SARS-CoV-2鼻内感染K18-hACE2小鼠会引起严重的神经系统疾病。
凛冬已至,春节欲来。随着人员流动的增加,由新型冠状病毒(SARS-CoV-2)感染导致的新冠肺炎(COVID-19)疫情似乎变得更加严重,官方每日公布的COVID-19疫情数字牵动着每一个人的心!
在全球科研人员的共同努力下,我们对SARS-CoV-2有了更深入的了解,但是关于其感染中枢神经系统(CNS)的发病机理仍然知之甚少。众所周知,大脑是人类的中央处理器,而COVID-19可引起人类神经系统疾病,探究其机理有助于人们更好地应对疫情、抵御疾病。
近日, Viruses发表了一篇题为Neuroinvasion and Encephalitis Following Intranasal Inoculation of SARS-CoV-2 in K18-hACE2 Mice的文章,发现SARS-CoV-2鼻内感染K18-hACE2小鼠会引起严重的神经系统疾病。

doi.org/10.3390/v13010132
鼻道通往大脑的路径比嘴巴更直接,且嗅觉和味觉的改变是COVID-19的症状之一,因此,研究人员在K18-hACE2小鼠(n=10)鼻腔内接种SARS-CoV-2细胞和PBS,感染SARS-CoV-2的小鼠在第4天开始体重明显减轻,并伴有嗜睡、动作缓慢、共济失调、呼吸困难等并发症,第6天小鼠全部死亡。这说明,SARS-CoV-2可能会感染K18-hACE2小鼠鼻甲,眼和嗅球内的细胞,并且某些COVID-19病例引起的嗅觉丧失的原因也得到了合理的解释。

SARS-CoV-2感染后K18-hACE2小鼠的存活,体重和病毒滴度分析
随后,研究人员基于qRT-PCR分析了感染SARS-CoV-2的小鼠的早期(第1天),中期(第3天)和晚期(第5和6天)器官和大脑的病毒载量。发现,在小鼠肺部和鼻腔的病毒量于第3天达到峰值,在第5天和第6天逐渐下降,而大脑中的病毒在第3天才被检测到,于第5天达到较高水平,且脑中的最高病毒滴度比肺中的最高滴度高约1000倍,表明SARS-CoV-2在脑中具有很高的复制潜力。

K18-hACE2小鼠的病毒嗜性分析
由于干扰素(IFN)具有广谱的抗病毒功能,能够影响细胞生长、分化、调节免疫功能等多种生物活性。在进一步实验中,研究人员检测了小鼠肺和脑中IFN-α的mRNA和蛋白水平,发现肺部IFN-α的mRNA和蛋白水平于第3天达到最高,在第6天下降,而大脑中仅在感染后第5天和第6天检测到高水平的IFN-α。有趣的是,尽管病毒在大脑中有较高的复制水平,但就IFN-α角度而言,肺中的相对水平更高。

肺和脑中干扰素-α(IFN-α)的mRNA和蛋白水平的分析
中枢神经系统的病毒感染通常伴随有炎症反应,如细胞因子/趋化因子的产生,研究人员基于qRT-PCR对IL-6、IL-1β、IFN-γ、TNF-α、CCL2和CCL3进行检测后发现,小鼠SARS-CoV-2感染细胞因子和趋化因子在大脑中的表达量远远超过肺中的表达量,表明在感染后期,炎症反应在大脑中比在肺部更为明显。

肺和脑中的细胞因子和趋化因子mRNA水平
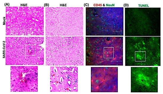
在小鼠感染病毒的第6天,研究人员从大脑包括皮质、小脑和海马区的部位检测到了与细胞相关的病毒抗原。脑切片的HE染色结果及免疫组化学分析显示,小鼠的神经元缩小并出现退化现象,血管周围出血,白细胞浸润增强。这一发现恰好解释了为何某些COVID-19患者的肺功能已经得到改善,但却有可能迅速复发并死亡。

SARS-CoV-2感染的大脑的组织病理学分析

在K18-hACE2转基因小鼠的大脑中检测到SARS-CoV-2感染的细胞
由于大脑中不存在免疫反应,因此变成了病毒最喜欢藏身之地。尽管COVID-19康复患者似乎已经逃离SARS-CoV-2的魔掌,但依旧可能面临包括自身免疫性疾病、帕金森氏病、多发性硬化症和一般性认知能力下降等健康问题。因此,对待狡猾的SARS-CoV-2绝不能放松警惕。
最后,小编想引用《三体》中的一句话表达自己对疫情的期许:“太阳就要落下了,你的孩子不害怕么?”,“当然不,因为他们知道,明天,太阳还会升起来的”
参考资料:



