2019年的春节注定是一个不平凡的春节,因为在大家热热闹闹过大年的时候,中国科学家陈小平用疟原虫感染治愈晚期癌症的伟大发现震惊了全世界,让这个春节更加热闹非凡。
就在今天,2019年2月9日中央电视台央视一套《新闻30分》节目向全球宣布了陈小平科学研究团队的重大发明《疟原虫感染免疫疗法治疗晚期癌症》,就此,大家也无需再怀疑再担心是谣言,一切尘埃落定。

2018年12月24日在 中科院举办的SELF格致论道讲坛“粤见未来”主题活动上,中国科学院广州生物医药与健康研究院研究员陈小平教授向全世界宣布,由他带领的科学研究团队经过十多年的奋力拼搏,用疟原虫感染的免疫学方法成功地治愈了晚期癌症!

顿时国内的网友们炸锅了,整个春节被疟原虫感染治愈癌症的故事霸屏了。世界沸腾了!全球震惊了!
为什么会震惊全球呢?因为他所研究的疟原虫免疫疗法可以杀死各种类型的癌细胞,无论是肺癌、肝癌、乳腺癌、结肠癌等实体肿瘤。这可是目前世界是唯一真正可以称得上的“广谱抗癌神药”。
如果大家还记得前不久也就是2018年11月26日,美国食品和药物管理局FDA加速批准由拜耳Bayer的泛肿瘤组织靶向抗癌药VITRAKVI拉罗替尼上市,用于治疗携带 NTRK基因融合的局部晚期或转移性实体瘤的成人和儿童患者。这就意味着不管是什么种类的肿瘤癌症(组织/细胞/部位),只要有NTRK基因融合,就可以使用 larotrectinib(拉罗替尼)进行治疗。网上一时号称为广谱抗癌神药。

然而larotrectinib(拉罗替尼)仅对美国当前不到1%肿瘤患者人群有效。在美国每年新增的170万例肿瘤患者中,不到5000人罹患与NTRK有关的癌症。
这要是larotrectinib(拉罗替尼)VS疟原虫免疫疗法的话,那还真是小巫见大巫了,差别何止是几条大街,简直是甩出地球外去了。这绝对是要让地球抖上几抖,震惊世界的节奏。疟原虫免疫疗法开创了癌症治疗的新局面,不是针对某一种单一癌症类型,而是针对全身癌症细胞的绝杀。这一疗法将为进一步研发广谱抗癌癌症疫苗提供了强有力的基础支持。
为什么中国科学家陈小平团队能够研发出这么牛叉的癌症免疫疗法呢?先让大家看看这个学科研究团队的阵容就非同一般。团队掌门人是鼎鼎大名的中国工程院院士钟南山教授,二掌门就是团队技术核心人物陈小平教授。另外还有外援美国哈佛大学、OncoVent公司加入阵营。

钟南山院士与美国疟疾学家John Adams教授见证陈小平教授、OncoVent公司史跃年教授签约仪式
钟南山:中国工程院院士教授博士导师,1936年出生,1960年毕业于北京医科大学医疗系, 1979年-1981年赴英国爱丁堡大学医学院及伦敦大学呼吸系进修,现任广州呼吸疾病研究所所长,中华医学会会长和中华医学会呼吸分会主任委员,广州医学会会长及广东医学会副会长; 联合国世界卫生组织慢性呼吸疾病医学顾问。取得国家、省市各级科研成果20余项,2005年获国家科技进步二等奖,2004获年广东省科技进步特等奖,省科技进步一等奖,并获得了广东省和广州市科技进步个人特等奖。2003年获何梁何利科技奖.。在国内外医学杂志发表论文150余篇,其中国外发表论文被SCI引用81次,主编了《英中日图解医学辞典》《Asthma》《现代呼吸病进展》《解读急性传染性非典型肺炎预防与对策》《传染性非典型肺炎临床诊断与治疗》。

