
57岁的Izpisua Belmonte教授,出生在西班牙一个农民家庭,由于生活贫困, Belmonte八岁的时候就辍学去田里干活了,他的母亲没有读过书。16岁时Belmonte才有机会重新入学,然后他很快就赶上了学习进度,老师鼓励他去西班牙巴伦西亚大学(University of Valencia)。

巴伦西亚大学药学院(图片来源 Valencia)
当时年少的他对科学毫无兴趣,一门心思都在哲学上。但在他前往哲学系的路上,一座美丽的建筑吸引了他,一时兴起,他就进了药学院。(原来选专业还能这样操作,开来Belmonte也是任性boy)
然后,Belmonte在意大利读博期间做脂肪组织研究,但是关于肥胖的课题让他觉得厌倦。之后他搬到了德国海德堡的一个实验室,帮助开展胚胎基因学的开创性研究时,Belmonte才发现这就是他想要的。
1993年,Belmonte加入了全球最著名的生物医学研究所之一,Salk研究所。不久后,胚胎干细胞的研究开始兴起,Belmonte看到了它的潜力。2003年,西班牙通过了一项批准干细胞研究的法规,他帮助建立了巴塞罗那再生医学中心以便开展干细胞研究工作。与此同时,这也让他成为了西班牙干细胞研究的重量级大咖。

实验动物(图片来源 Izpisúa Belmonte Lab)
但是在美国和西班牙的实验室,Belmonte教授并不满足于研究胚胎学的标准实验动物(鸡和老鼠),他曾表示,自己的实验室就像一个动物园。
1全球首批人兽嵌合体

2015年,Belmonte在西班牙(图片来源 californiastemcellreport.blogspot.co.uk)
此外,Belmonte的脑中还一直存在着关于“嵌合体”的想法,经过多项研究的开展,他的研究团队最终选择建立“人猪”嵌合体。但是,让人类细胞在猪体内生长远比他们想象的困难得多。

右一:吴军博士(图片来源 STAT)
最后,这项研究花了4年时间,Belmonte实验室的吴军博士作为该项目主要研究人员,表示他们已经不抱有什么希望了。坦白来讲,这就是一项不可能完成的任务!但是他们做到了,尽管成功率很低。该研究团队通过在猪胚胎里注入人类干细胞,实现了10万个人类细胞中有1个能够在猪胚胎里存活!

在4周大的嵌合猪胚胎中,人类细胞呈绿色显示在这颗发育中的心脏(图片来源 STAT)
但显而易见,在猪身上培育人体器官还有很长很长的路要走。而这一切在CRISPR的“横空出世”之后,研究似乎变得明朗起来。2017年1月,该研究团队在《Cell》杂志上发文称,将人类干细胞注入超过2000个猪胚胎中,并使这些胚胎在母猪体内生长4周,猪胚胎开始发育出含有人类细胞的器官。
https://v.qq.com/x/page/z0520csp6oj.html
视频来源 Salk研究所
嵌合生物体研究
当然这些人猪“嵌合体”在胚胎期就被销毁了,但是该实验说明这项技术最终可用于培育供移植的人体器官,从而弥补移植器官供体的短缺。
是的,没错!-特朗普

(图片来源 cdn.theatlantic.com)
与此同时,因为伦理道德问题,该研究也引来了无数争议。但据斯坦福大学的 Greely 预测,与此有关的伦理争论将会终止。他曾表示,在美国,想要对付生物伦理学家,最好的王牌就是特朗普。你只要从这个角度出发(比如说嵌合体可以为濒死的患者提供移植器官),那么在政治上,你已立于不败之地。”
2 CRISPR首次编辑不分裂细胞
2016年11 月,四川大学华西医院开展全球首例CRISPR人体试验的热度还未消退,Belmonte带领的研究团队在基因编辑领域又搞了个大新闻,新CRISPR技术竟然治疗失明!相关研究发表在《Nature》杂志上。

