三酯(TG)和血清总胆固醇 (TC)含量、脂肪酸合成(FASN、SCD1、ACCα、PPARγ)和炎症(IL-6、TNFα、CCL5、CXCL10)相关基因的表达。为系统地评价虫草素对肝细胞的影响,进行了肝细胞RNA-Seq分析,结果表明组间的差异基因显著富集于炎症、脂代谢和凋亡相关通路,而且虫草素能够显著下调富集在上述通路的差异基因的表达。


图1. 虫草素对肝细胞脂质蓄积和炎症的影响。
虫草素可减轻高脂饮食引起的肝脂肪变性和炎症
探究虫草素能否减轻HFD引起的小鼠NASH疾病(雄性C57BL/6J小鼠HFD喂养共24周)。实验结果表明,虫草素显著降低了HFD引起的肝指数升高、肝脏脂质(TG、TC)含量增加、肝脏病理损伤(脂质蓄积、气球样变、炎性浸润)、脂肪酸合成摄取和炎症反应相关基因和蛋白的表达。
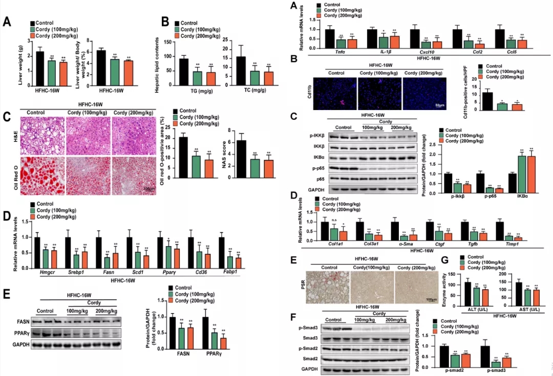
虫草素可改善HFHC饮食引起的肝脂肪变性、炎症和纤维化
为进一步研究虫草素对NASH的体内保护作用,建立高脂高胆固醇饮食诱导的小鼠NASH模型(雄性C57BL/6J小鼠HFHC喂养共16周),该模型比HFD诱导的模型表现出更严重的炎症反应和纤维化特征。结果表明,虫草素显著降低了HFHC引起的肝指数升高,肝脏脂质(TG、TC)含量增加,肝脏病理损伤(脂质蓄积、气球样变、炎性浸润和纤维化),脂代谢、炎症反应和纤维化相关基因和蛋白的表达。

图2. 虫草素对HFHC诱导NASH小鼠的肝脂肪变性、炎症和纤维化的影响。
代谢应激时,虫草素能激活肝细胞和小鼠肝脏的AMPK信号
为进一步探究虫草素对NASH的保护机制,对细胞和小鼠的RNA-Seq结果进行了通路富集,发现差异基因均主要集中在脂代谢、炎症、纤维化和凋亡途径,其中虫草素对AMPK通路的影响优于其他信号通路。通过多组学(转录组学、蛋白质组学和磷酸化蛋白质组学)分析表明,AMPK通路与脂代谢、炎症、纤维化和凋亡靶点显著相关,可能是虫草素作用的关建通路。为确定虫草素抗NASH是否通过AMPK途径,研究者测定了细胞中、HFD和HFHC分别诱导的小鼠肝脏中AMPK通路中蛋白的表达,发现虫草素显著激活了AMPK及其下游ACC蛋白的磷酸化。

图3. 转录组和磷酸化蛋白质组学分析:AMPK途径可能是虫草素的靶标。
抑制AMPK磷酸化,能消除虫草素介导脂毒性肝细胞和HFD诱导NASH小鼠的脂质蓄积和炎症抑制
为进一步研究AMPK在虫草素抗NASH中的关键作用,研究人员构建了AMPK敲除的LO2细胞。结果表明,在AMPK-KO LO2细胞中,虫草素对AMPK通路的激活和脂质积累的抑制作用基本消失。同时,对LO2细胞和HFD喂食小鼠给予AMPK抑制剂Compound C,结果表明Compound C完全消除了虫草素对细胞和小鼠的保护作用。总的来说,虫草素主要通过激活AMPKα介导的降脂、抗炎和抗纤维化来发挥其抗NASH的作用。

图4. LO2细胞敲除AMPK后,虫草素对细胞脂代谢的影响。

图5. 给予AMPK抑制剂后,虫草素对细胞和小鼠脂肪变性和炎症的影响。
综上所述,本研究使用HFD和HFHC饮食分别诱导的NASH小鼠模型证明了虫草素抗NASH的药效作用,同时使用了AMPK基因敲除细胞和AMPK抑制剂处理的细胞和小鼠阐明了虫草素抗NASH的作用机制。在这项研究中,研究者们发现虫草素可能是一种AMPKα抑制剂,通过激活AMPK途径,减轻肝脏脂肪变性、炎症和纤维化,从而抑制非酒精性脂肪肝炎的发生。
非酒精性脂肪性肝病(NAFLD)是一种无酒精滥用的肝病综合征,包括单纯性脂肪肝、脂肪性肝炎、脂肪性肝纤维化和肝硬变。可从单纯性脂肪肝经非酒精性脂肪性肝炎(NASH)发展为肝纤维化,甚至导致肝硬化、肝细胞癌(HCC)或肝功能衰竭等终末期肝病。动物模型在阐明非酒精性脂肪肝的病理生理机制以及新药的开发中起着重要的作用。临床前研究需要根据研究的特定NAFLD表型使用不同的动物模型。NAFLD和NASH的临床前动物模型可分为四类:饮食诱导模型、化学物质诱导模型、基因编辑模型、复合模型。
赛业生物可为您提供多种非酒精性脂肪肝小鼠模型及表型分析服务,如有需要,可以联系我们为您的研究量身定制。
✓ 饮食诱导模型
✓ 化学物质诱发模型
✓ 基因编辑模型
✓ 复合模型
原文检索:
Lan T , Yu Y , Zhang J , et al. Cordycepin ameliorates nonalcoholic steatohepatitis via activation of AMP‐Activated Protein Kinase signaling pathway[J]. Hepatology. 2021.
DOI: https://doi.org/10.1002/hep.31749.