陈小平:1998年中山医科大学(现中山大学医学部)病原生物学博士学位毕业。曾赴美国加州大学(UCLA)医学院作为访问学者,从事艾滋病和免疫学研究。现任中国科学院广州生物医药与健康研究院(GIBH)感染与免疫研究中心主任,呼吸疾病国家重点实验室副主任,研究员(PI),博士生导师,中国科学院大学和中国科学技术大学兼职教授。长期从事疟疾、艾滋病和癌症的转化医学研究,发现一个"疾病三角形":即疟疾和艾滋病的相互作用、疟疾和癌症的相互作用,从一个独特的角度去探讨重大疾病的防治策略。曾获美国NIH、国家"863"、"973"、国家重大科技专项、中科院重大科技创新项目、国家自然科学基金等十多项基金的资助。在PNAS,Clinic Infect Dis, Scientific Reports, Organic Letters, Retrovirology, J Virol,J AIDS, Human Gene Therapy, PLoS ONE, Vaccine, Cancer Science, AntimicrobAgents Chemother, BMC Immunolgy等国际杂志发表论文80余篇,申请国家发明专利11项,国际发明专利1项,其中一项发明专利以630万元转让给生物医药企业。


现在就来讲一讲这个癌症疟原虫免疫疗法的故事,这绝对是一个很经典的故事。
先看到这癌症和疟原虫就足够让你大吃一惊,癌症谁都知道几乎是不治之症,是死亡之症,是人类的最大杀手。再看着疟原虫更是让人心惊肉跳,这不就是肆虐非洲大地的疟疾病的罪魁祸首吗?疟疾是祸害非洲的最大瘟疫。当然在中国也是家喻户晓的瘟疫,中国人过去都称之为“打摆子”,也就是疟疾。过去如果患上疟疾那基本上是没有救的,100多年前也经常肆虐中国大地,瘟疫遍地。据史书记载,清朝年间康熙皇帝曾三次亲征噶尔丹,其中一次亲征过程中得了疟疾,差一点要了他的性命。幸好有法国的传教士给他带来了金鸡纳霜,也就是奎宁,他吃了之后很快就好了,最后战胜了噶尔丹,这是历史上比较有名的有关疟疾的故事。

清朝康熙皇帝
但是后来这奎宁对疟疾就不太灵光了,才有了我国著名科学家首位诺贝尔生理学或医学奖获得者屠呦呦奶奶艰苦研发青蒿素的故事,她的研究的青蒿素帮助挽回了数百万人的生命,为拯救全世界人的生命做出了贡献。因此,2019年1月8日,英国BBC发起“20世纪最伟大人物”评选活动的“科学家篇”名单中,中国首位诺贝尔生理学或医学奖得主屠呦呦与居里夫人(Maria Curie)、爱因斯坦(Albert Einstein)以及数学家艾伦·图灵(Alan Turing)共同进入候选人名单,也是唯一一位在世的候选人。

这疟疾病终于被人类征服了,但这癌症和疟疾好像风马牛不相及,离得十万八千里吧。可是往往能干出大事的人他就是和一般人的思维不同,1985年,在陈小平教授还是一位中山医科大学的研究生时候,有一天老师讲疟疾的流行病学时,挂出一张地图,与下图很像。疟疾主要流行在非洲、赤道附近,因为多蚊子的地方疟疾就多。

2008年全球疟疾发病率
过了几个星期,讲到了肿瘤流行病学时,老师又挂出一张图片,与下图差不多。

2008年全球癌症死亡率
就在陈小平同学看到这个地图一瞬之间,他的脑海里突然闪现出:好像哪里多疟疾,哪里就少肿瘤死亡。从此他就发现了疟疾与癌症的关联。
由于当时世界卫生组织并没有公开的数据库,直到过十几年有了关于疾病的公开数据库后。他的团队与美国哈佛大学的统计学教授进行合作,哈佛教授了解他的发现和研究后觉得非常重要,很乐意一起研究这个课题。
他们收集了全球所有国家疟疾发病率和肿瘤死亡率的数据,还搜集了包括联合国的公开数据库、世界银行的公开数据库、美国有关人口的公开数据库……所有能够用的数据库他们都用了。把所有可能混杂的影响因素都剔除后,确实发现疟疾的发生率跟肿瘤的总体死亡率呈显著的负相关,这个论文《Worldwide malaria incidence and cancer mortality areinversely associated》已经发表在国际期刊《InfectiousAgents and Cancer 传染因子与癌症》(DOI 10.1186/s13027-017-0117-x。)