从左至右: Jun Wu(吴军)、ReynaHernandez-Benitez、Keiichiro Suzuki 和Belmonte(图片来源 salk.edu)
之所以重磅,是因为包括CRISPR-Cas9在内的多种基因编辑技术都具有“局限性”,只能在分裂能力强、不成熟的细胞内进行基因编辑,而无法在脑细胞、眼部细胞和神经元细胞等成熟的、非分裂细胞中进行准确地修复基因。
https://v.qq.com/x/page/t0347nbw6qx.html
视频来源 Salk研究所
新的基因编辑技术可以部分恢复盲鼠的视力
在此次研究中,科学家首次证实了基于CRIPSR的技术能够将DNA插入到非分裂细胞的靶向位置。他们靶向了一个DNA修复的细胞通路—NHEJ(非同源性末端接合),它可以修复常规的DNA断裂。然后他们设计了一个针对NHEJ的“核酸靶向插入系统(HITI)”,利用腺病毒做载体,让它们进入神经元中,通过CRISPR-Cas9技术将其中携带的基因敲入缺失的特定位点。之后,研究人员在色素性视网膜炎(RP)小鼠模型中进行了验证,将构建好的缺失部分的拷贝连接上载体,注射入视网膜下。在治疗5周后发现,已经全盲的小鼠们对光照刺激有了反应,损伤的视网膜细胞也在逐渐恢复!
除了在成熟细胞中能够发挥作用,相对于现有的基因编辑技术,这项新技术在不成熟细胞中的编辑效率是要高出10倍!作为该研究的通讯作者,Belmonte表示:“对于这项新发现,我感到非常兴奋,因为这是过去从未做到过的事情,在未来的几十年里,它将拥有巨大的发展前景。”
3 首次通过细胞重编程实现返老还童
2006年,日本科学家山中伸弥发现,只需要提供Myc、Oct3/4、Sox2与 Klf4四个转录因子,就足以让成熟细胞穿越“时光隧道”,变回胚胎干细胞。2012年,山中伸弥教授也因此获得了的诺贝尔生理学或医学奖。
受此影响,Izpisua Belmonte教授萌生了一个奇妙的想法:如果成熟细胞在这四个转录因子的作用下,能够变回最初干细胞的模样,那么倘若我们降低这几个转录因子的浓度,是否就能让细胞变成几年前的样子呢?如果可以,这或许意味着生物能够返老还童?
事实证明,确实可行!

Belmonte教授研究团队(图片来源 Salk研究所)
2016年12月,Belmonte团队在《Cell》期刊上发文,宣布一种新的基因疗法能够使得早衰小鼠的寿命延长了30%。
在该项研究中,科学家将Oct4、Sox2、Klf4、c-Myc四种能够诱导干细胞产生的转录因子注射到了早衰的小鼠体内。几个月后的实验结果却相当令人惊讶!接受注射的小鼠平均寿命从18周延长到了24周,足足延长了三分之一。这些小鼠的脾脏、皮肤、肾脏、血管和胃部无论从外观,还是从功能上看,都变得更为年轻。这些器官也能够重新产生新的细胞,进行自我更新。而且值得注意的是,在正常衰老的小鼠中,这四个转录因子也同样起到了“返老还童”的作用。

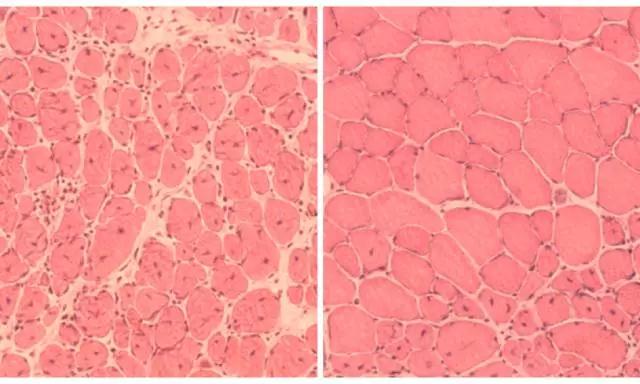
细胞重编程提高了老年小白鼠肌肉恢复能力,(左)老年小白鼠损伤的肌肉恢复后(右)经过细胞重编程的老年小白鼠损伤的肌肉恢复后(图片来源 Cell)
一时间,众多领域大咖对这项研究赞誉有加,并认为它“太不可思议了”!被评为2016年度十大科学突破榜单TOP4。
4 利用CRISPR成功修复人类胚胎中的基因缺陷

将一种基因修复酶和一名携带某基因突变(可导致肥厚型心肌病)的捐赠者的精子一同注射后,所生成的胚胎的发展变化(图片来源 俄勒冈健康与科学大学)
2017年7月,由俄勒冈健康与科学大学、Salk生物学研究所和韩国基础科学研究所牵头的一项研究表明,他们通过CRISPR技术,成功的改写了单细胞胚胎信息,完成首个“美国制造”的编辑人类胚胎,证明人类可以通过基因编辑技术,高效安全的对胚胎DNA进行编辑。值得注意的是,深圳华大基因也参与了这项工作,主要负责胚胎全基因组测序数据的验证工作。

