慢性胰腺炎(chronicpancreatitis,CP)是一种胰腺组织和功能不可逆改变的慢性炎症过程。在疾病进展过程中,慢性胰腺炎可能发展出典型的形态学表现。这些形态学表现包括胰管结石和狭窄、胰腺实质钙化、胰管扩张伴不规则、胰管侧支异常、胰腺假性囊肿,以及胰腺实质纤维化和萎缩。

图1. 慢性胰腺炎的形态学改变与并发症[1]。(A)健康胰腺;(B)慢性胰腺炎所致的形态学改变及并发症。
CP作为一种慢病,病程长、症状顽固,目前尚缺乏根治手段,患者常需进行终身健康管理,治疗仅限于镇痛、胰酶替代及并发症处理。
为阐明CP的发病机制,研究者已构建多种动物模型,通常通过模拟人类CP的病因与病理生理过程实现。这些模型不仅用于解析疾病机制,也服务于药效评价与基因治疗探索。
CP动物模型的制作方法有多种,主要归纳为:化学诱导模型、手术诱导模型和饮食诱导模型。

图2. 经典慢性胰腺炎模型[2]。
1
化学诱导模型

采用通过大鼠静脉、腹腔或胰胆管内注射化学试剂的方法。
雨蛙素(Caerulein)腹腔注射法
反复腹腔注射雨蛙素已成为建立CP动物模型的经典方案之一。
雨蛙素是胆囊收缩素类似物,通过激活胆囊收缩素受体,刺激胰腺腺泡细胞过度分泌,导致胰蛋白酶原异常激活,引发胰腺组织自我消化。长期、间断的雨蛙素刺激可诱导胰腺腺泡萎缩、间质纤维化等慢性胰腺炎病理改变。
优点:操作方法简单,成模率稳定,模型的病理改变与人类CP相似。
缺点:价格昂贵,雨蛙素法所需时间较长,注射次数较多,较繁琐。
精氨酸(L-arginine)腹腔注射法
精氨酸注射法则简便易行,其诱发胰腺组织纤维化的具体机制目前尚不明确,可能涉及氨基酸失衡、细胞骨架改变、氧自由基产生、内质网应激及炎性介质释放等机制。
优点:操作方法简单,成本低廉。
缺点:与人类病因差距大,纤维化强度及可重复性略逊于雨蛙素或胰管结扎模型。
二丁基二氯化物(DBTC)静脉注射法
DBTC是一种脂溶性物质。其诱导CP的具体机制目前尚不明确,可能是DBTC破坏腺泡细胞和胰管上皮细胞,诱导胰腺炎发生,坏死细胞阻塞胰管,导致胰管扩张、胰腺小叶结构破坏,造成问质纤维化。
优点:操作简便,造模成功率高,成本低。造模时间相对较短。
缺点:技术门槛高(需尾静脉注射);DBTC对肝胆有毒性损伤;DBTC需溶于有机溶剂,如尾静脉注射速度过快,易致动物出现肺栓塞致死。
三硝基苯磺酸(TNBS)胰管注射法
胰胆管内注射TNBS可激活胰腺星状细胞引起了胰腺的纤维化。
优点:该模型重复性较好,病变持续时间长,可反映急性炎症向慢性炎症转变的动态过程,符合人类CP演变的一般规律。
缺点:需开腹寻找胰管,对手术操作要求高,一般用于大鼠造模;且造模过程中易并发感染,死亡率较高。
2
手术诱导模型

手术诱导模型即胆管结扎诱导。该模型通过结扎胰管,造成胰管内压力增高,导致胰液逆流、腺泡细胞损伤,从而激发机体对损伤的修复,出现炎症细胞浸润及纤维化。
优点:稳定性好,可靠性高。
缺点:有创伤,对手术操作要求高,难度大。
3
饮食诱导模型

食物诱导法是一种相对成熟的CP造模方法。一般利用100%胆碱缺乏乙硫氨酸补充(choline deficient ethionine-supplemented, CDE)饲料喂养。
优点:CDE饲料模型比腹腔注射模型操作更加简单。
缺点:CDE饲料较昂贵,长期饲喂成本较高;动物摄入CDE饮食的量难以监测,模型的均一性不够稳定。
南模生物慢性胰腺炎小鼠模型
为支持新药临床前研究,南模生物推出经典的雨蛙素诱导慢性胰腺炎模型,该模型病理改变与人类慢性胰腺炎相似,操作简便,重复性好,可用于相关机制研究及靶向新药临床前评价。
造模动物:
6~8w C57BL/6小鼠
验证数据:

图3. 雨蛙素诱导C57BL/6慢性胰腺炎小鼠模型。(A)体重;(B)体重变化。雨蛙素处理对小鼠体重无显著影响。

图4. 雨蛙素诱导C57BL/6慢性胰腺炎小鼠模型。(A)胰腺组织图片;(B)胰腺重量/体重。与对照组小鼠相比,雨蛙素处理后小鼠胰腺的体积和重量均显著减少。

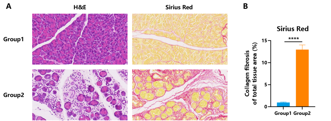
图5. 雨蛙素诱导C57BL/6慢性胰腺炎小鼠模型。(A)H&E和天狼星红染色代表图;(B)纤维化面积。结果显示,雨蛙素处理组小鼠可见明显的腺泡细胞萎缩,其胰腺组织中出现纤维化。
如您有相关需求,欢迎拨打400-728-0660或者于微信公众号南模生物SMOC在线咨询,或致信marketing@modelorg.com,我们的专业团队将竭诚为您服务!

作为国内领先的基因编辑模型构建专家,南模生物炎症/自身免疫疾病评价平台拥有经验丰富的研究团队,已开发了哮喘、银屑病、特应性皮炎、系统性红斑狼疮、炎症性肠病等多种炎症/自身免疫疾病小鼠模型,也可根据客户需求提供个性化的药效评价服务。相关验证数据可前往https://www.modelorg.com/portal/cro/inflammation.html?sessionid=-983487195查看~
Reference:
[1] Thierens, Naomi DE et al. “Chronic pancreatitis.” Lancet (London, England) vol. 404,10471 (2025): 2605-2618. doi:10.1016/S0140-6736(24)02187-1
[2] Klauss S, Schorn S, Teller S, et al. Genetically induced vs. classical animal models of chronic pancreatitis: a critical comparison. FASEB J. Published online June 4, 2018. doi:10.1096/fj.201800241RR
关于我们
上海南方模式生物科技股份有限公司(Shanghai Model Organisms Center, Inc.,简称"南模生物"),成立于2000年9月,是一家上交所科创板上市高科技生物公司(股票代码:688265),始终以编辑基因、解码生命为己任,专注于模式生物领域,打造了以基因修饰动物模型研发为核心,涵盖多物种模型构建、饲养繁育、表型分析、药物临床前评价等多个技术平台,致力于为全球高校、科研院所、制药企业等客户提供全方位、一体化的基因修饰动物模型产品解决方案。



