
生物谷讯/--Y染色体是男性的特征,仅存在于男性细胞内,编码男性生殖相关的蛋白质。但是近期发表在Science杂志上的文章称,Y染色体上只有两个基因的小鼠采用辅助生殖技术也能产生正常后代。这两个基因分别是睾丸决定因子Sry和精原干细胞扩增因子Eif2s3y。
这是不是意味着Y染色体(或者Y染色体的大部分)是无用的哪?夏威夷大学科学家Monika A. Ward博士称“是的!”。同时,Ward博士也强调了Y染色体在正常的,非辅助性生殖中有重要作用。

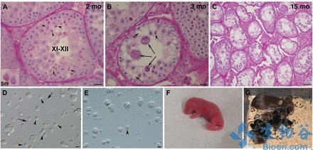
本研究中,Ward博士领导她的研究团队采用转基因技术产生Y染色体上仅有Sry和Eif2s3y两个基因的雄性小鼠。该小鼠理论上是不育的,但是科学家还是找到了少许有用的细胞。Yasuhiro Yamauchi博士收获了些未成熟的精原细胞,并采用球形精子细胞质内注射(round spermatid injection,ROSI)技术成功的在实验室环境中让卵细胞受精。将胚胎转移到代孕鼠体内后,科学家成功获得了健康子代小鼠。
由于Y染色体只有两个基因的小鼠产生子代效率很低,科学家进一步研究了是否增加其他Y基因能够提高效率。科学家发现用Sxrb替换Sry会使得效率提高两倍。该结果表明Sxrb编码一个或多个提高精子发生进程的基因。
该研究非常重要,但是还不能直接应用于男性不育治疗。由于辅助生殖技术的复杂性,ROSI技术仍然还只能用于实验室研究。科学家相信ROSI技术在小鼠研究上的成功对治疗男性不育症有重要意义。