主要研究人员:salk生物学研究所的Belmonte、俄勒冈健康与科学大学胚胎细胞和基因治疗中心的项目负责人Shoukhrat Mitalipov博士、韩国基础科学研究所的Jin-Soo Kim
2017年8月,这一重磅研究公开发表在《Nature》杂志上,研究人员称,他们利用CRISPR-Cas9基因编辑工具,修复了58个胚胎中42个胚胎的可导致肥厚型心肌病的基因突变,成功率为72.4%。除一个胚胎外,他们还成功消除了其他所有胚胎中的嵌合现象。(肥厚型心肌病是导致年轻运动员心脏性猝死的常见杀手,估计每500人中就有1人患有此病。研究使用的胚胎由捐献者的卵子和精子结合而成,其中捐卵者身体健康,而捐精的那位成年男性不仅携带肥厚型心肌病的基因突变,还有该疾病的家族史)
5 无需切割DNA的新CRISPR技术可治疗多种疾病
众所周知,CRISPR基因编辑技术一经发现,就因其简便的操作、精准的 DNA 靶向及剪切功能,迅速风靡整个生命科学领域。被称之为“上帝的剪刀”,顾名思义,科学家对CRISPR技术的钟爱大部分都是集中在,利用其进行插入或删除基因以修复致病突变。但直接通过切断DNA双链发挥作用,就相当于是将遗传信息的赤裸裸的暴露在毫无保护措施的情况下,从而面临着无法预料的错误剪切或插入等问题,或导致不可逆的伤害。
https://v.qq.com/x/page/s0516n7euwf.html
视频来源 Salk研究所
新CRISPR技术
为了避免引发以上技术痛点,Belmonte教授的实验室开发出了无需切割DNA的新CRISPR-Cas9技术,首次证明在保持DNA完整性的同时,利用表观遗传编辑技术能够改变动物的表型。相关研究结果发表在权威学术期刊《Cell》上。

从左至右:Hsin-Kai (Ken) Liao、Belmonte 和Fumiyuki Hatanaka (图片来源Salk研究所)
作为论文的通讯作者,Belmonte教授表示:“切割DNA或许会引入新的突变以至于得不偿失,这是遗传学领域的一个重要瓶颈。”

Belmonte实验室开发基于Cas9的表观遗传基因活化系统与对照(左)相比,在经处理的小鼠(右)中增强骨骼肌质量(顶部)和肌肉纤维生长(底部)(图片来源于Salk研究所)
在此次研究中,科学家首次将以表观遗传为靶向的 CRISPR-Cas9 系统应用于小鼠的沉默基因激活、遗传缺陷修正及细胞功能类型诱导分化上,结果表明,针对小鼠的 I 型糖尿病、肾损伤及杜氏肌营养不良(DMD)均有显著的治疗效果。
通常情况下,CRISPR-Cas9 由指挥者gRNA 和剪刀手Cas9这两个重要部分组成行使基因编辑的功能。不同于大多数CRISPR-Cas9技术使用的由20个核苷酸组成的sgRNA相,该研究团队开发的新技术中使用的是只有14个核苷酸“dgRNA”。虽然仍旧可以使 Cas9 定位在特定序列,但却阻止了Cas9切割DNA的行动。
更令人高兴的是,研究人员在多种疾病小鼠模型中对这项新技术的功能进行验证,发现效果十分显著,能够逆转多种疾病进展。而且除了I 型糖尿病、肾损伤及杜氏肌营养不良(DMD)之外,Belmonte还将基于表观遗传修饰的 CRISPR-Cas9技术视为治疗诸如阿尔兹海默病及和帕金森病等神经障碍疾病等的有效工具。
此外,值得一提的是,Izpisua Belmonte教授还担任了由深圳国家基因库承建的国内首个高通量基因组测序与合成编辑应用省级重点实验室的学术参谋。
综上,从全球首批人兽嵌合体、利用CRISPR新技术首次编辑不分裂细胞、首次通过细胞重编程实现返老还童、完成首个“美国制造”的编辑人类胚胎到首次开发出无需切割DNA的新CRISPR技术,Belmonte教授团队一直在挑战着不可能,做着别人不敢想、不敢做的事。在不久的将来,我们也期待着看到这些新技术做到真正意义上的改变人类医学。
参考出处:
http://belmonte.salk.edu/index.php
https://www.statnews.com/2017/08/07/pig-human-chimera-izpisua-belmonte/
http://www.latimes.com/science/sciencenow/la-sci-sn-crispr-gene-expression-20171207-story.html
http://www.salk.edu/news-release/new-gene-editing-technology-partially-restores-vision-blind-animals/?platform=hootsuite
http://www.cell.com/cell/fulltext/S0092-8674(16)31752-4
https://www.salk.edu/news-release/new-findings-highlight-promise-chimeric-organisms-science-medicine/



