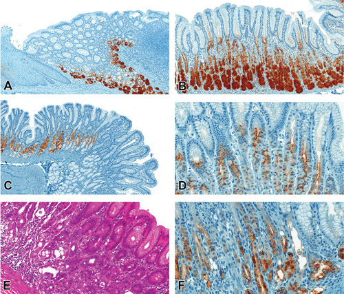
摘要:在非人灵长类动物的非临床研究中经常观察到胃粘膜损伤。由于胃的显微评价通常是一个终末过程,我们的目的是确定血清胃蛋白酶原I(PG I)是否可以作为检测猴胃粘膜损伤的无创生物标志物。在给药之前和/或在11个月的研究结束时,测定食蟹猴(n=166)血清PG I。有无胃粘膜变性猴的平均PGI值(UG/L)分别为101和28。对于基线和终端PG I数据的猴,,有(n=57)和无(n=76)腺体变性的猴的平均皱褶变化(终末PG I与基线PG I的比率)分别为4.1(11.3)和1(0.28)。曲线下面(AUC)积显示出血清PG I对腺体变性的中等诊断准确性,AUC(SE)0.789(0.04),随着基线的折叠变化,诊断准确性提高,AUC(SE)0.816(0.04),与大型内科治疗一致。这些数据表明,血清PGⅠ是食蟹猴药物性胃粘膜损伤的一个有用的生物标志物。关键词:猴 胃 胃蛋白酶原I 生物标志物摘要:虽然胃粘膜损伤在毒理学研究中并不少见,但是目前还没有非侵袭性生物标记物反映临床前物种的胃粘膜状态。胃蛋白酶原是参与肽水解的天冬氨酸蛋白酶,在脊椎动物的胃消化中起着重要作用。胃蛋白酶原在胃腔的酸性环境中作为非活性的前酶被转化成胃蛋白酶,在物种内和物种间存在几种同种形式的胃蛋白酶原。在人类中,胃蛋白酶原I和II(PG I和PG II)是2种主要的胃蛋白酶原。在食蟹猴中,PG I占优势,占胃提取物中总胃蛋白酶原的近90%,其余为PG II。胃蛋白酶原主要分泌到胃腔中,但小百分比扩散到血流中。人血清胃蛋白酶原的水平被认为反映胃粘膜的形态和功能状态。例如,虽然PG II更广泛地分布于人的胃,但胃粘膜萎缩与血清PG I水平的逐渐降低有关,而血清PG II水平通常保持稳定。因此,随着慢性萎缩性胃炎从胃窦向胃体发展,PG I/PG II比值的降低被用于监测萎缩性胃炎的发展和进展,萎缩性胃炎是胃癌发展的一个重要危险因素。PG-Ⅱ的升高对幽门螺杆菌引起的慢性胃炎的敏感性高于PGI或PGI/II比值的变化。由于幽门螺杆菌是胃癌发生的另一个危险因素,血清学越来越多地与高危人群中胃蛋白酶原的测定相结合。PG I和PG II的免疫测定已显示出用于监测患者胃损伤的诊断价值;然而,在非临床研究和兽医临床实践中,由于缺乏物种特异性免疫测定,胃蛋白酶原活性测定更常用作消化活性的替代物。由于这些催化测定缺乏特异性,因为它们除了胃蛋白酶外还测定其他血清蛋白酶的活性,因此需要开发特异性分析来评估胃粘膜状态。由于主细胞广泛分布在猴的胃中,血清PG I是胃粘膜损伤的一个极好的候选标志物。目的是通过对食蟹猴毒理学研究的回顾性分析,评价血清PG I作为药物性粘膜损伤标志物的诊断价值。动物:猴年龄2.5~6岁,在12小时光照/12小时暗循环中单独饲养(64~84°F,相对湿度30%~70%)。从食蟹猴(n=166)中收集血清用于PG I分析,试验品每天给雄性或雌性猴3次剂量(n=1~3),持续4至28天。除了一项吸入研究外,猴都通过口服途径给药,两项研究包括恢复期评估胃黏膜损伤的可逆性。所有研究的标准临床病理参数血样和血清PG I测定均在研究前1次或2次在研究结束时从未经麻醉的禁食猴的股骨血管中收集,除了2项研究,其中仅收集终末样本用于PG I分析。在静脉或肌肉注射盐酸氯胺酮后,在戊巴比妥麻醉下通过失血处死猴。将标本组织收集固定在10%中性缓冲福尔马林中,石蜡包埋,苏木精和伊红染色,进行组织病理学观察。主要病理过程的形态学诊断基于对胃切片的综合评价,包括贲门、胃底、胃体和胃窦。