脂肪酸(FA)在体内具有重要功能,可作为能量来源,并参与生物膜合成和能量存储。然而,脂肪酸如何跨过细胞膜进入细胞内,目前仍不太清楚。与葡萄糖和氨基酸不同,脂肪酸具有疏水性,这使得其运动难以追踪。有人认为,脂肪酸是经过被动扩散穿过细胞膜,但越来越多的证据表明,脂肪酸是在蛋白的参与下完成代谢组织的跨膜转运。
在已知的脂肪酸转运蛋白中,CD36是研究相对较多的一个。它主要定位于细胞膜上的caveolae凹陷结构,且脂肪酸吸收活性也依赖caveolae结构。小鼠脂肪和肌肉组织中大约50%的脂肪酸吸收是由CD36贡献的。CD36有一个脂肪酸结合位点,但具体如何转运脂肪酸,现在还是个谜。
复旦大学代谢与整合生物学研究院的赵同金课题组之前发现,两个棕榈酰基转移酶DHHC4和DHHC5分别在高尔基体和细胞质膜上对CD36进行棕榈酰化修饰,从而维持CD36的质膜定位并促进其脂肪酸吸收的活性。
最近,赵同金课题组与南京大学模式动物研究中心的陈帅课题组合作,进一步研究了CD36促进脂肪酸吸收的方式。他们发现,脂肪酸可通过CD36介导的内吞作用转运到细胞内,而CD36的动态棕榈酰化在这一过程中发挥关键作用。这项成果发表在《Nature Communications》杂志上。

CD36介导的内吞作用将脂肪酸转运到细胞
为了研究脂肪酸吸收期间CD36的亚细胞定位变化,研究人员用BSA偶联的油酸处理3T3-L1脂肪细胞,并开展内源性CD36的免疫染色。他们发现,从油酸处理后30分钟开始,CD36被内化并在细胞内显示出点状信号。到1小时,CD36开始包裹脂滴,并在2小时和4小时变得更明显。
由于CD36主要定位在caveolae凹陷结构上,故研究人员也分析了caveolae结构蛋白Caveolin1(CAV1)的动态定位。他们发现CAV1与CD36共同迁移。考虑到CD36的脂肪酸结合位点位于质膜外侧,而CAV1位于内侧,他们猜测CD36和CAV1在内化时相互依赖,其中CD36作为受体接受脂肪酸的信号,而CAV1提供结构上的支持。确实是这样,当脂肪细胞中的任一个被敲除时,另一个在油酸处理后也不再内化,这表明它们的内化源于CD36介导的caveolae内吞作用。
之后,他们选择PacFA作为脂肪酸类似物来追踪脂肪酸在细胞内的运动。如图1所示,PacFA是一种可以光活化的脂肪酸类似物,可参与点击反应。他们用PacFA处理脂肪细胞20分钟,然后利用N3-Alexa Fluor 488开展点击反应以标记PacFA,并对CD36进行免疫染色。通过这种方式,他们观察到了PacFA和CD36的清晰定位。在定量时,大约56%的PacFA与细胞内部的CD36结合。
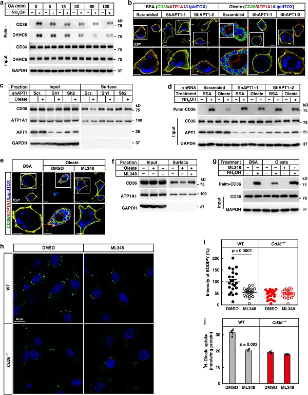
为了进一步确认CD36通过内吞作用促进脂肪酸吸收,研究人员试图敲除CAV1,看看对内吞作用的阻断是否会破坏脂肪酸吸收。他们在Cav1−/−小鼠(赛业生物提供)、 Cd36−/−小鼠以及 Cav1−/−;Cd36−/−小鼠的脂肪细胞中开展3H-油酸吸收实验。与野生型脂肪细胞相比,Cav1−/−脂肪细胞中的3H-油酸吸收降低40%。同时,双重敲除并没有进一步降低3H-油酸的吸收,表明caveolar内吞是CD36依赖的脂肪酸吸收所必需的。