仅仅靠大数据的分析还不能相信疟原虫感染对肿瘤有治疗效果。于是,他们进行了一系列的小鼠模型研究,历经十多年,用了成千上万只小鼠,有肺癌、肝癌、乳腺癌、结肠癌等实体肿瘤的小鼠。终于证实疟原虫感染的确显著延长了荷瘤小鼠的寿命。最终确定疟原虫感染的确对肿瘤有相当好的疗效。
但是背后的分子机理是什么?作为科学家,不能看到现象就结束了,于是他们进行了一系列研究,经历了14年的机理探讨,发现疟原虫感染可以非常强烈的激活天然免疫细胞(NK细胞),这种细胞激活后可以杀灭一部分肿瘤细胞。此研究报告《Antitumor Effect of Malaria Parasite Infection ina MurineLewis Lung Cancer Model through Induction of Innateand AdaptiveImmunity》在线发表在美国《公共科学图书馆-综合(PLoSONE)》上,钟南山教授为共同研究者。研究发现,疟原虫感染(疟疾)显著抑制小鼠肺癌(Lewis肺癌)的生长和转移,显著延长荷瘤小鼠的生存时间;疟原虫感染明显抑制肿瘤细胞的增殖,促进肿瘤细胞的凋亡,抑制肿瘤血管的生成;疟原虫感染激活机体天然免疫系统,诱导产生大量的IFN-γ和TNF-α等,明显增强NK细胞的杀伤活性;疟原虫感染诱导机体产生肿瘤局部及全身系统性的肿瘤特异性免疫反应,能使大约10%荷瘤小鼠的肿瘤完全消退,并能长期保存有效的肿瘤特异性免疫记忆,研究还发现,疟原虫感染与肺癌DNA疫苗联合应用有明显的协同作用。该项研究表明,疟原虫感染通过激活天然免疫和特异性免疫反应并抑制肿瘤血管生成,进而抑制肿瘤生长和转移。疟原虫感染可用于肺癌的免疫治疗,也可能作为携带肿瘤抗原的新载体用于开发新型有效的治疗性肺癌疫苗。

当肿瘤细胞死亡后,它释放的抗原跟疟原虫感染同时存在的情况下,激活了T细胞。我们知道,T细胞是抗病原体和抗癌的主力军,T细胞被激活,特别是肿瘤内部的T细胞被激活,可以非常有效的杀灭癌细胞。

这个原理如果用老百姓的话说,就是癌细胞分泌一系列信号,使我们的免疫系统睡眠、不工作,而疟原虫感染恰好唤醒、激活了免疫系统,使免疫系统重新识别癌细胞,从而杀灭癌细胞。但毕竟经过了十几年的研究,发表了一系列科学论文,原理并没有这么简单。
有意思的是,在疟原虫激活了免疫细胞的同时,它还干了一件非常漂亮的工作:使患肿瘤的小鼠肿瘤里的血管几乎消失,也就是说抑制了肿瘤血管生成,使肿瘤没有血管供应,从而切断营养供应。
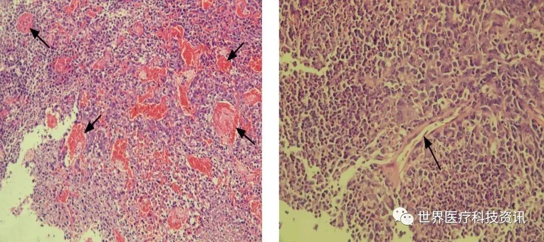
这个作用是非常明显的。来看下图,左边是没有疟原虫感染的肺癌的组织,有大量的血管,里面有很多红细胞。右边是有疟原虫感染的肺癌组织,几乎没有血管,好像有一条血管,但里面几乎没有红细胞,也就是说非常彻底的切断了肿瘤的血液供应,让肿瘤不能生长,或者让肿瘤细胞饿死。
这个研究成果《Exosomesfrom Plasmodium-infected hosts inhibit tumor angiogenesis in a murine Lewislung cancer model》2017年6月26日在线发表在nature期刊Oncogensis上。该研究首次发现疟原虫感染小鼠血浆外泌体(exosomes)能够抑制肿瘤血管生成,并初步阐明其分子机制。该研究加深了对疟原虫感染宿主所分泌的外泌体与肿瘤血管生成之间的相互作用的认识,为开发疟原虫感染来源的外泌体作为一种新型抗肿瘤制剂奠定了基础。外泌体是细胞外膜泡,在细胞与细胞间通讯中起作用。在病原体感染宿主时,外泌体也发挥重要作用。但是,在上述论文发表之前,科学家们并不清楚疟原虫感染宿主所产生的外泌体是否能够抑制肿瘤血管生成,更不知道其中的分子机制。
研究人员选用肺癌小鼠模型作为研究对象,从感染疟原虫的小鼠血浆中获得外泌体,并将这些外泌体注射到小鼠的肿瘤内部,并与没有疟原虫感染的小鼠血浆外泌体进行对照。研究发现,疟原虫感染小鼠的血浆外泌体显着抑制肿瘤血管的生成。进一步的研究发现,疟原虫感染的小鼠血浆外泌体通过至少四种特殊的微小RNA(miR16-5p/17-5p/322-5p/497-5p)抑制血管内皮细胞VEGF受体(VEGFR2)的表达从而阻断血管生成的信号通路。这些发现加深了人们对疟原虫抗癌机理的理解,并为疟原虫疗法治疗癌症的临床研究提供进一步的理论依据。

