
DOI: 10.1126/scitranslmed.aav1648
2017年,FDA先后批准两款2款CAR-T疗法( Kymriah和Yescarta),用于治疗儿童和年轻成人B细胞急性淋巴细胞白血病,以及特定类型的非霍奇金淋巴瘤。
鉴于它调动的是患者自身的免疫系统,且已在血液癌症中表现出不俗的实力,科学家们希望拓宽CAR-T疗法的应用范畴,包括实体瘤、自身免疫性疾病。
近日,来自University of Tennessee Health Science Center的免疫学家Marko Radic带领团队进行了新的尝试:他们以小鼠为模型证实,使用针对CD19的嵌合抗原受体(CAR)修饰的T细胞可以治疗小鼠狼疮(luppus)。
虽然还只是动物试验,却让科学家们看到了治疗狼疮的新思路。相关研究成果于3月6日发表在《Science Translational Medicine》期刊。
CAR-T疗法应用于自身免疫性疾病?
这一研究思路很简单,因为已上市的两款CAR-T疗法都是通过发现识别蛋白标志物CD19,捕获并破坏B细胞。CD19是所有B细胞的标记,而且B细胞参与了许多自身免疫类疾病(包括狼疮)的发展——B细胞会释放自身抗体,这些抗体会破坏身体组织,并引发T细胞攻击组织。
早在2016年,宾夕法尼亚大学的一研究小组在《Science》期刊发表研究称,利用CAR-T疗法,可以治疗患有寻常天疱疮(pemphigus vulgaris)的小鼠。
系统性红斑狼疮(SLE)是一种难以诊断和治疗的自身免疫性疾病,虽然不少患者过着相对正常的生活,但是也有人因此发生肾衰竭、血栓等可能致命的并发症。
然而按照“B细胞耗竭”的思路,狼疮治疗却遇到了挫折——利妥昔单抗(rituximab,靶向CD20)能够清除B细胞,用于治疗类风湿性关节炎、多发性硬化症以及血癌,但是在两项治疗狼疮的大型临床试验中,这一单抗并未能展现出威力。
新尝试:治疗狼疮

摧毁B细胞可以治疗狼疮(图片来源:3D4MEDICAL/SCIENCE SOURCE)
这是否意味着靶向B细胞在狼疮疾病中根本不重要?来自美国匹兹堡大学的免疫学家Mark Shlomchik认为,答案是否定的。
“利妥昔单抗需要巨噬细胞介入并促进B细胞的清除。但是,对于狼疮而言,体内的巨噬细胞处于“瘫痪”状态。这一矛盾在一定程度上导致B细胞无法完全清除。”他解释道。
对比CAR-T,它调动的B细胞杀手是T细胞,无需巨噬细胞的帮助。所以,来自University of Tennessee Health Science Center的免疫学家Marko Radic带领团队进行了相关研究:
他们以患有狼疮的小鼠为模型,在小鼠生病之后,将它们接受全身放射性治疗,以消灭现有的免疫细胞。随后,研究团队将经过基因工程改造的CD19-CAR T细胞注入这41只小鼠体内。
结果显示,有26只小鼠体内的CAR-T细胞通过靶向CD19成功破坏了B细胞,并且这些细胞并没有再出现过。这与接受CAR-T治疗的患者反应类似。大多数小鼠在接受治疗后都存活超1年,且它们的皮肤、肾脏以及其他身体组织都没有出现狼疮迹象。而接受安慰剂治疗的小鼠,都在8-10个月内死亡。
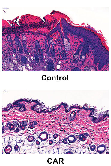
在动物试验中,靶向CD19的CAR-T细胞可以恢复狼疮小鼠的皮肤结构并减少了其中的炎症反应。(图片来源: Science Translational Medicine)
这项动物试验展示了CAR-T疗法治疗小鼠狼疮的能力。但是还有很多疑问,例如为什么剩余的15只小鼠未能响应CAR-T疗法?这是Marko Radic团队接下来想解答的难题。
参考资料:
Genetically engineered immune cells wipe out lupus in mice
Reengineering chimeric antigen receptor T cells for targeted therapy of autoimmune disease