图1. CD36介导的caveolar内吞将脂肪酸转运到细胞
CD36的动态棕榈酰化是脂肪酸吸收所必需的
之后,研究人员想了解CD36如何从质膜上解离。由于CD36的质膜定位需要棕榈酰化,因此他们想看看CD36在内化之前是否会去棕榈酰化。在油酸处理后5分钟内,CD36的棕榈酰化水平开始降低,并在30-60分钟左右达到最低点。DHHC5的棕榈酰化也有类似的观察结果。从培养基中去除油酸时,CD36和DHHC5被重新棕榈酰化,这表明CD36和DHHC5在脂肪酸诱导的内吞过程中经历了棕榈酰化的动态变化。
接着他们解析了CD36内吞的信号通路。首先鉴定了CD36的去棕榈酰化酶,目前主要有五种,包括APT1、APT2和ABHD17A–C。通过PalmB抑制等实验,他们发现APT1是CD36的去棕榈酰化酶。然后,他们敲除了3T3-L1脂肪细胞中的APT1或采用APT1抑制剂处理,发现APT1的敲除或抑制均可阻断油酸诱导的CD36内化和去棕榈酰化(图2)。

图2. CD36的去棕榈酰化是脂肪酸内吞所必需的
那么是什么导致了CD36的去棕榈酰化。研究人员猜想,DHHC5可能被灭活,因为DHHC的自身棕榈酰化是催化底物棕榈酰化的第一步。后续的研究发现,在油酸处理5分钟后,DHHC5上Tyr91位点的磷酸化显著增加,而30分钟后降至基底水平。他们还证实,DHHC5的动态失活是CD36内化所必需的。
于是,下一个目标是鉴定将DHHC5磷酸化的激酶。他们敲除了3T3-L1脂肪细胞中丰度相对较高的四个Src家族激酶(SFK),发现LYN的敲除可抑制油酸诱导的DHHC5磷酸化。利用两个shRNA敲除LYN后,油酸诱导的CD36内化以及CD36和DHHC5的去棕榈酰化被阻断,证实LYN可在Tyr91位点将DHHC5磷酸化。
不过,CD36的去棕榈酰化如何启动内吞作用呢?研究人员首先研究了dynamin、VAV和JNK的招募,这些蛋白曾被报道参与了CD36的内吞作用。利用各个蛋白的抑制剂处理后,他们发现所有抑制剂均能阻断油酸诱导的CD36内吞作用。同时,油酸处理导致VAV和JNK的磷酸化增加,表明CD36的去棕榈酰化需要招募这些蛋白。
通过进一步的研究,他们发现酪氨酸激酶SYK在油酸处理后被激活,并招募到质膜上。SYK抑制剂(piceatannol)的处理在很大程度上消除了油酸诱导的VAV和JNK磷酸化以及CD36的内化,但并不影响CD36去棕榈酰化,表明SYK激活是CD36去棕榈酰化的下游事件。SYK将VAV和JNK磷酸化,从而启动CD36介导的内吞作用。
内吞作用的阻断可抑制CD36的生理功能
最后,研究人员评估了CD36介导的脂肪酸内吞有何生理意义。由于脂肪酸吸收的主要功能是将脂肪酸储存在脂肪细胞的脂滴中,因此他们探讨了内吞作用的阻断对脂滴生长有何影响。与野生型脂肪细胞不同,Cd36−/−脂肪细胞经过油滴处理后几乎没有明显的脂滴生长,表明内吞作用的阻断可以消除CD36依赖性的脂滴生长。此外,通过靶向LYN或SYK来阻断内吞作用,也能够抑制饮食诱导肥胖小鼠的体重增加。
最后,研究人员评估了CD36介导的脂肪酸内吞有何生理意义。由于脂肪酸吸收的主要功能是将脂肪酸储存在脂肪细胞的脂滴中,因此他们探讨了内吞作用的阻断对脂滴生长有何影响。与野生型脂肪细胞不同,Cd36−/−脂肪细胞经过油滴处理后几乎没有明显的脂滴生长,表明内吞作用的阻断可以消除CD36依赖性的脂滴生长。此外,通过靶向LYN或SYK来阻断内吞作用,也能够抑制饮食诱导肥胖小鼠的体重增加。

图3. CD36介导的caveolar内吞促进脂肪酸吸收的工作模型
原文检索:
Hao, J., Wang, J., Guo, H. et al. CD36 facilitates fatty acid uptake by dynamic palmitoylation-regulated endocytosis. Nat Commun 11, 4765 (2020). https://doi.org/10.1038/s41467-020-18565-8.
赛业OriCell第三届细胞培养图片大赛开始啦

漂亮的细胞总是相似的,而狗带的细胞各有各的精彩。正逢一年一度的赛业OriCell第三届细胞培养图片大赛,我们征集了群里小伙伴们的建议,这次的比赛不仅比谁养得细胞更漂亮,还比谁养细胞更惨,让大家从成功和失败正反双面总结细胞培养的经验教训。快扫描下方二维码参加“OriCell第三届细胞培养图片大赛”吧,在分享经验造福广大科研汪的同时,还可以赢得心动大奖。