左:肺癌小鼠的肿瘤细胞右:疟原虫切断肿瘤营养供应
历史上曾经有科学家利用疟原虫感染治疗一种非常严重的疾病——神经性梅毒,是晚期梅毒的一种。在上个世纪早期,青霉素还没有被发明,神经性梅毒像今天的晚期癌症一样被称为“不治之症”,得了神经性梅毒相当于判了死刑。
奥地利科学家、精神神经科教授Julius Wagner-Jauregg,有一天回到病房查房,一个病人突然跑到他身边说:教授我今天发高烧了。教授非常惊讶,因为这是一个瘫痪的病人,居然走到了他跟前。
教授说:你怎么会走路了?病人也才恍然发现自己能走了。教授觉得发烧跟病情好转一定有关系,最后发现这个病人得了疟疾,感染了疟原虫。
接着,他做了一个非常大胆的举动——把这个病人的血抽出来,分别注射给18个瘫痪病人,这18个病人的病情都有不同程度的好转。一天之内,整个欧洲包括前苏联,都知道疟原虫疗法可以治疗神经性梅毒。
消息也很快传到美国和加拿大,整个西方世界都在用疟原虫疗法治疗神经性梅毒,仅仅十年,这个科学家就获得了1927年诺贝尔生理学或医学奖。
但好景不长,1947年人类发现了青霉素,青霉素对梅毒非常有效,用不到疟原虫疗法了,所以疟原虫疗法30年后退出了历史舞台。
但是我们现在的医学教科书里没有这个案例,很多医生都不知道。正是因为这样的一个发现和这样的一个历史,陈小平教授团队提出利用疟原虫免疫疗法治疗晚期癌症的临床研究。他们跟广州医科大学的钟南山院士合作,接着与广州复大肿瘤医院、云南昆钢医院开展临床研究,下图是当时启动会的现场。

左起:陈小平、钟南山、柯宗贵
从灵感的出现到申请临床试验,经历了30年;从申请临床试验再到批准历经了3年的伦理答辩,这确实是一个漫长而艰辛的历程。很多医生担心,一个晚期癌症的病人,再给他感染疟原虫不是要他的命吗!
当告诉他们用屠呦呦老师发明的青蒿素,把疟原虫控制在一个安全的水平,才终于说服了这些医生。还有医生提出了一个更挑战的问题:在医院开展这个疗法,疟原虫会不会传染给其他病人?
广州的确有很多蚊子,蚊子是传播疟疾的媒介。但广州的蚊子大部分是伊蚊、有花斑的花蚊,并不是传播疟疾的按蚊。花蚊咬我们的时候,身体跟我们的皮肤是平行的,而传播疟疾的按蚊咬人的时候,尾巴是翘起来的,跟皮肤呈45度角。
假如有谁在广州发现按蚊可以奖励一万块钱,广州CDC(疾病预防控制中心)曾经有这样的奖励政策,但是几十年过去了,没有人发现有这种按蚊。然而医生还是不敢相信,又请来了CDC的专家来医院检测是否有按蚊,搞了几十天确实没有发现,最后终于通过了伦理关。