病理组织学严重程度评分从0(无变化)到4(严重病理)进行评估。组织病理学评分=0的动物定义为“阴性”,组织病理学评分>0的动物定义为“阳性”。PGI 分析:用人PGI ELISA试剂盒测定猴血清PGⅠ。在对研究样本进行评估之前,进行了方法验证程序,以确认该试剂盒为测定猴血清中PG I提供了可接受的性能标准。使用猴血清进行批内和批间精密度、线性度和恢复评估。在96孔板的20个单孔上测定猴血清样品的精密度。对于批间精密度,样品在96个孔板的5个上运行四倍,并且BIIT HIT质量控制样品在96个孔板中的10个重复运行。通过测定新鲜采集的样品中PG I的浓度,以及冷冻保存(20°C)6个月后,评价PG I在猴血清中的稳定性。对5只雄性灵长类动物和4只雌性灵长类动物(n=18只雄性猴和10只雌性猴)的血清样品中PG I的生物学变化进行了评估,其中每个对照组的动物数量从1到8只。对照组猴取样前禁食一夜,在5至63天连续取样2至6次,在研究结束时检查胃组织病理学。还测定了8只猴(n=4只雄性和4只雌性)在4周样本收集中的血清PG I浓度,收集了未禁食时的样本,以评估食物对血清PG I浓度的影响。免疫组织化学:在经Ventana Discovery系统染色的福尔马林固定石蜡包埋的猴胃切片中,评估PG I在猴胃中的定位。ELISA法检测猴血清具有良好的精密度(检测内CV%<6,检测间精密度CV%<15),稀释线性(r2=.999),回收率(95-109%)。在-20℃保存6个月后再分析的血清样品中,原批Biohit试剂不能测定PG I,但PG I的浓度与新鲜样品的相应值相当,因此血清PG I在-20℃下最长可稳定6个月。PG I值无性别差异:雄性猴血清PG I平均基线浓度为31.7μg/L,雌性猴血清PG I平均基线浓度为28.2μg/L。胃组织病理学与PGⅠ定位:胃组织学检查分为六个大体形态诊断。大约一半的猴没有观察到胃部异常,腺体变性伴或不伴再生是最普遍的病理发现。腺体变性的特征是单细胞坏死、脱落或缺失,氧化性腺上皮常伴有腺体扩张,腺体内衬上皮减弱和管腔碎片。一群腺体变性的猴有再生的证据,表现为细胞质性嗜碱性细胞增多和腺上皮的有丝分裂活性增加。侵蚀或溃疡的发生率很低,并且在大约一半受影响的猴中与腺体变性/再生有关。腺体变性伴或不伴再生、粘膜糜烂或溃疡是胃损伤的主要表现,腺体变性的发现可作为ROC分析的参考胃病变。嗜酸性或单核性粘膜浸润和间质纤维化是发病率相对较低的继发性发现,通常与腺体变性/再生有关,在ROC分析中未进行评估。免疫组织化学检测食蟹猴胃粘膜中PG I在正常猴和药物性胃粘膜变性猴胃定位在主细胞。在猴胃中,PG I-免疫反应性主要定位于眼底和身体内的主细胞,在幽门或胃窦的免疫反应性有限,在缺乏主细胞的贲门中没有表达。PG I在胃腺颈部的免疫反应性表现为核上和顶膜染色以及滤泡形成,与作为前酶的贮存与外体释放方式相一致。PGⅠ变化与胃黏膜损伤:经11项毒理学研究,猴血清中PG I值显著升高,药物性胃粘膜变性猴的平均值=101(无胃病变猴为28.5)。相对于测量基线PG I值,研究终止时PG I的折叠变化相对于这些猴的基线值增加约4倍。对于胃粘膜糜烂/溃疡的猴也观察到类似幅度的增加。PGⅠ在腺体变性诊断中的应用:使用胃粘膜变性阳性分类器变量和无异常的阴性分类器对PG I数据进行ROC分析。ROC分析表明血清PG I对预测胃粘膜变性具有中度诊断价值。结论:血清PG I测定对药源性食蟹猴胃粘膜损伤有诊断价值。评价血清PG I浓度相对于基线值的变化能优化诊断性能。