现在已经有30多例病人接受了治疗,最初的10例已经观察了一年,这10例病人都是任何其他治疗方法都无效或者是耐药的、无路可走的病人。
这10例病人中观察到5例是有效的,其中2例可能已经被治好。怎么叫被治好了?肿瘤没有了,或者肿瘤死掉了。就讲一讲这2例可能已经被治好的病人。

编号01003的这位肺癌患者,来自山西太原。给这个病人打1毫升含有疟原虫的血,这个治疗就完成了,就是打一针这么简单。这个红色的箭头代表青蒿素,把它压到很低水平,这样病人就不会有严重的并发症或副作用。

大概一个月,发现这位患者颈部所有的转移病灶完全消失,然后用CT看他肺部的病灶,发现病灶还在,心里一下就凉了。我们请胸外科的教授会诊,他一看胸片说这个性质发生了改变,治疗前是呈螃蟹状的形态,治疗后是斑块状,没有伪足,可能是一个死的病灶。
他建议用微创手术把这个病灶拿出来。这位病人同意了教授的建议,拿下来以后发现,这个肿瘤的确已经被包膜包裹了,不容易转移。
把这个肿瘤切开来看,这个病人的病灶大部分都是免疫细胞,跟小鼠实验中切开的肿瘤完全一致,大量的免疫细胞杀灭了肿瘤细胞。到现在差不多两年,这个患者没有复发,每天都出去散步,本来判断3-5个月的寿命,现在已经差不多两年了。
第二个病例是晚期前列腺癌,多发性骨转移,疼痛的很厉害,要服用很多止痛药,而且不能正常走路,来的时候就是一拐一拐的。
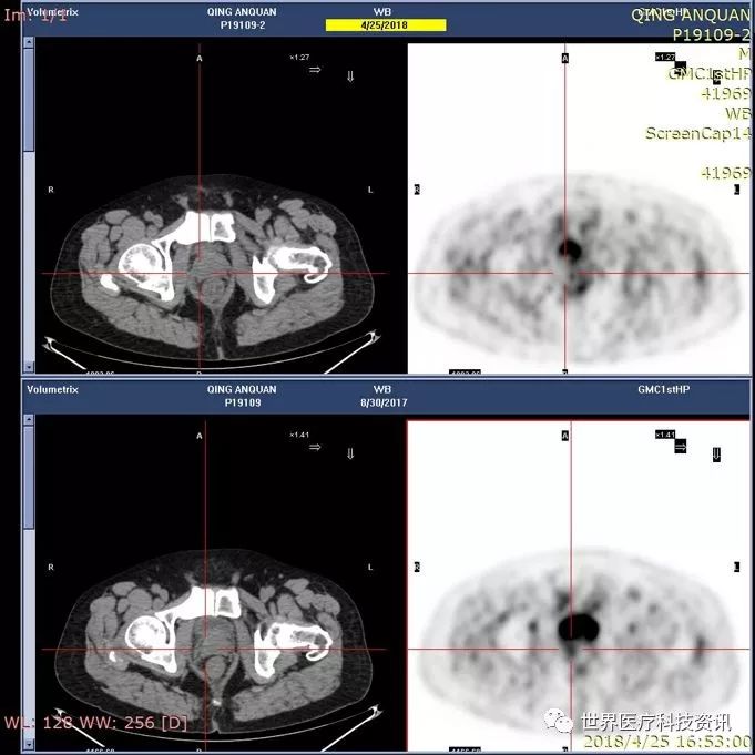
治疗大概一个月左右,他的疼痛就消失了,可以正常走路,大概三个月后结束治疗回到四川老家。他出院的那一天做了CT,CT检查肿瘤并没有缩小或者消失。
但回到老家四个月后,他在当地医院进行复查,医生告诉他肿瘤缩小了。我们非常吃惊,不敢相信当地的CT结果,请他来广州做更先进的PET CT检查,发现原发病灶的代谢活性确实消失了,肿瘤死掉了,只留下一个疤痕。到现在一年半的时间,这个病人没有任何临床症状,完全恢复正常。

上:2018.4.25 下:2017.8.30
他还是一个村书记,来广州之前医生告诉他只有大概半年左右的寿命了,于是他就把书记的职务辞掉来广州治病。现在一年半过去了,他给我打电话说:陈教授,我当年辞这个职很后悔。我说:你的命都救回来了还后悔什么!他说开玩笑的。
陈教授在演讲最后表达了他的愿望和毕生追求。他毕生的梦想和追求就是要战胜癌症,希望将疟原虫免疫疗法能够推广到全球。我们的实验室也在对疟原虫进行基因改造,把它变成癌症疫苗。我们还发现疟原虫有一个非常神奇的蛋白,可以跟人类的各种癌细胞结合,我们把这种蛋白的基因克隆到病人的T细胞里,让T细胞在蛋白的导航下进入肿瘤杀灭肿瘤细胞。我们希望这三种疗法同时应用可以战胜癌症。
最后我们祝愿陈教授团队早日完成他们的疟原虫癌症免疫疗法产品,为全人类的健康做出伟大贡献。

陈小平教授表示,目前此疟原虫感染免疫疗法研究处于临床试验的第二阶段,在国内有三家临床试验机构,现向全球招募临床试验志愿者。三家临床试验机构分别是:广州医科大学附属第一医院、云南省昆明市第四人民医院(云南昆钢医院)、广州复大肿瘤医院。
有需要咨询的朋友请继续阅读本期文章《陈小平团队临床试验志愿者招募信息:疟原虫免疫疗法治疗晚期癌症的实验性医学研究给您带来生的希望》。
陈小平部分国际期刊研究论文
1、Exosomes from Plasmodium-infectedhosts inhibit tumor angiogenesis in a murine Lewis lung cancer model来自疟原虫感染的宿主的外来体在小鼠Lewis肺癌模型中抑制肿瘤血管生成
Published: 26June 2017
https://www.nature.com/articles/oncsis201752
以下论文可从https://www.researchgate.net此国际论文平台检索查阅
2、Antitumor Effect of Malaria Parasite Infection in a MurineLewisLung Cancer Model through Induction of Innateand Adaptive Immunity
诱导先天性和适应性免疫对小鼠Lewis肺癌模型疟疾寄生虫感染的抗肿瘤作用
3. Worldwide malariaincidence and cancer mortality are inversely associated
4.Plasmodium parasite as an effective hepatocellular carcinomaantigen glypican-3 delivery vector
5. Dynamic Balance of pSTAT1 and pSTAT3 in C57BL/6 Mice Infectedwith Lethal or Nonlethal Plasmodium yoelii
感染致死性或非致死性约氏疟原虫的C57BL / 6小鼠中pSTAT1和pSTAT3的动态平衡
6. Antiretroviral proteaseinhibitors potentiate chloroquine antimalaria activity in malaria parasites byregulating glutathione metabolism抗逆转录病毒蛋白酶抑制剂通过调节谷胱甘肽代谢增强疟疾寄生虫中的氯喹抗疟活性
7. In vitro interactions between antiretroviralprotease inhibitors and artemisinin endoperoxides against Plasmodium falciparum
8. Synergy of Human Immunodeficiency VirusProtease Inhibitors with Chloroquine against Plasmodium falciparum In Vitro andPlasmodium chabaudi In Vivo抗逆转录病毒蛋白酶抑制剂茚地那韦和氯喹在体外和体内对疟疾寄生虫的协同作用
9. Characterization of peripheral blood Tlymphocyte subsets in Chinese rhesus macaques with repeated or long-terminfection with Plasmodium cynomolgi中国恒河猴猕猴外周血T淋巴细胞亚群的表征及重复或长期感染食蟹菌的研究
声明:本文文章内容来源于研究团队公开发表的论文、央视报道、腾讯视频:陈小平疟原虫成为抗癌生力军



